Degenerative Endplate Changes


KEY FACTS

Terminology

  • Vertebral endplate change, Modic changes

    • Type I, II, III endplate change

  • MR signal abnormalities involving vertebral body endplates related to degenerative disc disease

    • Type I: Hypointense on T1, hyperintense on T2

    • Type II: Hyperintense on T1, isointense on T2

    • Type III: Hypointense on T1 and T2

Top Differential Diagnoses

  • Disc space infection

  • Pseudoarthrosis/nonunion

  • Seronegative spondyloarthropathy

  • Metastatic disease

Pathology

  • Type I: Replacement with fibrovascular marrow

  • Type II: Replacement by fatty marrow

  • Type III: Replacement by bony sclerosis with little residual marrow

Clinical Issues

  • Type I: Present in 4% of patients undergoing MR for disc disease

  • Type II: Present in 16% of patients undergoing MR for disc disease

    • Commonly present after successful segmental fusion

  • Type III: Least common (∼ 1%)

  • Relationship of type I endplate changes to low back pain (discogenic pain) controversial

    • Some studies suggest type I, II changes have high specificity (> 90%) but low sensitivity (20-30%) for painful lumbar disc

    • Type I change shows high positive predictive value with discography

Sagittal T2WI MR shows increased signal intensity from L4-L5 endplates . The disc at L4-L5 is low signal, reflecting disc degeneration with a slight retrolisthesis. No prevertebral or epidural soft tissue is present to suggest infection.

Micropathology, low-power H&E shows type I change with fibrovascular replacement of hematopoietic marrow. There are prominent interstitial spaces and scattered capillaries among spindle-shaped cells.

Sagittal T1WI MR shows classic type II endplate changes due to fatty marrow replacement at L4-L5 disc level. There is degeneration of L4-L5 with a loss of disc height and vacuum phenomenon.

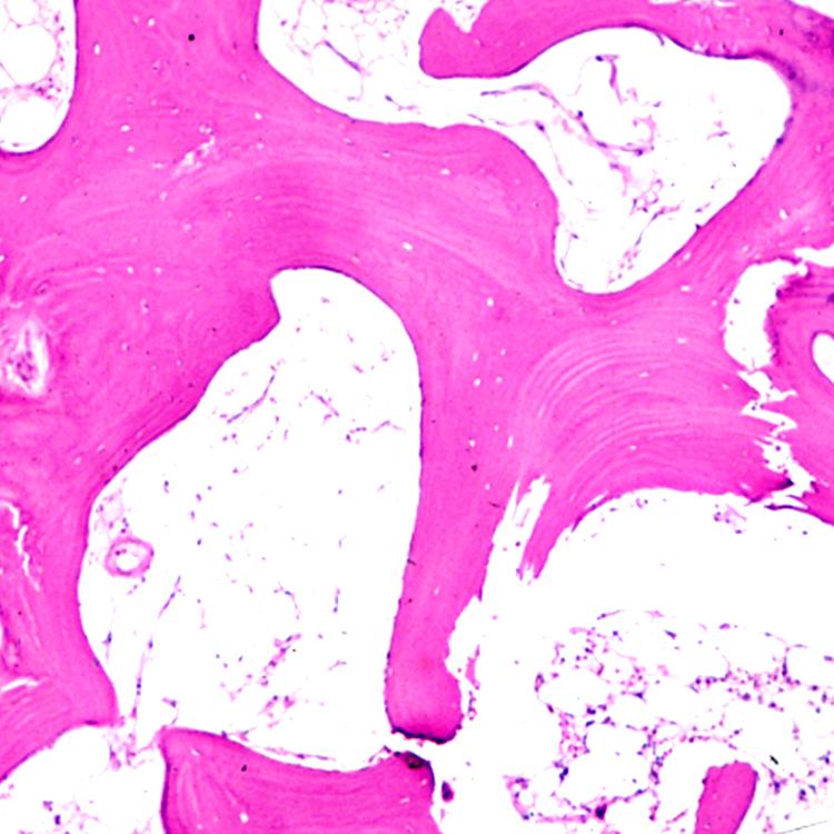
Micropathology, low-power H&E shows type II changes with fatty replacement of normal hematopoietic marrow. Note the thickened trabeculae with new woven bone formation.

TERMINOLOGY

Synonyms

  • Vertebral endplate change, Modic changes

  • Type I, II, III endplate change

Definitions

  • MR signal abnormalities involving vertebral body endplates related to degenerative disc disease

    • Type I: Hypointense on T1WI, hyperintense on T2WI

    • Type II: Hyperintense on T1WI, isointense on T2WI

    • Type III: Hypointense on T1WI and T2WI

You're Reading a Preview

Become a Clinical Tree membership for Full access and enjoy Unlimited articles

Become membership

If you are a member. Log in here