Degenerative Disorders of the Newborn


Certain degenerative disorders of the developing nervous system may be clinically manifested in the neonatal period. Because most of these disorders are related to a disturbance in the metabolism of a lipid or some other compound, they are discussed most appropriately in this series of chapters concerned with metabolic disorders. Indeed, clinical overlap of some of these degenerative disorders with some of the metabolic disorders discussed in previous chapters will be apparent. Nevertheless, the diseases discussed in this chapter are best considered as a more or less distinct group. Early diagnosis is important for the delineation of prognosis, genetic counseling, and, in a few instances, the institution of specific therapy. The introduction of rapid whole exome sequencing and, in limited cases, whole genome sequencing is revolutionizing the diagnosis and classification of many of these disorders in resource-rich countries. Because these are relatively rare disorders, discussion of each entity is brief.

MAJOR DISORDERS

From the clinical standpoint, we find it useful to separate the degenerative disorders into those that primarily affect gray matter and those that primarily involve white matter ( Table 33.1 ). (At later ages, disorders that affect specific regions of the brain [e.g., basal ganglia in Huntington or Wilson disease or cerebellum in ataxia telangiectasia], so-called system degenerations, comprise a third major category.) In general, disorders of gray matter are characterized by the appearance early in the disease of seizures, myoclonus, spikes or sharp activity on the electroencephalogram, failure of cognitive development, and retinal disease, whereas disorders of white matter are characterized by the appearance early in the disease of marked motor deficits and slow activity on the electroencephalogram. Although overlap in the clinical features and even in the topography of the neuropathology between the two broad categories is considerable, we retain the separation. There are a few disorders involving specific subcellular organelles (e.g., peroxisomes, mitochondria) or other, still-to-be-defined defects that affect both gray and white matter prominently, and these must be considered separately (see Table 33.1 ). This chapter focuses only on those diseases for which the recording of more than a few cases with neonatal manifestations is available. The salient features of the disorders are outlined in Tables 33.2 to 33.5 . Many of these disorders are abnormalities of degradation of sphingolipids ( Fig. 33.1 ), as noted in the individual discussions later.

Table 33.1
Degenerative Diseases of the Nervous System With Manifestations in the Newborn
Gray matter
No visceral storage
Tay-Sachs disease (GM 2 gangliosidosis)
Congenital neuronal ceroid-lipofuscinosis
Alpers disease
Menkes disease
With visceral storage
GM 1 gangliosidosis
GM 2 gangliosidosis (Sandhoff variant)
Niemann-Pick disease
Gaucher disease
Farber disease
Infantile sialic acid storage disease
White matter
Canavan disease
Alexander disease
Krabbe disease
Pelizaeus-Merzbacher disease
Leukodystrophy with cerebral calcifications and cerebrospinal fluid pleocytosis (Aicardi-Goutières disease)
Gray and white matter
Peroxisomal disorders: neonatal adrenoleukodystrophy, Zellweger syndrome
Mitochondrial disorder: Leigh syndrome, other mitochondrial encephalopathies
  • Disorders with cerebellar ± pontine hypoplasia

    • Congenital disorders of glycosylation

    • Pontocerebellar hypoplasia

  • Neurotransmitter defects

    • Serine synthesis deficiency

Rett syndrome (males)

Table 33.2
Degenerative Diseases Primarily of Gray Matter (No Visceral Storage)
DISEASE CLINICAL FEATURES METABOLIC-ENZYMATIC FEATURES PATHOLOGY
Tay-Sachs disease (GM 2 gangliosidosis) Stimulus-sensitive myoclonus, irritability, hypotonia, weakness, cherry-red macula (virtually all); later seizures, blindness, and macrocephaly GM 2 ganglioside accumulation in brain; hexosaminidase A deficiency Neurons distended by GM 2 ganglioside throughout the CNS
Congenital neuronal ceroid-lipofuscinosis Neonatal seizures (severe), apnea, microcephaly, developmental arrest, followed by regression and vegetative state Cathepsin D deficiency Marked brain atrophy; diffuse neuronal loss with gliosis; autofluorescent granular material in neurons, glia, and macrophages; electron microscopy—osmiophilic granules
Alpers disease Myoclonus (often stimulus sensitive), seizures (severe), developmental arrest followed by regression, visual and auditory deficits common, evidence of hepatic dysfunction late Elevated lactate/pyruvate levels in cerebrospinal fluid (and blood); deficient catalytic subunit of mitochondrial DNA polymerase gamma (mutated gene POLG ) with mitochondrial DNA depletion and impaired function of electron transport chain at multiple sites; POLG-negative cases (with apparent defect in mitochondrial tRNA metabolism) now recognized especially in the perinatal period Marked brain atrophy; severe neuronal loss with astrocytosis, spongiosis, and capillary proliferation, especially in the cerebral cortex, and particularly occipital (striate) cortex
Menkes disease (kinky hair disease) Hypothermia, hypotonia, poor feeding, poor weight gain, seizures, developmental arrest and then regression; cherubic face; colorless, friable, steely hair Low serum copper and ceruloplasmin levels; cultured fibroblasts: reduced efflux of copper, elevated copper content; deficient activity of many copper-containing enzymes; molecular defect of a cation transporting ATPase Neuronal loss with gliosis in cerebral cortex and cerebellum, marked proliferation of dendritic tree (especially of Purkinje cells), focal axonal swellings ( torpedoes ); myelin loss with gliosis and arterial changes
CNS , Central nervous system; POLG , polymerase γ.

Table 33.3
Neonatal Seizure Disorders That May Mimic Gray Matter Degenerations at Presentation
Epileptic Syndromes (see Chapter 12 )
Early infantile epileptic encephalopathy (Ohtahara syndrome)
Early myoclonic epilepsy
Pyridoxine-dependent seizures/folinic acid-responsive seizures
Pyridoxal–5-phosphate-responsive seizures
DEND syndrome
Hyperinsulinism/hyperammonemia syndrome
Malignant migrating partial seizures of infancy
Metabolic Disorders
Glucose transporter deficiency a
Serine synthesis deficiency b
Nonketotic hyperglycinemia (see Chapter 31 )
Sulfite oxidase deficiency: molybdenum cofactor deficiency (see Chapter 32 )
Multiple carboxylase deficiency: biotinidase deficiency (see Chapter 32 )
Multiple acyl-coenzyme A dehydrogenase deficiency (glutaric aciduria type II) (see Chapter 32 )
DEND , Developmental delay, epilepsy, and neonatal diabetes.

a Described in this chapter in the section on neonatal seizure disorders that mimic gray matter degeneration at presentation.

b Described in this chapter later among diseases affecting gray and white matter (see Table 33.7 ).

Table 33.4
Value of Cerebrospinal Fluid Examination in Metabolic and Degenerative Neonatal Neurological Disorders
PARAMETER DISEASE
Cells (increased) Aicardi-Goutières leukodystrophy
Glucose (decreased) Glucose transporter defect
Protein (increased) Krabbe disease
Lactate (increased) Mitochondrial disease, organic acid disorder, fatty acid disorder ( Chapter 31 , Chapter 32 )
Glycine (increased) Nonketotic hyperglycemia ( Chapter 31 )
Serine (decreased) Serine synthesis deficiency
Neurotransmitter metabolites (variably increased) Neurotransmitter defects
AASA (increased) Pyridoxine-dependent seizures ( Chapter 15 )
Folinic acid metabolites (increased) Folinic acid–responsive seizures ( Chapter 15 )
Pyridoxal–5-phosphate (increased) Pyridoxal–5-phosphate–dependent seizures ( Chapter 15 )
AASA , Alpha-amino adipic acid semialdehyde.

Table 33.5
Degenerative Diseases Primarily of Gray Matter (With Visceral Storage)
DISEASE CLINICAL FEATURES METABOLIC-ENZYMATIC FEATURES PATHOLOGY
GM 1 gangliosidosis Sucking and swallowing impairment, hypotonia, decreased movement; edema, coarse facies, hepatosplenomegaly, cherry-red macula (50%) GM 1 ganglioside accumulation in brain, beta-galactosidase deficiency Neurons distended by GM 1 ganglioside throughout the CNS
GM 2 gangliosidosis (Sandhoff variant) See Tay-Sachs disease; also hepatosplenomegaly See Tay-Sachs disease; also globoside accumulates in viscera, hexosaminidase A and B deficiency See Tay-Sachs disease
Niemann-Pick disease (type 1 A, infantile ) Feeding impairment, failure to thrive, developmental arrest and then regression, cherry-red macula (50%), hepatosplenomegaly Sphingomyelin (and cholesterol) accumulate in brain; sphingomyelinase deficiency Neurons distended with sphingomyelin throughout the CNS; foam cells in leptomeningeal and perivascular spaces
Gaucher disease (type 2, acute neuronopathic or infantile ) Retrocollis, strabismus, trismus, dysphagia, aspiration, spasticity, hepatosplenomegaly, hydrops fetalis Glucocerebroside accumulates in brain; glucocerebrosidase (beta-glucosidase) deficiency Gaucher cells (lipid-laden histiocytes) in perivascular spaces and in parenchyma; neuronal death and neuronophagia throughout the CNS, especially in the brainstem
Farber disease (lipogranulomatosis) type 1, classic Painful swelling of joints (later periarticular nodules), hoarse cry, feeding disturbance, failure to thrive, hypotonia, muscle atrophy, areflexia or hyporeflexia, and hepatomegaly (50%) Ceramide accumulates in tissues; ceramidase deficiency Neurons distended by glycolipid (ceramide?), especially in anterior horn cells, less prominently in brainstem, basal ganglia, and least in cortex
Infantile sialic acid storage disease (also sialidosis type II and galactosialidosis) Fetal ascites/hydrops, neonatal hypotonia, impaired feeding, developmental arrest followed by regression; ascites, coarse facies, white hair, and hepatosplenomegaly Sialic acid accumulates in tissues, including the brain, and in body fluids; defect of sialic acid transport across lysosomal membrane; similar phenotype with sialidosis secondary to deficiency of alpha-neuraminidase (sialidosis type II) or of alpha-neuraminidase and beta-galactosidase (galactosialidosis) Neurons distended with sialic acid, especially in the diencephalon, brainstem, and spinal cord; prominent axonal spheroids; myelin deficiency

Fig. 33.1, Sphingolipid metabolism and disorders. The disorders of sphingolipid metabolism involve degradative enzymes: (1) Farber disease, ceramidase deficiency; (2) Niemann-Pick disease, sphingomyelinase deficiency; (3) Krabbe disease, galactocerebrosidase deficiency; (4) metachromatic leukodystrophy, arylsulfatase A deficiency; (5) Gaucher disease, glucocerebrosidase deficiency; (6) Fabry disease, ceramide trihexosidase deficiency; (7) Tay-Sachs disease, hexosaminidase A deficiency; (7ʹ) Sandhoff disease, hexosaminidase A and B deficiencies; (8) GM 1 gangliosidosis, beta-galactosidase deficiency. NANA, N -acetylneuraminic acid.

DISORDERS PRIMARILY AFFECTING GRAY MATTER

Disorders primarily affecting gray matter are best discussed according to the presence or absence of accompanying visceral storage. Visceral storage is clinically identified by hepatosplenomegaly and is often accompanied by abnormalities of the long bones and by coarse facial features.

No Visceral Storage

Tay-Sachs Disease

Tay-Sachs disease is the prototype of a degenerative disease of gray matter in infancy (see Table 33.2 ). Onset in the first few weeks of life, although uncommon, may occur. (More commonly, onset is at approximately 3 months.) The principal initial clinical features are irritability and hypersensitivity to auditory and often other sensory inputs. A cherry-red spot, caused by ganglioside storage in retinal ganglion cells imparting a yellowish tint around the normally red fovea, is apparent on funduscopic examination (see Fig. 33.2 ). This abnormality has been identified as early as 2 days of age. The subsequent course is characterized by myoclonic seizures, motor deterioration, hypotonia, blindness, macrencephaly, and death in the third or fourth year of life, which are the features confirmed in a recent natural history study of more than 200 infantile patients with Tay-Sachs disease. (A clinical variant with organomegaly and bony abnormalities similar to those in generalized GM 1 gangliosidosis [see later discussion] is termed the Sandhoff variant of Tay-Sachs disease. ) The diagnosis is established by identification of the enzymatic defect in white blood cells or fibroblasts, which involves hexosaminidase A (see Fig. 33.1 ). In cases where enzyme testing is indeterminate, molecular analysis may be necessary. (In the Sandhoff variant, both hexosaminidase A and B are deficient.) The disorder is inherited in an autosomal recessive manner and is especially common in Ashkenazi Jews, although the majority of cases in North America are now of non-Jewish ancestry. Neuropathology is characterized by generalized neuronal storage of the GM 2 ganglioside and by markedly dilated neuronal processes (meganeurites). Neuroimaging (magnetic resonance imaging [MRI]) shows an abnormal signal in the thalamus and, subsequently, marked atrophy of the cerebral cortex and deep nuclear structures; cerebral white matter shows an increased T2 signal ( Fig. 33.3 ).

Fig. 33.2, Tay-Sachs disease: MRI. Axial T2-weighted images of an infant with developmental regression at 6 months of age found to harbor a pathogenic variant in the HEXA gene. (A) T2-weighed hypointensity is present in the thalamus bilaterally and head of the caudate (arrows) at 14 months of age, progressing to diffusely increased T2-weighted signal in the cerebral white matter by 28 months of age (B).

Fig. 33.3, Tay-Sachs disease: cherry-red spot. Characteristic cherry-red spot observed in Tay-Sachs (and the Sandhoff variant) caused by ganglioside storage in retinal ganglion cells imparting a yellowish tint around the normally red fovea.

Although no known therapy exists, genetically engineered neural progenitor cells have been shown to correct the enzymatic defect in cocultured human Tay-Sachs fibroblasts and to secrete active enzyme throughout the fetal and neonatal mouse brain after cellular transplantation. Recent gene therapy is encouraging. A single intravenous (IV) injection of recombinant adeno-associated virus (AAV) 9 encoding the hexosaminidase B gene administered to the neonatal Sandhoff disease mouse reduces GM 2 ganglioside storage and inflammation, corrects motor function, and prolongs long-term survival. AAV constructs encoding both the hexosaminidase A and the hexosaminidase B genes demonstrated pronounced therapeutic benefit, with survival increased four-fold in this mouse model. Similar beneficial findings have been shown with intracranial viral injections in a feline model. The serendipitous discovery of a naturally occurring mutation in the hexosaminidase A gene in Jacob sheep offers a unique opportunity to study gene therapy for Tay-Sachs disease in a large animal model and allows detailed natural history studies, including identification of relevant cerebrospinal fluid (CSF) and imaging biomarkers as well as behavioral phenotyping not possible in smaller animals. Results from gene therapy in these sheep have been encouraging, with delay of symptom onset and/or reduction of acquired Tay-Sachs symptoms.

Prenatal diagnosis can be made readily by enzymatic analysis for hexosaminidase A in cultured amniotic fluid cells or chorionic villus samples. DNA analysis of the hexosaminidase A gene is also possible if disease-causing mutations have been identified in both parents. Attempted therapy with bone marrow transplantation has not altered the course of the disease. However, based on the successful gene therapy studies in animals, safety trials have been undertaken in humans using AAV vectors to deliver the hexosaminidase A and hexosaminidase B genes to two patients with infantile Tay-Sachs disease (ages 7 months and 30 months at injection). There was a temporary deviation from the natural history of Tay-Sachs disease in the younger patient and stabilization of seizures in the older patient without substantial safety concerns in either patient. This study provides a framework for a lifesaving intervention for Tay-Sachs disease (and the Sandhoff variant) similar to gene therapies now available for spinal muscular atrophy (see Chapter 36 ) and increases the urgency for early diagnosis.

Congenital Neuronal Ceroid-Lipofuscinosis

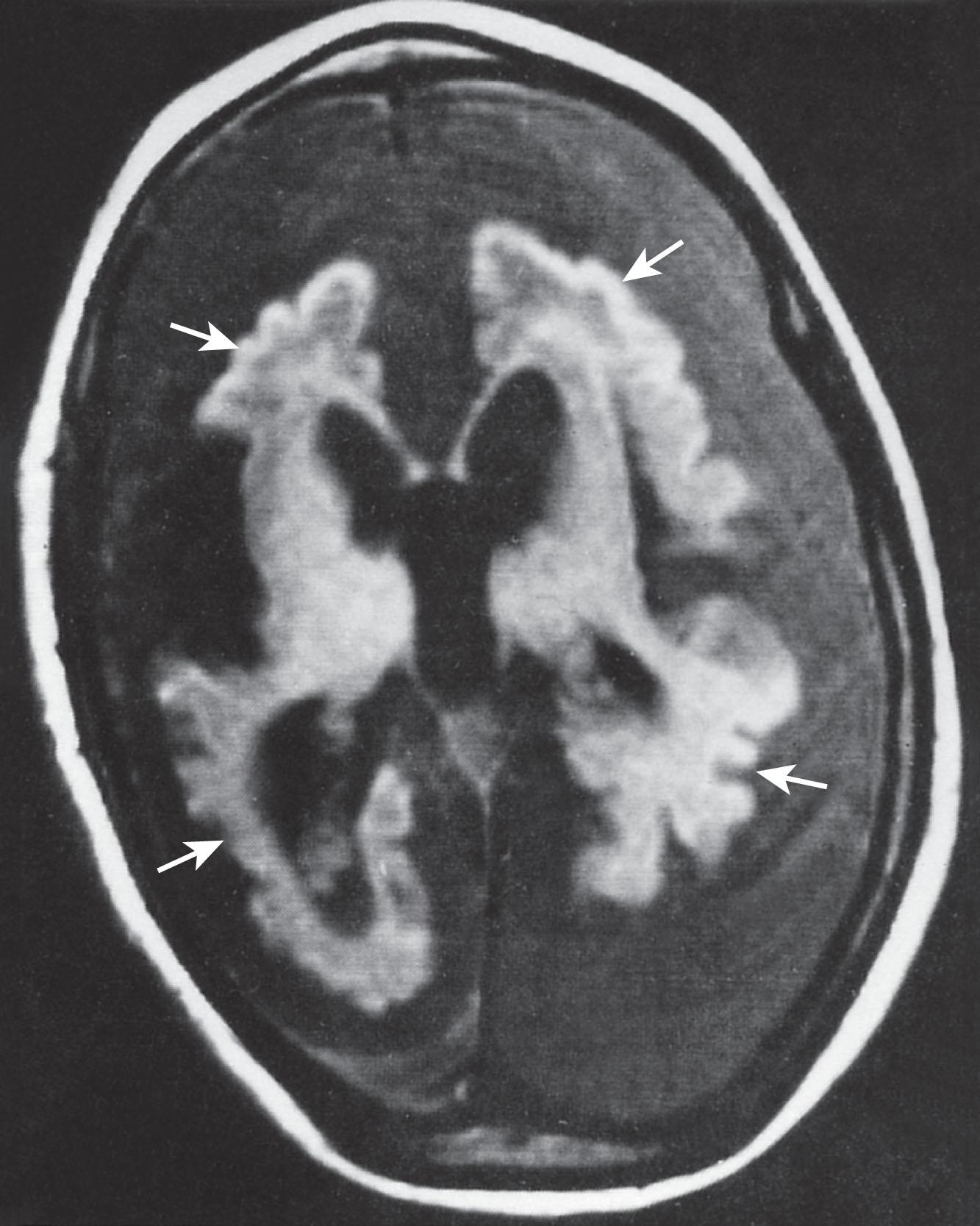
Neuronal ceroid-lipofuscinosis consists of a group of neuronal degenerative disorders characterized by an accumulation of the lipopigments ceroid and lipofuscin. At least 13 mutant genes and 6 clinical forms are now recognized. The form of most relevance in this context is congenital neuronal ceroid-lipofuscinosis (Norman-Wood disease, CLN10). This form should be distinguished from the more common and well-known early infantile disorder (Haltia-Santavuori disease, CLN1). In the latter disorder, the usual age of onset is 6 to 18 months. The rarer congenital form is apparent at birth (see Table 33.2 ), and at least 12 cases have been reported. The clinical phenotype is dramatic. Postnatal respiratory insufficiency, severe neonatal seizures, and microcephaly are nearly consistent clinical features . Failure of neurological development and the development of a vegetative state, usually with recalcitrant seizures, are followed by death, usually in the first days or weeks of life. The absence of electroretinographic responses and the development of an isoelectric electroencephalogram are characteristic. Neuroimaging (MRI) shows marked and progressive atrophy of the cerebral cortex, thalamus, and striatum ( Fig. 33.4 ). The diagnosis should be considered in a newborn with severe seizures and microcephaly of unknown origin. Prenatal diagnosis has been reported in some families with CLN10 disease. Diagnosis is initially based on the identification of autofluorescent lipopigments in lymphocytes, skin, or rectal mucosa, which present as granular material on an electron microscopic examination. DNA sequencing is available to confirm the diagnosis. Neuropathological findings are characterized by diffuse neuronal loss ( Fig. 33.5 ) with an accumulation of the lipopigment granules of ceroid-lipofuscin in neurons, glia, and macrophages. Marked infiltration with astrocytes and microglia is apparent. The molecular defect involves the cathepsin D gene, which is present in a homozygous form in patients. The encoded protein, cathepsin D, is a lysosomal protease that is important for proper degradation and clearance in lysosomes. Although the infantile form is caused by mutations in the CLN1 gene–encoding palmitoyl-protein thioesterase-1, there is a secondary deficiency in cathepsin D, thereby biochemically linking the infantile and congenital forms of the disease. Preclinical studies targeting the progressive retinal degeneration observed in CLN10 have shown promise by using either injections of recombinant cathepsin D protein or intravitreal gene therapy in cathepsin D–deficient mice to restore normal function of cathepsin D.

Fig. 33.4, Early infantile neuronal ceroid-lipofuscinosis: MRI scan. This T1-weighted MRI scan, performed at 4 years of age, shows striking cortical atrophy and markedly dilated lateral ventricles, secondary to atrophy. The shriveled cortical surface is marked by arrows ; the low signal intensity surrounding the brain is extracerebral fluid. In congenital neuronal ceroid-lipofuscinosis, the atrophy is present in the first weeks and months of life (see Fig. 33.5 ).

Fig. 33.5, Congenital infantile neuronal ceroid-lipofuscinosis: neuropathology. This infant was microcephalic at birth, developed status epilepticus, died at 36 hours of age, and exhibited microscopic findings of neuronal ceroid-lipofuscinosis. Note the marked cerebral cortical atrophy with shriveled gyri and marked widening of the sylvian fissure.

Alpers Disease

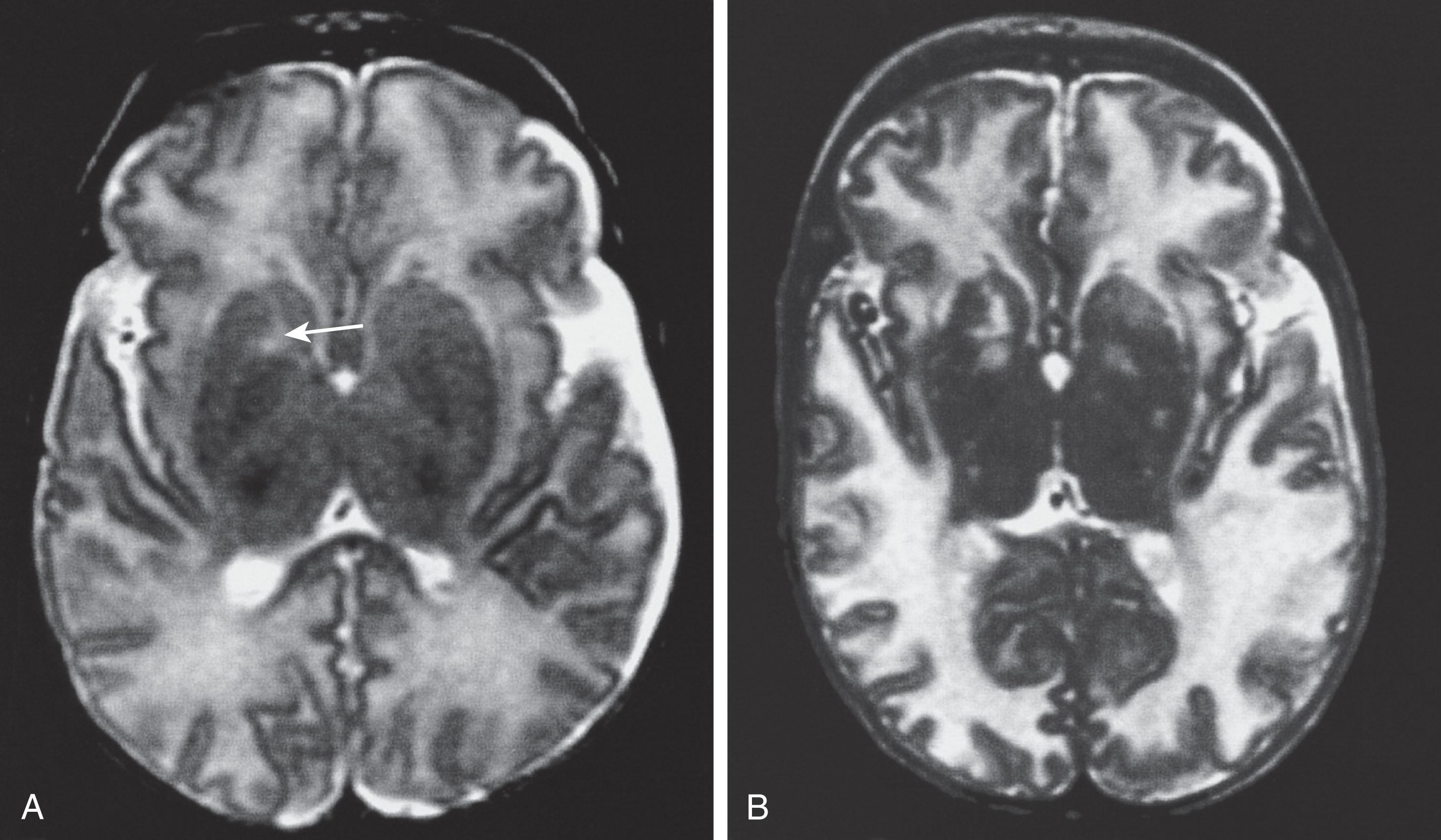
The term Alpers disease , inappropriately applied in the past to a heterogeneous group of disorders, refers to those relatively uncommon examples, usually familial and consistent with autosomal recessive inheritance, of a progressive degenerative disease of gray matter without neuronal storage or other pathognomonic cytological features and with subsequent hepatic disease. Affected infants exhibit the clinical hallmarks of gray matter disease, seizures, and myoclonus (often stimulus sensitive) in the first weeks and months of life (see Table 33.2 ). Hypotonia and vomiting are also prominent features. In one series, 4 of 26 infants had clear onset within the first 2 months of life. Hepatic disease becomes apparent usually after 9 months of age (mean age, 35 months), but a more frequent assessment of serum transaminase levels before the appearance of hepatomegaly demonstrates hepatic dysfunction earlier. Most infants die by 3 years of age. MRI shows extensive cerebral atrophy ( Fig. 33.6 ).

Fig. 33.6, Alpers disease: MRI. T1-weighted image at age of 4 days with no cortical atrophy or abnormal findings (A). Same patient (B) imaged 3 months later. T2-weighted image shows extensive brain atrophy with widened sulci ( black arrows ) and compensatory fluid accumulation around the cerebrum ( white, thick arrows ). Note increased signal in the putamen ( white, thin arrow ).

Neuropathological study shows striking cortical neuronal loss with spongy change and gliosis, which is worse in the deeper cortical layers and is especially prominent in the striate cortex ( Fig. 33.7 ). Frequently, capillary proliferation is apparent, and the constellation of pathological change resembles that of Leigh disease, a mitochondrial disorder (see later discussion). Earlier data suggested that Alpers disease was a mitochondrial disorder because of the findings in several study series of patients of elevated blood and CSF lactate and various abnormalities of the electron transport chain. More recently, some cases have been shown to involve mutations in the gene encoding the catalytic subunit of mitochondrial DNA polymerase γ (POLG) . The result is mitochondrial DNA depletion and impaired function of the electron transport chain at multiple sites. However, POLG1-negative cases exist and, notably, these appear to have especially a perinatal onset characterized by seizures, spasticity, progressive microcephaly, and severe intellectual disability. The genetic etiology of the POLG1-negative cases remains largely unknown, although whole exome sequencing has identified mutations in mitochondrial tRNA synthetases, which are critical for efficient mitochondrial protein synthesis. In some cases attributed to mutations in mitochondrial tRNA synthetases, presentation can include epileptic encephalopathy followed by rapidly progressive brain atrophy and death before a year of age. Most recently, it has been suggested that the use of the term Alpers syndrome should be confined to the POLG1-negative infantile form and that cases with POLG1 mutations, hepatic dysfunction, and typically later onset should be better termed Alpers-Huttenlocher syndrome .

Fig. 33.7, Alpers disease: neuropathology. (A) This photomicrograph of the cerebral cortex was obtained at autopsy from a 21-month-old infant with poor feeding and hypotonia in the neonatal period, subsequent development of myoclonic seizures with hypsarrhythmia, minimal neurological development, and, finally, microcephaly, spastic quadriparesis, and an isoelectric electroencephalogram. The cerebral cortex was devoid of neuronal elements and exhibited pronounced spongy changes involving the lower cortical layers and capillary proliferation, which are shown in extreme form in the figure. (Courtesy Dr. Hart Lidov.) (B) to (D), 8-month-old infant with Alpers disease. (B) Microscopic view of the frontal cortex showing practically no remaining pyramidal neurons, and the midlaminar region is transformed into a microcystic track with gliosis and capillary proliferation ( dotted line ). (C) Neuronal loss, spongiosis ( arrows ), and gliosis can be seen in the medial/reticular thalamus ( higher power ). (D) The top of an atrophic cerebellar cortical folium shows narrowed molecular layer ( m ), Purkinje-cell drop out ( arrows ), Bergmann gliosis, and a sparse granular layer ( g ).

Menkes Disease

Menkes disease (kinky or steely hair disease, trichopoliodystrophy) is an X-linked disorder of copper metabolism with onset in the severe form of the disease characteristically in the neonatal period. Premature delivery, a cherubic face, hypothermia, and hyperbilirubinemia are common neonatal clinical features (see Table 33.2 ). Hypotonia, lethargy, poor feeding, neurological deterioration, and seizures develop promptly. In the neonatal period, the hair is usually fine and colorless, but shortly thereafter, the more characteristic, friable, kinky appearance (feeling like fine sandpaper) develops ( Fig. 33.8 ). We have noted the sandpaper feel in the neonatal period, however. Recalcitrant seizures and neurological deterioration lead to death, usually in the second year. Diagnosis is confirmed by the finding of low serum copper and ceruloplasmin levels; in the early neonatal period, serum values may be normal or elevated but decline over the ensuing weeks, whereas in normal infants, serum values increase postnatally. Because of the partial deficiency of dopamine-β-hydroxylase in Menkes disease, the measurement of plasma neurometabolites (dopamine, norepinephrine, dihydroxyphenylacetic acid, and dihydroxyphenylglycol) can be diagnostic in the neonatal period. Definitive molecular diagnosis is now available, supporting the clinical and biochemical results, particularly in neonatal cases where interpretation sometimes can be challenging. Studies of cultured fibroblasts show increased retention and reduced efflux of labeled copper, which are features that can be used for prenatal diagnosis by the study of cultured amniotic fluid cells (second trimester) or chorionic villus samples (first trimester). However, the preferred method is molecular testing for specific mutations identified in the parents. There are some who advocate newborn screening for Menkes disease given the partial response to copper replacement therapy, which is time sensitive (see later).

Fig. 33.8, Scalp hair in Menkes disease. Hair is sparse, short, thin, fragile, and light-colored with a sandpaper feel.

Neuropathological examination shows striking cortical neuronal loss, gliosis, and subcortical myelin loss associated with severe axonal degeneration (see Table 33.2 ). Axonal changes are especially marked in the cerebellum. The evolution of the cerebral parenchymal changes is followed best by MRI scans ( Figs. 33.9 and 33.10 ). Intracranial arterial abnormalities are characteristic (see Fig. 33.10 ). The latter have been identified as striking tortuosities around the circle of Willis by MR angiography as early as 5 weeks of age. Evolution of these gray matter, white matter, and vascular changes has been studied with serial MRIs in an initial attempt to develop imaging biomarkers to assess eventual therapeutic agents. The essential biochemical defect in the disease involves copper transport across specific cellular compartments (i.e., the placenta, gastrointestinal tract, and blood-brain barrier), with a resulting failure of formation of copper-containing enzymes. The latter include tyrosinase (causing depigmentation of hair), lysyl oxidase (causing defective elastin-collagen cross-linking and arterial intimal defects), superoxide dismutase (causing vulnerability to free radicals), cytochrome oxidase (causing impaired energy production), and dopamine-beta-hydroxylase (causing impaired catecholamine synthesis). The latter three defects perhaps are most important for the neurological phenomena. The responsible gene is located on the X-chromosome (Xq13), and the mutant protein is a cation transporting adenosine triphosphatase (ATP7A). More than 300 unique mutations have been identified thus far ( http://www.LOVD.nl/ATP7A ), and intracellular localization of ATP7A may correlate with disease severity.

Fig. 33.9, Evolution of cerebral parenchymal changes in Menkes disease, as shown by MRI. The infant presented with severe refractory seizures at 6 weeks of age, after premature delivery at 30 weeks of gestation. (A) Axial T2-weighted MRI at 8 weeks of age shows a moderate degree of cerebral cortical atrophy, a focal area of high signal intensity in the right putamen ( arrow ), and moderately high signal intensity in cerebral white matter. (B) Axial T2-weighted MRI at 14 weeks of age shows marked progression with multiple lesions in the basal ganglia and thalami, more cortical atrophy, and markedly higher signal intensity in cerebral white matter. MR spectroscopy at the time of the second MRI showed markedly elevated lactate and markedly depressed N -acetyl aspartic acid in the basal ganglia and cerebral white matter.

Fig. 33.10, Characteristic MRI and magnetic resonance angiography in Menkes disease. There are highly tortuous arteries in the brain (A). T1 sequences (B) and T2 sequences (C) demonstrate diffuse atrophy and delayed myelination in a 6-month-old infant.

Attempts to correct the copper deficiency in the brain have included parenteral administration of copper histidine. Clinical response, although inconsistent, has been occasionally promising. Response to therapy depends on the ATP7A genotype, and the initiation of treatment in the neonatal period enhances survival and neurodevelopmental outcome. However, severe ATP7A mutations still have a poor prognosis, even when therapy is initiated in utero. Preclinical studies in a naturally occurring mouse model of Menkes disease have demonstrated that the combination of subcutaneous injection of copper histidinate plus CSF delivery of the ATP7A gene using AAV9 improved brain copper levels, normalized brain neurochemical levels, improved mitochondrial abnormalities, and led to normal growth and neurobehavioral outcomes. Interestingly, neither therapy (copper histidinate and AAV9-ATP7A gene delivery) alone was beneficial. Because there are no large animal models of Menkes disease, there is some support for moving forward with a clinical trial using a similar combined therapy approach in humans. There is also emerging evidence that elesclomol, a lipophilic copper-binding molecule used as a cancer therapy, can prevent neurodegeneration by escorting copper to cuproenzymes in brain mitochondria in the Menkes disease mouse model.

Disorders Mimicking Gray Matter Degeneration

Several neonatal disorders in which seizures are a prominent manifestation may mimic onset of a gray matter degeneration (with no visceral storage) (see Table 33.3 ). It is critical to recognize these disorders partly because early management may require specific interventions. The group is best divided into recognized epileptic syndromes and certain metabolic disorders (see Table 33.3 ). The epileptic syndromes are reviewed in Chapter 15 , and the metabolic disorders are primarily discussed in Chapter 31, Chapter 32 . One metabolic disorder, the glucose transporter defect, with prominent seizures, will be discussed here. Another disorder, serine synthesis deficiency, with prominent white matter abnormalities, in addition to seizures, is discussed later in this chapter (see Disorders Affecting Gray and White Matter).

Glucose Transporter Defect

Defects in the glucose transporter 1 cause inadequate shuttling of glucose from the blood to the brain, resulting in hypoglycorrhachia (low CSF glucose) in the setting of adequate serum glucose, ultimately leading to energy failure in the brain (see Table 33.4 ). The majority of patients present in the first few months of life with seizures, and, notably, diagnosis can be considerably delayed without measuring fasting CSF and blood glucose concentrations. Initial clinical features include intractable seizures, eye movement abnormalities, changes in muscle strength or tone, and breathing abnormalities. The eye movement abnormalities often precede the seizures. In the absence of treatment, the disorder progresses to spasticity, dystonia, ataxia, intellectual disability, and acquired microcephaly with a broad phenotypic spectrum. There is a global patient registry ( https://www.g1dregistry.org ) to explore phenotypes, treatment history, and genotypes, and this resource already demonstrates that the most favorable prognosis relates to early diagnosis and initiation of treatment. In addition to measuring CSF glucose, diagnosis now can be confirmed by DNA sequencing of the SLC2A1 gene encoding Glut1 protein. It is important to confirm the genetic defect, because transient hypoglycorrhachia associated with abnormal eye movements in early infancy followed by normalization of CSF glucose later has been reported. Brain imaging is not usually informative, although it may be useful in monitoring improvements in myelination after the initiation of treatment. The specific cellular pathology underlying this disorder remains unclear, but a mouse model suggested abnormal development and maintenance of brain capillaries. Treatment with the ketogenic diet is effective at controlling seizures and may also have a neuroprotective effect leading to improved developmental outcomes. By converting brain energy metabolism to ketosis, the need for glucose is circumvented. Thus this metabolic disorder can mimic many features of a gray matter degeneration but can be mitigated with the early initiation of the ketogenic diet.

Gray Matter Degenerations With Visceral Storage

Six neuronal degenerations with infantile onset are accompanied by prominent visceral storage (see Tables 33.1 and 33.5 ). Although these disorders may eventually exhibit the hallmark of a neuronal process (seizures), this feature often appears later in the course of the disease or even not at all. Thus in this group of disorders, it is often difficult in the neonatal period or in early infancy to recognize the disease as one primarily affecting neurons. However, other clinical features are usually distinctive enough to lead to a high degree of suspicion of the correct diagnosis (see later discussions).

GM 1 Gangliosidosis

Manifestations of the generalized form of GM 1 gangliosidosis (type 1, infantile) commonly appear in the first weeks of life (see Table 33.5 ). Clinical features include abnormalities of sucking and swallowing, hypotonia, and a cherry-red spot. Seizures, the hallmark of gray matter disease, are usually not present until after 1 year of age. Generalized edema is a striking early feature. Because of the systemic storage of mucopolysaccharide, coarse facies, subperiosteal bony abnormalities, and hepatosplenomegaly are present. Dermal melanocytosis also can be observed because the accumulation of the GM 1 ganglioside in neural crest cells causes the aberrant migration of melanocytes into the dermis ( Fig. 33.11 ). Progression to death in the second year is characteristic. A literature review of 154 patients with type 1 GM 1 gangliosidosis confirmed the natural history and these clinical features. Diagnosis is based on the identification of the enzymatic defect in white blood cells or fibroblasts, which involves beta-galactosidase (see Fig. 33.1 ). The gene is located on chromosome 3, and an increasing number of mutations have been identified, but no clear genotype-phenotype relationships have been established. The disorder is inherited in an autosomal recessive manner. Neuropathology is characterized by the generalized neuronal storage of the GM 1 ganglioside and by the meganeurites noted for Tay-Sachs disease. Neuroimaging (MRI) , as for Tay-Sachs GM 2 gangliosidosis, initially shows an abnormal signal in the thalamus and subsequently marked cerebral cortical and deep nuclear atrophy; cerebral white matter shows an increased T2 signal. Serial MRIs have demonstrated an increase in total brain volume (consistent with GM 1 ganglioside accumulation leading to meganeurites) and progressive volume loss in the caudate, putamen, corpus callosum, and cerebellar white matter. These imaging changes may ultimately provide biomarkers for correlations with clinical symptoms, an important metric for clinical trials. Neuronal storage and elevated brain ganglioside content have been observed as early as 22 weeks of gestation. This observation has important implications concerning the need for intervention during fetal life with enzyme or gene replacement therapy, when such therapy is further developed . Intracranial gene therapy in a feline model of GM 1 gangliosidosis increases survival and normalizes neurological symptoms when administered before disease onset. Similar results have been observed in adult mouse models with systemic viral injections or hematopoetic stem cells to deliver B-galactosidase. Recently, a small prospective study of six patients suggested that combined therapy with miglustat (a small molecule that reduces GM 1 and GM 2 gangliosides) and the ketogenic diet may have a small benefit on survival, but this effect will need to be replicated. There are several phase 1/2 clinical trials enrolling patients for intravenous or intracranial gene transfer of the beta-galactosidase using adeno-associated viruses (NCT03952637; NCT04273269; NCT04713475; see www.curegm1.org ). Prenatal diagnosis of the enzymatic defect is possible by the analysis of cultured amniotic fluid cells or by the DNA sequencing of previously identified mutations.

Fig. 33.11, Dermal melanocytosis in GM 1 gangliosidosis. Infant with extensive dermal melanocytosis (Mongolian spots) is an important supportive diagnostic clue in infants with other clinical features of GM 1 gangliosidosis. Accumulation of GM 1 gangliosides in neural crest cells leads to aberrant migration of melanocytes into the dermis.

You're Reading a Preview

Become a Clinical Tree membership for Full access and enjoy Unlimited articles

Become membership

If you are a member. Log in here