Complications of Contact Lens Wear


Key Concepts

  • Compliance to proper hygiene is key.

  • Single-use (daily) lenses are the safest type of contact lenses in terms of avoiding complications.

  • Initial treatment for contact lens-induced keratitis is usually broad-spectrum antibiotic.

  • In cases of contact lens-related keratitis, corticosteroids should not be used unless fungal or amoebic keratitis are ruled out.

  • A complete history including contact lens and cleaning agents used is important for diagnosis and appropriate management.

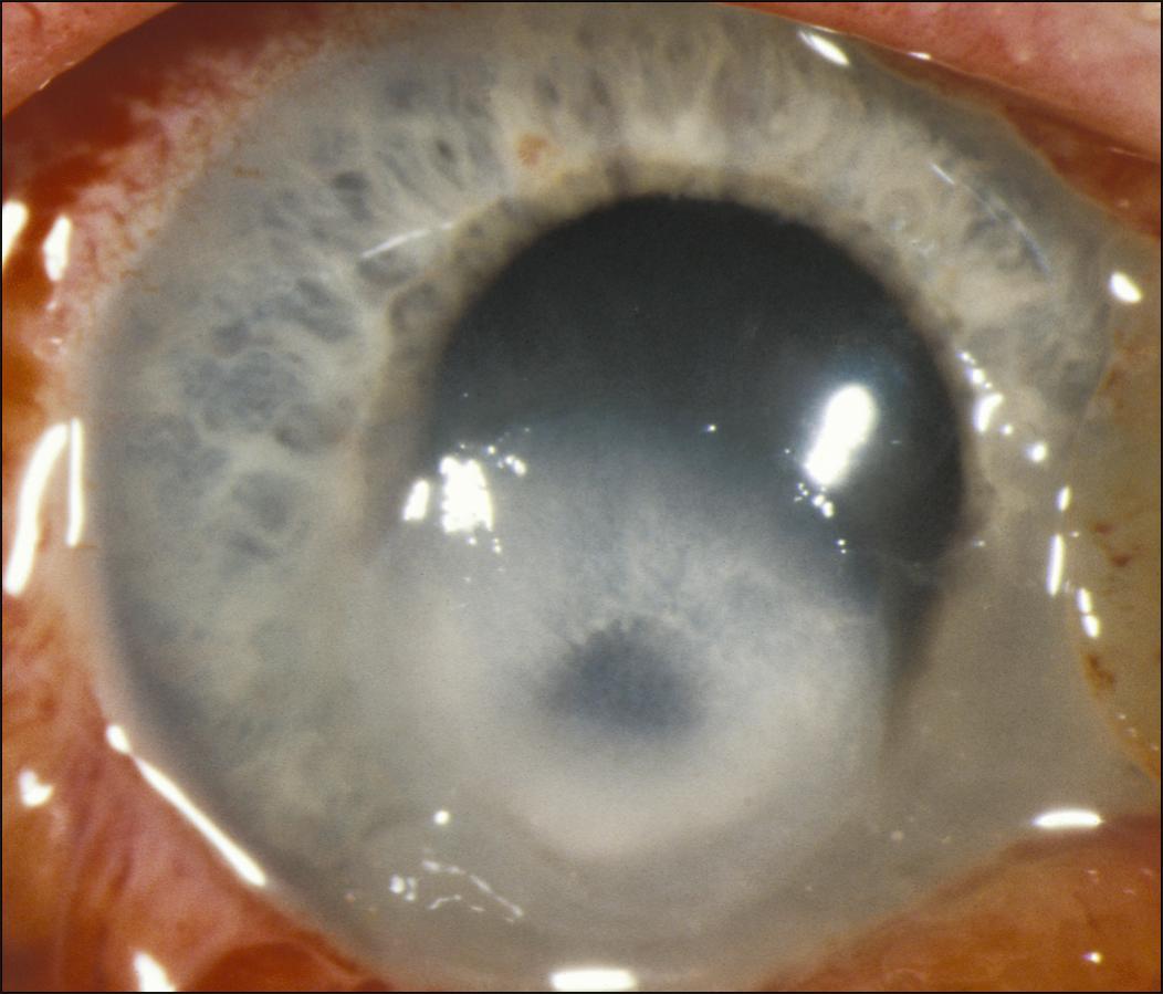
  • Limbal stem cell deficiency is a less known complication of contact lenses.

Introduction

As of 2014, more than 125 million people worldwide wore contact lenses. A more recent report in 2016 by the Centers for Disease Control and Prevention estimated the number of contact lens wearers in the United States to be around 45 million. In a typical ophthalmology or optometry practice, contact lens wearers make up about 34% of the patient base. Given these numbers, eye care practitioners will frequently encounter complications caused by contact lens use, making recognition and management important skills for eye care providers.

Proper hygiene is critical. The most reported modifiable risk factors associated with microbial keratitis are use of lenses overnight, longer duration of extended wear, omitted and infrequent lens disinfection, case cleaning, and lack of handwashing. In multivariable studies, these account for nearly 70%–80% of the total risk factors. Therefore complications can largely be prevented if patients are educated and are encouraged to practice proper lens hygiene.

Contact lens complications vary greatly in severity and frequency. Contact lens keratopathy, secondary to sensitivity to preservatives in lens care solutions, may lead to chronic inflammation, dry eye, and contact lens intolerance. Problems related to allergies and hypoxia have decreased in recent years due to improvement in daily wear, frequent-replacement lenses, and the development of more oxygen-permeable lens materials. Corneal warpage secondary to contact lens wear may lead to a reduction in best corrected spectacle acuity and spectacle blur, and should be recognized and treated, especially for patients being evaluated for refractive surgery. Contact lens-induced limbal stem cell deficiency (LSCD) can significantly alter the health of the ocular surface and thus decrease vision. Various treatment modalities are available depending on the severity of the condition. Infiltrates and abrasions in contact lens patients have the risk of being or becoming infections. Although rare, serious infections can result not only in loss of vision, but also in loss of the eye.

Patient History

The first step in patient care is to obtain a careful and complete history, including a history of contact lens use. Some patients may have discontinued lens use and, therefore, may not offer this information unless asked.

An ocular history involving pain and discomfort can be useful; pain that continues to increase after lens removal suggests infection. Acute pain lasting hours or days suggests a bacterial infection, while subacute pain that is unresponsive to initial treatment and lasts weeks suggests infection with either Acanthamoeba or fungus. Pain or discomfort that subsides following lens removal favors a sterile problem. If symptoms recur after resuming lens use, the lens itself is likely causing the problem. Itching is associated with allergies, which are frequently aggravated and sometimes caused by contact lens use. A burning sensation with lens insertion may suggest a problem with the disinfecting system. Burning or dryness after several hours of lens use is consistent with dry eyes and/or tight lenses.

A careful contact lens history is also important, although it may be deferred until necessary treatment has begun for patients with severe, acute pain. Due to the variety of contact lenses and lens care regimens, specific information regarding lenses and lens care should be obtained. In 2016, about 90% of contact lens wearers in the United States wore soft contact lenses. Soft contact lenses should be correctly described as frequent replacement (replaced after 2 weeks to 3 months), disposable (single use), or conventional. It is extremely important to note if the lenses are used for daily wear, extended wear, or both. The brand and specific name of the lens will help to determine if it is a silicone hydrogel (SiHy) lens or if it has been approved for extended wear. Use of special lenses such as those indicated for cosmetic/costume use, orthokeratology, therapeutic, scleral, hybrid, and aphakic lenses should be recorded. In addition, the lens hygiene and care regimens should be determined, including the specific names of the products used and compliance with recommended lens care. Recent changes of lenses and solutions prior to the onset of symptoms are also important in order to determine the correct diagnosis and treatment. The patient should bring in used contact lenses, unopened lenses, and bottles of current solutions, both to determine what the patient is actually using and for culture if serious eye infection is diagnosed.

Abrasions

The corneal epithelium provides an important barrier against the ingress of infectious agents; few bacteria can penetrate an intact epithelium. However, corneal abrasion in contact lens wearers is a potentially serious complication. In the presence of an abrasion, it is important to look for evidence of a corneal infiltrate and, if present, to treat it as infectious.

Abrasions should never be patched, because it may become a serious infection, such as Pseudomonas , overnight ( Fig. 99.1 ); patching prevents use of topical antibiotics and may increase the surface temperature allowing for bacterial growth. Patients should be treated intensively with adequate antibiotic coverage for Pseudomonas and other common organisms with broad-spectrum topical antibiotic agents such as a fluoroquinolone. Surveillance studies such as Ocular TRUST or ARMOR can be helpful for picking the appropriate antibiotic. Erythromycin or bacitracin do not provide broad-spectrum coverage and are typically not used for first-line treatment of suspected infections. Follow-up should occur in 1 day or sooner if patients cite increased pain, decreased vision, or development of a “white area” in the cornea. Cycloplegia and oral pain medications can be prescribed, similar to cases of abrasions unrelated to contact lens use. Topical steroids should not be used in the initial treatment of contact lens-related abrasions.

Fig. 99.1, A severe Pseudomonas ulcer developed 1 day after patching an abrasion in a patient who used extended-wear soft lenses. This resulted in severe scarring, and a penetrating keratoplasty was necessary for visual rehabilitation. Patching is contraindicated in contact lens-related abrasions. Treatment should include frequent topical antibiotic ointment or drops with good coverage for Pseudomonas and immediate follow-up for increased pain, decreased vision, or a change in the appearance of the eye.

Infiltrates

Infiltrates, caused by leukocyte (primarily neutrophil) migration to the cornea from the limbal vasculature or tears, affect the transparency of the cornea and can be seen as a white lesion. Infiltrates may either be sterile contact lens-associated infiltrates or infected ulcers. Sterile infiltrates, common in patients over the age of 60 (likely due to bacterial load associated with blepharitis) and those under 25 (likely due to improper contact lens use), are benign and will resolve on their own. However, bacterial toxins can adhere to contact lenses, and the lens itself may disrupt the corneal epithelium, leading to infections such as contact lens peripheral ulcer (CLPU) and contact lens-associated red eye (CLARE). CLPU is more common in extended wear contact lenses, with a greater association with silicone hydrogel lenses. Also, sterile peripheral subepithelial infiltrates may be associated with both acute and chronic hypoxia ( Figs. 99.2 and 99.3 ). With severe chronic hypoxia, deep neovascularization, scarring, and lipid keratopathy can develop.

Fig. 99.2, Culture-negative infiltrates (box) developed in a patient using disposable contact lenses for extended wear.

Fig. 99.3, These subepithelial infiltrates were most likely caused by a hypersensitivity to the contact lens solution.

Infectious infiltrates rarely develop into sight-threatening keratitis. Risk factors include overnight wear, smoking, poor lens hygiene, and recent compromise to the cornea. Current variations in types of contact lenses, disinfection methods, and patterns of use all add to the complexity of managing corneal infiltrates in the contact lens wearer.

Because early stage microbial keratitis resembles sterile infiltrates, noninfectious corneal infiltrates must be distinguished from microbial keratitis and treated accordingly. Stein et al., seeking to differentiate the two entities, found that patients with positive corneal cultures presented with pain, anterior chamber reaction, mucous discharge, and an overlying epithelial defect. They advised that patients with some or all of the clinical features associated with infection be managed as infectious cases. Corneal edema that surrounds the infiltrate or the presence of an anterior chamber reaction, even in the absence of an epithelial defect, suggests an infection and may indicate a need for intensive antibiotic treatment. Small 1-mm peripheral infiltrates may, in fact, be infected ( Fig. 99.4 ). Donshik showed that a large number of patients with peripheral “sterile” ulcers are culture positive and should be treated with antibiotics. Finally, it should be noted that infiltrates may also occur in autoimmune disorders (such as rheumatoid arthritis and Crohn disease), with and without contact lens use.

Fig. 99.4, Pseudomonas infection was the cause of small infiltrates (box) in a patient using disposable lenses for extended wear.

If an ulcer worsens, smears and cultures should be obtained if they have not already been collected or should be repeated if initially negative. Cultures should also be obtained if the vision decreases, the infiltrate is greater than 1 mm, the keratitis worsens with treatment, or if an unusual organism (fungus, Acanthamoeba , or an atypical mycobacterium) is suspected on the basis of the history or clinical appearance ( Figs. 99.5–99.7 ). Smaller, more peripheral infiltrates not involving the visual axis and presenting without loss of BCVA may be treated without cultures while intensive topical broad-spectrum antibiotics are started. The choice of antibiotic should be governed by current surveillance data on antibiotic resistance and availability for topical application. It is best to begin treatment as soon as possible with commercial topical antibiotics rather than wait for specially formulated antibiotics.

Fig. 99.5, A severe Pseudomonas infection occurred in a daily-wear disposable lens user who mistook saline for disinfecting solution.

Fig. 99.6, This large, central ulcer initially presented as an abrasion and was treated with tobramycin–dexamethasone combination suspension.

Fig. 99.7, This large paracentral ulcer and radial keratoneuritis presented in a daily-wear lens wearer who correctly cared for her lenses.

Ring-shaped infiltrates in contact lens wearers can be a diagnostic challenge. Sterile stromal rings are thought to be similar to Wessely immune rings, which are a Type 3 immune response to bacterial endotoxin, typically developing within 7–10 days. Ring infiltrates, which are the hallmark of late Acanthamoeba keratitis, typically develop weeks after the onset of symptoms. The Acanthamoeba -associated ring infiltrates are usually associated with the intense pain and severe inflammation characteristic of this devastating infection. Anesthetic abuse is also associated with ring infiltrates similar to those seen in Acanthamoeba keratitis. Acanthamoeba keratitis may be misdiagnosed as herpes simplex stromal keratitis due to the presence of corneal pseudodendrites; however, HSV stromal keratitis is typically associated with comparatively mild discomfort and is often responsive to antiviral therapy.

Ocular conditions unrelated to contact lens use may also cause infiltrates in contact lens patients. Patients with blepharitis may present with perilimbal infiltrates related to staphylococcal hypersensitivity, as can patients with the chronic follicular conjunctivitis from chlamydial infection. Staphylococcal hypersensitivity reactions and chlamydial conjunctivitis can be difficult to distinguish from reactions to chemicals in contact lens solutions, but they do not recur with resumption of lens use.

Topical steroids are best avoided as the initial treatment of infiltrates in contact lens wearers, although opinions differ regarding their use later in treatment. Hypoxic infiltrates and solution reactions often resolve without corticosteroids (see Fig. 99.4 ). Inappropriate treatment of early infectious infiltrates with topical corticosteroids can have serious adverse effects, especially if the infiltrates prove to be caused by fungal infections.

Infectious corneal infiltrates, most frequently caused by Pseudomonas aeruginosa and Staphylococcus aureus , associated with contact lens wear, must be treated immediately. Standard care for suspected microbial keratitis is intensive broad-spectrum antibiotic therapy. Small infections are treated with fluoroquinolones such as gatifloxacin or moxifloxacin or trimethoprim, every 30 minutes after a loading dose every 5 minutes for five doses. For more serious infections that are over 1–2 mm in size and/or vision threatening, commercial antibiotics should be started as soon as possible, and followed by topical fortified antibiotics, such as tobramycin (for gram-negative organisms) and cefazolin or vancomycin (for gram-positive organisms), given every 30 minutes around the clock. It is difficult to choose the best antibiotic solely on laboratory reports of sensitivity or resistance, which are based on systemic efficacy and may not equate to topical ocular usage.

Infections

Microbial keratitis, the most serious contact lens complication, is a common problem found among contact lens wearers of working age. Microtrauma to the corneal epithelium coupled with hypoxia and poor contact lens hygiene create an ideal environment for microbial invasion and proliferation. In recent years however, fungal keratitis and Acanthamoeba keratitis have been seen in increasing numbers. Although corneal infections are more often associated with the use of soft contact lenses, serious bacterial infections and Acanthamoeba keratitis have been associated with the use of rigid gas-permeable (RGP) lens use in orthokeratology.

Soft contact lens use has been associated with bacterial keratitis since the 1980s. In landmark articles by Schein et al. and Poggio et al. published in the New England Journal of Medicine in 1989, the major risk factor for ulcerative keratitis was determined to be extended, overnight wear of contact lenses. It is estimated that the risk of microbial keratitis increases by up to 20 times with extended wearing, which induces hypoxia. Despite advances in contact lens materials and the introduction of frequent-replacement and single-use disposable lenses since then, recent evidence shows that the incidence of and risk factors for contact lens-related microbial keratitis have not changed greatly, with the important exception that single-use, daily-disposable contacts have significantly decreased the severity of infections, defined as the number of ulcers associated with vision loss.

In addition, daily disposable users were found to have more culture-negative lesions compared with daily-wear users. The decrease in severity of microbial keratitis is most likely due to the limited time in which daily disposables are worn and can contact contaminants. Analysis of those with moderate to severe microbial keratitis has implicated their lens cases as a major factor to disease load; just cleaning and replacing lens cases can lead to a 60% reduction in disease load.

In a study on factors affecting morbidity, the causative organism was the major determinant of severity, although delay in treatment beyond 12 hours was also significant. , In another study on climate, disease severity, and organism, severe infections were found to be significantly more common in warmer and more humid locations. In general, cultures of infections have shown us that gram-positive bacteria are more likely to be recovered in temperate regions, while gram-negative bacteria are frequently recovered in tropical or sub-tropical climates. Pseudomonas was the most common isolate and accounted for most of the cases with vision loss.

A study on the correlation between cultures of corneal scrapings and contact lenses showed that contact lenses were culture positive twice as often and that the same organism can often be found in both corneal and contact lens cultures. More recently, Konda et al. showed that cultures of contact lenses and corneas yielded the same microbe 94% of the time while that of cultures of contact lens cases and corneas yielded the same organism 77% of the time. Therefore contact lens and contact lens case cultures may yield useful information—especially in ulcers that have been treated empirically without culturing.

You're Reading a Preview

Become a Clinical Tree membership for Full access and enjoy Unlimited articles

Become membership

If you are a member. Log in here