Digit Fractures and Dislocations


Finger fractures and dislocations can range from minor, self-treated simple proximal interphalangeal joint (PIP) dislocations to some of the most complex and difficult problems in orthopedics. They are some of the most common injuries in various sports, from football to cycling. Athletes’ significant reliance on their hands for diverse purposes leads to unique challenges in the treatment and rehabilitation of these injuries. Fundamentally, digit fractures and dislocations create a challenge in balancing healing and motion. Both stability and range of motion (ROM) are important for optimal hand function, and balancing surgical intervention and early return to play (RTP) can at times put both at risk.

This chapter focuses on the osseous and soft tissue injuries most commonly encountered by the athletic trainer, general orthopedic surgeon, or sports medicine specialist who is acting as a first responder. Consequently, the most pertinent elements of the history and physical examination, followed by key imaging findings and treatment options, are presented here. Clinical pearls, decision-making principles, and our preferred surgical techniques are interspersed in keeping with the format of this textbook.

Ligamentous Injuries and Dislocations

A dislocation of the carpometacarpal (CMC), metacarpophalangeal (MCP), or interphalangeal (IP) joint is a frequently encountered sports injury. The hand is the second most common site of dislocation injury, second only to the shoulder. Awkward falls, contact with other competitors, or entanglement with equipment explain many of these incidents. Dislocations may occur from either hyperextension or hyperflexion forces, often combined with torsional and/or axial stress, the result of which dictates the direction of maximal displacement. IP joint dislocations are most often amenable to closed reduction (with the exception of rotatory dislocation of the proximal IP joint), whereas MCP and CMC dislocations are more frequently irreducible and require surgical treatment.

Metacarpophalangeal Joint

Collateral ligament injuries of the digit are much less common than those that occur at the thumb MCP joint (see the section on thumb injuries later in this chapter). Hyperabduction injuries usually occur in an ulnar direction when the finger is flexed and the ligament is taut, and hence the radial collateral ligaments (RCL) of the three ulnar-most digits are most at risk. Most hyperabduction injuries are partial injuries (grade I or II sprains) that may be treated with early active ROM and “buddy taping” to the adjacent finger for comfort. A radiograph should be obtained for all suspected collateral ligament injuries to assess for avulsion fractures. In a complete (grade III) tear, avulsion fractures may be evident, and the joint is often unstable in the coronal plane. Testing of the affected collateral ligament is performed with the MCP in flexion as that position places the collateral ligaments on maximal tension. If the joint is mechanically unstable or if an avulsion fragment displaces a substantial amount of the articular surface, an open repair is preferred. In pure ligamentous injuries or in those avulsion fractures with extremely small pieces of bone, a suture anchor works well for fixation. If the fracture fragment is large enough, we prefer to use Kirschner wires or mini fragment screw fixation ( Fig. 74.1A and B ). The avulsed fragment is on the volar half of the proximal phalanx, but we prefer a dorsal approach, as it provides excellent visualization of the entire articular surface. Immobilization of the joint in flexion (intrinsic plus or “safe” position) prevents the development of an extension contracture. For chronic tears presenting in a delayed fashion with pain and instability, temporary pinning of the MCP joint in flexion may be indicated for 2 to 3 weeks, with active motion begun thereafter. Proper diagnosis and treatment at the time of injury in important, because there is evidence that surgical repair of chronic grade III tears have inferior outcomes.

Fig. 74.1, Anteroposterior x-ray of thumb from a 31-year-old patient who fell on the radial thumb. Avulsion fracture with malrotation (A). This fracture fragment was reduced with an open approach and fixed with diverging Kirschner wires (B).

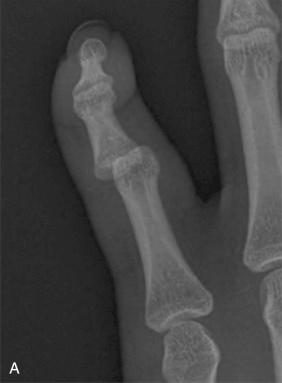
Although MCP dislocations may occur in any digit, the index and small fingers are most vulnerable as border digits. Volar MCP dislocations are relatively rare. Dorsal MCP dislocations are classified as simple (easily reduced) or complex (irreducible by closed reduction). Simple dislocations present with the MCP hyperextended between 70 and 90 degrees ( Fig. 74.2 ). The reduction maneuver combines gentle flexion, slight traction, and a volarly directed pressure at the base of the proximal phalanx ( Fig. 74.3 ). Complex dislocations are often characterized by interposition of the volar plate between the articular surfaces, rendering them irreducible by closed means ( Fig. 74.4 ). The lumbrical muscle is tethered around the radial side of the metacarpal head, and the flexor tendons loop around its ulnar side. Simple traction will only tighten this interval and prevent reduction. Dimpling of the palmar skin around the metacarpal head is one sign of an irreducible dislocation. Sesamoid bones may also be interposed in the index or small finger MCPs. Posteroanterior radiographs may show joint space narrowing or even bayonet apposition. A Brewerton view, taken with the forearm supinated and the MCP joints against the x-ray plate, may show an associated metacarpal head fracture.

Fig. 74.2, Sesamoids and the attached volar plate perched at the dorsal metacarpal head.

Fig. 74.3, Reduction of the metacarpophalangeal joint with the volar plate in its normal position.

Fig. 74.4, Parallel alignment of the metacarpal and proximal phalanx (a complex metacarpophalangeal dislocation).

Every athlete deserves an attempt at closed reduction for a dislocated MCP joint. Although performing immediate reduction “on the field” is tempting, this procedure is best performed with adequate anesthesia and patient comfort. Attempts at longitudinal distraction or exaggeration of the hyperextension deformity risk converting a reducible subluxation into an irreducible dislocation by permitting the volar plate to fall dorsally between the metacarpal head and the base of the proximal phalanx. If the joint is successfully reduced with digit flexion and volarly directed pressure at the base of the proximal phalanx, a dorsal blocking splint may be applied, preventing hyperextension beyond neutral. Early active motion is started under the supervision of a therapist within 1 week.

When an attempt to perform a closed reduction is unsuccessful, we prefer to use a dorsal approach to perform an open reduction. In this approach, the dorsal capsule is opened, and the interposed volar plate is longitudinally split down its midline to achieve reduction. The dorsal approach also provides excellent access for fixation of the occasional osteochondral shear fracture of the metacarpal head. Volar approaches are also reasonable but require vigilance when dissecting around malpositioned digital nerves. In particular, the radial digital nerve is displaced centrally and superficially by index MCP dislocations, and the ulnar digital nerve is displaced by small MCP dislocations. Care must be taken immediately after skin incision if this approach is chosen. Alternatively, a percutaneous approach to reducing complex dislocations has been reported. Return to sports is guided by return of ROM and comfort level, because chronic instability of this joint is unlikely. Long-term follow-up of complex MCP dislocations has shown good outcomes if the injury is treated appropriately. An early return to sports (within 1 to 2 weeks) is possible with buddy taping and the use of a protective customized orthosis for athletes who participate in contact sports.

Proximal Interphalangeal Joint

Many athletes are subject to injuries of the soft tissue stabilizers of the proximal interphalangeal (PIP) joint over the course of their careers. Pure hyperextension forces produce volar plate injuries, whereas hyperflexion forces may disrupt the central slip of the extensor tendon. The collateral ligaments are susceptible to torsional and angular stresses ( Fig. 74.5 ). Frequently the athlete relates a history of “jamming” the finger. When additional energy is imparted to the digit(s), simple sprains may escalate to disabling complex fractures/dislocations.

Fig. 74.5, Eaton's three-sided box depiction of the proximal interphalangeal joint. VP, Volar plate.

The athlete's account of the injury may provide verbal or even visual clues as to “which way the finger went.” If stated definitively, the pathoanatomy is almost instantly determined. When the patient cannot recall the sequence of events leading to the injury, the physical examination is paramount. After radiographic evaluation, the examiner must try to discern the area of maximal tenderness—dorsal, volar, radial, or ulnar—which is easiest for injuries of the mildest form. As the severity increases, it becomes more difficult to characterize the injury, especially in the acute phase when swelling and sensitivity to manipulation are heightened. Any deformity in the resting position is noted. Reproduction of the mechanism of injury will be uncomfortable. ROM is often limited by pain at first presentation and is not predictive of a certain pathology.

A central slip injury or avulsion should be suspected in all PIP injuries for which the athlete has predominantly dorsal tenderness. Three tests can be performed to ensure that the central slip is still attached to the dorsal base of the middle phalanx. First, “tenodesis extension” of the PIP joint is checked with the MCP joint in full flexion. The PIP joint should passively extend to within 15 degrees of full extension. Next, passively extend the PIP joint and ask the patient to flex the distal interphalangeal (DIP) joint. Inability to flex this joint implies retraction of a ruptured central slip, with extension forces concentrated at the DIP joint through the lateral bands. Finally, perform the Elson test by flexing the PIP joint to 90 degrees. If the DIP joint becomes rigid to passive flexion as the digit is actively extended, then the central slip is ruptured and extension is occurring through the lateral bands. Although difficult to perform very early after injury in the setting of substantial pain, we prefer the Elson test to diagnose these extensor tendon avulsions.

Mild PIP joint hyperextension injuries produce partial injury to the volar plate and on examination are stable with both active and passive extension. Treatment involves buddy taping for 3 to 4 weeks, with Coban elastic wrap used carefully at night to decrease edema. Patients must be instructed on how to safely apply Coban to prevent compromising blood flow secondary to excessively tight compression. Isolated collateral ligament sprains are treated similarly. Flexion contractures notoriously develop after mild hyperextension injuries and small volar plate bony avulsions from the base of the middle phalanx, which are seen best on perfect lateral radiographs of the digit ( Fig. 74.6 ). These contractures are correctly termed “pseudoboutonnière” deformity, where the presenting flexion deformity at the PIP joint could be mistaken for the resultant posture after a central slip injury. However, careful inspection fails to reveal obligate DIP hyperextension (restricting passive DIP flexion) that accompanies disruption of the central slip, and the Elson test is negative. Therefore aggressive early motion recovery is the mainstay of treatment of volar plate sprains at the PIP joint. Static progressive or dynamic extension splinting may be necessary in recalcitrant cases of PIP flexion contracture. Patients should be counseled on the persistent discomfort and swelling that can last for upwards of 9 months with these seemingly innocuous injuries. At least to some degree, residual loss of motion is common.

Fig. 74.6, Lateral x-ray demonstrating volar plate avulsion fractures from the index, long, and ring fingers in a 41-year-old female after falling from standing.

PIP dislocations are often self-diagnosed and self-treated. Delayed presentation is frequent when self-relocation is successful, because many athletes do not question the persistent pain and swelling of the joint until sometimes weeks or even months after the incident. Most PIP dislocations are closed injuries, but open dislocations are not uncommon and require appropriate irrigation and débridement. Open PIP dislocations have occurred in soccer goalkeepers, softball players, and martial arts experts.

When a dorsal PIP dislocation occurs, the volar plate and collaterals are injured, but the articular surfaces of the joint are still in congruent contact upon reduction. Stable reductions are treated with buddy taping and early ROM. When the joint has a tendency to hyperextend, possibly as a result of baseline PIP volar plate laxity, a splint is fashioned to sit dorsally and keep the joint partially flexed (i.e., a dorsal block splint). In the setting of any instability, we recommend determining the flexion necessary to keep the joint concentrically reduced before fashioning an orthosis to maintain the joint in 10 to 20 degrees of flexion greater than the degree at which the joint subluxates ( Fig. 74.7 ). Even simple dislocations are quite painful, and the athlete will need to work continuously with his or her trainer or occupational therapist to regain full flexion within the first 3 weeks after injury. At 3 weeks, active extension is emphasized to combat the development of flexion contractures, with use of a resting/nighttime splint in full PIP extension. If a flexion contracture remains 5 weeks after injury, dynamic PIP extension splinting should be prescribed. An accelerated return to certain sports is possible within 7 to 14 days, depending on the degree of pain, swelling, and improvement in digital motion combined with the anticipated demands of the particular sport.

Fig. 74.7, Lateral x-rays demonstrating dorsal subluxation after reduction of dislocation (upper image) and restoration of a congruent proximal interphalangeal joint after increased flexion (lower image) .

Complex PIP dislocations may present with displaced articular surfaces and bayonet positioning of the phalanges ( Fig. 74.8 ). Rupture of the volar skin can occur from an inside-to-outside mechanism, and residual stiffness is more common after treatment. In the absence of a large accompanying fracture, a closed reduction with anesthesia from a digital block is attempted by gently pushing the middle phalanx (P-2) over the articular surface of the proximal phalanx (P-1). Soft tissues occasionally may become entrapped, necessitating an open reduction through a dorsal approach. The dorsal surgical approach splits the interval between the central slip and the lateral band on one side. Any interposed tissue is extracted and the joint is reduced. Stability is checked after the reduction is performed, and a dorsal splint that blocks terminal extension is fabricated for use in the first 2 to 3 weeks, with the PIP joint in approximately 20 to 30 degrees of flexion. Again, residual flexion contracture is a concern, and active extension is emphasized by 3 weeks. Return to sports, especially if contact is anticipated, is delayed for 3 to 4 weeks with these more severe injuries. Buddy taping or a protective orthosis is recommended during the respective sporting activity until 6 weeks after injury or until nearly full motion is achieved.

Fig. 74.8, The phalanges shown in the bayonet position on anteroposterior x-ray (A) and on lateral x-ray (B).

Dislocations associated with significant volar fracture fragments at the base of P-2 are almost uniformly challenging to treat. Various authors have classified these injuries, and a variety of fracture configurations may exist, from simple large volar fragments to complex comminuted pilon injuries involving the entire articular surface of P-2 ( Fig. 74.9 ). It may be helpful initially to categorize these injuries by the percentage of the articular surface involved. Fractures with up to 30% involvement are usually stable after reduction and can be treated with dorsal block splinting or a dorsal block pinning with a K wire inserted into the head of P-1, under fluoroscopic guidance, to block the last 30 degrees of extension. Ideally the K wire is placed slightly eccentrically between the central slip and lateral band of the extensor mechanism. The pin is removed at 3 to 6 weeks, but active flexion is encouraged starting immediately after surgery. In our experience, the amount of motion performed with the K wire in place is extremely variable between patients. Injuries involving the “gray zone” of 30% to 50% of the joint surface are potentially unstable, and care is dictated by the degree of instability. Fractures with involvement of more than 50% of the joint surface are consistently unstable and require surgical intervention. These joints will not remain reduced in a splint, as there is no volar bony buttress for the joint and all collateral ligament insertion is on the fracture fragment(s). Generally speaking, if a stable closed reduction cannot be obtained with 45 degrees of flexion, operative fixation is indicated.

Fig. 74.9, Dorsal subluxation of the proximal interphalangeal joint with an impacted fracture at the base of the middle phalanx (P-2).

If the volar fragments are large, direct fixation may be attempted with mini screws ( Fig. 74.10 ) or K wires ( Fig. 74.11 ) through a formal volar approach. For the open approach, a Bruner or curvilinear incision is made and the flexor tendon sheath is opened between the A-2 and A-4 pulleys to retract the tendons for exposure to the joint. The volar fragments are reduced and held with 1.3- or 1.5-mm screws ( Fig. 74.12 ). This procedure is technically demanding, and most patients will have some degree of permanent PIP stiffness. A percutaneous technique has been described recently in a small case series. If the volar fragments are comminuted, open reduction may be bypassed for external fixation, either statically or with dynamic traction. Badia and associates described a modification of a traction technique that was originally reported by Gaul and Rosenberg ( Fig. 74.13 ). Once the fixator is applied, a limited open reduction can be effected through a midaxial approach to elevate any articular fragments not reduced by the traction device.

Fig. 74.10, (A) An impacted proximal interphalangeal (PIP) articular surface with joint subluxation. (B) Reduction of PIP joint alignment and fixation of volar articular fragments with 1-mm screws.

Fig. 74.11, Proximal interphalangeal joint fracture/subluxation (left) treated with static pinning, with restoration of the joint surface (right) .

Fig. 74.12, The volar approach for fixation of a middle phalanx (P-2) volar lip and pilon fracture. The arrow points to the volar fragment.

Fig. 74.13, (A) A proximal interphalangeal joint pilon fracture with comminution. (B) Reduction of the joint surface with K wires and a traction device (the Rosenburg technique).

It is surprising how many athletes ignore an injured, stiff PIP joint. When a PIP fracture/subluxation or fracture/dislocation is chronic (i.e., older than 4 weeks), a reconstructive procedure may be the only remaining option to improve PIP function. Although a detailed description is beyond the scope of this chapter, both volar plate arthroplasty and hemihamate arthroplasty for reconstruction of the base of P-2 are effective options. The hemihamate reconstruction is preferred in young active patients with a neglected PIP fracture/dislocation because it comes closest to restoring normal anatomy ( Fig. 74.14 ). Volar plate arthroplasty is where the volar plate is advanced into the articular defect at the base of the middle phalanx and is effectively used as a checkrein to avoid dorsal PIP joint instability. It may lead to increased risk of flexion contracture and is not our preferred procedure.

Fig. 74.14, (A) A neglected proximal interphalangeal joint fracture/subluxation with resulting degenerative changes. (B) A chronic dorsal fracture/subluxation may be treated with hemihamate arthroplasty.

Volar dislocations of the PIP joint are rare but must not be missed, because treating them after a delayed presentation results in suboptimal function. An avulsion of the central slip occurs with volar dislocations. Closed reduction of most acute volar dislocations is successful, and the central slip avulsion is allowed to heal with the PIP joint splinted in full extension for approximately 6 weeks. The DIP joint is kept free for maintenance of active flexion during this phase. Encouraging DIP flexion maximizes DIP motion but more importantly pulls the central slip distally and keeps the lateral bands more dorsal while the PIP is immobilized. After 6 weeks, active PIP flexion is initiated and a nighttime static PIP extension splint and/or daytime dynamic extension splint is used for an additional 6 weeks.

An open dorsal approach is used for repair of volar PIP dislocations with avulsion fractures of the central slip attachment or central slip avulsion. A tension band technique is used with 26-gauge wire, a mini fragment (1.0- or 1.3-mm) screw, or a suture anchor ( Fig. 74.15 ). We would typically supplement any central slip repair with transarticular pinning for 6 weeks. Rehabilitation entails protecting the dorsal central slip insertion for at least 6 weeks. Return to sports is variable after this injury. If the sport involves minimal finger force or motion, then early return in an orthosis is possible. If finger flexion is necessary, then return to sport is not considered in the first 6 weeks and likely will be difficult for up to 3 months as the athlete works to restore motion.

Fig. 74.15, (A) A rare volar proximal interphalangeal (PIP) joint dislocation. (B) A reduced volar PIP dislocation. (C) A central slip avulsion fixed with a suture anchor.

Distal Interphalangeal Joint or Thumb Interphalangeal Joint

Dislocations of the DIP joints of the fingers and the IP joint of the thumb are less common than PIP joint dislocations. This phenomenon is explained by the short lever arm of the distal bony segment, highly congruous articular surfaces, and tight-fitting collaterals inserting at the lateral tubercles of the distal phalanx base (P-3 of the digit and technically P-2 of the thumb). Dislocations of the terminal phalanx occur dorsally or laterally and are often associated with open wounds. Concomitant fractures and injuries to the flexor and extensor tendon insertions must be considered.

Once radiographs are performed to assess for an accompanying fracture, a closed dislocation is readily reduced with use of digital block anesthesia. The reduction is performed with traction and a dorsal to volar pressure is applied to the dorsal aspect of P-3 (or P-2 of the thumb). Stability is checked after the reduction is performed, and the digit initially is splinted in slight flexion. Active motion can begin after 5 to 7 days, with a block to terminal extension at about 20 degrees. Dorsal block splinting can be removed altogether by 3 weeks. Open injuries require irrigation and débridement in a sterile setting. Irreducible dislocations have been reported but are rare. Also seldom reported are simultaneous dislocations of both IP joints in the same digit. Checking flexor and extensor tendon function after a successful closed reduction is critical. Low-profile splinting and/or buddy taping may allow for an early return to sports.

Phalangeal Fractures

Open fractures at the phalanges are much more common than open injuries at the metacarpal level. Associated injuries to neurovascular bundles and tendons, as well as the condition of the soft tissue envelope, have a great deal of influence on the patient's ultimate recovery after phalangeal fractures. While at times early RTP can be safe and effective, phalangeal fractures can lead to prolonged time out of competition, especially in ball sports requiring both hands for optimal performance. In one study, the worst functional results were seen in phalangeal fractures associated with tendon injuries. This information can help the treating physician counsel the athlete with an open phalangeal fracture or a fracture associated with a tendon disruption. As a general rule of thumb, the more tissue types (e.g., bone, tendon, nerve, artery, skin) that are injured, the worse the outcome after that digit injury. Malrotation of P-1 fractures is common and necessitates open reduction and internal fixation (ORIF) to ameliorate finger “scissoring” or “splaying.” Comminuted fractures are best treated with percutaneous pinning ( Fig. 74.16 ) or even, rarely, external fixation.

Fig. 74.16, (A) A comminuted middle phalanx (P-2) fracture. (B) Crossed pinning of a P-2 fracture with the proximal interphalangeal joint free.

The extensor apparatus is closely applied to the dorsal and lateral surfaces of P-1 and P-2. Either interference with this gliding structure or shortening of the dorsal apparatus can cause loss of motion at the IP joints. Shortening of proximal phalangeal fractures relatively lengthens the dorsal apparatus and causes an extensor lag at the IP joints without restriction in passive extension. The PIP joint is spherical in the sagittal plane, and collateral ligaments on each side of the PIP joint do not shorten with PIP motion. As opposed to the MCP joints, the safe position of immobilization for the PIP joint is in full extension. The volar plate is also sensitive to injury, immobilization, and posttraumatic edema. Contracture of the volar plate leads to PIP joint stiffness and a flexion contracture.

Because soft tissue injuries frequently accompany phalangeal fractures, an accurate assessment on physical examination is important. Injured structures are repaired at the time of fracture fixation, and the postoperative regimen is adjusted accordingly. Proper digit rotation is indicated by parallel nail plates in extension and flexion, although malrotation is generally more readily appreciated in flexion toward a composite fist. Among numerous possible phalangeal fracture patterns, we discuss the specific treatment of spiral oblique shaft fractures and unstable transverse metaphyseal fractures in this chapter.

Torsional injuries are common in all sports and often result in oblique fractures of P-1 ( Fig. 74.17A ). Displaced, shortened, and malrotated oblique fractures are all indications for operative fixation. Techniques that are minimally invasive yet afford maximal strength are ideally suited for earlier RTP in high-demand athletes who sustain fractures that require operative reduction. ORIF with lag screws is recommended when the fracture length is at least twice as long as the bone diameter. Minimal operative disruption of the extensor apparatus is critical to accelerate postoperative recovery. Sometimes one “wing” of the lateral bands needs to be resected to allow reduction and fixation. Lag screws of 1.3-, 1.5-, or 2.0-mm diameter are used, based on fracture length and bone morphology (see Fig. 74.17B ). If bone loss or comminution is present, a plate and screw constructs are considered. Operative fluoroscopy is necessary to document reduction and appropriate screw lengths. When used properly with the injured hand positioned against the image intensifier, a mini fluoroscopy unit offers the advantage of limited radiation exposure and is preferred by most hand specialists.

Fig. 74.17, (A) An oblique proximal phalanx (P-1) fracture. (B) Open reduction and internal fixation of a P-1 fracture with lag screws.

Transverse metaphyseal fractures of the proximal phalanx are notoriously unstable, especially if significant displacement was evident on injury films ( Fig. 74.18A ). Comminution and complex injuries may require either mini plate fixation (see Fig. 74.18B ) or external fixation. Preferential positioning of the plate (1.5 or 2.0 mm) laterally potentially reduces extensor tendon adhesions and may maximize recovery of ROM. We have also preferred to close periosteum over hardware when possible. Simple angulated fractures ( Fig. 74.19A and B ) may be treated with closed reduction and percutaneous fixation by crossing two pins (0.045 inch) across the fracture site starting from each lateral tubercle of the proximal phalanx base. Neither the MCP nor PIP joints are violated by this fixation strategy (see Fig. 74.19C ). Pins are removed at 3 weeks, but some MCP and PIP motion can begin before pin removal depending on patient comfort, compliance, and soft tissue envelope. More recently some practitioners have had success with minimally invasive cannulated headless compression screws for transverse fractures of phalanges.

Fig. 74.18, (A) An angulated thumb proximal phalanx (P-1) fracture. (B) Open reduction and internal fixation of a P-1 fracture with a 1.5-mm ladder plate.

Fig. 74.19, (A) Angulated P-1 metaphyseal fractures of the ring and small fingers. (B) Apex volar angular deformities. (C) Reduction and percutaneous pinning.

In general, many athletes can RTP immediately or within a month of a stable, nonoperative metacarpal or phalangeal fracture. Morse et al. documented the RTP in National Basketball Association (NBA) basketball players with hand injuries and showed that nonoperative phalangeal fractures were out an average of 33 days, while operative metacarpal fractures were out the longest for hand fractures with an average of 57 days. In sports where dexterity is less crucial than basketball, bracing and buddy taping can allow for earlier RTP. Experienced hand therapists can design custom-molded orthoses that adequately protect hand injuries yet allow for speedier return to participation in the athlete's specific activity. Clearly certain activities such as weight lifting or extreme contact sports may require a longer period of protection to prevent reinjury.

Osseous and Soft Tissue Injuries of the Thumb

Athletes and physicians alike are familiar with the thumb's crucially important role in hand function and sports activities. Whether the athlete is handling a ball, pole vaulting, handling a stick, or checking the reins, the function of the opposable thumb is indispensable for the interaction of the athlete with his or her competitive environment. Essential functions of large-object (cylindrical) grasp, key, and tip pinch are dependent on normal thumb stability, mobility, sensibility, and length. The thumb is frequently injured because of its location out of the plane of the palm and its involvement in the most demanding of tasks. Thumb injuries are particularly prevalent in men's lacrosse compared with other sports involving a stick and glove.

Thumb stability at the CMC and MCP joints is crucial for opposing the thumb in pinching and grasping. Stout dorsal and palmar ligaments at the CMC level and collateral ligaments at the MCP level maintain normal stability. The thumb's unique osseous structure, with a specialized basilar joint, along with its at-risk position, lead to unique injury patterns. The MCP joint is particularly susceptible, and collateral ligaments are frequently compromised. Torn or chronically incompetent ligaments at either level lead to weakness, degenerative joint disease, and painful dysfunction. In this section, we review injuries of the thumb.

You're Reading a Preview

Become a Clinical Tree membership for Full access and enjoy Unlimited articles

Become membership

If you are a member. Log in here