Digestive System: Alimentary Canal


The alimentary canal , the tubular portion of the digestive tract, extends from the oral cavity to the anus. Aliquots of food that was swallowed at the level of the oral cavity enters the alimentary canal to be churned, liquefied, and digested so that its nutritional elements and water can be absorbed and its indigestible components eliminated. The approximately 9-m-long alimentary canal is subdivided into several morphologically recognizable regions: the esophagus, stomach, small intestine (duodenum, jejunum, and ileum), and large intestine (cecum, colon, rectum, anal canal, and appendix). The time that is spent by the ingested food in the various regions of the alimentary canal depends on many factors, including its chemical composition. However, a “standard” meal spends 5 seconds in the esophagus, 3 to 5 hours in the stomach, 6 to 12 hours in the small intestine, and 30 to 40 hours in the large intestine.

The alimentary canal has a general plan that will now be presented. Once the conceptual design of the alimentary canal is understood, variations on that common theme are easier to assimilate.

General Plan of the Alimentary Canal

The alimentary canal is composed of the following concentric layers: mucosa, submucosa, muscularis externa, and serosa (adventitia).

The alimentary canal is composed of several histological layers, which are schematically illustrated in Fig. 17.1 . These layers are innervated by the enteric nervous system and modulated by parasympathetic and sympathetic nerves; they are also served by sensory fibers.

Fig. 17.1, Schematic diagram of the alimentary tract displaying its various layers and the generalized contents of each layer.

Histological Layers

The histology of the alimentary canal displays four layers: mucosa , submucosa , muscularis externa , and serosa (or adventitia ). Although these layers are similar along the entire length of the digestive tract, they display regional modifications and specializations.

Mucosa

The lumen of the alimentary canal is lined by the mucosa, composed of an epithelium ; a subepithelial loose connective tissue known as the lamina propria , a richly vascularized connective tissue that houses glands as well as lymph vessels and occasional lymphoid nodules; and the muscularis mucosae , always composed of smooth muscle that usually has two layers—an inner circular layer and an outer longitudinal layer.

Submucosa

The mucosa is surrounded by a dense, irregular, fibroelastic connective tissue layer, the submucosa (see Fig. 17.1 ), which houses glands in only two regions of the alimentary canal—the esophagus and duodenum. The submucosa also contains blood and lymph vessels, as well as a component of the enteric nervous system known as the Meissner submucosal plexus ( Meissner plexus ). This plexus, which also houses postganglionic parasympathetic nerve cell bodies, controls the motility of the mucosa (and, to a limited extent, the motility of the submucosa) and the secretory activities of its glands.

Muscularis Externa

The muscularis externa is usually composed of inner circular and outer longitudinal smooth muscle layers.

A thick muscular layer, the muscularis externa , surrounds the submucosa and is responsible for peristaltic activity : the movement of the contents of the lumen along the alimentary tract. The muscularis externa, composed of smooth muscle (except in the esophagus), is usually disposed in two layers: the inner circular layer and outer longitudinal. Certain modified smooth muscle cells, the interstitial cells of Cajal , undergo rhythmic contractions. Therefore, they are considered to be the pacemakers for the contraction of the muscularis externa. A second component of the enteric nervous system, known as the Auerbach myenteric plexus ( Auerbach plexus ), is situated between these two muscle layers. It regulates the activity of the muscularis externa (and, to a limited extent, the activity of the mucosa). The Auerbach plexus also houses postganglionic parasympathetic nerve cell bodies.

The inner circular and the outer longitudinal layers are arranged in a helical configuration. The pitch of the helices differs, however: the inner circular layer displays a tight helix, whereas the outer longitudinal layer presents a loose helix.

Serosa or Adventitia

The muscularis externa is enveloped by a thin connective tissue layer that may or may not be surrounded by the simple squamous epithelium of the visceral peritoneum. If the region of the alimentary canal is intraperitoneal, it is invested by peritoneum, and the simple squamous epithelial covering is known as the serosa . If the organ is retroperitoneal, it adheres to the connective tissue of the body wall by its dense irregular connective tissue component and is known as the adventitia .

Innervation of the Digestive Tract

The enteric nervous system, innervating the alimentary canal, is modulated by sympathetic and parasympathetic nervous systems.

The alimentary canal is innervated by two nervous components: an intrinsic element, the enteric nervous system , and the extrinsic constituents, the sympathetic and parasympathetic nervous systems . The enteric nervous system is completely self-sufficient; however, its functions are usually modified by the sympathetic and parasympathetic components. In fact, severing the sympathetic and parasympathetic connections to the entire gut does not interfere with the functions of the alimentary canal.

Enteric Nervous System

The enteric nervous system is a self-contained nervous system composed of numerous repeating ganglia known as the Meissner submucosal plexus and Auerbach myenteric plexus.

The enteric nervous system , considered to be the third component of the autonomic nervous system, extends the entire length of the alimentary canal from the esophagus to the anus and is dedicated to controlling the secretory and motile functions of the alimentary canal. The 500 million or so neurons of the enteric nervous system are distributed in a large number of small clusters of nerve cell bodies and associated nerve fibers in the Auerbach myenteric plexus and Meissner submucosal plexus . The number of neurons associated with the enteric nervous system exceeds by a factor of 5 the total number of neurons contained within the spinal cord, suggesting that the enteric nervous system is an exceptionally important entity.

Generally speaking, the peristaltic motility of the digestive tract is under the direction of the myenteric plexus, whereas its secretory function and mucosal movement, as well as the regulation of localized blood flow, are governed by the submucosal plexus. Moreover, the myenteric plexus is concerned not only with local conditions but also with conditions along much of the digestive tract, whereas the submucosal plexus is attentive primarily to local conditions in the vicinity of the particular cluster of nerve cells in question. As with all generalizations, there are exceptions to these rules. Therefore, it must be appreciated that there is a great deal of interaction between the two sets of plexuses, and the possibility of cross-controls has been suggested.

Sensory components located in the wall of the alimentary canal convey information concerning the luminal contents, muscular status, and secretory status of the gut to the plexuses in the vicinity of the information, as well as to plexuses at considerable distances from the location of the information source. In fact, some of the information is transmitted to sensory ganglia, as well as to the central nervous system (CNS), by nerve fibers that accompany fibers of the sympathetic and parasympathetic nerve supplies of the digestive tract.

Parasympathetic and Sympathetic Supply to the Gut

Parasympathetic innervation stimulates peristalsis, inhibits sphincter muscles, and triggers secretory activity. Sympathetic nerves inhibit peristalsis and activate sphincter muscles.

Much of the digestive tract receives its parasympathetic nerve supply from the vagus nerve (cranial nerve [CN] X). However, the descending colon and rectum are innervated by the sacral spinal nerves ( spinal outflow ). Most of the fibers of the vagus nerve are sensory and deliver information from receptors in the mucosa and muscle layers of the alimentary canal to the CNS. Frequently, responses to the information are then conveyed by the efferent vagal fibers from the CNS to the digestive tract. The parasympathetic fibers synapse with postganglionic parasympathetic nerve cell bodies, as well as with nerve cell bodies of the enteric nervous system in both plexuses. The parasympathetic innervation is responsible for inducing secretions from the glands of the digestive tract and for smooth muscle contraction.

The sympathetic innervation , controlling blood flow to the alimentary canal, is derived from the splanchnic nerves. As a generalization, it may be stated that parasympathetic innervation stimulates peristalsis, inhibits sphincter muscles, and triggers secretory activity; whereas sympathetic innervation inhibits peristalsis and activates sphincter muscles.

The remainder of this chapter discusses the various regions of the alimentary canal, highlighting how they differ from the general plan.

Esophagus

The mucosa of the approximately 25-cm-long esophagus , a muscular tube connecting the oral pharynx to the stomach, presents numerous longitudinal folds that cause the lumen to appear to be obstructed. However, when the bolus travels down the esophagus to the stomach, the folds disappear, the esophagus becomes distended, and the lumen becomes patent.

Esophageal Histology

Mucosa

The esophageal mucosa is composed of a stratified squamous epithelium, fibroelastic lamina propria, and a smooth muscle layer that is composed only of the longitudinally disposed muscularis mucosae.

The mucosa of the esophagus is composed of three layers: the epithelium, lamina propria, and muscularis mucosae ( Figs. 17.2 and 17.3 ).

Fig. 17.2, Esophagus. Note that its lumen is lined by a relatively thick, stratified squamous epithelium (E) that forms a well-developed rete apparatus with the underlying lamina propria (LP). The submucosa (S) is surrounded by a thick muscularis externa composed of an inner circular (IC) and outer longitudinal (OL) muscle layer (×17).

Fig. 17.3, This low-magnification photomicrograph of the esophagus displays its stratified squamous nonkeratinized epithelium (E), its narrow lamina propria (LP) and the muscularis mucosae (MM) as well as submucosa (SM). Note that the inner circular (IC) and outer longitudinal (OL) muscle layers of the muscularis externa are composed of skeletal muscle fibers, indicating that this section was taken from the upper third of the esophagus. (×132)

The 0.5-mm-thick stratified squamous nonkeratinized epithelium lining the lumen of the esophagus interdigitates with the lamina propria, forming a well-developed rete apparatus. The epithelium is regenerated at a much slower rate than that of the remainder of the gastrointestinal (GI) tract; the newly formed cell in the basal layer of the epithelium reaches the free surface in about 3 weeks after formation. Interspersed within the keratinocytes of the epithelium are antigen-presenting cells , known as Langerhans cells , which phagocytose and degrade antigens into small polypeptides, known as epitopes (Langerhans cells are discussed in Chapter 14 , Integument).

The lamina propria houses esophageal cardiac glands located in only two regions of the esophagus, one cluster near the pharynx and the other near its juncture with the stomach. It also houses occasional lymphoid nodules, members of the gut-associated lymphoid system ( GALT ). The muscularis mucosae is unusual in that it consists of only a single layer of longitudinally oriented smooth muscle fibers that become thicker in the vicinity of the stomach.

The esophageal cardiac glands produce a mucous secretion that coats the lining of the esophagus, lubricating it to protect the epithelium and to make it easier to convey the bolus into the stomach.

Submucosa

The submucosa of the esophagus houses mucous glands known as the esophageal glands proper.

A dense, fibroelastic connective tissue forms the submucosa of the esophagus, which houses the esophageal glands proper . The esophagus and the duodenum are the only two regions of the alimentary canal with glands in the submucosa.

Electron micrographs of these tubuloacinar glands indicate that their secretory units are composed of mucous cells and serous cells. Mucous cells have basally located, flattened nuclei and apical accumulations of mucinogen-filled secretory granules. Serous cells possess round, centrally placed nuclei and numerous cytoplasmic secretory granules that house the proenzyme pepsinogen and the antibacterial agent lysozyme . The ducts of these glands deliver their secretions into the lumen of the esophagus.

The submucosal plexus is in its customary location within the submucosa, in the vicinity of the inner circular layer of the muscularis externa.

Muscularis Externa and Adventitia

The muscularis externa of the esophagus is composed of both skeletal and smooth muscle cells.

The muscularis externa of the esophagus is arranged in the customary two layers, inner circular and outer longitudinal. However, these muscle layers are unusual in that they are composed of both skeletal and smooth muscle fibers. The muscularis externa of the upper third of the esophagus has mostly skeletal muscle and is served by the vagus nerve (CN X), the middle third has both skeletal and smooth muscle, and the lowest third has only smooth muscle fibers that are served by nerve fibers of the enteric nervous system. The Auerbach plexus occupies its usual position between the inner circular and outer longitudinal smooth muscle layers of the muscularis externa.

The esophagus is covered by an adventitia until it pierces the diaphragm, after which it is covered by a serosa .

Histophysiology of the Esophagus

A bolus entering the esophagus is conveyed, via peristaltic action of the muscularis externa, into the stomach at a rate of about 50 mm/sec. The esophagus possesses physiological sphincters at two levels, the upper esophageal sphincter ( pharyngoesophageal sphincter ), which is designed to prevent reflux into the pharynx from the esophagus; and the two lower esophageal sphincters ( gastroesophageal sphincters ), composed of the internal sphincter (composed of smooth muscle) and external sphincter (composed of skeletal muscle from the diaphragm). These two lower esophageal sphincters normally prevent reflux into the esophagus from the stomach. The internal gastroesophageal sphincter is located at the region where the esophagus pierces the diaphragm and joins the stomach. The muscle fibers of this sphincter are always in tonus except when a bolus is about to pass into the stomach or if the individual is vomiting. The external esophageal sphincter encircles the esophagus to close its lumen during inspiration and during elevation of the intraabdominal pressure (as during defecation).

Clinical Correlations

  • 1.

    As the esophagus passes through the diaphragm, it is reinforced by fibers of that muscular structure. In some people, development is abnormal, causing a gap in the diaphragm around the wall of the esophagus that permits herniation of the stomach into the thoracic cage. This condition, known as hiatal hernia , weakens the gastroesophageal sphincter, allowing reflux of the stomach contents into the esophagus.

  • 2.

    Weakened or malfunctioning gastroesophageal sphincters permit the return of stomach content into the esophagus, a condition known as gastroesophageal reflux disease ( GERD ). Because the acidic content of the stomach enters the lumen of the esophagus, it usually creates a burning feeling (heartburn) in the midsternum area of the chest, occasionally accompanied by regurgitation. GERD affects approximately 15% to 20% of the population in the “developed” world. In most cases, GERD can be treated by alteration of the patient’s lifestyle, such as weight loss; restrained exercise; elevating of the head at night; and elimination of acidic foods, spicy foods, fatty foods, coffee, alcohol, and other foods that the patient notices aggravate the condition. If lifestyle changes do not control the condition then medications, such as proton pump inhibitors ( PPIs ), and even surgery may be required. It has been reported that patients taking PPIs have a greater incidence of vitamin B 12 deficiency than those who are not taking those drugs. Additionally, individuals taking PPIs have a 33% greater risk for chronic kidney disease or end-stage renal disease than patients treated with another type of medication against GERD, namely, Histamine-2 receptor antagonists.

  • 3.

    Barrett syndrome is believed to be a premalignant condition initially caused by GERD. Part of the stratified squamous nonkeratinized epithelium of the esophagus, usually in the lowest region, is replaced by a simple columnar epithelium that resembles the lining of the stomach. Endoscopically, this metaplastic area is reddish in color; in order to be classified as Barrett syndrome, at least 3 cm of the esophagus must be involved. If there are numerous red patches in the lower esophagus, esophageal resection may be necessary.

Stomach

The stomach is responsible for the formation and processing of the ingested food into a thick, acidic fluid known as chyme.

The stomach is a sac-like structure that, in the resting state in the average adult, has a volume of only 50 mL. When completely distended, however, it can hold as much as 1500 mL of food and gastric juices. Yet, as the stomach expands, its intraluminal pressure remains relatively constant because of ghrelin and the vagovagal reflex. The hormone ghrelin , released by the diffuse neuroendocrine system (DNES) cells, not only induces the sensation of hunger but also modulates receptive relaxation of the smooth muscle fibers of the muscularis externa. In the vagovagal reflex , the vagus nerve, by providing feedback information to the muscularis externa of the stomach, maintains the muscle in a relaxed condition. The vagus nerve also prompts three additional effects: (1) the stimulation of hydrochloric acid ( HCl ) production by parietal cells; (2) release of histamine by enterochromaffin-like (ECL) cells; and (3) inhibition of delta cells, whose function is to hinder the release of gastrin by G cells (see later section on HCl production).

Anatomically, the stomach has a concave lesser curvature and a convex greater curvature. Gross observations disclose that the stomach has four regions:

  • Cardia : a narrow region at the gastroesophageal junction, 2 to 3 cm wide

  • Fundus : a dome-shaped region to the left of the esophagus, frequently filled with gas

  • Body ( corpus ): the largest portion, responsible for the formation of chyme

  • Pylorus ( pyloric antrum ): a funnel-shaped, constricted portion equipped with a thick pyloric sphincter that controls the intermittent release of chyme into the duodenum

Gastric Histology

Histologically, the stomach is said to have three regions: cardiac, fundic, and pyloric regions. Because the fundus and body are identical, the two together are referred to as the fundic region . All three regions display rugae , longitudinal folds of the mucosa and submucosa (but transverse in the pyloric antrum), which disappear in the distended stomach. Rugae permit expansion of the stomach as it fills with food and gastric juices. Additionally, the epithelial lining of the stomach invaginates into the mucosa, forming gastric pits ( foveolae ), which are shallowest in the cardiac region and deepest in the pyloric region. Gastric pits increase the surface area of the gastric lining. Five to seven gastric glands of the lamina propria empty into the bottom of each gastric pit.

The ensuing discussion of the stomach details the fundic region because the microscopic anatomy of each of the remaining regions is a variation of the fundic region. Fig. 17.4 schematically depicts the major histological elements of the fundic region.

Fig. 17.4, Schematic diagram of the fundic stomach and fundic gland and their cellular composition. The fundic glands open into the bottom of the gastric pits. Each gland is subdivided into an isthmus, neck, and base. APUD , Amine precursor uptake and decarboxylation; DNES, diffuse neuroendocrine system.

Fundic Mucosa

The mucosa of the fundic stomach is composed of the usual three components: (1) an epithelium lining the lumen; (2) an underlying connective tissue, the lamina propria; and (3) the smooth muscle layers forming the muscularis mucosae.

Epithelium

The epithelial lining of the stomach secretes visible mucus that adheres to and protects the stomach lining.

The lumen of the fundic stomach is lined by a simple columnar epithelium composed of surface-lining cells, regenerative cells, and a few gustatory cells (taste cells). Surface lining cells manufacture a thick gel-like mucus layer, known as visible mucus ( Fig. 17.5 ), which adheres to the lining of the stomach and protects it from autodigestion. Moreover, bicarbonate ions that are trapped in this mucus layer assist in maintaining a relatively neutral pH at its interface with the cell membranes of the surface-lining cells despite the low (acidic) pH of the luminal contents. Surface-lining cells continue into the gastric pits, contributing to the formation of their epithelial lining. Regenerative cells are also present in the base of these pits, but because they are more numerous in the neck of the gastric glands, they are discussed along with the glands. A small number of taste cells that recognize sweet, bitter, and umami taste sensations are also present in the fundic epithelium (see the later section on the small intestine and Chapter 16 , the section on taste buds).

Fig. 17.5, (A) Photomicrograph of the mucosa of the fundic stomach. The mucosa is composed of the simple columnar epithelium (E), the connective tissue lamina propria (LP), and the muscularis mucosae (MM). A little section of the submucosa (S) is evident at the bottom left-hand corner of the photomicrograph (×132). (B) Photomicrograph of fundic glands. Note that the glands are very tightly packed, and much of the connective tissue is compressed into thin wafers occupied by capillaries (×270). C, Chief cell; M, mucous neck cell; P, parietal cell.

The apical surfaces of surface-lining cells possess glycocalyx-covered, short, stubby microvilli and their apical cytoplasm displays the presence of secretory granules containing the precursor of the visible mucus ( Fig. 17.6 ). These cells form intricate zonulae occludentes and zonulae adherentes with those of neighboring cells and their basal cytoplasm is occupied by their nuclei, mitochondria, and their protein synthesis and packaging apparatus.

Fig. 17.6, Electron micrograph of a surface-lining cell from the body of a mouse stomach (×11,632). G, Golgi apparatus; J, junctional complex; L, lumen; m, mitochondria exhibiting large spherical densities known as nodules (n); mv, microvillus; N, nucleus; ov, oval secretory granules; P, intercellular projections; rER, rough endoplasmic reticulum; sp, spherical granules.

Lamina Propria

The highly vascularized lamina propria is populated by fibroblasts, plasma cells, lymphocytes, mast cells, and additional components of the GALT , as well as occasional smooth muscle cells. However, much of the lamina propria is occupied by the approximately 15 million closely packed gastric glands, known as fundic ( oxyntic ) glands in the fundic region (see Figs. 17.5 and 17.7 ).

Fig. 17.7, This high-magnification photomicrograph of the fundic region of the stomach displays chief cells (CC), parietal cells (PC), (DNES cells (DNES), the narrow lumina (L) of the fundic glands, the sparse amount of connective tissue (CT), blood vessels (BV), and the muscularis mucosae (MM). (×540).

Fundic Glands

Fundic glands are composed of six cell types: surface-lining cells, parietal (oxyntic) cells, regenerative (stem) cells, mucous neck cells, chief (zymogenic) cells, and DNES cells. Each gland extends from the base of the gastric pit to the muscularis mucosae and is subdivided into three regions: (1) the isthmus, (2) neck, and (3) base, of which the base is the longest (see Fig. 17.4 ). The distribution of these cells within the three regions of the gland is presented in Table 17.1 .

TABLE 17.1
Distribution of Cell Types in Fundic Glands
Region Cell Types
Isthmus Surface-lining cells and few DNES cells
Neck Mucous neck cells, regenerative cells, parietal cells, and few DNES cells
Base Chief cells, occasional parietal cells, and few DNES cells
DNES, Diffuse neuroendocrine system.

The surface-lining cells in the isthmus region were described previously. The structure and function of the other five cell types are discussed in the following sections.

Mucous Neck Cells

Mucous neck cells produce soluble mucus that is mixed with and lubricates the chyme, reducing friction as it moves along the digestive tract.

The columnar-shaped mucous neck cells have short microvilli, basally located nuclei and mitochondria, a well-developed Golgi apparatus and rough endoplasmic reticulum (RER; Fig. 17.8 ). Their apical cytoplasm is filled with secretory granules containing soluble mucus (not the visible mucus synthesized by surface-lining cells), which functions to lubricate the lining of the stomach, thereby reducing frictional forces as the gastric contents is being churned. The lateral membranes of mucous neck cells form zonulae occludentes and zonulae adherentes with the adjacent cells.

Fig. 17.8, Electron micrograph of a mucous neck cell from the body of a mouse stomach. Inset : Secretory granule. c, Dense-cored granule; D, desmosome; G, Golgi apparatus; J, junctional complex; L, lumen; m, mitochondria; mg, mucous granules; mv, microvillus; N, nucleus; rER, rough endoplasmic reticulum.

Regenerative (Stem) Cells

A relatively few thin regenerative cells are interspersed among the mucous neck cells of fundic glands (see Fig. 17.4 ). These cells are organelle poor but have a rich supply of ribosomes; their nuclei are basally situated, have little heterochromatin, and display a large nucleolus. The lateral cell membranes of these cells also form zonulae occludentes and zonulae adherentes with those of adjacent cells.

Regenerative cells proliferate to replace all of the specialized cells lining the fundic glands, gastric pits, and luminal surface. Newly formed cells migrate to their new locations, either deep into the gland or up into the gastric pit and gastric lining. Surface-lining cells, DNES cells, and mucous neck cells are replaced every 5 to 7 days; thus, regenerative cells have a high proliferative rate.

Parietal (Oxyntic) Cells

Parietal cells manufacture hydrochloric acid and gastric intrinsic factor; both products are released into the lumen of the stomach.

Large, round to pyramid-shaped parietal cells are located mainly in the upper half of the fundic glands and only occasionally in the base (see Figs. 17.4, 17.5, and 17.7 ). They are about 20 to 25 μm in diameter and are situated at the periphery of the gland. These cells manufacture HCl and gastric intrinsic factor .

Clinical Correlations

Gastric intrinsic factor , a glycoprotein secreted into the lumen of the stomach, is necessary for vitamin B 12 absorption from the ileum. Absence of this factor results in deficiency of vitamin B 12 , with the consequent development of pernicious anemia . Because the liver stores high quantities of vitamin B 12 , a deficiency of this vitamin may take several months to develop after production of gastric intrinsic factor ceases.

Parietal cells have round, basally located nuclei, and their cytoplasm is eosinophilic. Their most remarkable characteristic is the invaginations of their apical plasmalemma to form deep intracellular canaliculi lined by microvilli ( Figs. 17.9 and 17.10 ). The cytoplasm bordering intracellular canaliculi is richly endowed by round and tubular vesicles, the tubulovesicular system . Parietal cells are rich in mitochondria, whose combined volume constitutes almost half that of the cytoplasm. Only a scant amount of RER and Golgi are present.

Fig. 17.10, Scanning electron microscopy of the fractured surface of a resting parietal cell. The cytoplasmic matrix is removed by the aldehyde-osmium-DMSO-osmium method (or A-ODO method), exposing the cytoplasmic membranes. The tubulovesicular network (TC) is connected to the intracellular canaliculus (IC) lined with microvilli (MV , arrow ) (×50,000). Inset : A higher magnification of the area indicated by the arrow in panel (×100,000).

Fig. 17.9, Electron micrograph of a parietal cell from the body of a mouse stomach (×14,000). Go, Golgi apparatus; Mi, mitochondria; Ox, nucleus of oxyphil cell; Ve, tubulovesicular apparatus; Vi, microvilli.

The abundance of vesicles of the tubulovesicular system and the number of microvilli are indirectly related to each other and vary with the HCl secretory activity of the cell. During active HCl production, the tubulovesicular system decreases and the number of microvilli increases, indicating that the membrane being stored as tubules and vesicles is probably used for microvillar assembly, increasing the surface area of the cell by a factor of 4 or 5 in preparation for HCl production.

The process of microvillus formation requires energy and involves polymerization of soluble forms of actin and myosin into filaments, which then interact to transport membranes from the tubulovesicular system to those of the intracellular canaliculi. The stored membranes have a high content of H + , K + -ATPase (a protein that pumps protons from the cytoplasm into the intracellular canaliculus).

Chief (Zymogenic) Cells

Chief cells manufacture the enzymes pepsinogen, rennin, and gastric lipase and release them into the lumen of the stomach.

Most of the cells in the base of fundic glands are chief cells whose blunt, glycocalyx-covered microvilli project from the apical aspect of the cell into the lumen of the gland (see Figs. 17.4, 17.5, and 17.7 ). These columnar cells have a basophilic cytoplasm, basally located nuclei, occasional lysosomes, and are richly endowed with RER, Golgi apparatus, and apically situated secretory granules that house the proenzymes pepsinogen , rennin , and gastric lipase ( Fig. 17.11 ). Exocytosis of pepsinogen from chief cells is induced by neural stimulation by the vagus nerve and by the binding of the hormone secretin to receptors in the basal plasma membrane.

Fig. 17.11, Electron micrograph of a chief cell from the fundus of a mouse stomach (×11,837). BM, Basement membrane; G, Golgi apparatus; L, lumen; m, mitochondria; N, nucleus; nu, nucleolus; rER, rough endoplasmic reticulum; ZC, zymogenic (chief) cell; zg, zymogen granules.

Chief cells also manufacture the hormone leptin , which acts on the arcuate nucleus of the hypothalamus to inhibit the sensation of hunger. Thus, it is antagonistic to the hormone ghrelin.

Diffuse Neuroendocrine System Cells (Enteroendocrine Cells; APUD Cells)

DNES cells may be open or closed; they manufacture endocrine, paracrine, and neurocrine hormones.

There are two types of DNES cells, open type and closed type . The open-type DNES cells reach the lumen via long, thin apical processes with microvilli, which may serve to monitor the contents of the gastric lumen. The closed-type DNES cells do not possess such processes; therefore, they have no access to the gastric lumen. The cytoplasm of DNES cells has a well-developed RER and Golgi apparatus and numerous mitochondria. Additionally, small secretory granules are evident, disposed basally in most cells ( Fig. 17.12 ). All DNES cells release the contents of their granules basally into the lamina propria. The hormones that these cells release either travel short distances in the interstitial tissue to act on target cells in the immediate vicinity of the signaling cell (paracrine effect) or enter the circulation and travel a distance to reach their target cell (endocrine effect). Furthermore, the substance released may be identical with neurosecretions. Because of these three possibilities, some researchers have used the terms endocrine , paracrine , and neurocrine to differentiate among the three variations of the secreted substances.

Fig. 17.12, Electron micrograph of a diffuse neuroendocrine system cell from the body of a mouse stomach. g, Secretory granules; G, Golgi apparatus; N, nucleus; nu, nucleolus; m, mitochondria; rER, rough endoplasmic reticulum.

Some DNES cells are individually designated according to the substance that they produce. Generally, a single type of DNES cell secretes only one hormone, although occasional cell types may secrete two different hormones. There are at least 13 different DNES cell types, only some of which are located in the mucosa of the stomach. Table 17.2 lists most of the better-known cells; their locations, granule size, and the substance being secreted; and the action of the released substances. Cells of the DNES have been localized not only in the digestive tract but also in the respiratory system and endocrine pancreas. Additionally, some of the secretory products synthesized and released by these DNES cells are identical with neurosecretions localized in the CNS. The significance of their diverse location and the substances that they produce is only incompletely understood.

TABLE 17.2
Diffuse Neuroendocrine System Cells and Hormones of the Gastrointestinal Tract
Cell Location Hormone Produced Granule Size (nm) Hormonal Action
A Stomach and small intestine Glucagon (enteroglucagon) 250 Stimulates glycogenolysis by hepatocytes, elevating blood glucose levels.
D Stomach, small and large intestines Somatostatin 350 Inhibits release of hormones by DNES cells in its vicinity.
EC Stomach, small and large intestines Serotonin; Substance P 300 Increases peristaltic movement.
ECL Stomach Histamine 450 Stimulates HCl secretion.
G Stomach and small intestine Gastrin 300 Stimulates HCl secretion, gastric motility (especially contraction of the pyloric region and relaxation of pyloric sphincter to regulate stomach emptying), and proliferation of regenerative cells in the body of the stomach.
GL Stomach, small and large intestines Glicentin 400 Stimulates hepatocyte glycogenolysis, elevating blood glucose levels.
Gr (P/D1 cell) Stomach and small intestine as well as in Gr cells of the islands of Langerhans in the pancreas (secreted mostly by adipocytes) Ghrelin and also
Leptin
? Ghrelin induces the sensation of hunger and modulates receptive relaxation of the smooth muscle fibers of the muscularis externa.
Leptin inhibits hunger sensation.
I Small intestine Cholecystokinin 250 Stimulates the release of pancreatic enzymes and contraction of the gallbladder; also reduces food intake and counteracts the effects of gastrin.
K Small intestine Gastric inhibitory peptide (GIP) 350 Inhibits HCl secretion.
L Small and large intestines PYY
GLP-1
GLP-2
OXM
? Reduces appetite, decreases gastric motility; boosts function of the colon.
Stimulates insulin and inhibits glucagon secretion; reduces appetite.
Encourages mitotic activity in the crypts of Lieberkühn.
Reduces appetite and increases energy use.
Mo Small intestine Motilin Increases intestinal peristalsis
N Small intestine Neurotensin 300 Increases blood flow to ileum and decreases peristaltic action of small and large intestines.
PP (F) Stomach and large intestine (mostly by the islets of Langerhans) Pancreatic polypeptide 180 Reduces appetite.
S Small intestine Secretin 200 Stimulates release of bicarbonate-rich fluid from pancreas.
VIP Stomach, small and large intestines Vasoactive intestinal peptide Increases peristaltic action of small and large intestines and stimulates elimination of water and ions by the GI tract
DNES, Diffuse neuroendocrine system; EC, enterochromaffin cell; ECL, enterochromaffin-like cell; G, gastrin-producing cell; GI, gastrointestinal; GL, glicentin-producing cell; GLP-1, glucagon-like peptide; Gr, ghrelin-producing cells; HCl, hydrochloric acid; MO, motilin-producing cell; N, neurotensin-producing cell; OXM, oxyntomodulin; PP, pancreatic polypeptide–producing cell; PYY, peptide YY; VIP, vasoactive intestinal peptide–producing cell.

Muscularis Mucosae of the Stomach

The smooth muscle cells that compose the muscularis mucosae are arranged in three layers. The inner circular and outer longitudinal layers are well defined. An occasional third layer,

Clinical Correlations

Diffuse neuroendocrine system ( DNES ) cells are located throughout the respiratory system, digestive tract, and pancreas. These cells manufacture various hormones and have been known by various names, such as argentaffine cells and argyrophilic cells , because they are stained with silver salts; enterochromaffin cells because they are stained with chromium salts; APUD cells because some of them undergo amine precursor uptake and decarboxylation ; and enteroendocrine cells because they are located in the epithelium of the digestive tract and manufacture and release hormones. With the exception of APUD cells that are derived from neural crest cells, DNES cells are derived from regenerative cells of the epithelium of the alimentary canal.

whose fibers are disposed circularly ( outermost circular ), is not always evident.

Differences in the Mucosa of the Cardiac and Pyloric Regions

The mucosa of the cardiac region of the stomach differs from that of the fundic region in that the gastric pits are shallower and the base of its glands is highly coiled. The cell population of these cardiac glands is composed mostly of surface-lining cells, some mucous neck cells, a few DNES cells and parietal cells, and no chief cells ( Figs. 17.13 and 17.14 ).

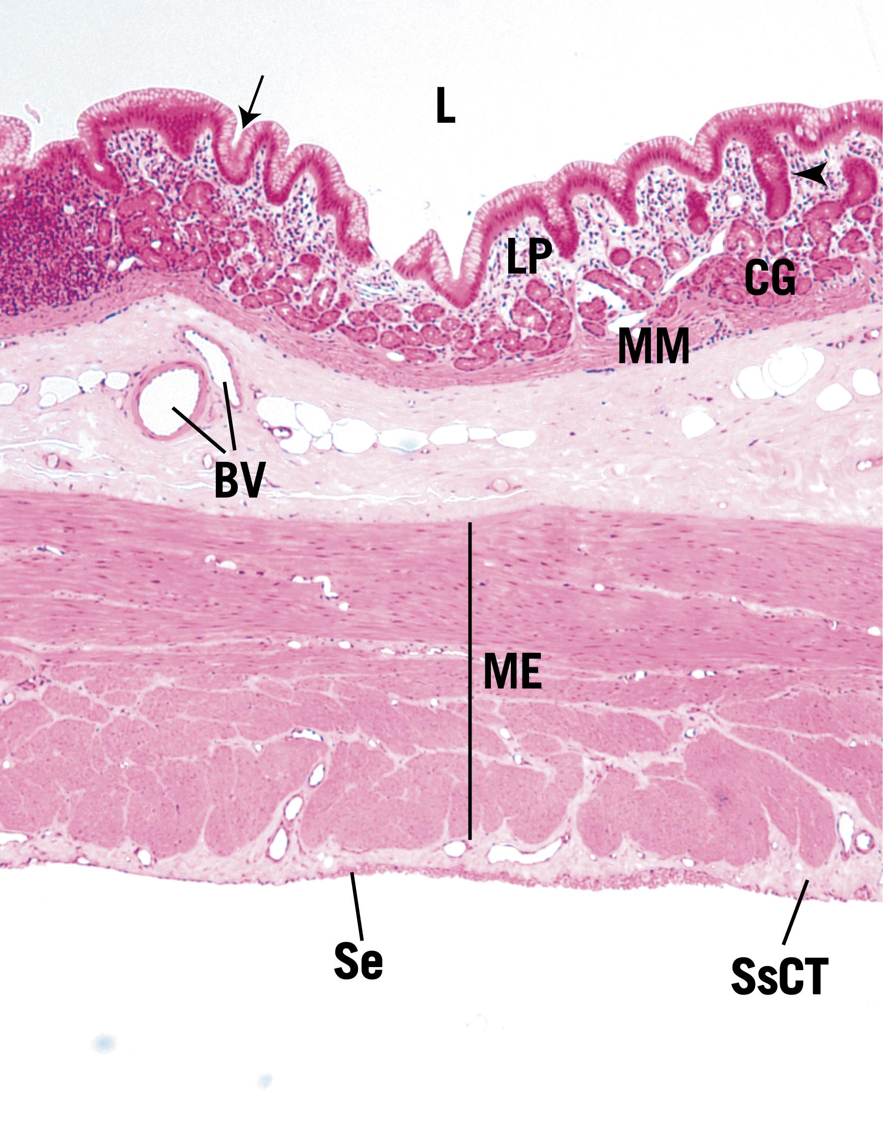
Fig. 17.13, This very-low-magnification photomicrograph displays the gastric pit (arrow) opening into the lumen (L) of the cardiac stomach. The lamina propria (LP) and its cardiac glands (CG), and the muscularis mucosae (MM) are clearly evident. The blood vessels (BV) of the submucosa (SM) and of the muscularis externa (ME) are easily identifiable. Note the presence of the serosa (S) and the subserous connective tissue (SsCT). (×56)

Fig. 17.14, This low-magnification photomicrograph displays the epithelial lining (E) of the lumen (L) of the cardiac stomach. The connective tissue cells (arrowhead) of the lamina propria, its cardiac glands (CG), and the muscularis mucosae (MM) are clearly evident. The blood vessels (BV) and adipose cells (A) of the submucosa (SM) are easily recognized. Observe a small section of the muscularis externa (ME) at the bottom left. (×132)

The glands of the pyloric region contain the same cell types as those in the cardiac region, but the predominant cell type in the pylorus is the mucous neck cell. In addition to producing soluble mucus, these cells secrete lysozyme , a bactericidal enzyme. Pyloric glands are highly convoluted and tend to branch. Additionally, the gastric pits of the pyloric region are deeper than in the cardiac and fundic regions, extending approximately halfway down into the lamina propria ( Fig. 17.15 ; Table 17.3 ).

Fig. 17.15, Photomicrograph of the pyloric stomach. The gastric pits are much deeper here than in the cardiac or fundic regions of the stomach (×132). P, Gastric pits; LP, lamina propria; MM, muscularis mucosae.

TABLE 17.3
Histology of the Alimentary Canal
Organ Epithelium Cell Type of Epithelium Lamina Propria Cells of Glands Muscularis Mucosae Submucosa Muscularis Externa Serosa or Adventitia
Esophagus Stratified squamous nonkeratinized Esophageal cardiac glands Mucus secreting Longitudinal layer only Esophageal glands proper Inner circular and outer longitudinal Adventitia (except serosa in abdominal cavity)
Cardiac stomach Simple columnar Surface-lining cells (no goblet cells) Cardiac glands; shallow gastric pits Surface-lining mucous neck cells, regenerative cells, DNES cells, parietal cells Inner circular, outer longitudinal and, in places, outermost circular No glands Inner oblique, middle circular, outermost longitudinal Serosa
Fundic stomach Simple columnar Surface-lining cells (no goblet cells) Fundic glands Surface-lining cells, mucous neck cells, parietal cells, regenerative cells, chief cells, DNES cells Inner circular, outer longitudinal and, in places, outermost circular No glands Inner oblique, middle circular, outermost longitudinal Serosa
Pyloric stomach Simple columnar Surface-lining cells (no goblet cells) Pyloric glands; deep gastric pits Mucous neck cells, surface-lining cells, parietal cells, regenerative cells, DNES cells Inner circular, outer longitudinal and, in places, outermost circular No glands Inner oblique, middle circular (well developed to form pyloric sphincter), outermost longitudinal Serosa
Duodenum Simple columnar (goblet cells) Surface absorptive cells, goblet cells, DNES cells, occasional M cells Crypts of Lieberkühn Surface absorptive cells, goblet cells, regenerative cells, DNES cells, Paneth cells Inner circular, outer longitudinal Brunner glands Inner circular, outer longitudinal Serosa and adventitia
Jejunum Simple columnar (goblet cells) Surface absorptive cells, goblet cells, DNES cells, occasional M cells Crypts of Lieberkühn Surface absorptive cells, goblet cells, regenerative cells, DNES cells, Paneth cells Inner circular, outer longitudinal No glands Inner circular, outer longitudinal Serosa
Ileum Simple columnar (goblet cells) Surface absorptive cells, goblet cells, DNES cells, occasional M cells Crypts of Lieberkühn; Peyer patches Surface absorptive cells, goblet cells, regenerative cells, DNES cells, Paneth cells Inner circular, outer longitudinal No glands (Peyer patches may extend into this layer) Inner circular, outer longitudinal Serosa
Colon a Simple columnar (goblet cells) Surface absorptive cells, goblet cells, DNES cells Crypts of Lieberkühn Surface absorptive cells, goblet cells, regenerative cells, DNES cells Inner circular, outer longitudinal No glands Inner circular, outer longitudinal modified to form taeniae coli Serosa and adventitia
Rectum Simple columnar (goblet cells) Surface absorptive cells, goblet cells, DNES cells Shallow crypts of Lieberkühn Surface absorptive cells, goblet cells, regenerative cells, DNES cells, Paneth cells Inner circular, outer longitudinal No glands Inner circular, outer longitudinal Adventitia
Anal canal Simple cuboidal; stratified squamous nonkeratinized; stratified squamous keratinized Rectal columns; circumanal glands; at anus: hair follicles and sebaceous glands Inner circular, outer longitudinal No glands; internal and external hemorrhoidal plexuses Inner circular (forms internal and sphincter), outer longitudinal (becomes fibroelastic sheet) Adventitia
Appendix Simple columnar (goblet cells) Surface absorptive cells, goblet cells, DNES cells, occasional M cells Shallow crypts of Lieberkühn; lymphoid nodules Surface absorptive cells, goblet cells, regenerative cells, DNES cells, Paneth cells Inner circular, outer longitudinal No glands; occasional lymphoid nodules; possible fatty infiltration Inner circular, outer longitudinal Serosa
DNES, Diffuse neuroendocrine system.

a Includes cecum.

Submucosa of the Stomach

The dense, irregular, collagenous connective tissue of the gastric submucosa has a rich vascular and lymphatic network that supplies and drains the vessels of the lamina propria. The cell population of the submucosa resembles that of any connective tissue proper. The Meissner submucosal plexus is in its accustomed location, within the submucosa in the vicinity of the muscularis externa.

Clinical Correlations

Infrequently, one of the arteries that serves the lesser curvature of the stomach, instead of arborizing as it enters the submucosa into capillaries 0.1 to 0.5 mm in diameter, remains as an arteriole between 1 and 5 mm in diameter. The pulsatility of this aberrant arteriole may slowly erode the submucosa and the vessel approaches the epithelial lining of the gastric mucosa. This developmental defect may have a very serious complication, known as the Dieulafoy lesion , characterized by erosion of the arterial wall and bleeding into the lamina propria, eventually bleeding into the lumen of the stomach. The presenting symptoms are hematemesis (vomiting of blood) and melena (black feces). If the condition is not diagnosed early and if the offending arteriole is large enough, the patient may die from sudden blood loss.

You're Reading a Preview

Become a Clinical Tree membership for Full access and enjoy Unlimited articles

Become membership

If you are a member. Log in here