Fractures of the Shoulder, Arm, and Forearm


Trauma to the upper extremity often presents a difficult challenge for orthopaedic surgeons; whether the problem encountered is a fracture, fracture with dislocation, or severe injury to the soft tissues or neurovascular elements. The ultimate functional results after injuries in the upper extremity often depend as much on the status of the surrounding soft tissues as on the status of the bone. A fracture to the lower extremity may heal with contracture, some loss of motion of the adjacent joints, and other soft-tissue compromise, yet still yield a good functional result, whereas in the upper extremity severe functional impairment often results if fracture healing is accompanied by these sequelae, even though the bone itself has healed satisfactorily. This chapter discusses the surgical management of fractures and fracture-dislocations in the upper extremity and shoulder girdle. Surgeons also must remain continually attentive to soft-tissue injuries.

Clavicle

The clavicle is one of the most frequently fractured bones in the body, the fracture most often resulting from a direct blow or a fall on an outstretched arm. Most clavicular fractures heal uneventfully without serious consequences with nonoperative treatment. Historically, the resulting bony prominences have been believed to be preferable to an unsightly scar from open reduction and internal fixation (ORIF). Treatment guidelines were based on Neer and Rowe’s two large series that showed nonunion rates of less than 1% in conservatively managed fractures compared with nearly 4% in operatively treated fractures. These results established the concept that union rates and function were excellent with conservative treatment of clavicular fractures and were better than those after operative treatment. More recent studies have questioned union rates, functional recovery, and the morbidity of malunions after conservative treatment. A prospective observational study of 868 patients with clavicular fractures treated nonoperatively found a nonunion rate of 6.2%. Risk factors identified were advanced age, female sex, 100% displacement (lack of cortical contact), and presence of comminution. A meta-analysis including 2144 fractures showed a nonunion rate of 15% for displaced clavicular fractures treated nonoperatively, whereas the nonunion rate for ORIF was only 2% ( Table 57.1 ). Thus, there appears to be a subgroup of patients—those with displaced fractures—who do not do as well as previously thought. Fuglesang et al. reported a 15% nonunion rate with worsening outcome scores in patients with displacement greater than 100%.

TABLE 57.1
Results of Nonoperative and Operative Treatment of Acute Midshaft Clavicular Fractures
Data from Zlowodzki M, Zelle BA, Cole PA, et al: Treatment of acute midshaft clavicle fractures: systematic review of 2144 fractures. On behalf of the Evidence-Based Orthopaedic Trauma Working Group, J Orthop Trauma 19:504, 2005.
Treatment % of Nonunions
Displaced and Nondisplaced Fractures
Nonoperative (1145 fractures) 5.9
Plating (635 fractures) 2.5
Intramedullary pinning (364 fractures) 1.6
All fractures (2144) 4.2
Displaced Fractures
Nonoperative (159 fractures) 15
Plating (460 fractures) 2.2
Intramedullary pinning (152 fractures) 2.0
All displaced fractures (771) 4.8

These concerns led the Canadian Orthopaedic Trauma Society (COTS) to initiate a multicenter prospective randomized trial to compare nonoperative treatment and plate fixation of displaced clavicular fractures. They concluded that operative treatment resulted in improved functional outcomes and lower rates of malunion and nonunion. Complications occurred in 23 (37%) of 62 patients treated operatively, compared with 31 (63%) of 49 treated nonoperatively ( Table 57.2 ). Since the COTS study, many comparative studies and meta-analyses have been performed comparing operative treatment with nonoperative treatment of midshaft clavicular fractures. Table 57.3 summarizes some of these studies. Woltz et al. confirmed that displacement greater than 100% was associated with a higher nonunion rate, although outcome measures did not differ between treatment types. The authors also published a meta-analysis with similar conclusions. In a separate meta-analysis, Ahmed et al. also confirmed a reduction in nonunion rate with operative fixation of displaced fractures. They noted an improvement in outcome measures; however, as opposed to the study by Woltz et al. and Murray et al. studied the risk of nonunions after nonoperative treatment of displaced clavicular fractures. Smoking, comminution, and fracture displacement were the strongest predictors of nonunion ( Table 57.4 ). This table is used by the author as a guideline when advising patients as to a specific treatment choice.

TABLE 57.2
Complications and Outcomes After Operative and Nonoperative Treatment of Clavicular Fractures
Data from Canadian Orthopaedic Trauma Society: Nonoperative treatment compared with plate fixation of displaced midshaft clavicular fractures: a multicenter, randomized clinical trial, J Bone Joint Surg 89A:1, 2007.
Operative Treatment ( n = 62) Nonoperative Treatment ( n = 49)
Complication/Adverse Event
Nonunion 2 7
Malunion requiring further treatment 0 9
Wound infection/dehiscence 3 0
Implant irritation requiring removal 5 0
Complex regional pain syndrome 0 1
Surgery for impending open fracture 0 2
Transient brachial plexus symptoms 8 7
Abnormality of AC or SC joint 2 3
Early mechanical failure 1 0
Other 2 2
TOTAL 23 (37%) 31 (63%)
Appearance of Shoulder
“Droopy” shoulder 0 10
Bump and/or asymmetry 0 22
Scar 3 0
Sensitive and/or painful fracture site 9 10
Implant irritation and/or prominence 11 0
Incisional numbness 18 0
Satisfaction with appearance 52 (84%) 26 (53%)
Functional results
Constant and Disabilities of the Arm, Shoulder and Hand scores approximately 10 points better in operative group at all time points (6, 12, 24, and 52 weeks). AC , Acromioclavicular; SC , sternoclavicular.

TABLE 57.3
Numbers and Reasons for Secondary Operations
From Woltz S, Krijnen P, Schipper IB: Plate fixation versus nonoperative treatment for displaced midshaft clavicular fractures, J Bone Joint Surg Am 99:1051, 2017.
Study Plate Fixation Nonoperative Treatment
COTS, 2007 2 nonunion
1 implant failure
3 infection
5 plate removal
7 nonunion
9 malunion
Melean, 2015 4 plate removal 4 nonunion
Mirzatolooei, 2011 1 implant failure
1 infection
Robinson, 2013 1 nonunion
1 implant failure
1 refracture
1 neurologic complication
2 fracture lateral to plate
10 plate removal
13 nonunion
4 malunion
Virtanen, 2012 1 neurologic complication
Woltz, 2017 1 nonunion
6 implant failure
2 infection
14 plate removal
9 nonunion
1 neurologic complication
1 malunion
1 plate removal
Total 56 50

One nonoperatively treated patient developed a nonunion and was treated with secondary plate fixation after 4 months. At 1 year, plate removal was scheduled. This patient was analyzed in the nonoperative group following the intention-to-treat principle.

TABLE 57.4
“Ready Reckoner” for Estimating the Risk of Nonunion
From Murray IR, Foster CJ, Eros A, Robinson CM: Risk factors for nonunion after nonoperative treatment of displaced midshaft fractures of the clavicle, J Bone Joint Surg Am 95:1153, 2013.
Overall Displacement (mm) Noncomminuted Fracture in Nonsmoker Comminuted Fracture in Nonsmoker Noncomminuted Fracture in Smoker Comminuted Fracture in Smoker
10 2 3 6 10
15 3 6 12 19
20 7 12 23 34
25 14 23 39 52
30 26 39 57 70
40 62 74 86 92

Treatment options

Most clavicular fractures still are treated closed. Treatment, however, should not be an “all or nothing” approach; it should be aimed at providing optimal outcomes for individual patients and injuries. Recent reports in the literature have helped to more accurately predict complications after displaced fractures and to allow a frank discussion with the patient to choose the appropriate form of treatment.

Nonoperative treatment consists of the use of a sling for comfort. We rarely use figure-of-eight splinting because of patient discomfort and the lack of proven benefit. Operative management usually consists of ORIF with plates and screws or intramedullary nail fixation. External fixation has been described but rarely is necessary except in unique situations. The relative indications for operative treatment are shown in Box 57.1 .

BOX 57.1
Relative Indications for Primary Fixation of Midshaft Clavicular Fractures
From McKee MD: Clavicle fractures. In Bucholz RW, Heckman JD, Court-Brown CM, Tornetta P 3rd, editors: Rockwood and Green’s fractures in adults , 7th ed, Philadelphia, 2010, Lippincott Williams & Wilkins.

Fracture-Specific

  • Displacement >2 cm

  • Shortening >2 cm

  • Increasing comminution (>3 fragments)

  • Segmental fractures

  • Open fractures

  • Impending open fractures with soft-tissue compromise

  • Obvious clinical deformity (usually associated with displacement and shortening)

  • Scapular malposition and winging at initial examination

Associated Injuries

  • Vascular injury requiring repair

  • Progressive neurologic deficit

  • Ipsilateral upper extremity injuries/fractures

  • Multiple ipsilateral upper rib fractures

  • “Floating shoulder”

  • Bilateral clavicular fractures

Patient Factors

  • Polytrauma with requirement for early upper extremity weight bearing/arm use

  • Patient motivation for rapid return of function (e.g., elite sports or self-employed professional)

Plate and screw fixation

Plating techniques continue to evolve. Newer precontoured plates allow more accurate fitting while maintaining strength; however, complications have been reported with 3.5-mm reconstruction plates, which allow easy contouring but may be too weak to maintain reduction. Currently, the most commonly used technique is superior placement of the plate ( Fig. 57.1 ) or anteroinferior plate placement because of the safe screw trajectory and less implant irritation ( Fig. 57.2 ). The recent trend of using smaller implants applies also to the clavicle. Evidence exists supporting the use of 2.7-mm compression type plating. The author reserves this technique when 2.7-mm plates are used in a neutralization technique with anatomic reduction and lag screw fixation. A report by Czajka et al. demonstrated a high rate of union with a low rate of soft-tissue irritation with the use of double mini-fragment plate fixation. This technique has become the most frequently used technique by the author ( Fig. 57.3 ). Regardless of the plate placement technique used, meticulous attention is mandatory to preserve the periosteum and avoid injury to the subclavian vessels and lungs; lag screw fixation should be used when possible.

FIGURE 57.1, Clavicular fracture (A) fixed with superior plate (B) . SEE TECHNIQUE 57.1.

FIGURE 57.2, Clavicular fracture (A) fixed with anteroinferior plate (B) .

FIGURE 57.3, Dual mini-fragment plate.

Open Reduction and Internal Fixation of Clavicular Fractures

Technique 57.1

(COLLINGE ET AL., MODIFIED)

Anteroinferior Plate and Screw Fixation

  • Place the patient supine with a large “bump” placed between the scapulae, allowing the injured shoulder girdle to fall posteriorly, which helps to restore length and increase exposure of the clavicle.

  • Make an incision centered over the fracture from the sternal notch to the anterior edge of the acromion ( Fig. 57.4A ).

    FIGURE 57.4, Open reduction and internal fixation of clavicular fracture. A, Incision. B, Plate prebent to match normal clavicular anatomy. C, Screw placement posteriorly and superiorly. Acr, acromion; SN, sternal notch. SEE TECHNIQUE 57.1.

  • Release the lateral platysma and identify the supraclavicular nerve traversing the anterior aspect of the clavicle.

  • Incise the clavipectoral fascia along its attachment to the anterior clavicle and carefully elevate it inferiorly.

  • Dissect first along the medial fragment, which usually has flexed up away from the vital infraclavicular structures. For acute fractures, only minimal soft-tissue dissection is needed.

  • Reduce the fracture and hold it with bone clamps.

  • Use a lag screw if possible for provisional fixation; as an alternative, consider using a mini-fragment screw as provisional fixation to allow perfect contouring of the plate.

  • Contour a 3.5-mm plate to fit along the anteroinferior edge of the clavicle. Typically, an eight-hole plate fits well when contoured into an S-shape as viewed on edge ( Fig. 57.4B ).

  • Aim the screws for plate fixation posteriorly and superiorly ( Fig. 57.4C ). If an oblique fracture is present, a lag screw can be placed either through the plate or directly into the bone at roughly a 90-degree angle to the fracture line.

Superior Fixation

  • For superior fixation, contour the plate to fit the superior edge of the clavicle (see Fig. 57.1 ). Insert the screws from superior to inferior, taking care to avoid injury to the neurovascular structures.

See also

Postoperative Care

The operated extremity is placed in a sling for comfort. Pendulum and Codman exercises are taught, and the patient is encouraged to use the arm but to avoid heavy lifting, pushing, or pulling. Full return of activities is allowed when fracture healing is present, usually at 2 to 3 months.

Intramedullary fixation

Intramedullary nailing of clavicular fractures has been done for over 50 years, with a variety of devices, including Rockwood pins, Kirschner wires, Küntscher nails, and Rush nails ( Fig. 57.5 ). Suggested advantages of intramedullary fixation include small skin incision, less periosteal stripping, and relative stability to allow callus formation. Frequent complications, such as intrathoracic migration, pin breakage, and damage to underlying structures, however, have limited the use of this technique. A biomechanical study comparing fixation of clavicular osteotomies with 3.5-mm compression plates and 3.8- or 4.5-mm intramedullary pins also showed that plated constructs were superior in resisting displacement. More recently, titanium elastic intramedullary nails have been used, with good results reported in a number of studies. However, reported complication rates have ranged from 9% to 78% with these devices, mainly medial or lateral migration and perforations. Frigg et al. reported a reduction in complications from 60% to 17% with the use of an end cap, converting to open reduction after two failed attempts at closed reduction, using careful manual passage of the nail, obtaining intraoperative oblique radiographs to rule out lateral perforation, and limiting postoperative range of motion to 90 degrees for 6 weeks.

FIGURE 57.5, Clavicular fracture (A) treated with intramedullary fixation (B) .

Intramedullary Fixation With a Headed, Distally Threaded Pin (Rockwood Clavicle Pin)

Technique 57.2

  • Place the patient in a semi-sitting position on a radiolucent table with an image intensifier on the ipsilateral side. By rotating the image 45 degrees caudal and cephalad, orthogonal views of the clavicle can be obtained.

  • Make a 2- to 3-cm incision over the posterolateral corner of the clavicle 2 to 3 cm medial to the acromioclavicular joint. Little subcutaneous fat is in this region, so take care to prevent injury to the underlying platysma muscle.

  • Use scissors to free the platysma muscle from the overlying skin; split its fibers in line with the muscle. Take care to prevent injury to the middle branch of the supraclavicular nerve, which usually is found directly beneath the platysma muscle near the midclavicle. Identify and retract the nerve.

  • Use a towel clip to elevate the proximal end of the medial clavicle through the incision ( Fig. 57.6A ).

    FIGURE 57.6, Intramedullary fixation of clavicular fracture. A, Elevation of proximal end of medial clavicle. B, Drilling of medullary canal. C, Tapping of medullary canal. D, Drilling of medullary canal. E, Passage of drill out through posterolateral cortex. F, Tapping of medullary canal.

  • Taking care not to penetrate the anterior cortex, attach the appropriate-sized drill to the ratchet T-handle and drill the medullary canal ( Fig. 57.6B ).

  • Remove the drill from the medial fragment, attach the appropriate-sized tap to the T-handle, and tap the medullary canal to the anterior cortex ( Fig. 57.6C ). Hand tapping is recommended, especially for small patients and smaller-diameter clavicle pins.

  • Elevate the lateral fragment through the incision; externally rotating the arm and shoulder helps improve exposure.

  • Attach the same-sized drill used in the medial fragment to the ratchet T-handle and drill the medullary canal ( Fig. 57.6D ).

  • Under C-arm guidance, pass the drill out through the posterolateral cortex of the clavicle ( Fig. 57.6E ). The drill position should be posterior and medial to the acromioclavicular joint, around the level of the coracoid. Allow the drill to exit no higher than the equator of the posterolateral clavicle.

  • Remove the drill from the lateral fragment, attach the appropriate-sized tap to the T-handle, and tap the medullary canal so that the large threads are advanced fully into the canal ( Fig. 57.6F ). If the tap is a tight fit, consider redrilling with the next larger drill size. Again, hand tapping is recommended.

  • While holding the distal fragment with a bone clamp, remove the nuts from the pin assembly and pass the trocar end of the pin into the medullary canal of the distal fragment. The pin should exit through the previously drilled hole in the posterolateral cortex.

  • Once the pin exits the clavicle, its tip can be felt subcutaneously. Make a small incision over the palpable tip and spread the subcutaneous tissue with a hemostat ( Fig. 57.6G ). Place the tip of the hemostat under the tip of the clavicle pin to facilitate its passage through the incision. Then drill the pin out laterally until the large, medial threads start to engage the cortex.

  • Attach the Jacobs chuck and T-handle to the end of the pin protruding laterally (take care not to place the chuck over the machined threads, both lateral and medial) and carefully retract the pin into the lateral fragment ( Fig. 57.6H ). Ensure that the pin is inserted correctly.

  • Reduce the fracture and pass the pin into the medial fragment. Advance the pin until all medial threads are across the fracture site. Because the weight of the arm usually pulls the arm down, lifting the shoulder will facilitate pin passage into the medial fragment.

  • Place the medial nut on the pin, followed by the smaller lateral nut. Cold weld the two nuts together by grasping the medial nut with a needle driver or needle-nose pliers and tightening the lateral nut against the medial nut with the lateral nut wrench. Use the T-handle and wrench on the lateral nut to medially advance the pin down into the medial fragment until it contacts the anterior cortex. Confirm position with fluoroscopy.

  • Break the cold weld between the nuts by grasping the medial nut with a needle driver or pliers and quickly turn ing the lateral nut counterclockwise with the insertion wrench. Advance the medial nut until it against the lateral cortex of the clavicle. Tighten the lateral nut until it engages the medial nut ( Fig. 57.6I ).

  • Use the medial wrench to back out the pin 1 cm or more to expose the nuts from the soft tissue. Ensure that the clavicle threads are still engaged in the cortical bone of the medial fragment.

  • Use a side-cutting pin cutter to cut the pin as close to the lateral nut as possible. Readvance the clavicle pin using the lateral nut wrench.

Postoperative Care

The arm is placed in a standard sling for comfort, and gentle pendulum exercises are allowed. At 10 to 14 days, sutures are removed and, if healing is seen on radiographs, the sling is discontinued; unrestricted range-of-motion exercises, but no strengthening, resisted exercises, or sports activities are allowed. If radiographs at 6 weeks show union, resisted and strengthening activities are begun. Contact sports (e.g., football, hockey) should be avoided for 12 weeks after surgery. If the fracture is healed at 12 weeks, the pin can be removed.

Lateral clavicular fractures

Neer described five types of lateral clavicular fractures ( Table 57.5 and Fig. 57.7 ). Types I and II are lateral to the coracoclavicular ligaments and are inherently stable. Type II fractures occur just medial to the coracoacromial ligaments (type IIa) or occur with rupture of the ligaments (type IIb). The trapezius can be a deforming force and cause displacement of type II fractures. Treatment is still controversial, with good results reported with both operative and nonoperative treatment, even with malunions. The challenge is to obtain secure fixation in the lateral segments. Anatomic locking plates have improved fixation in the distal segment ( Fig. 57.8 ) Other strategies include plating over to the acromion to gain greater fixation, supplementing fixation with sutures from the clavicle to the coracoid ( Fig. 57.9 ), and using subacromial hook-plates ( Figs. 57.10 and 57.11 ). High rates of union (95% or higher) and good shoulder function have been reported with the use of hook-plates, but patient discomfort and acromial osteolysis generally require plate removal as soon as union occurs. The author uses hook plates only in rare circumstances and recommends judicious use.

TABLE 57.5
Neer Classification of Lateral Clavicular Fractures
Type Description
I Coracoclavicular ligaments intact, attached to medial segment
II Coracoclavicular ligaments detached from medial segment, but trapezoid intact to distal segment
IIa Both conoid and trapezoid attached to distal segment
IIb Conoid is torn
III Intraarticular extension into acromioclavicular joint

FIGURE 57.7, Neer classification of lateral clavicular fractures.

FIGURE 57.8, Anatomic locking plate.

FIGURE 57.9, Supplemental suture fixation from clavicle to coracoid over the acromion for lateral clavicular fracture.

FIGURE 57.10, Clavicular fracture (A) fixed with hook plate (B) .

FIGURE 57.11, Healed clavicular fracture after plate removal.

Recently, Yagnik et al. reported a combination of cortical button fixation with coracoclavicular ligament reconstruction for distal clavicular fracture repair. Fractures united in all patients with low complication rates ( Fig. 57.12 ).

FIGURE 57.12, Distal clavicle repair using combination of cortical button fixation and coracoclavicular ligament reconstruction.

Distal Clavicular Fracture Repair With Coracoclavicular Ligament Reconstruction and Cortical Button Fixation

Technique 57.3

(YAGNIK ET AL.)

  • After administration of a regional interscalene block and general anesthesia, place the patient in a modified beach-chair position.

  • Make a 5-cm vertical incision 2 to 3 cm medial to the acromioclavicular joint, with the base of the incision at the proximal aspect of the coracoid. Carefully incise the deltotrapezial fascia in line with the clavicle to facilitate closure over the implants at the end of the procedure.

  • Bluntly dissect the medial and lateral soft tissues adjacent to the coracoid for later passage of the sutures and graft around the coracoid.

  • Prepare a 7 × 240-mm semitendinosus allograft, tapering the ends of the graft using a whip stitch (No. 2 nonabsorbable suture). Both ends of the graft should easily pass through the 6-mm tunnel.

  • Using a coracoid passer, shuttle a strong passing suture through the instrument and under the coracoid and then shuttle two different-colored suture tapes and allograft around the coracoid.

  • Using a 2.4-mm drill, create a bicortical hole for the suture tape as close to the fracture site as possible, preserving 5 mm of bone laterally to prevent iatrogenic fracture through this drill hole.

  • Create a second tunnel for the graft with a 6.0-mm cannulated reamer over a 2.4-mm guide wire at least 15 mm medial to the first tunnel.

  • Shuttle the two suture tapes through the lateral tunnel before the graft so that they lie posterior to the graft.

  • Pass both ends of the graft through the 6-mm tunnel using a second shuttle suture ( Fig. 57.13A ).

    FIGURE 57.13, A, Distal clavicular fracture with suture tapes passed through laterally based tunnel and allograft passed through medial tunnel. Asterisk indicates coracoid process. B, Final construct demonstrates reduction with suture tapes tied over cortical button and graft tensioned with interference screw. Graft is passed anterior to suture tapes. (From Yagnik GP, Jordan CJ, Narvel RR, Hassan RJ, Porter DA: Distal clavicle fracture repair: clinical outcomes of a surgical technique utilizing a combination of cortical button fixation and coracoclavicular ligament reconstruction, Orthop J Sports Med 7(9):2325967119867920, 2019.) SEE TECHNIQUE 57.3.

  • Pass four limbs of the colored suture tape through a cortical button and tie, reducing the medial fragment to the lateral fragment.

  • Tension the graft and insert a 5.5 × 10-mm PEEK interference screw, then cut the ends of the graft ( Fig. 57.13B ).

  • Pass the free ends of the suture tape through the anterior deltotrapezial fascia in a horizontal mattress fashion

  • Tie the sutures, repair the deltotrapezial fascia to the clavicle, bury the knots to minimize soft-tissue irritation, and close the incision in the standard fashion.

Postoperative Care

The arm is placed in a sling to minimize tension on the repair for 4 to 6 weeks. Passive range of motion is started immediately after surgery. After 4 to 6 weeks, patients begin active and active-assisted range of motion exercises, with strengthening exercises at 8 weeks. Patients may return to full activity and sports around 4 months.

Fractures Around The Shoulder

Fractures of the scapula

Fractures of the scapula account for 3% to 5% of all fractures about the shoulder, are most often caused by high-energy trauma, and are frequently associated with multiple trauma (approximately 90% of patients with scapular fractures have associated injuries). Treatment of scapular fractures has traditionally been described as “benign neglect” and, like clavicular fractures, most scapular fractures do well with conservative management. Although outcomes are generally good, not all scapular fractures heal uneventfully and there has been a resurgence of interest in determining which patients would benefit from operative treatment. In their systematic review of the literature concerning scapular fractures, Zlowodzki et al. found that of the total 520 fractures reported, 82% had good-to-excellent functional results. Almost all scapular body fractures were treated nonoperatively, with 86% good-to-excellent results; scapular neck and isolated glenoid fractures were most often treated operatively (83%), with good-to-excellent results in 76% and 82%, respectively. Although the numbers of specific fractures were small, the overall results after operative treatment were better than those after nonoperative treatment in all types ( Table 57.6 ). Lantry et al. also reported a systematic review of operative treatment of scapular fractures in which good-to-excellent functional results were found in approximately 85% of patients. In contrast, in their comparison of 31 displaced scapular fractures treated operatively to 31 treated nonoperatively (matched by age, occupation, and sex), Jones and Sietsema found that all fractures healed with no differences in return to work, pain, or complications. Dienstknecht et al. reported that a meta-analysis of the literature indicated that operatively treated scapular fractures had better radiographic results and more pain-free results, whereas nonoperatively treated patients had significantly better range of motion. Although the literature is still lacking in sufficient evidence to formulate concrete treatment guidelines, these two reviews emphasize that most scapular fractures do well, but criteria for deciding which fractures are at risk for poor outcomes are still evolving. Recent reports by Schroder et al. and Tatro et al. continue to support operative treatment in widely displaced scapular fractures with high functional outcomes and low complication rates.

TABLE 57.6
Results of Operative and Nonoperative Treatment of Scapular Fractures
Data from Zlowodzki M, Bhandari M, Zelle BA, et al: Treatment of scapula fractures: systematic review of 520 fractures in 22 case series, J Orthop Trauma 20:230, 2006.
Fracture Type Operative: Excellent/Good Nonoperative: Excellent/Good
Glenoid only 82% (45/55) 67% (6/9)
Neck with or without other associated scapular fractures (excluding glenoid) 92% (23/25) 79% (110/140)
Acromion and/or coracoid (with/without associated scapular fractures) 88% (7/8) 77% (80/104)
Body only (including spine) 100% (2/2) 86% (6/7)

Treatment options

Almost all scapular body and neck fractures are still treated nonoperatively. We immobilize the shoulder for 2 to 3 weeks and begin an active-assisted range-of-motion protocol when pain permits. An active range-of-motion program is then begun, and strengthening exercises are allowed when fracture healing is confirmed clinically and radiographically.

The mobility of the shoulder is predictive of function in many patients with a scapular fracture; however, there is still a small group of patients in whom ORIF probably is indicated. The goal of treatment is to preserve shoulder function by avoiding malalignment, arthrosis, scapulothoracic dyskinesis, and impingement pain ( Table 57.7 ).

TABLE 57.7
Indications for Surgical Treatment of a Scapular Fracture
From Furey MJ, McKee MD: Fractures of the clavicle and scapula, AAOS OKU: Trauma 5:241, 2016.
Indication Criterion
IntraArticular Fracture
Articular step-off
Percentage of glenoid affected
Glenohumeral articulation
≥4-5 mm
≥20%
Unstable despite closed reduction
ExtraArticular
Glenopolar angle
Lateral border offset
Angulation
Translation
≤20°
≥20 mm
≥45°
≥100%

Glenoid fractures

Glenoid fractures should be treated as all other intraarticular fractures, and reduced and stabilized when significant (>4 mm) displacement exists through the articular surface that leads to joint subluxation or incongruency. Anavian et al. reported that, of 33 patients with complex and displaced intraarticular glenoid fractures, 87% were pain free and 90% returned to preinjury levels of work or activity after operative treatment. The operative approach of choice is the Judet or modified Judet (see Technique 1.94). Additional anterior approaches occasionally are needed.

Scapular body or neck fractures

Fractures of the scapular body or neck that are so significantly displaced that malunion and pain are of concern should be considered for operative treatment. Medialization of the glenoid has been questioned by Zuckerman et al., who recommended evaluation of lateralization of the scapular border. CT evaluation also found that in patients with glenoid neck fractures, pure medial translation of the glenoid relative to the axial skeleton was rare; instead, there was typically a component of shortening of the scapular width combined with lateralization of the scapular body. Treatment decisions should be based on the amount of displacement. Some authors use the glenopolar angle as a criterion for determining treatment. This angle is formed by a line drawn from the inferior pole of the glenoid fossa up to the superior pole and a second line drawn from the superior pole of the glenoid fossa down through the inferiormost angle of the scapular body ( Fig. 57.14 ). The normal glenopolar angle ranges from 30 to 45 degrees. Anavian et al. suggested that three-dimensional CT is more reliable than plain radiography in the evaluation of extraarticular scapular fracture displacement.

FIGURE 57.14, Normal (A) and abnormal (B) glenopolar angle. Angle is measured between line connecting most cranial with most caudal point of glenoid cavity ( a ) and line connecting most cranial point of glenoid cavity with most caudal point of scapular body ( b ). Normal glenopolar angle ranges from 30 to 45 degrees.

Cole et al. listed several criteria for operative treatment of scapular fractures:

  • A 15 to 20 mm lateral border offset (lateralization)

  • Forty degrees of scapular body angulation, as measured on a scapular-Y view

  • Glenopolar angle of 20 degrees or less and greater than 60 degrees.

  • Scapular body fracture with injury to the clavicle or clavicle-acromion complex.

These decision-making criteria have not yet been shown to produce improved outcomes; the surgeon’s skill level and patient issues should contribute to the decision for operative treatment. We generally favor conservative treatment, but this is an active treatment decision and not “benign neglect” ( Fig. 57.15 ).

FIGURE 57.15, Algorithm for treatment of scapular fractures.

Proximal humeral fractures

Use adequate radiograms to understand the traumatic lesion, be careful denying older patients effective treatment, use a safe and simple surgical approach, know the options for internal fixation, recognize the value of prosthetic replacement, avoid technical pitfalls, and thoughtfully supervise the postoperative patient care.— R.H. Cofield (1988)

Cofield’s summary of treatment of proximal humeral fractures is an indication of the difficulty of treating these injuries—from first evaluation to final outcome. Much controversy and confusion still exist, and no single treatment protocol or algorithm has been proved to be universally effective. As indicated by Cofield, areas still in question include radiographic diagnosis, operative or nonoperative treatment, consideration of patient age in treatment decision making, surgical approach, fracture fixation or hemiarthroplasty, type of internal fixation, and rehabilitation protocol. Numerous authors have suggested that nonoperative treatment may be preferable for two-, three-, and four-part proximal humeral fractures in elderly patients, but pain and loss of function have been reported in high percentages of patients after this treatment approach. Several more recent reports, however, have indicated that the functional results of operative treatment are not significantly better than the results of nonoperative treatment in elderly patients, although radiograph results may be superior. Court-Brown et al. reported good or excellent results in 81% of impacted valgus fractures in elderly patients treated nonoperatively, and in a comparison of operative and nonoperative treatment of displaced two-part fractures, these authors found similar results in the two treatment groups. In one of the largest studies to date (PROFHER), with 231 patients, the authors were unable to show superiority of operative or nonoperative treatment using the Oxford Shoulder Score as the primary outcome. A 5-year follow-up study of the PROHFER study again was unable to show any advantage of operative treatment over nonoperative treatment. Although there are many limitations of the PROHFER studies, it cer tainly demonstrates some of the difficulty in treatment of patients with proximal humeral fractures. A meta-analysis by Beks et al. confirmed the PROHFER finding of no difference between operative and nonoperative treatment. In a study of the geographic incidence and treatment variation of common fractures in elderly patients, Sporer et al. found large variations in the percentage of proximal humeral fractures treated operatively, ranging from 6.4% to 60%; in eight regions of the United States, at least 40% were treated operatively, whereas in 35 regions, fewer than 20% were treated operatively. The fact that 10 different fixation techniques were evaluated for a single fracture type (fractures of the surgical neck of the humerus) is further indication of the complexity of treating proximal humeral fractures. Interestingly, one study showed a higher rate of operative treatment of proximal humeral fractures among upper extremity surgeons compared with trauma surgeons. In another study by LaMartina et al., experienced shoulder surgeons agreed on treatment plans only 63% of the time, demonstrating the difficulty in devising and evaluating treatment plans.

Classification

The most commonly used classification system for proximal humeral fractures is that of Neer ( Fig. 57.16 ). Although limited reliability, reproducibility among observers, and consistency by the same observer at different times have been cited as limitations of the Neer system, it remains useful in guiding treatment. Classification is based on the four-part anatomy of the proximal humerus: the humeral head, the lesser and greater tuberosities, and the proximal humeral shaft. The criterion for displacement is more than 1 cm of separation of a part or angulation of 45 degrees. Displaced three-part and four-part fractures markedly alter the articular congruity of the glenohumeral joint and have the highest likelihood of disrupting the major blood supply to the proximal humerus ( Fig. 57.17 ). Osteonecrosis is most likely after displaced four-part fractures.

FIGURE 57.16, Neer’s terminology of four-segment classification of displaced fractures and fracture-dislocations relates pattern of displacement (two-part, three-part, or four-part) and key segment displaced. In each two-part pattern, segment named is one displaced. Two-part surgical neck fractures are impacted (A), unimpacted (B), and comminuted (C). All three-part patterns have displacement of shaft segment, and displaced tuberosity identifies type of three-part fracture. In four-part pattern, all segments are displaced. Fracture-dislocations are identified by anterior or posterior position of articular segment. Large articular surface defects require separate recognition.

FIGURE 57.17, Blood supply of proximal humerus.

Radiographic evaluation

An anteroposterior view of the shoulder in the plane of the scapula, a lateral view of the scapula (Y view) ( Fig. 57.18 ), and a supine axillary view ( Fig. 57.19 ) are necessary in all patients initially to evaluate a proximal humeral fracture. If the amount of displacement of the humeral head or tuberosity fragments is unclear on radiographs, an axial CT scan with 2-mm sections is indicated ( Fig. 57.20 ).

FIGURE 57.18, Special radiographic view perpendicular to plane of scapula to show glenohumeral joint in profile (A) and parallel to plane of scapula to show anterior and posterior displacement (B) .

FIGURE 57.19, Method of obtaining axillary view of glenohumeral joint. This exposure can be obtained with patient prone, supine, or standing. Minimal abduction of injured arm is required to determine anteroposterior relationships.

FIGURE 57.20, CT scan of humeral head-splitting fracture.

Nonoperative treatment

Nonoperative treatment can obtain a functional, painless extremity in most proximal humeral fractures. The range of motion of the shoulder joint accommodates moderate angular deformity without significant functional loss. Neer described acceptable angulation as less than 45 degrees and less than 1 cm of displacement. Although these criteria are not absolute, they do provide a guide. An elderly, infirm patient can tolerate functional loss better than a young, active patient. The first step in treatment decision-making is to determine if displacement (<66%) and angulation (varus is poorly tolerated) are acceptable for a particular patient; the second is to determine if the humeral head and shaft move as a unit. If both of these conditions are present, the fracture is stable and in an acceptable position. A sling is used for comfort, and a physical therapy regimen with pendulum exercises is started, usually within 1 week. If the humeral head and shaft do not move as a unit, physical therapy can be delayed for 2 to 4 weeks in patients who are poor surgical candidates because of age, low functional demands, or comorbidities that preclude participation in rehabilitation. In young, active patients, early operative fixation should be considered. Generally, the longer the period of immobilization, the longer the period of therapy, and the greater the disability. A randomized controlled trial involving 74 patients with impacted proximal humeral fractures found that early (within 72 hours of injury) passive mobilization was safe and more effective in restoring function than conventional immobilization (3 weeks) followed by physical therapy. Another study, however, pointed out that fracture settling continues to occur with conservative treatment.

Operative treatment

The decision that operative treatment is appropriate is complicated by the numerous and varied techniques described for fixation of proximal humeral fractures. Generally, fracture displacement is used as the indicator of stability. The goal is restoration of proximal humeral anatomy with stable fixation that allows early functional range of motion. Chronic malunions and nonunions that are subsequently treated surgically are associated with poor outcomes. Consequently, it is imperative to recreate the normal proximal humeral anatomy with respect to tuberosity reduction and the head-neck relationship. Indications for operative treatment include displaced two-part surgical neck fractures, displaced (>5 mm) greater tuberosity fractures, displaced three-part fractures, and displaced four-part fractures in young patients. The type of fixation (transosseous suture fixation, percutaneous pinning, intramedullary nailing, or plate fixation) used depends on the patient’s age, activity level, and bone quality; the fracture type and associated fractures; and the surgeon’s technical ability ( Table 57.8 ). Age alone has been shown both to be predictive of failure and to have no association with failure. In their series of 154 fractures with proximal humeral fractures treated with plating, Boesmueller et al. found that the risk of screw cut-out was four times higher in patients over the age of 60 years and the overall risk for complications was three times higher than in younger patients.

TABLE 57.8
Advantages and Disadvantages of Techniques Used to Treat Displaced Fractures of the Proximal Humerus
From Robinson CM: Proximal humerus fractures. In Bucholz RW, Heckman JD, Court-Brown CM, Tornetta P 3rd, editors: Rockwood and Green’s fracture in adults , ed 7, Philadelphia, 2010, Lippincott Williams & Wilkins.
Technique Advantages Disadvantages
Nonoperative treatment Function as good as operative treatment for many fractures
Low risk of infection and other operative complications
Malunion inevitable:

    • Cuff dysfunction/stiffness more likely

    • Later salvage surgery more difficult

Risk of nonunion increased

Minimally invasive techniques Reduced injury to soft-tissue envelope
Lower risk of infection
Steep learning curve
Risk of axillary nerve/vascular injury
Less stable fixation
Intramedullary nailing More stable fixation technique in osteoporotic bone
Minimal dissection required for insertion
Rotator cuff dysfunction after anterograde insertion
Poor results in multipart fractures
High rate of late implant removal
Open reduction and plate fixation Anatomic fracture reduction possible

    • Improved functional outcome

    • Later revision easier

Most stable fixation in multipart fractures

    • Rigid implants

    • Adjuvant bone grafting possible

Open surgical approach required:

  • Increased risk of infection

  • Increased risk of osteonecrosis

Hemiarthroplasty Risk of nonunion, osteonecrosis, symptomatic malunion avoided
Low reoperation rate
Poor functional outcome
Late arthroplasty complications difficult to treat in elderly patients

Before surgery is considered, it is important to determine if the blood supply and bone quality are adequate. The Hertel radiographic criteria for perfusion of the humeral head ( Fig. 57.21 ) can be used to predict ischemia: metaphyseal extension of the humeral head of less than 8 mm and medial hinge disruption of more than 2 mm are predictive of ischemia. The combination of metaphyseal extension of the humeral head, medial hinge disruption of more than 2 mm, and an anatomic neck fracture pattern has a 97% positive predictive value for humeral head ischemia. According to the AO/ASIF classification system, extraarticular type A fractures have an intact vascular supply, whereas type B fractures have a possible injury to the vascular supply and type C articular fractures have a high probability of osteonecrosis. The cortical thickness of the humeral diaphysis has been suggested to be a reliable and reproducible predictor of bone mineral density and the success of internal fixation. The combined cortical thickness is the average of the medial and lateral cortical thickness at two levels ( Fig. 57.22 ). Generally, a cortical thickness of less than 4 mm precludes internal fixation because adequate screw purchase cannot be obtained; sling immobilization, transosseous suture, or hemiarthroplasty may be better options. Spross et al. and Newton et al. also demonstrated that the quality of the bone was associated with late cut-out.

FIGURE 57.21, Hertel radiographic criteria for perfusion of humeral head. A, Metaphyseal extension of humeral head of more than 9 mm. B, Metaphyseal extension of humeral head less than 8 mm. C, Undisplaced medial hinge. D, Medial hinge of more than 2-mm displacement.

FIGURE 57.22, Two levels used to measure cortical thickness of humeral diaphysis. Level 1, most proximal aspect of humeral diaphysis, is at level in which endosteal borders of medial and lateral cortices are parallel. Level 2 is 20 mm distal to level 1. Examples of patients with low bone mineral density (A) and high bone mineral density (B) .

Transosseous suture fixation techniques are well defined in the orthopaedic literature. Park et al. reported 78% excellent results in patients with two-part and three-part proximal humeral fractures treated with suture fixation. The use of strong nonabsorbable suture provides the advantage of incorporating the rotator cuff insertion to increase fixation in patients with poor bone quality ( Fig. 57.23 ). The level of soft-tissue dissection is not extensive, and relatively low rates of osteonecrosis have been reported with this technique. Concerns include the ability of the patient to move the shoulder joint and loss of reduction secondary to a nonrigid construct. More recently, Dimakopoulos et al. reported good results in 188 displaced proximal humeral fractures treated with transosseous fixation ( Fig. 57.24 ). They suggested as advantages of this technique less surgical soft-tissue dissection, a low rate of humeral head osteonecrosis, fixation sufficient to allow early passive joint motion, and the avoidance of bulky and expensive implants.

FIGURE 57.23, Transosseous nonabsorbable sutures incorporate rotator cuff to increase fixation and help control tuberosity fragments.

FIGURE 57.24, Transosseous fixation of displaced proximal humeral fracture. A, Sutures placed through drill holes in medial and lateral aspects of humeral diaphysis (HD). Black arrows (just below HD) indicate drill holes in diaphysis. GT , Greater tuberosity; LT , lesser tuberosity; HH , humeral head. B, Just before tying of knots there is adequate reduction and balance of involved rotator cuff tendons. Fracture site has been closed, and both tuberosities have been placed below articular margin of humeral head. Note cruciate configuration of sutures. C, Final suture configuration.

Percutaneous pinning has the advantage of avoiding further damage to the soft-tissue envelope and the blood supply to the humeral head ( Figs. 57.25 and 57.26 ). It also is a relatively inexpensive technique, and several series have reported good results in two-part, three-part, and valgus-impacted four-part fractures. The procedure is technically challenging and requires a satisfactory closed reduction, adequate bone stock, minimal comminution (particularly of the tuberosities), an intact medial calcar, and a compliant patient. In their series of 74 older patients (average age, 71 years), Calvo et al. demonstrated that reduction was associated with satisfactory outcome. However, if satisfactory closed reduction cannot be obtained, another form of reduction and fixation should be used. Loss of fixation, pin track infections, and axillary nerve injuries are common complications. Terminally threaded Schanz pins and bicortical pins inserted from the greater tuberosity to the medial humeral shaft add stability to the overall construct. Percutaneous pinning is contraindicated for fractures with metaphyseal comminution.

FIGURE 57.25, Placement of percutaneous pins for fracture fixation. Two are passed through lateral aspect of shaft, just above deltoid insertion ( a ), and one is placed through anterior cortex ( b ); if greater tuberosity is fractured and displaced, two pins are inserted retrograde ( c ) to reduce and repair this fracture component.

FIGURE 57.26, Two-part proximal humeral fracture stabilized with percutaneous pins.

Intramedullary nailing (SEE Technique 57.4) provides more stable fixation than percutaneous pinning, although less than locked plate fixation. The Polarus nail (Accumed, Portland, OR) has been shown to provide more biomechanical stability than pin fixation, and good clinical outcomes have been reported with this device. Newer nail designs with polyaxial screws have more stability than earlier designs, and the addition of polyethylene bushings may increase stability and prevent screw back-out ( Fig. 57.27 ). Insertion of an intramedullary nail into the proximal humerus violates the rotator cuff, which can lead to postoperative shoulder pain. The advantages of the technique include preservation of the soft tissues and the theoretical biomechanical properties of intramedullary nails. A comminuted lateral cortex fracture or fractures involving the tuberosities may be a contraindication to intramedullary nailing. A recent randomized controlled trial demonstrated that complications were fewer with a straight nail design compared with a curvilinear design. A systematic review by Wong et al. reported satisfactory results in displaced two- and three-part proximal humeral fracture treatment with intramedullary nails. Sun et al. compared locking plates with intramedullary nails in displaced proximal humeral fractures in a systematic review and meta-analysis and demonstrated similar performance between the two fixation types.

FIGURE 57.27, Fixation of segmental proximal humeral fracture with locked intramedullary nail.

Plate-and-screw constructs provide the most stable fixation of the three fixation methods ( Fig. 57.28 ). Locked plates add stability, especially in osteoporotic bone. An open reduction and rigid fixation allow accurate reduction and stabilization of the tuberosities, which is important because malunion of the tuberosities is poorly tolerated and is associated with poor outcomes in posttraumatic reconstructive shoulder arthroplasty. A prospective randomized trial by Zhu et al. found that at 1-year follow-up patients treated with locking plates had better outcomes than those treated with locked intramedullary nailing, but at 3-year follow-up outcomes were equal. The locking nail group had a significantly lower complication rate (4%) than the locking plate group (13%). Konrad et al. also reported similar outcomes in three-part proximal humeral fractures treated with intramedullary nailing (58 fractures) or plate fixation (153 fractures).

FIGURE 57.28, A, Displaced two-part surgical neck fracture with extension between greater and lesser tuberosities. B and C, After locking plate fixation. Note screw in inferior head because of medial comminution. SEE TECHNIQUE 57.5.

Historically, plate fixation of the proximal humerus has been fraught with complications, with malunion and nonunion caused by poor fixation in the humeral head ( Fig. 57.29 ). In addition, extensive soft-tissue dissection increases the possibility of osteonecrosis of the humeral head, leading to a painful and functionally limited shoulder joint. The development of locked proximal humeral plates was expected to improve treatment of these complex injuries greatly. The advantage of ORIF with a locked plate is an ability to reduce the fracture fragments into an anatomic position and stabilize them rigidly to allow early motion. Numerous outcome studies are now available because the locked proximal humeral plate has been widely used for more than 10 years; however, as was pointed out in a Cochrane review, there is little level I or II evidence. A recent randomized controlled trial comparing locked plating with conservative treatment of three-part and four-part fractures in elderly patients found no difference in outcomes at 1-year follow-up. Despite the lack of a large body of supporting literature, the locked proximal humeral plate is considered by most fracture surgeons to be a great improvement in the management of proximal humeral fractures, and it has become the implant of choice for these fractures. Schnetzke et al. reported 98 patients treated with locked plating and concluded that anatomic reduction significantly improved outcomes.

FIGURE 57.29, Micro-CT study of cancellous trabecular bone in humeral head shows marked porosity in greater tuberosity region and densest bone just underneath humeral head.

Much attention has been focused on the medial side of the metaphyseal injury. Gardner et al. called attention to this by documenting the importance of the inferior screw behaving as a medial calcar substitution. Biomechanical studies have confirmed this importance, and Jung et al. confirmed it clinically by identifying medial comminution and insufficient medial support (no cortical or screw support) as independent risk factors for loss of reduction in 17 (7%) of 252 proximal humeral fractures. As an alternative to medial calcar screws, fracture site impaction adds stability by impacting the humeral head onto the humeral shaft. As modified by Torchia, valgus impaction osteotomy ( Fig. 57.30A-D ) appears promising, although no large series have been reported. In a biomechanical study, Weeks et al. found that fracture impaction increased the ability of the locking plate to withstand repetitive varus loading and was biomechanically superior to locking plate fixation alone. Gardner et al. described the use of a fibular strut graft to provide medial column support. Although promising, the technique also is demanding, and further randomized trials are needed to confirm its efficacy. Kim et al. noted improvement using a fibular strut graft versus inferomedial screws in conjunction with locking plates in four-part fractures, but there was no advantage noted in three-part fractures. In a systematic review, Saltzman et al. found satisfactory results when fibular strut grafts were used for augmentation.

FIGURE 57.30, Fixation of proximal humeral fracture after valgus impaction osteotomy. A , Long Steinmann pin is placed from shaft into head segment. B , Traction sutures are tensioned and tied to pin. Tensioning sutures pulls head segment out of varus. C , Lateral view of proximal humerus after provisional fixation; note that position of pin and sutures allows unobstructed access for definitive fixation with precontoured locking plate ( D ).

Some issues with open reduction and locked plating include the extensive exposure required for plate application that carries a risk of damage to neurovascular structures, especially the ascending branch of the lateral circumflex artery. The complication and reoperation rates do remain high with this technique. Screw perforation through the humeral head is the most frequently reported complication. Perforation can occur as cutout from fracture settlement or from poor initial technique. Calcium phosphate cement augmentation has been shown to decrease this complication. Other complications include arthrofibrosis, impingement, malunion, nonunion, osteonecrosis, infection, and hardware failure. Poor outcomes are associated with initial varus displacement of three- and four-part fractures.

In an attempt to decrease complications with plate fixation, Gardner et al. used an anterolateral acromial (Mackenzie) approach in which the axillary nerve is identified and protected, anterior dissection near the critical blood supply is avoided, substantial muscle retraction is minimized, and the lateral plating zone is directly accessed (SEE Technique 57.6). Laflamme et al. reported no axillary nerve injuries and no loss of reduction in fractures treated with percutaneous humeral plating through two minimal incisions (a lateral deltoid split and a more distal shaft incision). As our understanding of the anatomy of the proximal humerus and our instruments improve, less invasive techniques appear promising. Electrophysiologic findings in a study by Westphal et al., however, revealed a 10% axillary nerve injury rate.

Fixation Of specific fracture types

  • Two-part greater tuberosity fractures have historically been treated operatively when displacement is greater than 1 cm; however, Rath et al. reported satisfactory outcomes after nonoperative treatment of 69 fractures with less than 3 mm of displacement. Many authors have suggested that the shoulder has little tolerance for displacement of the tuberosities and have advocated operative treatment for displacement of more than 5 mm because of functional loss and complications secondary to impingement. Usually these fractures are stabilized with transosseous sutures ( Fig. 57.31 ; see also Fig. 57.23 ) or occasionally with screws in larger fragments. The rotator interval also must be repaired.

    FIGURE 57.31, A to C, Greater tuberosity fracture reduced and repaired with transosseous sutures.

  • Two-part surgical neck fractures with displacement do poorly with nonoperative treatment. Closed reduction and percutaneous pinning have been reported to be successful in fractures that are reducible and are not comminuted. Complications such as loss of fixation, pin migration, infection, and malunion have made rigid intramedullary nailing our preferred technique, however, for fractures that can be reduced closed and for segmental fractures (see Fig. 57.27 ). The violation of the rotator cuff is offset by the advantages of decreased soft-tissue violation and decreased blood loss compared with ORIF. Widely displaced fractures, fractures with comminution, and irreducible fractures are stabilized with a locked-plate construct (see Fig. 57.28 ). Improved proximal fixation of these systems has increased stability so that immediate postoperative range of motion is allowed. For extremely osteopenic patients, Banco et al. described a “parachute” technique, which included a valgus impaction osteotomy and tension-band fixation incorporating transosseous sutures ( Fig. 57.32 ). Union was obtained in all 14 elderly patients, and patient satisfaction and function were excellent.

    FIGURE 57.32, Parachute technique using valgus impaction osteotomy and tension-band fixation incorporating transosseous sutures.

  • Three-part proximal humeral fractures in elderly patients with osteopenic bone may require hemiarthroplasty, but for most of these fractures plate fixation is the preferred procedure. Realignment of the head and shaft, combined with reduction of the tuberosity, gives the best chance for a good outcome. The rigid fixation provided by locking plates allows early range of motion, one of the goals of operative treatment.

  • Four-part proximal humeral fractures treated nonoperatively generally have poor outcomes; however, poor bone quality makes fixation difficult, and the vascular insult to the articular surface increases the risk of osteonecrosis of the humeral head. Osteonecrosis alone does not lead to a poor outcome if the anatomic relationships of the humeral head, tuberosities, and shaft are reestablished. Wijgman et al. reported osteonecrosis in 22 (37%) of 60 patients with three-part and four-part proximal humeral fractures treated with T-plates or cerclage wires, but 17 of the 22 patients had good or excellent functional outcomes. In young, active patients, open reduction and plate fixation usually are successful if soft-tissue stripping is kept to a minimum to avoid further damage to the humeral head blood supply. Rigid fixation with locking plates currently is our procedure of choice for four-part proximal humeral fractures in young, active patients. Initial varus displacement has been shown to be associated with poor outcomes, as have varus malreductions. Successful closed reduction and percutaneous pinning have been reported, but we have no experience with this technique for four-part fractures. Hemiarthroplasty (see Chapter 12 ) is a viable option in elderly patients with low functional demands.

Intramedullary Nailing of a Proximal Humeral Fracture

Technique 57.4

  • Position the patient on a radiolucent table with the thorax “bumped” 30 to 40 degrees. Place the image intensifier unit on the opposite side of the table from the surgeon; rolling the unit back allows an adequate anteroposterior view ( Fig. 57.33A ,B), and rolling it forward allows an adequate lateral view of the shoulder and humerus ( Fig. 57.33C ,D).

    FIGURE 57.33, Placement of image intensifier for intramedullary nailing of proximal humeral fracture ( A and C ). Rolling unit back (A) allows anteroposterior view (B) , whereas rolling it forward (C) allows lateral view (D) of shoulder and humerus. SEE TECHNIQUES 57.4 57.5 AND 57.9.

  • Make an incision diagonally from the anterolateral corner of the acromion, splitting the deltoid in line with its fibers in the raphe between the anterior and middle thirds of the deltoid ( Fig. 57.34 ). To protect the axillary nerve, avoid splitting the deltoid more than 5 cm distal to the acromion.

    FIGURE 57.34, Entry portal for intramedullary nailing of proximal humeral fracture. A, Diagonal incision from anterolateral corner of acromion splits deltoid in line with its fibers in raphe between anterior and middle thirds. B, Location of incision. C, Establishment of portal. SEE TECHNIQUES 57.4 AND 57.9.

  • Under direct observation, incise the rotator cuff in line with its fibers. Use full-thickness sutures to protect the cuff from damage during reaming of the humeral canal.

  • Use a threaded pin as a “joystick” in the posterior humeral head to derotate the head into a reduced position ( Fig. 57.35A ,B).

    FIGURE 57.35, Intramedullary nailing of proximal humeral fracture. A, Two-part surgical neck fracture. B, Threaded pin used as “joystick” to reduce fracture. C, Placement of initial guidewire. D, After nail insertion and placement of locking screws. SEE TECHNIQUES 57.4 AND 57.5.

  • Place the initial guidewire posterior to the biceps tendon and advance it under fluoroscopic guidance into the appropriate position as shown on anteroposterior and lateral views ( Fig. 57.35C ).

  • Carefully advance the proximal reamer, protecting the rotator cuff.

  • Use the reduction device to reduce the fracture and pass the bead-tipped guidewire.

  • With sequentially larger reamers, ream the humerus to the predetermined diameter, usually 1.0 to 1.5 mm larger than the nail diameter.

  • When reaming is completed, pass the nail down the humeral canal, avoiding distraction of the fracture ( Fig. 57.36 ); ensure that the nail is below the articular surface of the humeral head.

    FIGURE 57.36, Antegrade insertion of humeral nail for fixation of proximal humeral fracture. SEE TECHNIQUE 57.4.

  • With the use of the outrigger device, insert the proximal locking bolts (see Fig. 57.35D ). Carefully spread the soft tissues to avoid injury to the axillary nerve.

  • Repair the rotator cuff with full-thickness sutures under direct observation ( Fig. 57.37 ).

    FIGURE 57.37, Repair of rotator cuff after nail insertion. SEE TECHNIQUE 57.4.

  • Confirm reduction and screw placement and length on anteroposterior and lateral fluoroscopy images.

  • Early rehabilitation is begun with active-assisted range-of-motion exercises.

Open Reduction and Internal Fixation of Proximal Humeral Fractures

Technique 57.5

  • Position the patient on a radiolucent table with a beanbag “bump” holding the shoulder and thorax 30 to 40 degrees off the table. Place the C-arm on the opposite side of the table from the surgeon; rolling the unit back allows an adequate anteroposterior view (see Fig. 57.33A ,B), and rolling it forward allows an adequate lateral view of the shoulder and humerus (see Fig. 57.33C ,D).

  • Make a deltopectoral approach (see Chapter 1 ) to the proximal humerus.

  • Release the anterior portion of the deltoid to expose the fracture site.

  • If necessary, use a threaded pin as a joystick in the posterior humeral head to derotate the head into a reduced position (see Fig. 57.35 ). Sutures placed through the rotator cuff tendon (supraspinatus) also can be helpful for mobilization (see Fig. 57.23 ).

  • For three-part or four-part fractures, place sutures into the rotator cuff tendons attached to the displaced tuberosity to aid in reduction ( Fig. 57.38 ).

    FIGURE 57.38, Open reduction and internal fixation of proximal humeral shaft fracture. Sutures placed in rotator cuff can be used to assist reduction of tuberosities. SEE TECHNIQUE 57.5.

  • For simpler fracture patterns, reduce the fracture and provisionally fix it with Kirschner wires; confirm reduction with fluoroscopy. If medial comminution is present, check to ensure that a varus malreduction has not occurred.

  • Place the plate onto the greater tuberosity, posterior to the biceps tendon, and provisionally fix it in place with Kirschner wires; confirm correct plate position with fluoroscopy. A plate placed too far proximally may cause impingement, and a plate placed too close to the biceps tendon may damage the anterior humeral circumflex artery.

  • Place two locking screws through the plate holes into the humeral head segment and one or two screws into the shaft. Confirm subchondral placement of the proximal screws and the quality of the reduction with fluoroscopy; this is easier with the fluoroscopy unit on the opposite side of the table from the surgeon.

  • When accurate reduction is confirmed, insert remaining screws under direct fluoroscopic guidance.

  • For fractures with medial comminution, fix the plate to the proximal segment with screws and reduce the shaft segment to the plate. This helps avoid varus malposition, which is associated with higher failure rates. Screw fixation into the inferomedial humeral head also adds stability for fractures with medial comminution (see Fig. 57.28B ).

  • In three-part or four-part fractures, sutures inserted into the supraspinatus and subscapularis tendons aid in controlling the fracture fragments (see Fig. 57.38 ).

  • Reduce the tuberosities to the articular surface and to each other with pins or sutures or both ( Fig. 57.39 ); Observation or palpation through the rotator interval may aid in reduction of the lesser tuberosity to the humeral head. Often there is a small segment of articular surface with the lesser tuberosity that is a key to reduction. Fluoroscopy is helpful during difficult proximal humeral reconstruction.

    FIGURE 57.39, Open reduction and internal fixation of proximal humeral shaft fracture (see text). A and B, Sutures used for reduction and fixation of tuberosity fragments. SEE TECHNIQUE 57.5.

  • Fix the plate in the same manner as for a two-part fracture. Rotator cuff sutures can be incorporated into the plate for added stability.

  • Confirm reduction and screw placement on anteroposterior and lateral fluoroscopy images.

Postoperative Care

An early rehabilitation program is begun with active-assisted range-of-motion exercises.

Anterolateral Acromial Approach for Internal Fixation of Proximal Humeral Fracture

Technique 57.6

(GARDNER ET AL.; MACKENZIE)

  • Position the patient in either the beach chair or supine semilateral position.

  • Make a 10-cm skin incision from the palpable anterolateral edge of the acromion distally in line with the fibers of the deltoid.

  • Identify the deltoid fascia and anterior deltoid raphe between the anterior middle heads of the deltoid ( Fig. 57.40A ) and split the raphe in line with its fibers for several centimeters. For maximal exposure, split the deltoid up to the margin of the acromion but do not split it distally more than 5 cm from its origin to avoid damage to the axillary nerve. To prevent damage to the axillary nerve from too-distal dissection, place a stay suture at the inferior border of the deltoid raphe.

    FIGURE 57.40, Internal fixation of proximal humeral fracture through anterolateral acromial approach. A, Raphe between anterior and middle head of deltoid is developed. B, With axillary nerve protected, plate is slid deep to nerve. C, “Bare spot” on lateral humerus posterior to bicipital groove; plate position here avoids humeral head penetrating vessels. (From Gardner MJ, Voos JE, Wanich T, et al. Vascular implications of minimally invasive plating of proximal humerus fractures. J Orthop Trauma 2006;20:602-607.) SEE TECHNIQUE 57.6.

  • If the nerve is in proximity to a fracture line, gently explore it. If it is tethered or incarcerated in the fracture, gently free it.

  • Reduce the fracture fragments with indirect reduction techniques, working within the tuberosity fracture lines if present. If extension of the subdeltoid interval anteriorly is necessary, take care to handle the soft tissues carefully.

  • With the fracture reduced and the axillary nerve protected, slide the plate from proximal to distal under the axillary nerve to a level where the axillary nerve overlies the junction of the head and shaft of the plate ( Fig. 57.40B ). While positioning the plate, be sure to stay on the “bare spot” on the lateral cortex posterior to the bicipital groove ( Fig. 57.40C ) to avoid the humeral head penetrating vessels.

  • Secure the plate to the humeral shaft through the lower soft-tissue window distal to the axillary nerve.

  • After thorough irrigation, close the raphe and deltoid fascial layers with absorbable sutures. Place a suction drain and close the subcutaneous tissue in layers.

Postoperative Care

Postoperative care is the same as that after Technique 57.5.

Complications

The most common complication of proximal humeral fractures is loss of motion (stiffness). Early physical therapy is associated with improved motion, but many patients do not recover full motion even with early physical therapy. Impingement from high-riding tuberosities or subacromial scarring also can limit motion. Nonunion also is fairly common, but nonunion rates have been decreasing with the use of new technologies such as locking plates and improved intramedullary nails. Malunion can result from unstable or delayed fracture fixation, patient factors, and poor surgical technique. In older patients with limited functional demands, malunion generally is well tolerated, but it may be debilitating in younger patients because of poor shoulder function, impingement, or rotator cuff tears. Osteonecrosis is relatively uncommon after nondisplaced or unoperated two-part and three-part fractures; functional outcome is improved if the proximal humeral anatomy has been restored. The presence of osteonecrosis does not always result in a poor outcome; osteonecrosis may be evident radiographically but cause minimal symptoms. Because late hemiarthroplasty has poorer results than early hemiarthroplasty, it is important to be sure that ORIF can adequately stabilize four-part fractures and restore humeral anatomy before this option is chosen.

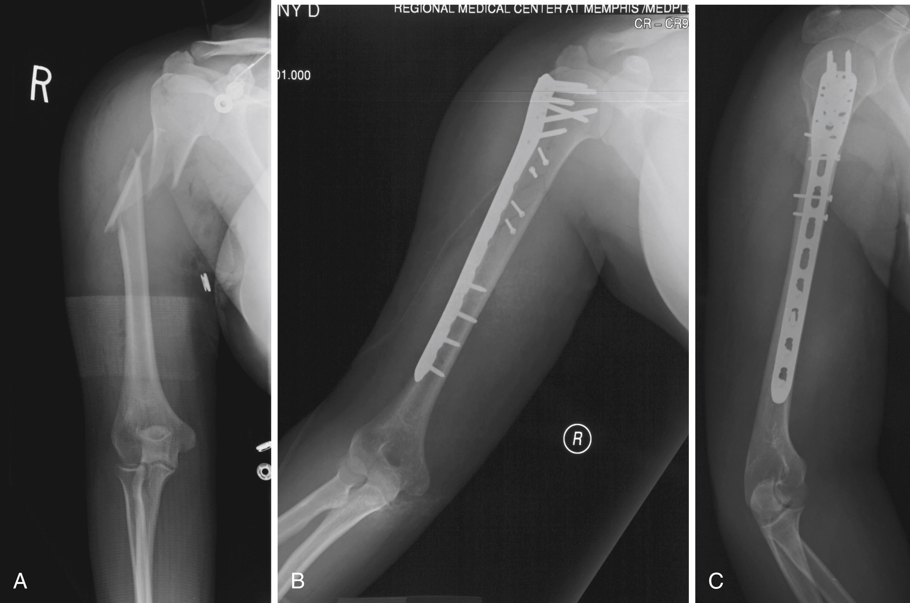
Fractures of the Humeral Shaft

Fractures of the humeral shaft account for approximately 3% of all fractures; most can be treated nonoperatively. Charnley stated, “It is perhaps the easiest of the major long bones to treat by conservative methods.” The range of motion afforded by the shoulder and elbow joints, coupled with a tolerance for small amounts of shortening, allow radiographic imperfections that cause minimal functional deficit and are well tolerated by the patient. Historically, methods of conservative treatment have included skeletal traction, abduction casting and splinting, Velpeau dressing, and hanging arm cast, each with its own advantages and disadvantages.

Functional bracing has essentially replaced all other conservative methods and has become the “gold standard” for nonoperative treatment because of its ease of application, adjustability, allowance of shoulder and elbow motion, relatively low cost, and reproducible results. Initially popularized by Sarmiento in 1977, the functional brace works on the principles of the hydraulic effect of the brace, active contraction of the muscles, and beneficial effect of gravity. Union rates of 77% to 100% have been reported with this technique (Papasoulis et al. 2010). In a randomized controlled trial comparing minimally invasive plate osteosynthesis and functional bracing, Matsunaga et al. reported a 15% nonunion rate with functional bracing. Driesman et al. reported 84 consecutive patients with diaphyseal humeral fractures managed nonoperatively. Within 6 months 87% of fractures healed. They noted that a mobile humeral shaft fracture at the 6-week follow-up visit was a predictor of nonunion with 82% sensitivity and 99% specificity. This author counsels patients appropriately as to risk of developing a nonunion if fracture site variability exists at 6 weeks. We currently use a coaptation splint or hanging arm cast for the first 7 to 10 days to allow pain to subside and then convert to a prefabricated functional brace. The use of a sling is discouraged to avoid varus and internal rotation deformities. Pendulum exercises are started early, and use of the extremity is encouraged as tolerated, avoiding active shoulder abduction. The brace is worn until the patient is pain free and there is radiographic evidence of union. Skin maceration is a concern, so daily hygiene is stressed. Morbid obesity may increase the risk of varus deformities; however, these deformities are more of a cosmetic issue than a functional issue and often are not evident in an obese arm. Shields et al. showed no correlation between residual deformity and functional outcome scores.

A nonrandomized study by Jawa et al. compared outcomes in 21 distal-third diaphyseal fractures treated with functional bracing to those of 19 treated with plate-and-screw fixation. Operative treatment resulted in more predictable alignment and faster healing but was associated with more complications, such as iatrogenic nerve injury, loss of fixation, and infection. Plate-and-screw fixation was done in two patients initially treated with bracing because of concerns about alignment. Complications associated with bracing included skin breakdown and malunion. The advantages, disadvantages, and risks of both nonoperative and operative treatment should be discussed with the patient before a decision is made.

We reserve the use of a hanging arm cast for patients in whom compliance or finances preclude the use of a functional brace. Guidelines for acceptable reduction include less than 3 cm of shortening, angulation of less than 20 degrees, and rotation of less than 30 degrees. In a series of 32 patients with humeral shaft fractures treated nonoperatively, Shields et al. found that residual angular deformity ranging from 0 to 18 degrees in the sagittal plane and from 2 to 27 degrees in the coronal plane had no correlation with patient-reported outcomes.

Indications for operative treatment

The choice of operative treatment for a humeral shaft fracture depends on multiple factors. McKee divided the indications for operative treatment into three categories: (1) fracture indications, (2) associated injuries, and (3) patient indications ( Box 57.2 ). Some indications are more absolute than others. Failure of conservative treatment, pathologic fracture, displaced intraarticular extension, vascular injury, and brachial plexus injury almost always require surgery. Other conditions, such as minimally displaced segmental fractures and obesity, are only relative indications. Our most common indication for operative treatment is early mobilization of patients with polytrauma. Treatment decisions must take all factors into consideration, tailoring the treatment to the specific patient.

BOX 57.2
Indications for Primary Operative Treatment of Humeral Shaft Fractures
From McKee MD: Fractures of the shaft of the humerus. In Bucholz RW, Heckman JD, Court-Brown CM, editors: Rockwood and Green’s fractures in adults , ed 6, Philadelphia, 2006, Lippincott Williams & Wilkins.

Fracture Indications

  • Failure to obtain and maintain adequate closed reduction

    • Shortening >3 cm

    • Rotation >30 degrees

    • Angulation >20 degrees

  • Segmental fracture

  • Pathologic fracture

  • Intraarticular extension (shoulder joint, elbow joint)

Associated Injuries

  • Open wound

  • Vascular injury

  • Brachial plexus injury

  • Ipsilateral forearm fracture

  • Ipsilateral shoulder or elbow fracture

  • Bilateral humeral fractures

  • Lower extremity fracture requiring upper extremity weight bearing

  • Burns

  • High-velocity gunshot injury

  • Chronic associated joint stiffness of elbow or shoulder

Patient Indications

  • Multiple injuries, polytrauma

  • Head injury (Glasgow Coma Scale score = 8)

  • Chest trauma

  • Poor patient tolerance, compliance

  • Unfavorable body habitus (morbid obesity, large breasts)

The goal of operative treatment of humeral shaft fractures is to reestablish length, alignment, and rotation with stable fixation that allows early motion and ideally early weight bearing on the fractured extremity. Options for fixation include plate osteosynthesis, intramedullary nailing, and external fixation. External fixation generally is reserved for high-energy gunshot wounds, fractures with significant soft-tissue injuries, and fractures with massive contamination. Suzuki et al. suggested that immediate external fixation with planned conversion to plate fixation within 2 weeks is a safe and effective strategy for treatment of humeral shaft fractures in selected patients with multiple injuries or severe soft-tissue injuries that preclude early plate fixation; however, two of their 17 patients, both with open fractures, developed deep infections after conversion from external fixation to plating.

Plate osteosynthesis

Plate osteosynthesis remains the gold standard of fixation for humeral shaft fractures. Plating can be used for fractures with proximal and distal extension and for open fractures. It provides enough stability to allow early upper extremity weight bearing in polytrauma patients and produces minimal shoulder or elbow morbidity, as shown by Tingstad et al. Numerous reports in the literature cite high union rates, low complication rates, and rapid return to function after plate fixation of humeral shaft fractures. Five large series (Foster et al., McKee et al., Vander Griend et al., Bell et al., and Tingstad et al.) including 361 fractures had an average union rate of 96.7%.

A prospective, randomized comparison of plate fixation and intramedullary nail fixation of humeral shaft fractures found no significant differences in the function of the shoulder and elbow, but shoulder impingement occurred more often with intramedullary nailing, and a second surgical procedure was required in more patients with intramedullary nails than with a plate. Another study comparing antegrade intramedullary nailing with plating found that although patients had slightly more shoulder pain after intramedullary nailing than after plating, there was no difference in shoulder joint function except for flexion, which was better in patients with plating. A meta-analysis of the literature that included 155 patients found that reoperation and shoulder impingement were significantly more common after intramedullary nailing than after compression plating. In their updated meta-analysis, Heineman et al. concluded that the data were insufficient to show superiority of either technique. Gottschalk et al., however, noted that although complication rates in regard to infection and nerve palsies were significantly lower in intramedullary nailing compared with ORIF with plates (3.1% compared with 7.8%, and 1.5% compared with 3.0%, respectively), mortality was higher with intramedullary nailing (4.9% vs. 0.7%, respectively), and intramedullary nailing had significantly more pathologic fractures than open reduction with plate fixation (26.8% compared with 1.5%, respectively).

Implant choice

The most commonly used plate for fixation of humeral shaft fractures is the broad, 4.5-mm, limited-contact dynamic compression plate ( Fig. 57.41 ); occasionally, a narrow, 4.5- or 3.5-mm, limited-contact dynamic compression plate is used for smaller bones. The distal metaphyseal-diaphyseal transition zone may require dual 3.5-mm, limited-contact dynamic compression plates ( Fig. 57.42 ) or newer plates designed specifically for the metaphysis. For spiral or oblique fractures, the ideal construct consists of a lag screw with a neutralization plate, whereas transverse fractures are ideally suited for a compression plating technique. In these fractures, attaining provisional reduction with a lag screw, Kirschner wire, or mini-fragment plate (Eglseder technique) allows direct observation of the reduction and a relatively simple plate application on the reduced humeral shaft ( Fig. 57.43 ); we believe this also limits periosteal stripping by clamps.

FIGURE 57.41, Anterior plating of humeral shaft fracture with limited-contact dynamic compression plate in neutralization mode with lag screw.

FIGURE 57.42, Dual plating of distal metaphyseal-diaphyseal humeral shaft fracture.

FIGURE 57.43, A, Displaced humeral shaft fracture. B, After fixation with mini-fragment plate (Eglseder technique) and compression plating.

Comminuted fractures may require a bridge plating technique. Anatomic reduction of each fracture fragment is unnecessary. Attaining correct alignment, rotation, and length without disrupting the soft-tissue attachments to the comminuted fragments often leads to successful healing. Livani et al. reported 15 patients with bridge plating done through two small incisions proximal and distal to the fracture; all fractures united within 12 weeks except for a grade III open fracture with an associated brachial plexus injury.

In patients with poor bone quality, longer implants should be used to improve stability ( Fig. 57.44 ). Locking plates and screw augmentation with methyl methacrylate have been reported to add more stability to the construct. Generally, at least eight cortices (four screws) above and below the fracture are necessary to avoid screw pullout. The length of the plate is as important as the number of screws. More screws and longer plates for a greater working length of the implant may be needed for instability caused by poor bone quality or fracture comminution. We reserve the use of locking screws for poor bone quality and short segments.

FIGURE 57.44, A, Segmental shaft fracture with extension into proximal humerus. B and C, Long plate used to obtain secure fixation.

Approach

Numerous approaches can be used for plate fixation of the humerus. Fractures of the middle or proximal third usually are best approached through an anterolateral approach (brachialis-splitting approach). A posterior approach (triceps-splitting or modified posterior approach) is best for fractures that are midshaft or extend into the distal third of the humerus ( Fig. 57.45 ). Gerwin, Hotchkiss, and Weiland described a modified posterior approach in which the triceps is reflected medially off the lateral intermuscular septum (SEE Technique 57.7). This approach exposes an average 10 cm more of the humeral shaft than the standard posterior approach. Less frequently, a direct lateral or anteromedial approach may be appropriate. A recent study using this approach showed high union rates and low complications.

FIGURE 57.45, A, Fracture of distal third of humeral shaft. B, After plate fixation through posterior triceps-splitting approach.

You're Reading a Preview

Become a Clinical Tree membership for Full access and enjoy Unlimited articles

Become membership

If you are a member. Log in here