Extrinsic Contracture: Lateral and Medial Column Procedures


Introduction

Of the numerous potential causes for elbow stiffness, the causes and pathophysiologic mechanisms dictate treatment and affect prognosis. An extensive treatment of these mechanisms and classification have been addressed in Chapter 53 . As discussed previously, extrinsic contracture typically involves only the soft tissues around the elbow, sparing the joint space ( Fig. 54.1 ). Posttraumatic stiffness is one of the most frequent causes of this kind of contracture ; however, it can also occur in association with other causes, such as congenital or developmental disease, osteoarthritis or inflammatory arthritis, burns, and head injury. Intrinsic contracture is associated with joint articular involvement and is not discussed here (see Chapters 53 and 114 ).

FIG 54.1, (A) Radiograph of a stiff elbow after dislocation appears normal, but the range of flexion was 70 to 100 degrees. (B) An intense reaction in the anterior capsule caused the contracture.

Several options have been proposed for treatment of elbow contracture. Conservative treatment sometimes gives good results if the contracture is of short duration a

a References .

; however, its efficacy is unpredictable. With failure of nonoperative treatment, surgical release may be indicated. This can be done arthroscopically or by open procedure, and many procedures have been described. b

b References .

Etiology and Incidence

An extrinsic contracture usually involves the periarticular soft tissue without involving the articulating surface. Contracture may involve the capsuloligamentous structures or muscle tissue. Ectopic ossification is also considered as an extrinsic condition. Bone may form a bridge across the joint or form in the capsule or in the muscle crossing the joint. Trauma is the major cause of extrinsic stiffness, especially elbow dislocation, with or without fracture. The brachialis muscle that crosses the anterior capsule tears with dislocation, developing scar tissue or ectopic bone when healing, which is often associated with contracture of the capsule. Pain, swelling, limited motion, and contracture after this type of elbow trauma then leads to the irreversible changes that constitute extraarticular ankylosis. Collateral injuries can contribute to elbow ankylosis from permanent contracture. In trauma, length of immobilization has also been recognized as a major contributor to postinjury contracture. The precise incidence of elbow stiffness after trauma is difficult to identify and is as much a function of the severity of injury as of the initial treatment. In adults, nontraumatic elbow contractures are usually caused by a primary inflammatory process. With osteoarthritis, a mild inflammatory synovitis occurs with periarticular fibrosis and osteophytic new bone formation. The articular surface of the joint is intact, but osteophytes are present at the tip of the olecranon and at the tip of the coronoid process. Hemophilia, juvenile rheumatoid arthritis, acute or chronic septic arthritis, and periarticular new bone formation after head injury can produce ankylosis of the elbow but often involve the joint space. Congenital stiffness is rare and is often associated with bone malformation or soft tissue dysplasia.

Presentation

Posttraumatic contracture of the elbow usually affects young, active patients around 40 years of age, who need the use of the elbow joint. Although such contractures are often related to intrinsic lesions, they can be associated with extrinsic stiffness. Osteoarthritis, on the other hand, involves patients in their mid-50s, predominantly men. At the beginning, the lesions are periarticular and can be considered an extrinsic condition.

Generally, the patient initially notices loss of full extension but no limitation of activity. The first complaint is pain in terminal extension. Concurrent with this is the recognition that midarc motion typically is not painful, a finding that confirms the extrinsic character of the stiffness. Occasionally, full flexion also produces pain. Flexion contracture develops progressively.

In addition to understanding whether the elbow contracture is primarily extrinsic and intrinsic, the age of the patient, severity of the stiffness, and distribution of the contracture are also important for evaluating what might be expected from the surgery. Thus the stiffness may be graded as very severe, severe, moderate, or minimal, depending on data on the amount of residual arc of flexion. The stiffness is considered very severe when the total arc is 30 degrees or less, severe when it is between 31 and 61 degrees, moderate between 61 and 90 degrees, and minimal when it is greater than 90 degrees. Based on the functional arc of motion described by Morrey and colleagues, the distribution of the contracture referable to the 30- to 130-degree arc is also considered.

Diagnosis

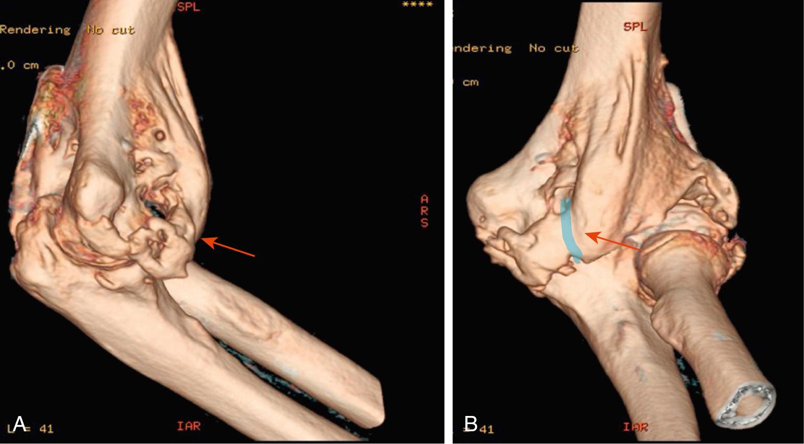
Diagnosis of the contracture is usually made by identifying a characteristic history and performing a physical examination. Joint involvement is confirmed by plain radiographs. The anteroposterior view gives good visualization of the joint line, but the lateral view demonstrates osteophytes on the coronoid and at the tip of the olecranon, even when the joint space is preserved. The details of the extent of the involvement are best observed on tomography. Transverse imaging by magnetic resonance imaging has little use in our practice, but computed tomography scan with three-dimensional reconstructions is increasingly valuable for identifying nerve involvement associated with heterotopic ossification and marginal osteophytes that may be otherwise overlooked by plain radiographs ( Fig. 54.2 ).

FIG 54.2, Computed tomography scan with three-dimensional reconstruction of a left elbow lateral (A) and anterior (B) views showing massive heterotopic ossification. The red arrow indicates the location of the median nerve (blue line) , which was nearly encased in the heterotopic ossification and highlights the importance of preoperative planning with this imaging scan when nerve involvement is anticipated.

Indications

General

Capsular release is indicated for extrinsic lesions with flexion contracture greater than 60 degrees and flexion less than 100 degrees. Surgical intervention is pursued only after very careful discussion of its risks and benefits. The patient's specific expectations and functional needs, and an estimate of the likelihood that the procedure will satisfy those needs, are carefully addressed. The potential for improving motion at the expense of stability, strength, and pain is also specifically discussed.

Open Contracture Release

The procedure described herein is relatively straightforward and may be reliably performed by the well-trained orthopedic surgeon. Arthroscopic release should be considered by those with experience and a fairly high level of competency, with both the elbow and the scope, and is covered in Chapter 55 . Furthermore, the presence of nerve symptoms or entrapment is an additional indication for an open procedure.

Contraindications

Limited involvement and limited soft tissue contracture argue against these procedures. An inadequate period of an appropriate splint program is also a contraindication. Intrinsic lesions are not absolute contraindications, but a lower level of improvement has to be expected in these cases.

Preoperative Planning

Before surgery, the decision must be made to approach the capsule from the lateral or medial aspect or both. If the ulnar nerve is to be addressed or there is extensive medial or coronoid arthrosis, the medial approach is of value. If the radiohumeral joint is involved or if a simple release is all that is required, the lateral “column” procedure is carried out ( Fig. 54.3 ). If extensive heterotopic ossification needs to be addressed, dual incisions may be of benefit and increase the margin of safety to avoid nerve damage ( Fig. 54.4A and B ).

FIG 54.3, The supracondylar bone immediately proximal to the lateral epicondyle is called the column .

FIG 54.4, Extensive heterotopic ossification can be addressed from both sides of the joint through dual incisions. A lateral column approach exposed as the heterotopic ossification along the lateral column (A). The radial head (RH) can be seen distal to the outlined heterotopic ossification (HO). The medial incision (B) reveals the spike of heterotopic ossification, near the ulnar nerve and also involving the median nerve (not seen, but protected anterior to the retractor). As can be seen in the resected specimen, the median nerve was nearly encased in bone. Great care was taken to remove the ectopic bone without nerve injury.

You're Reading a Preview

Become a Clinical Tree membership for Full access and enjoy Unlimited articles

Become membership

If you are a member. Log in here