Delayed Union and Nonunion of Fractures


Approximately 2 million long bone fractures are treated in the United States each year. Of this number, about 100,000 result in nonunion. Nonunions can be very problematic not only to the patient but also to society in general. Patients with nonunions have significant disability, and the associated cost of treatment is burdensome on the patient and society. Brinker reported significant physical ( Fig. 59.1 ) and mental disability associated with tibial and femoral nonunions. Although patients undergoing successful treatment of nonunions can experience significant improvement, they often lag behind population-based norms for functional outcome scores. Antonova et al. found the median total cost of care for a tibial nonunion to be more than twice the cost associated with a tibial fracture that goes on to uneventful union. In addition, the duration of opioid use in patients who had a nonunion was twice that of those who did not have a nonunion (5.4 compared with 2.8 months).

FIGURE 59.1
Significant disability associated with femoral nonunions. Mean Short Form (SF)-12 Physical Component Summary Scores according to diagnosis. Striped bar, femoral nonunions; solid gray bar, mean across noninstitutionalized U.S. population; medical conditions above dashed line associated with significantly ( P < 0.05) better physical health than femoral nonunions.

From Brinker MR, Trivedi A, O’Connor DP: Debilitating effects of femoral nonunion on health-related quality of life, J Orthop Trauma 31:e37, 2017.

Although orthopaedic surgeons may lead the charge in the treatment of nonunion, coordinated involvement of multiple personnel often is necessary, including an infectious disease physician, plastic surgeon, vascular surgeon, endocrinologist, internist, physical and occupational therapist, and psychiatrist or other mental health professional. Treatment of nonunions often is complex, but it also offers great reward because many of these patients have been significantly disabled for a prolonged period of time.

Definitions

Delayed union

The definition of delayed union is arbitrary. Delayed union occurs when a fracture has not healed in the time frame that would be expected. The time frame for healing varies for different locations around the body and also is different based on the degree of associated soft-tissue injury. For example, the elapsed time frame for delayed union of a closed tibial shaft fracture would be different from that for delayed union of a type IIIB open tibial shaft fracture. Generally, the time frame for delayed union is between 3 and 6 months. Delayed union can be thought of as a precursor to nonunion. In appropriate circumstances, intervention for delayed union can prevent a nonunion. Intervention can include correction of metabolic or endocrine abnormalities; stabilization with a cast or brace; bone stimulation, with pulsed ultrasound, electrical (or electromagnetic) stimulation, or extracorporeal shock-wave therapy; or surgical intervention. The consequences to the patient of prolonged convalescence must always be considered when treating both delayed union and nonunion.

Most surgeries performed on delayed unions correct issues associated with poor technique during the index procedure. An open reduction may be necessary to reduce widely displaced fracture fragments and remove interposed tissue. If surgery is in a location not prone to nonunion and the patient is a good host, then the surgeon can proceed with standard techniques for acute fracture fixation, and bone grafting may not be necessary. If surgery is in an area prone to nonunion or the patient is a poor host, then bone grafting should be at least considered. The method of stabilization also affects the surgeon’s decision to bone graft. Bone grafting is also more likely to be used if delayed union is being treated with plate osteosynthesis than with an intramedullary nail or external fixator.

Nonunion

Similar to delayed union , the diagnosis of nonunion is also arbitrary. The U.S. Food and Drug Administration defines nonunion as “established when a minimum of 9 months has elapsed since injury and the fracture shows no visible progressive signs of healing for 3 months.” This definition fails to include many fractures that have no chance of proceeding to union. The definition of nonunion from Brinker is probably more appropriate: “A fracture that, in the opinion of the treating physician, has no possibility of healing without further intervention.” Generally speaking, the diagnosis of nonunion should not be made until clinical or radiographic evidence is noted that healing has ceased or that union is highly unlikely. The time frame for nonunion differs by location and by the degree of associated soft-tissue injury. A femoral neck fracture that has not united and displays implant failure at 3 months may appropriately be considered a nonunion, whereas a Gustilo and Anderson type 3B open tibial fracture that has received appropriate surgical treatment may not be considered a nonunion after this same 3-month time frame. However, waiting 9 months to intervene on many fractures that have not united may result in prolonged morbidity, inability to return to work, narcotic dependence, and emotional impairment.

Etiology and Pathophysiology

Without an understanding of normal fracture healing, the ability to successfully treat nonunions is compromised. Fractures treated nonoperatively and those treated with intramedullary nails, bridge plates, and many external fixators rely upon secondary bone healing. Relative stability is provided by these devices when attempting to obtain secondary bone healing. These fractures heal with callus formation and progress through stages: (1) inflammatory stage, (2) soft callus stage, (3) hard callus stage, and (4) remodeling phase. Interfragmentary motion is typically between 0.2 and 1 mm. Fractures fixed rigidly with plates rely on primary bone healing. Absolute stability is necessary; interfragmentary motion is less than 0.15 mm and the strain is less than 2%. Healing is similar to the remodeling phase of secondary bone healing, with osteoclasts converting woven bone to lamellar bone. In many cases of plate fixation, if fracture gaps are larger than 0.1 mm, primary bone healing does not occur. In this situation, gap healing may occur. With gap healing, the strain is still less than 2%; however, gaps up to 1 mm are tolerated.

There are many suspected etiologies for nonunions, and most nonunions likely have multiple etiologies. These etiologies are both biologic and mechanical. Biologic etiologies can be divided into local and systemic. Local biologic etiologies include excessive soft-tissue stripping, bone loss, vascular injury, irradiated bone, and infection. Excessive soft-tissue stripping can also be the result of surgery. Systemic biologic etiologies include age, chronic diseases (diabetes mellitus, chronic anemia), metabolic or endocrine abnormalities, malnutrition, medications (steroids, antiepileptic medications), and smoking ( Table 59.1 ). The effects of anti-inflammatory medications, as well as alcohol and opioids, are controversial. Mechanical etiologies ( Table 59.2 ) of nonunion include malreduction (malposition, malalignment, distraction) and inappropriate stabilization (“too little,” or insufficient fixation; “too much” or “too rigid” fixation), inappropriate implant choice, inappropriate implant position, or technical error.

TABLE 59.1
Biologic Etiologies of Nonunion
Local Excessive soft-tissue stripping (from injury or surgeon)
Bone loss
Vascular injury
Radiation
Infection
Systemic Age
Chronic diseases
Diabetes mellitus
Chronic anemia
Metabolic or endocrine abnormalities (vitamin D deficiency)
Malnutrition
Medications (steroids, NSAIDs, antiepileptics)
Smoking
NSAIDs, Nonsteroidal antiinflammatory drugs.

TABLE 59.2
Mechanical Etiologies of Nonunion
Malreduction Malposition
Malalignment
Distraction
Inappropriate stabilization Too little or insufficient fixation
Too much or too rigid fixation
Inappropriate implant choice
Inappropriate implant position
Technical error(s)

Brinker et al. specifically evaluated metabolic and endocrine abnormalities in a large series of nonunions that were not thought to have a mechanical etiology. Four percent of patients (37 of 883) were referred to an endocrinologist. Eighty-four percent (31 of 37) were diagnosed with a metabolic or endocrine abnormality. Sixty-eight percent (25 of 37) of patients were found to have a vitamin D deficiency. Other abnormalities included calcium imbalances, hypogonadism, and thyroid or parathyroid disorders. Other studies have reported similar prevalences of vitamin D deficiency in the general orthopaedic trauma population, and the effect of vitamin D deficiency and its treatment on nonunions is not clear. While many abnormalities have been associated with nonunion, assigning causation has still been elusive.

The use of tobacco has been implicated in the development of nonunions and delayed union. Pearson et al. recently reported just over twice the risk of delayed and/or nonunion in smokers. Smokers have decreased oxygen levels in the cutaneous and subcutaneous tissues, which leads to poor wound healing. Nicotine also has been associated with decreased vascularity at fracture sites. Although approximately 50% of smokers return to their habit, it is best for healing of bone and soft tissue if they can abstain while being treated for their nonunion. Nonsteroidal antiinflammatory drugs (NSAIDs) have been found to decrease fracture healing in multiple animal studies. The literature is still conflicting concerning the influence of NSAIDs on fracture healing in humans. Although numerous animal data suggest NSAIDs have a negative effect on fracture healing, the data in humans are more controversial. Several human studies have found delayed healing in subjects who were taking NSAIDs, whereas other studies refute the hypothesis that NSAIDs delay fracture healing. We use NSAIDs for acute pain management in fracture patients and believe treatment of short duration likely causes minimal negative consequences on fracture healing. We suggest that patients with a delayed union or nonunion abstain from using NSAIDs or steroids, if possible, during their nonunion treatment.

Opioids also may have an effect on fracture healing. Animal data have suggested a negative impact on fracture callus volume, maturation, and strength. Several retrospective human studies suggest an association with opioid use and nonunion; however, high-quality studies demonstrating causality between opioid use and nonunion are lacking.

General Treatment of Nonunions

Preoperative workup

The workup for nonunion includes history, physical examination, radiographic examination, and laboratory evaluation. The history should include previous treatment, time frame of previous treatment, documented infection, signs and symptoms consistent with current or previous infection, and presence or absence of pain. The physical examination should include a detailed neurovascular examination and assessment for presence or absence of tenderness at the fracture site, deformity, malrotation, leg-length discrepancy, joint range of motion, compensatory contractures, erythema, and drainage. The radiographic examination begins with plain films. Oblique plain films can be useful in evaluating progression of long bones toward union, particularly around the distal tibia. CT scan may be indicated in certain situations. CT scan is highly sensitive for nonunion but does lack specificity. MRI and nuclear imaging may be useful in certain situations. The usefulness of nuclear imaging in diagnosing infection preoperatively, however, has been questioned. The goals of imaging include assessing union, monitoring progression toward union, determining etiology for delayed union or nonunion, evaluating integrity of implants, and checking for signs of infection.

The laboratory evaluation begins with a complete blood count (CBC) with differential, erythrocyte sedimentation rate (ESR), C-reactive protein (CRP), and 25-hydroxy vitamin D. Other laboratory values may be indicated in certain situations. When using CBC (white blood cells [WBCs]), ESR, and CRP to assess for infection, the positive predictive value when all three values are positive is 100% ( Table 59.3 ). The negative predictive value when all three laboratory values are negative is 81.6% ( Table 59.4 ). Wang et al. recently reported the use of preoperative serum D-dimer in the assessment of infected nonunions. The authors reported higher positive and negative predictive values when using D-dimer compared with isolated CRP or ESR. Further investigation may clarify the usefulness of this laboratory value in nonunion workup. A nonunion work sheet as suggested by Brinker can be helpful in organizing all of the important data necessary before treatment of a nonunion ( Fig. 59.2 ).

TABLE 59.3
Predicted Probability of Confirming Infection Using White Blood Cells, Erythrocyte Sedimentation Rate, and C-Reactive Protein
From Stucken C, Olszewski DC, Creevy WR, et al: Preoperative diagnosis of infection in patients with nonunion, J Bone Joint Surg 95A:1409, 2013.
Number of Positive Tests Under Consideration Predicted Probability of Infection (%)
0 19.6
1 18.8
2 56.0
3 100.0

TABLE 59.4
Predicted Probability of Excluding Infection Using White Blood Cells, Erythrocyte Sedimentation Rate, and C-Reactive Protein
From Stucken C, Olszewski DC, Creevy WR, et al: Preoperative diagnosis of infection in patients with nonunion, J Bone Joint Surg 95A:1409, 2013.
Number of Negative Tests Under Consideration Predicted Probability of no Infection (%)
0 0
1 48.0
2 76.4
3 81.6

FIGURE 59.2, Nonunion work sheet.

Considerations before surgery

Metabolic and nutritional factors should be optimized. We continue to make attempts to optimize 25-hydroxy vitamin D levels before proceeding with nonunion surgery, but recognize that the data supporting this approach are lacking. Patients should be encouraged to discontinue tobacco and any other medications that may have an effect on fracture union.

Status of soft tissues and Neurovascular structures

The condition of the soft tissues surrounding a nonunion must be considered in treatment planning. Significant soft-tissue scarring, especially on the concave side of a deformity, may result in skin necrosis requiring aggressive correction. Scarring also may limit some treatment options or require treatment of the nonunion with concomitant free-tissue transfer. Soft-tissue contractures must be considered if treatment of the nonunion would result in lengthening of the extremity.

In patients with histories of vascular injuries or patients with weak or absent peripheral pulses, an arteriogram may be indicated to evaluate vascular status. A significant vascular abnormality may limit treatment methods and fracture healing. Vascular abnormalities should be corrected, if possible.

Any nerve deficit should be carefully considered. In patients with long-standing significant deformity, Ilizarov or Taylor Spatial Frame (Smith & Nephew, Memphis, TN) treatment may be most appropriate for gradual deformity correction or lengthening of the nonunion. When the nerves are so damaged that sensation and motor function in a lower extremity are permanently lost, amputation usually is the more practical choice.

Status of bones

The status of the bones, especially at the nonunion, depends on the type and duration of the fracture and the method of any previous treatment. Nonunions are classified based on location, presence or absence of infection, and etiology:

  • Epiphyseal, metaphyseal, or diaphyseal

  • Septic or aseptic

  • Hypertrophic, oligotrophic, or atrophic ( Fig. 59.3 )

    FIGURE 59.3, Types of nonunions. A, Hypertrophic . B, Oligotrophic . C, Atrophic.

  • Pseudarthrosis

Septic nonunions are much more difficult to treat than aseptic nonunions. Hypertrophic nonunions ( Fig. 59.4 ) have adequate vascularity, display abundant callus, and lack stability. Oligotrophic nonunions usually have adequate vascularity, display little or no callus, and often are associated with malreduction (distraction). Atrophic nonunions ( Fig. 59.5 ) lack adequate vascularity and display no callus. Synovial pseudarthrosis ( Fig. 59.6 ) involves sealed medullary canals with an associated pseudomembrane containing fluid. Radiographic appearance is variable, and technetium bone scan reveals a “cold cleft” between areas of increased activity. Classification of nonunions has historically guided treatment and is therefore important to understand.

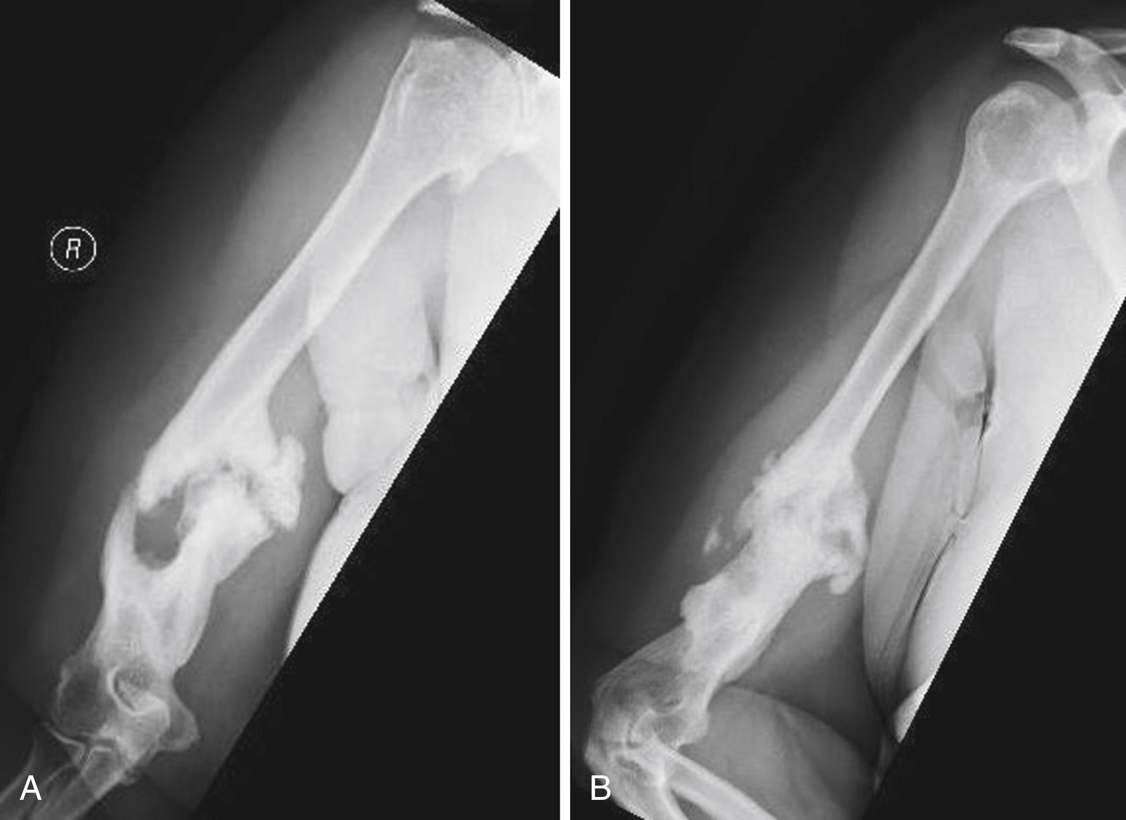
FIGURE 59.4, A and B, Hypertrophic humeral nonunion.

FIGURE 59.5, Atrophic nonunion of ulna after treatment with internal fixation.

FIGURE 59.6, A and B, Synovial pseudoarthrosis of the humerus.

Many options are available for treatment of nonunions, including invasive and noninvasive modalities. Noninvasive interventions include casting or bracing, low-intensity pulsed ultrasound (LIPUS), electric or electromagnetic stimulation, and extracorporeal shock-wave therapy. Invasive interventions include bone grafting (or bone grafting alternatives) and stabilization. Stabilization can take many forms but primarily involves plating, intramedullary nailing, or external fixation. To treat nonunions most effectively, a surgeon should have some experience with all forms of surgical stabilization.

Often a nonunion may be treated with several different interventions. The patient should be involved in the discussion because potential risks and benefits vary among treatments. When selecting treatment, thought should be given to future interventions that may be necessary if the fracture does not unite. Operations for nonunions are relatively invasive and should be undertaken only after nonunion has been proven clinically and radiographically or when union is extremely unlikely or impossible without a change in current treatment.

The requirements for successful nonunion treatment are biomechanical stability and a biologic vitality of the bone. These requirements can be obtained through reduction of fragments, bone grafting, and stabilization of the fragments. Many techniques or combinations of techniques meet these requirements, and some general guidelines apply to all techniques.

Reduction and preparation of nonunions

Malreduction (malposition, malalignment, distraction) of bone fragments ( Fig. 59.7 ) can be responsible for nonunion. Malreduction can be particularly problematic in fractures that are rigidly fixed. The same reduction that would be considered satisfactory if stabilized by an intramedullary nail or circular fine wire external fixator may be unsatisfactory if stabilized rigidly with a plate. When malreduction is considered at least part of the etiology of the nonunion, reduction must be improved with the surgical intervention chosen. Depending on the mobility of the nonunion, the method of stabilization, and the decision regarding bone grafting, reduction may be performed open or closed. When an open reduction is performed to adequately reduce and stabilize fracture fragments, interposed fibrous tissue is removed by necessity. In contrast, when fracture fragments are satisfactorily aligned and without a gap, aggressive removal of intervening fibrous tissue may be undesirable. Minimizing further insult to periosteum, callus, and fibrous tissue around the major fragments may preserve vascularity and stability. A bridging cancellous graft placed after meticulous preparation of the proximal and distal fracture fragments (decorticating, petaling, fish scaling, or drilling) should lead to union of the fracture. When reduction is necessary to improve alignment, fragments are mobilized while preserving as much soft-tissue attachments as possible; medullary canals are debrided of fibrous tissue and reestablished to aid in medullary osteogenesis; rounded fracture ends are resected to maximize bone contact.

FIGURE 59.7, Treatment of humeral nonunion with plating. A and B, Radiographs of humeral nonunion after intramedullary nailing. C and D, After treatment of humeral nonunion with nail removal, plating, and bone grafting.

Decortication

Technique 59.1

  • Incise the periosteum longitudinally approximately 4 cm proximal and distal to the nonunion site.

  • Using a sharp osteotome, elevate “scales” of bone with care to keep them attached to overlying periosteum ( Fig 59.8A ). Homan retractors are useful to retract the osteoperiosteal layer as decortication continues.

    FIGURE 59.8, Decortication and grafting. A, Method of decortication. B, Insertion of autogenous cancellous graft (see text). SEE TECHNIQUE 59.1 .

  • Decorticate over approximately two thirds of the bone circumference, but avoid decortication directly under the area of anticipated plate placement.

Bone grafting

Bone grafting has been a staple of nonunion treatment for many years and is still used in most atrophic nonunions and many oligotrophic nonunions. Bone grafting is reserved for rare cases of hypertrophic nonunions because these usually do not need a biologic stimulus. Numerous techniques have been described throughout the years. Many, now mainly historical techniques, such as Boyd’s dual onlay graft, Nicoll’s cancellous insert graft, and Gill’s massive sliding graft, have been illustrated in previous editions of this book.

Autogenous cancellous bone grafting remains a mainstay of nonunion treatment. Unfortunately, autogenous cancellous bone grafts are limited in quantity and can be associated with significant donor site morbidity. The osteoconductive, osteoinductive, and osteogenic properties of autogenous cancellous bone make it ideal for nonstructural grafting; it remains the standard against which other alternatives are compared. Autogenous cancellous grafts are obtained most frequently from the ilium (anterior or posterior iliac crest), proximal tibia, or distal femur. While mesenchymal stem cells derived from bone marrow do undergo negative age-related changes, a recent clinical study suggests no difference in the success of treatment of nonunions using iliac crest bone grafting in geriatric and nongeriatric patients. Allogenic bone for grafting can be used when the source of fresh autogenous bone is inadequate or inaccessible but usually serves as a graft extender. Clinical and experimental data show that the osteogenic properties of allogenic bone are inferior to the osteogenic properties of autogenous bone. When mixed with autogenous bone or perhaps even host bone marrow aspirate (BMA), cancellous allograft can be used in nonstructural applications with excellent results . Techniques of autogenous cancellous harvest are outlined in Chapter 1 .

A more recent technique involves obtaining autogenous graft from the intramedullary canals of long bones (femur and tibia). The reamer-irrigator-aspirator (RIA, Synthes, Paoli, PA) has been found to obtain large quantities of graft that qualitatively compares favorably to iliac crest autograft. The advantages and risks of the RIA technique are described in Chapter 53 .

For structural applications, autologous cortical grafts, except from the fibula, are now rarely used because of donor site morbidity. Autologous tricortical iliac crest grafts can be used to fill defects in the forearm and clavicle. Autologous vascularized and nonvascularized ( Fig. 59.9 ; Technique 59.2) fibular grafts are options for large defects in the upper extremity, particularly of the radius and ulna. Donor site morbidity is a consideration when obtaining an autogenous fibular graft. In adults, nonvascularized fibular grafts do not sufficiently hypertrophy, and vascularized fibular grafts do not hypertrophy quickly enough to be useful in lower extremity osseous defects. Distraction osteogenesis and the Masquelet technique are therefore better options for treating large lower extremity osseous defects. Frozen or freeze-dried cortical allografts provide structural strength, but their osteogenic properties are limited.

FIGURE 59.9, Avascular fibular autograft. Bridging of bone defect with whole fibular autograft or whole fibular transplant. A, Defect in radius was caused by shotgun wound. B and C, Ten months after defect was spanned by whole fibular autograft, patient had 25% range of motion in wrist, 50% pronation and supination, and 80% use of fingers. SEE TECHNIQUE 59.2 .

Fibular Autograft (Nonvascularized)

Technique 59.2

  • Through an appropriate incision, expose the proximal and distal fragments of the nonunion, resect all sclerotic or nonviable bone, and square the ends with a rongeur.

  • With a drill or a curet, ream out the medullary canals of both the fragments.

  • Apply traction to the extremity and determine the maximal length that can be restored.

  • Harvest a fibular autograft long enough to bridge the full defect and to overlap the fragments of the host bone far enough to permit stable fixation.

  • Step-cut the transplant at both ends. Make its intact middle part the exact size of the defect to be bridged. Preserve the step-cut pieces from each end.

  • With an osteotome, flatten the fragments of the nonunion to receive the step-cut ends of the fibular autograft.

  • Fit the fibular autograft into the defect and fix it to both fragments with screws.

  • Utilize remaining bone preserved from the step-cutting and place around the junctions of the fibular autograft and host bone; alternatively, cancellous autograft can be harvested and placed at the junctions ( Fig. 59.8B ).

  • It may be impossible to apply one end of the fibula as a step-cut onlay because one host fragment is too short; the fibular autograft can then be inserted into the medullary canal at this end and applied as an onlay at the other.

  • Consider protecting the fibular autograft by adding a small fragment plate to neutralize the construct while the graft incorporates.

Postoperative Care

The postoperative care is similar to that after routine grafting, but more time is necessary for complete revascularization of the transplant. Although the ends of the fragments may be united with the transplant, strength is not restored until the entire graft has been revascularized. Consequently, support must be continued for an extended time to prevent a fracture of the fibula; preferably, a removable support or one with joints that allow active and passive motions is used.

Intramedullary Fibular Strut Allograft (Humerus)

Intramedullary fibular strut allografts have been used successfully in the humerus ( Fig. 59.10 ). Intramedullary strut allografts have the benefit of less soft-tissue dissection associated with insertion than extramedullary strut allografts.

Technique 59.3

(WILLIS ET AL.)

  • Choose an approach to the humerus that makes the most sense based on the location of fracture or previous intervention.

  • Expose and mobilize the nonunion site.

  • Debride devitalized bone and perform shortening as necessary to optimize bone contact.

  • Open the medullary canal both proximally and distally using rongeurs, curets, and increasing diameter drill bits.

  • Fashion a fibular allograft with a high-speed burr.

  • The length of the allograft should be at least three to four times the diameter of the humerus at the nonunion site.

  • Place the allograft within the canal of one fragment. The graft should be able to move freely and is placed initially almost entirely in this one fragment.

  • Provisionally reduce the humerus. Using a bone clamp move the allograft across the nonunion site into the other fragment.

  • Stabilize the nonunion beginning on one side with a large fragment plate: dynamic compression plate (DCP), limited contact dynamic compression plate (LC-DCP), or locking compression plate (LCP).

  • Compress across the nonunion site using an articulating tensioning device, Verbrugge forceps, or other clamp as space allows.

  • A minimum of one screw on each side of the nonunion should be placed through the allograft.

  • Complete the construct by placing additional screws.

FIGURE 59.10, Intramedullary fibular strut allograft. A and B, Radiographs of humeral nonunion after conservative treatment. C and D, After treatment with fibular strut allograft and plating. SEE TECHNIQUE 59.3 .

Ceramics

Ceramics (hydroxyapatite, calcium phosphate, calcium sulfate, or some combination) have osteoconductive properties and avoid problems with donor site morbidity. Their role in treatment of nonunions is not completely defined, but they probably are best used as delivery devices (antibiotics) or bone graft extenders.

Stabilization of fragments

Satisfactory stabilization of fracture fragments is imperative to achieve successful results in the treatment of nonunions. One must carefully analyze the potential mechanical etiologies related to the nonunion and make sure that prior mistakes are not repeated. Adequate stabilization can be obtained with plating, intramedullary nails, or external fixation.

Plating

Plating ( Fig. 59.11 ) in the treatment of nonunions, as in acute fractures, should provide sufficient stability for fracture healing. The plating technique and choice of plate depend on the type of nonunion, the condition of the soft tissues and bone, the size and position of the bone fragments, and the size of the bony defect. Plating without bone grafting usually is adequate for hypertrophic nonunions if the bone is not osteoporotic and the fragments are large enough for secure screw fixation. Plating typically is performed with a compression technique, but it may be performed with a neutralization technique if lag screws were successfully placed across the nonunion. Bridge plating or wave plating also can be used.

FIGURE 59.11, Plating in treatment of nonunion. A, Humeral nonunion after conservative treatment. B and C, Radiographs demonstrating union of humerus after plating and bone grafting. D and E, After implant removal.

Intramedullary nailing

Intramedullary nailing is very useful in nonunions of long bones, such as the tibia or femur ( Fig. 59.12 ). However, intramedullary nailing, particularly exchange nailing, is not the best option for humeral nonunion. If alignment is acceptable or closed reduction can be obtained, the procedure can be performed without opening the fracture site. Bone grafting usually is not required. If necessary, long bone intramedullary reaming can generate a large amount of corticocancellous graft material that can be easily harvested with a RIA system with little increased morbidity. When an open technique is required, usually only limited exposure and dissection are required. Early weight bearing is possible, and the effects of prolonged non–weight bearing may be minimized. A relative contraindication for intramedullary nailing is current infection; however, intramedullary nailing can be successful for infected nonunions once the infection has been eradicated.

FIGURE 59.12, Intramedullary nailing in treatment of nonunion. A, Radiograph of tibial nonunion after intramedullary nailing. B, Union of tibia after exchange intramedullary nailing.

A newer type of intramedullary nail, a magnetic compression nail (Precise, NuVasive, San Diego, CA), is being used with increasing frequency in the treatment of nonunions. This nail allows sustained compression at the nonunion site. Early results from this device have been positive in the treatment of humeral, tibial, and femoral nonunions. As with many new devices, comparative studies with standard treatments evaluating clinical results and cost implications have not yet been published.

External fixation

Circular fine wire fixation, such as the Ilizarov fixator, is a labor-intensive, but very effective, tool in the treatment of nonunions. It is especially useful in nonunions associated with infection, osseous defects, and deformity. The Taylor Spatial Frame is a more contemporary circular fine-wire fixator that relies on computer software to assist in deformity correction ( Fig. 59.13 ). An advantage of external fixation is that it is relatively noninvasive and does not disturb soft tissues surrounding the nonunion. Other advantages are its ability to correct deformity and provide stable fixation. Similar to intramedullary nailing, early weight bearing is possible, and the effects of prolonged non–weight bearing may be minimized.

FIGURE 59.13, External fixation in treatment of nonunion. A, Clinical photos illustrating deformity and compromised soft tissues associated with tibial nonunion. B and C, Radiographs of tibial nonunion after initial fixation and subsequent tibial plate removal. D, After remaining implants removal and placement of circular fixator. E, Union after treatment with circular fixator.

Arthroplasty

Advances in arthroplasty techniques in the treatment of degenerative conditions have led to many of these techniques being used in some patients with a nonunion. Arthroplasty is an option for certain nonunions of the proximal ( Fig. 59.14 ) and distal humerus and the proximal and distal femur that may not be best served with plating, intramedullary nailing, or external fixation. Fixation in these areas may be limited by osteoporosis or short segments. Infection would obviously need to be eradicated before an attempt at arthroplasty is made. A benefit to arthroplasty is potential early weight bearing, which may help in the patient’s overall functional recovery.

FIGURE 59.14, Arthroplasty in treatment of nonunion. A and B, Radiographs of proximal humeral nonunion. C, Computed tomography of proximal humeral nonunion. D, After treatment with reverse total shoulder arthroplasty.

Amputation

The function of a limb with a properly fitted prosthesis after amputation often is better than a painful extremity with limited usefulness. Amputation should not be viewed as a failure of treatment. An amputation should be considered a reconstructive procedure ( Fig. 59.15 ). Amputation typically is the most reliable nonunion surgery. To proceed with amputation or further intervention in an attempt to obtain union is always a decision that involves the patient. The patient should be encouraged to speak with as many individuals experienced in traumatic reconstruction as possible. Every alternative should be explored and explained to the patient for his or her final decision. The patient also must consider many factors not immediately surgical in nature, such as the length of hospitalization and the economic hardships involved in the alternatives.

FIGURE 59.15, Amputation in treatment of nonunion. A, Clinical photo showing gross purulence associated with infected distal femoral nonunion. B and C, Radiographs of distal femoral nonunion. D, Clinical photo during above-knee amputation.

The surgeon is likely to recommend amputation under the following circumstances:

  • 1.

    When a reconstruction has failed

  • 2.

    When a proposed plan of reconstruction would likely result in less satisfactory function than amputation and a properly fitted prosthesis

  • 3.

    When the danger of major operations outweighs the anticipated benefit

  • 4.

    When the damaged part, such as a finger, cannot be well enough restored to prevent its interfering with the function of the extremity as a whole

  • 5.

    When reconstruction is impossible

Low-intensity ultrasound

Xavier and Duarte in Brazil first reported the successful use of low-intensity ultrasound to heal nonunions in humans in 1983. Before their report, several studies suggested that the stimulation of bone ends by ultrasound in animals would accelerate or enhance bone healing. Some studies showed increases in cellular activity at osteotomy sites and increases in mineralization of the bone and metabolic activity. It has been theorized that ultrasound stimulation promotes bone healing because it stimulates the genes involved in inflammation and bone regeneration. Another theory suggests that ultrasound increases blood flow through dilation of capillaries and enhancement of angiogenesis, increasing the flow of nutrients to the fracture site. Some studies have suggested that chondrocyte stimulation is enhanced by ultrasound, which leads to an increase in enchondral bone formation. A large meta-analysis reported a success rate of more than 80% with LIPUS for the treatment of nonunion. Interestingly, this study also suggested that LIPUS was twice as effective in hypertrophic nonunions compared with atrophic nonunions. LIPUS seems to be a reasonable, noninvasive treatment for fractures in which healing is delayed or at risk for nonunion. LIPUS also appears to be an option for nonunions in patients who are high risk for surgery.

Electrical and electromagnetic stimulation

Improvements in electrical and electromagnetic bone growth stimulators continue to progress. External electrical stimulation is especially advantageous in infected nonunion management or when surgical intervention is contraindicated. Four electrical and electromagnetic methods are available for the treatment of nonunions (direct current, capacitive coupling, pulsed electromagnetic field, combined magnetic fields). These methods can be invasive (direct current), requiring the implantation of electrodes, and time-consuming. Use of capacitive coupling and pulsed electromagnetic field stimulation require 8 to 24 hours of use per day, and compliance may be an issue.

Extracorporeal shock-wave therapy

Extracorporeal shock-wave therapy is another nonoperative option for nonunion treatment. Although there appear to be more contraindications with this method of fracture augmentation compared with ultrasound and electrical and electromagnetic stimulation, the efficacy in treatment of nonunions has been reported to be above 75% with just one treatment.

Factors Complicating Nonunion

Nonunions may be complicated by infection, deformity, shortening, and segmental bone loss.

Infection

Considerable judgment is required to treat infected nonunions. Even when infection is not suspected based on the preoperative laboratory workup, intraoperative cultures should be obtained in every nonunion that has initially been managed with surgical treatment. Patients with “surprise positive cultures” (unexpected positive intraoperative cultures after negative preoperative workup) have a much lower incidence of successful nonunion treatment in terms of both union and recurrent infection. Classically, two entirely different approaches of treatment have been employed most often for this difficult problem. The first is the conventional , or classic , method used for many decades. The second is the active method. One or the other of these methods can be performed wholly or in part, depending on the circumstances in a given patient and the judgment of the surgeon. The two are described separately here, but the surgeon often uses parts of each in a single patient. The Ilizarov method is another method of treating infected nonunions that has similarities to the conventional and the active methods. The status of bone involvement (medullary, superficial, localized, and diffuse) and host competency help the surgeon decide on the potential healing of infected bone. The gold standard for diagnosis of infection has been multiple direct cultures of the fracture site (not the skin or sinus tract). A report, however, has questioned the sensitivity of cultures in the diagnosis of infection in nonunion treatment. The diagnosis of infection is discussed more in Chapter 20 .

Conventional treatment

The objectives of the conventional method are to convert an infected and draining nonunion into one that has not drained for several months and to promote healing of the nonunion by bone grafting. This method of treatment often requires a prolonged period of time and many potential operations. Debridement is performed with removal of all foreign, infected, or devitalized materials to provide a vascular bed. Providing some element of stabilization is considered at this point with appropriate coverage provided by the plastic surgery team. Infections can be controlled more easily when robust, highly vascular soft tissue is used to cover the fracture, especially with infected nonunions of the tibia. External fixation may initially be most appropriate. Antibiotics are used systemically and are based on intraoperative cultures. Bone grafting is deferred until the soft tissues have completely healed and become stabilized. In some patients, the fracture may unite and bone grafting becomes unnecessary.

When the clinical signs of infection have subsided, the soft tissues over the bone are good, and when nonunion persists, bone grafting is considered. There may never be a perfect time to graft the nonunion because whether an infection has been completely eradicated or is merely quiescent cannot be determined for sure, but a time must be selected or conventional treatment abandoned. The character and duration of the infection, the time of the last drainage, and the general condition of the extremity all must be considered.

When an infection has been active chiefly in the soft tissues or around sequestra, the risk of reactivating it by surgery is much less than when it has involved the cortex and medullary canal. When the infection has been prolonged and destructive, all the surrounding structures are presumed to have been deeply penetrated, and a dormant infection is likely. Bacteria can lie dormant for years, only to become active again after surgery or some other trauma. This danger is inherent in the treatment of infected nonunions and must be accepted. The use of antibiotics before and after surgery has reduced the danger because they can often control an infection within the limits of a vascular area, but they cannot be expected to sterilize an avascular area that they cannot penetrate. Reconstructive operations usually should be delayed until at least 6 months after all signs of infection have disappeared.

Controlling infection before attempting bone grafting always has been a sound clinical principle in the conventional treatment of nonunions. There are exceptions to this principle, however, especially in the tibia. Successful bone grafting in tibial nonunions, even in the presence of draining sinuses, has been reported. In sequestration or gross infection, the bone is saucerized through an anterior approach, the incision is closed or the wound is covered, and the infection is treated with antibiotics.

In treating the tibial nonunion itself, the anterior aspect of the tibia is avoided because the draining sinuses and poor skin usually are located here. The tibia is traditionally approached posterolaterally. The posterior aspect of the tibia (or the tibia and fibula) is decorticated proximal and distal to the nonunion. The entire area is grafted with autogenous cancellous iliac crest. The nonunion itself is not exposed; it is hoped that the grafted area will not communicate directly with the infected area.

Active treatment

The objective of the active method is to obtain bony union early and shorten the period of convalescence and preserve motion in the adjacent joints. Judet and Patel and Weber and Cech described this method, and much of the following is taken from their reports.

The first step is restoration of bony continuity. This takes absolute priority over treatment of the infection. The nonunion is exposed through the old scar and sinuses. The ends of the fragments are decorticated subperiosteally, forming many small osteoperiosteal fragments; any grafts that become detached are discarded. Next, all devitalized and infected bone and soft tissues are removed. Then the fragments are aligned and stabilized, usually by an external fixation device. Compression is applied across the nonunion if possible. Autogenous cancellous bone grafts can be inserted. Internal fixation with a plate is used only when drainage has ceased, and then the approach is away from the area of old drainage, or when no other method of fixation is possible and the infection is mild. When the fracture already has been firmly fixed with a plate or intramedullary nail, the fixation is not disturbed, and the operation is done as described except decortication is omitted when an intramedullary nail has been used. The wound is then closed, and systemic antibiotics are administered based on intraoperative cultures.

If necessary for union, a second decortication with or without the addition of autogenous cancellous graft is performed. After the nonunion has healed, any residual sequestra are removed, and split-thickness skin grafts are applied to any remaining defect in the skin. Satisfactory results have been reported with this method of treatment with or without cancellous grafts, with success rates ranging from 83% to 98%.

Polymethyl methacrylate antibiotic Beads

Antibiotic-impregnated polymethyl methacrylate (PMMA) beads can be used to treat infected nonunions. Thonse and Conway found that Palacos (Zimmer, Warsaw, IN) cement was superior in elution to Simplex (Stryker, Mahwah, NJ). Heat-stable antibiotics, such as tobramycin and gentamicin, can be mixed with PMMA and used locally to achieve 200 times the antibiotic concentration achieved with intravenous administration. The use of antibiotic-impregnated PMMA beads in conjunction with debridement in the management of infected nonunions was shown in one study to be more effective in treatment than systemic antibiotics. Placement of a PMMA spacer is another option that has the ability to provide some stability in an osseous defect situation. The body’s reaction to PMMA beads or a spacer leaves a bioactive membrane, Masquelet membrane ( Fig. 59.16 ). The use of cancellous bone graft to deliver antibiotics to infected nonunion sites has been described in a limited number of patients with satisfactory results; however, the optimal ratio of antibiotic to cancellous graft is not known.

FIGURE 59.16, Masquelet technique. Clinical photo showing membrane formed around polymethyl methacrylate spacer.

Deformity, shortening, and segmental Bone loss

Ilizarov method

According to Ilizarov, to eliminate infection and obtain union, vascularity must be increased. Three basic modes of application exist for the Ilizarov frame: (1) monofocal, (2) bifocal, and (3) trifocal ( Box 59.1 ). The Ilizarov frame allows multiple modes of treatment, including compression, distraction, lengthening, and bone transport. In the Ilizarov approach, vascularity is increased by corticotomy and application of a circular external fixator. Although infected nonunions frequently have been successfully treated without debridement, some authors recommend open debridement to remove necrotic and infected segments, followed by bone transport into the region and soft-tissue coverage. One study advocated segmental excision of the nonunion site followed by distraction osteogenesis. Catagni recommended compression for hypertrophic nonunions with minimal infection and no sequestered bone to increase formation of repair callus and vascularity. Monofocal compression also can be used for infected hypertrophic nonunions with deformity. For atrophic nonunions with diffuse infection or sequestered bone, open resection of the infected segment is performed and bifocal compression is used. If skin quality is poor, the bone is stabilized with the external fixator after resection of necrotic bone. When skin conditions improve and the infection has regressed, corticotomy is performed and bifocal compression ( Fig. 59.17 ) is applied.

BOX 59.1
Modes of Treatment With Circular External Fixation

Monofocal

  • Compression

  • Sequential distraction-compression

  • Distraction

  • Sequential compression-distraction

Bifocal

  • Compression-distraction lengthening

  • Distraction-compression transport (bone transport)

Trifocal

  • Various combinations

FIGURE 59.17, Bifocal treatment with Ilizarov fixator after debridement of necrotic bone and corticotomy.

Combinations of several of the methods described for infection can be used for treatment of the separate components of a complex nonunion, but the Ilizarov method allows simultaneous treatment of all components, including angular, rotary, and translational deformities; shortening; and segmental bone loss. Although dramatic results can be obtained, this method is technically demanding and requires thorough training and experience. It is recommended that only surgeons knowledgeable in its biologic basis and the techniques required for its safe, effective application use this method.

Deformities of 10 or 15 degrees can be corrected immediately by frame application; larger deformities should be corrected gradually. Hypertrophic nonunions can be treated by gradual correction of the deformity, followed by compression. Atrophic nonunions with shortening can be treated by compression at the nonunion accompanied by a corticotomy in the metaphyseal region of the same bone and gradual lengthening through the corticotomy. Ilizarov showed marked hypervascularity of the limb and bone after corticotomy and gradual distraction. Conceivably, the corticotomy provides some of the same biologic benefits as a bone graft. Nonunions with segmental bone loss can be treated by corticotomy and gradual transport of a fragment. The leading edge of this transported fragment frequently requires bone grafting at the time of arrival to the principal fragment. Depending on the size of the defect and the anticipated time to docking, bone grafting can be performed at the time of frame application or just before docking if necessary.

The sequence of correction of complex deformities, including shortening, rotation, angulation, translation, or a combination of one or more, varies, but generally length must be reestablished before other deformities can be corrected. It sometimes is difficult to evaluate malrotation when major angulation and translation deformities are present, and its correction may be best left until last. If rotation is corrected last, the frame must be mounted carefully, with the bone centered within the frame; otherwise, translation of one bone fragment would occur during final rotation and would require an additional step of translation to reestablish full apposition. Some complex deformities can be resolved with a simple hinge, and some simple deformities can be best treated with more complex constructs. The maximal velocity of bone or soft-tissue elongation is approximately 1 mm every 24 hours. During the correction of a complex deformity, the structures being lengthened most may change during the treatment, and the structure at greatest risk during any phase of treatment must be appreciated and monitored.

The Ilizarov frame can be constructed to provide compression or distraction or both, and careful preoperative evaluation of deformities allows assembly of the proper frame before surgery. True anteroposterior and lateral views of the limb are necessary. The importance of these orthogonal views cannot be overemphasized because these films are used to characterize completely the plane and extent of angulation and translational deformities and, along with preoperative sizing of the limb, to determine correct ring diameter to allow frame construction before surgery. First, the plane and the extent of deformity in this plane are determined. Next, the type of hinge or linkage frame necessary to correct the deformity (e.g., opening wedge or distraction hinge) is determined. Finally, the exact locations of the hinges or linkages are determined.

Taylor spatial frame method

The more contemporary Taylor Spatial Frame fine-wire external fixator has simplified deformity correction through utilization of a computer program. The computer program and virtual hinge assists with determining the exact position of wires or pins, hinges, and linkages in the correction of complex deformities. Struts can be manipulated daily by patients until deformity is corrected. This fixator is especially useful in treating hypertrophic nonunions and nonunions associated with infection, soft-tissue compromise, bone loss, and leg-length discrepancy. Several authors have reported its successful use in infected and noninfected nonunions. Application of the spatial frame is described in Chapter 54 .

Corticotomy

To lengthen a bone, a special type of percutaneous osteotomy, or corticotomy, is required ( Fig. 59.18 ). Paley et al. described an effective method of corticotomy in which a 5 mm osteotome is used to cut the medial and lateral cortices, extending subperiosteally into the posteromedial and posterolateral corners. The osteotome is turned 90 degrees to wedge open the incomplete osteotomy and to crack the remaining posterior cortex. This maneuver is repeated with the osteotome in the posteromedial and posterolateral cortices. The fixator rings above and below can be rotated to complete the osteoclasis. The corticotomy preserves the soft tissue inside and outside the bone (the periosteal and endosteal circulation). On a radiograph, the corticotomy should appear as a nondisplaced osteotomy.

FIGURE 59.18, Corticotomy (Paley). A, Skin incision of 1.5 cm with periosteal elevation. B, Osteotome is twisted transversely to cut groove in anterior cortex only. C, Anterior groove is cut to, but not through, medullary cavity. D, Periosteum is elevated laterally, and lateral cortex is cut with 5-mm osteotome to and through posterolateral corner. E, Anteromedial periosteum is elevated, and medial cortex is cut. F, Osteotome is twisted 90 degrees in posteromedial cortex to crack it and is inserted in posterolateral cortex and twisted. G, Osteoclasis is completed by gentle controlled external rotation of fixator rings.

Nonunion of Specific Bones

Tibia

The tibia is the most common bone to proceed to nonunion. Nonunions are estimated to occur after 2% to 15% of all tibial fractures. The development of a tibial nonunion is closely related to the type and severity of the injury, but other factors may play a role, such as degree of fracture comminution, open fracture, degree of soft-tissue injury, medical comorbidities, and patient lifestyle (tobacco use, nutritional status, medications). Subsequent complications, such as infection or compartment syndrome, also may affect healing of the fracture. Infection rates as high as 24% have been reported in open tibial fractures. In a large recent study of open tibial fractures, deep infection was found to be an overwhelming predictor of fracture nonunion (OR = 12.75). Other predictors of nonunion included soft-tissue wounds (Gustilo and Anderson type IIIA open fractures, OR = 2.49) and smoking (OR = 1.73). Investigators continue to try to identify patient, injury, and treatment factors that may predict subsequent nonunion.

Medial malleolus

A fracture of the medial malleolus occasionally fails to unite, usually after closed treatment. Surgery may be indicated for the few nonunions in which other serious complications of the fracture, such as posttraumatic arthrosis, are not seen on radiographs. The technique usually includes excision of the nonunion, application of autogenous bone grafts, and internal fixation of the malleolar fragment. When the nonunion is painful, it can be surgically managed in the following ways. When the bone adjacent to the nonunion is sclerotic or has been absorbed, and the proximal part of the malleolus is large enough to preserve the ankle mortise, resecting the ununited distal fragment is preferable to bone grafting ( Fig. 59.19 ). When the fragment is larger, bone grafting and stabilization usually are indicated. Bicortical lag screws probably are indicated; they have been shown to be more stable and less likely to be associated with nonunion.

FIGURE 59.19, Resection of medial malleolus. A, Persistent nonunion of medial malleolus. B, Seven years after resection of medial malleolus. Ankle is stable, although mild arthritic changes are becoming evident. This is maximal amount of medial malleolus that can be removed if stability of ankle is to be preserved.

Resection of the Distal Fragment of the Medial Malleolus

You're Reading a Preview

Become a Clinical Tree membership for Full access and enjoy Unlimited articles

Become membership

If you are a member. Log in here