Falls, Memory Loss, And Fevers


Consult Page

57F here with fevers and history of falls and memory loss. Head CT shows hydrocephalus. Safety of LP?

Initial Imaging

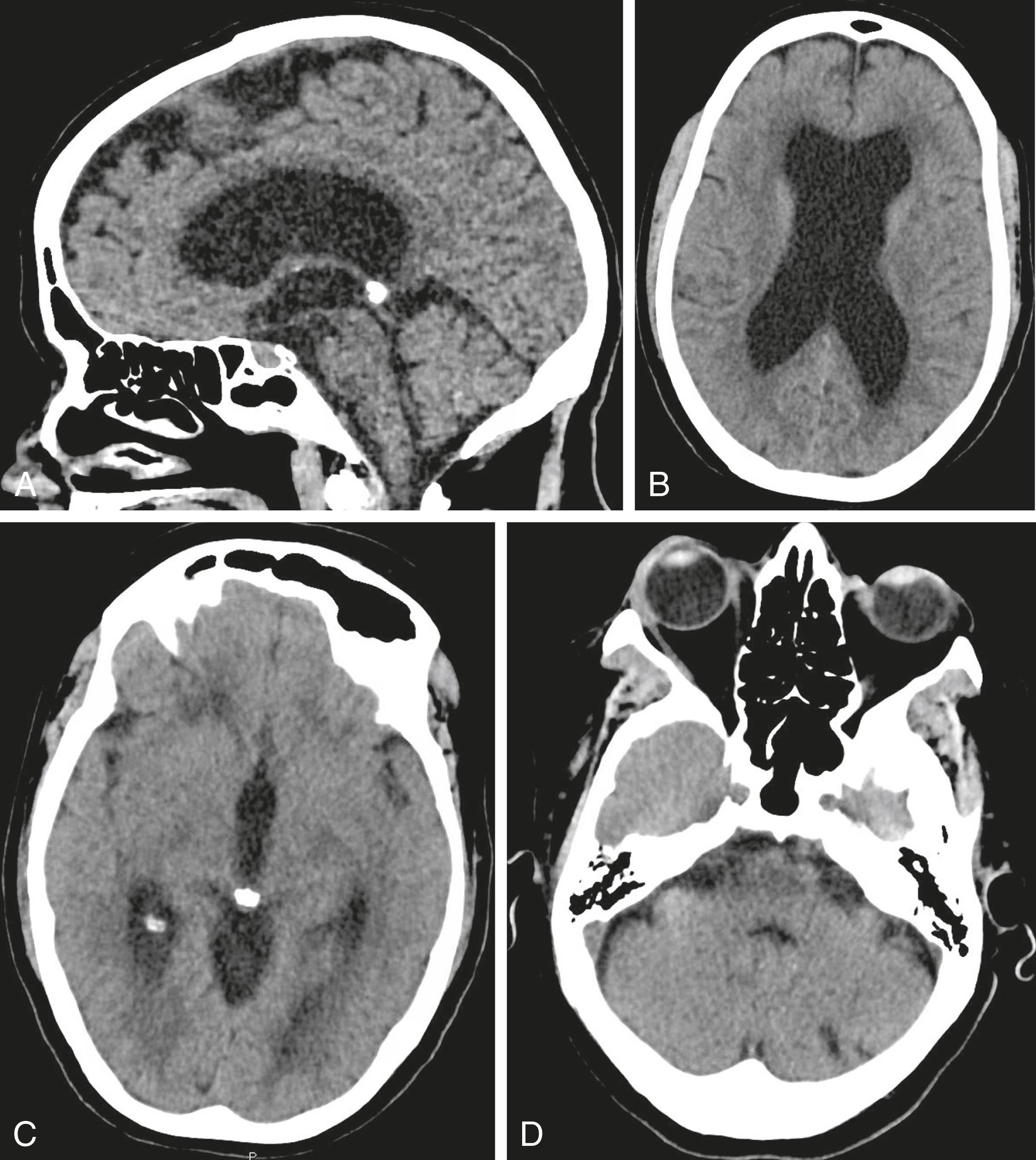
Fig. 63.1, Sagittal (A) and axial (B-D) views of a head CT without contrast demonstrates enlarged lateral (B) and third ventricles (C) with a normal fourth ventricle (D), as well as a hyperdensity near the cerebral aqueduct (C).

Walking Thoughts

  • What is the patient’s current neurological exam?

  • What are the patient’s vitals?

  • Is there concern for acutely increased intracranial pressure or herniation?

  • What other symptoms does the patient have and what is the timeline?

  • Is the diagnosis of hydrocephalus known or new?

  • What type of hydrocephalus does the patient have (e.g. communicating, obstructive)?

  • Is there concern for infection? If so, what bloodwork has been sent?

  • Why is a lumbar puncture being considered?

  • What additional imaging does the patient need?

  • Is the patient on any antiplatelet or anticoagulant medication?

History of Present Illness

A 57 year old female with a history of a renal transplant and rheumatoid arthritis presents to the emergency department (ED) with fevers and abdominal pain. Her symptoms began a few days ago with intermittent fevers, chills, abdominal pain, decreased appetite, and fatigue. She has also had about a year of headaches, memory difficulties, and imbalance. Currently, she has a headache that feels like her usual headaches, but denies any nausea, vomiting, photophobia, phonophobia, focal weakness, numbness, tingling, or vision changes. She is on long-term immunosuppressive medications for her renal transplant but is not on any anticoagulant or antiplatelet medications.

You're Reading a Preview

Become a Clinical Tree membership for Full access and enjoy Unlimited articles

Become membership

If you are a member. Log in here