Colon

Anatomy

The colon starts at the ileocecal valve and is made up anatomically of the cecum; appendix (which is discussed separately below); ascending, transverse, descending, and sigmoid colon; and rectum. The ascending and transverse colon develops along with the small bowel as part of the embryologic midgut. As such, its vascular supply is from the superior mesenteric artery (right and middle colic branches), ending approximately in the distal two thirds of the transverse colon. The remainder of the colon and rectum is supplied predominantly by the inferior mesenteric artery. The junction between the two arterial supplies around the region of the splenic flexure is sometimes known as the watershed area, a territory that is most at risk from colonic ischemic episodes.

The colonic wall has an outer longitudinal muscle layer that is separated into three separate longitudinal bands, or teniae, between which are sacculations caused by contractions of the longitudinal muscle layers. The rectum has a continuous circumferential muscle layer. The whole colon has a uniform circumferential submucosa and mucosa that can penetrate the outer muscle layer as diverticula. The whole colon is suspended by a mesentery, although the ascending colon and descending colon become fixed to the posterior abdominal wall in utero and lose their suspended mesentery. Abnormal rotations occur in utero, leaving a spectrum of anomalies.

Examination Techniques

Barium Enema

The barium enema (BE) is performed either as a double-contrast barium enema (DCBE) technique with the instillation of barium and air or as a single-contrast technique. The latter is usually reserved for patients who may not be able to move or roll as required for the DCBE or for the evaluation of postsurgical abnormalities or emergency conditions, typically after the administration of water-soluble contrast material, rather than barium. If there is any suspicion of perforation, barium must not be used because it can cause a lethal peritonitis if present within the peritoneum.

The goal of the DCBE is to fully coat the colonic mucosa initially with barium, after which air is insufflated. The patient is maneuvered into variable positions to distend the colonic lumen by air so that mucosal relief images can be taken of the nondependent wall distended with gas. When the DCBE is performed properly, small (5-mm) polyps can be well visualized. Spot radiographic images in orthogonal planes should be taken of any fluoroscopically observed abnormality to maximize the radiologist’s ability to characterize lesions once the examination is finished.

Adequate bowel cleansing is important for all colonic evaluation (whether by optical colonoscopy, CT colonoscopy [CTC], or BE) to exclude polyp or malignancy. However, it is a particular problem with the BE because stool residue (especially if adherent to the mucosa) can be difficult to distinguish from true lesions. Sometimes a decubitus view in the DCBE will dislodge less adherent feces, but not always. Extensive diverticular disease also hampers detection of smaller lesions because of bowel distortion. Detection of tumors at the ileocecal valve can be challenging because the valve has a variable and occasionally masslike appearance. Compounding these potential problems is the necessity to pay meticulous attention to technique, particularly for the DCBE. Often insufficient air is insufflated, perhaps from inexperience or because the patient reports discomfort. Antispasmodics are useful in this regard to reduce motility and spasm temporarily. Even in a high-quality examination with good bowel cleansing and a well-distended colon, the detection of small polyps can be challenging for the less experienced. Regardless of whether a single-contrast or DCBE technique is performed, close scrutiny during the fluoroscopic phase is required and any suspect lesion should be analyzed in multiple planes (with spot images) to increase the diagnostic confidence of lesion detection and subsequent characterization. Given that BE has been largely superseded by other techniques for the detection of colonic neoplastic lesions (most notably by direct optical colonoscopy, which also permits immediate biopsy results of any detected lesion, and to some extent by CTC), BE will most likely be reserved for other specific indications such as evaluation of postoperative patients with either barium or water-soluble contrast media depending on the clinical circumstance.

Computed Tomography

Imaging of mural disease in the colon is largely performed via computed tomography (CT), which enables visualization of transmural processes (e.g., Crohn disease). Mucosal abnormalities are generally better observed at DCBE, optical, or virtual CT colonoscopy, but inflammatory colonic mucosa shows a variable degree of enhancement after the administration of intravenous (IV) contrast material, which can be helpful in evaluating the acuity and extent of colonic disease. CT also offers the opportunity to evaluate for any associated mesenteric concomitant disease (e.g., pericolonic inflammation or “fat-stranding”) or for regional lymph nodes, as might be seen with Crohn disease or malignancy. In general, the administration of oral contrast material to outline the colonic lumen is warranted, although water-based compounds may help show mucosal hyperemia better after the administration of IV contrast medium.

It is important for the radiologist to evaluate the whole colon carefully at CT performed for other indications because in busy practices incidental colonic malignancies are occasionally detected. Sometimes small tumors are difficult to detect because of colonic spasm, feces, or a collapsed colon. The ileocecal valve is a particularly difficult area to evaluate because there is often the spurious appearance of colonic wall thickening. Inevitably, some patients who have been referred for optical colonoscopy to confirm disease seen on CT turn out to have normal findings.

Magnetic Resonance Imaging

In general, MRI has been less useful for evaluating the bowel and colon, although fast single-shot, fat-saturated scanning techniques are now being used to evaluate colonic disease. The technique (sometimes also referred to as MR enterography) is particularly useful for evaluating younger patients with chronic colonic disease (e.g., ulcerative colitis or Crohn disease) to avoid the potentially large lifetime radiation burden they might incur if serial imaging were performed by CT. MRI is also highly effective in evaluating rectal extension of tumor and is now routinely performed in many centers to help determine if patients require chemotherapy or radiation (chemoradiation) preceding surgical removal.

Positron Emission Tomography

Positron emission tomography (PET scanning) has little role in the evaluation of the colon itself, although rectal tumors (adenoma or cancer) are sometimes detected by PET performed for the evaluation of metastatic disease in other diseases. The role of PET is primarily to evaluate for distant metastatic disease, but it is more commonly used for other malignancies (e.g., lung cancer and lymphoma).

CT Colonoscopy

CT colonoscopy (CTC) offers the potential to replace optical colonoscopy for the screening of colorectal cancer. The detection of small polyps (5 to 10 mm) is equivalent by both techniques. CTC is used widely in some practices for the evaluation of colonic polyps but in other practices is reserved for patients in whom optical colonoscopy has been indeterminate or because of patient preference. Many patients older than 50 years of age decline optical colonoscopic screening for various reasons. Therefore it is hoped that a substantial proportion of these patients may benefit from CTC. Once a polyp is detected at CTC screening, the patient can be referred for optical colonoscopy for polyp removal and histological analysis.

Congenital Colonic Anomalies

Hirschsprung

Harald Hirschsprung (1830-1916), Danish pediatrician.

Disease

Also known as hypoganglionosis or aganglionic megacolon, Hirschsprung disease is typically diagnosed in the neonatal period (failure to pass meconium within 24 hours) or early childhood, but less severe forms with profound constipation, abdominal distention, and weight loss are occasionally present in late childhood or early adulthood. The disease is more common in males and is caused by a focal aganglionic segment of the large bowel as a result of failure of enteric ganglion cells to migrate to myenteric plexus to the lower colon ( Fig. 5-1 ). However, it can rarely affect the whole colon ( Fig. 5-2 ). The disease is associated with other very rare congenital syndromes.

Figure 5-1, Plain abdominal radiograph ( A ) and contrast enema ( B ) in a 4-month-old male infant with constipation ( arrow ) due to Hirschsprung disease.

Figure 5-2, Contrast enema in a male neonate with a hypoplastic colon.

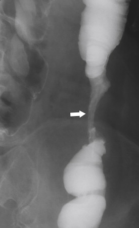
The aganglionic segment is usually located in the upper rectum or rectosigmoid junction, with the proximal large bowel becoming grossly dilated over many years of partial obstruction. The diagnosis is usually best made by contrast enema studies ( Fig. 5-2 ), even in the neonate, but definitive diagnosis requires rectal biopsy. The stricture is usually identified at contrast enema in the rectosigmoid regions with variable colonic distention proximal to the stricture. The aganglionic segment may not appear as an abrupt transition but rather as an irregular serrated or “sawtooth” appearance, which is characteristic of the disease ( Fig. 5-3 ). Some patients develop an associated colitis, termed “Hirschsprung-associated enterocolitis,” that is characterized by foul-smelling diarrhea. These patients are at risk of perforation because of acute colitis, but subacute forms exist, and contrast enema studies may show the characteristic rectal sawtooth finding.

Figure 5-3, BE in a 3-week-old male neonate with Hirschsprung disease as evidenced by a “sawtooth” rectum ( arrow ).

Enteric Duplication Cysts

Rare congenital anomalies occur on the mesenteric border anywhere along the gastrointestinal (GI) tract, but most commonly in the ileum and less commonly in the colon. They can be associated with other extraintestinal congenital malformations. Most patients present in early childhood with pain, bleeding, volvulus, intussusception, perforation, or obstruction. Malignant degeneration of the cysts has been reported, mostly within colonic duplication cysts, and is usually an adenocarcinoma on histological examination.

Ultrasound (US) sometimes shows a hypoechoic cystic mass with a thick wall, which has an echogenic outer layer and hypoechoic inner layer. On BE the cyst produces a mass effect of adjacent bowel and on CT appears as a nonenhancing mass, compressing or displacing the adjacent bowel, which may contain simple fluid, hemorrhage, or proteinaceous fluid ( Fig. 5-4 ). On MRI the enteric cysts are usually hyperintense on T2-weighted imaging, reflecting their cystic nature ( Fig. 5-5 ). Because many duplication cysts contain ectopic gastric mucosa, a Tc-99m pertechnetate radionuclide study can often show radionuclide uptake, which can also be observed within a Meckel diverticulum for the same reason.

Figure 5-4, Axial contrast-enhanced CT in a 46-year-old woman with a 4.5-cm homogeneous pararectal mass ( arrow ) caused by rectal enteric duplication.

Figure 5-5, Axial ( A ) and sagittal ( B ) T2-weighted imaging in a 30-year-old woman with a cystic 4.5-cm mass ( arrows ) in a posterolateral perirectal location resulting from a rectal duplication cyst.

Colonic Duplication

Colonic duplication is a very rare congenital anomaly that is usually asymptomatic. It can occasionally present in childhood, however, with symptoms of obstruction, bleeding, and perforation resulting from ectopic gastric mucosa, which is commonly present. It may be cystic or tubular, occur for the whole or partial length of any segment of the colon or rectum, and communicate or not with the other lumen. It is extremely rare in adults and will most likely be detected by CT, although contrast enema examination may show the two lumens should they communicate.

Malrotation

As the midgut returns from the umbilical sac into the abdomen between 6 and 12 weeks in utero, it usually rotates 270 degrees in a counterclockwise direction, but many failures of full rotation occur, resulting in various degrees of colonic malrotation. The cecum and ascending colon may fail to fixate to their normal position in the right side of the abdomen, becoming quite mobile and at risk for volvulus or torsion. Most malrotations, even when complete with the colon residing in the left side of the abdomen, are asymptomatic.

Inflammatory Colonic Disease

Colitis

Colonic and rectal inflammatory disease has multiple causes ( Table 5-1 ), of which some are self-limiting, others produce lifelong morbidity, and some are potentially fatal.

Table 5-1
Colitis
Classification Type Etiology Typical Features
Inflammatory bowel disease Ulcerative colitis Variable colitis extending proximally from rectum
Crohn disease Variable—skip lesions or pancolitis
Ischemic Emboli or low-flow states Watershed areas—splenic flexure
Radiation Dose dependent Usually pelvic
Infectious Viral Norwalk Diffuse colitis
Rotavirus Diffuse colitis
E. coli Often severe, predominantly transverse colon
CMV Pancolitis in immunosuppressed patients
Herpes Rectosigmoid region
Bacterial Shigella sp. Ileocecal region ± lymphadenopathy
Salmonella sp. Left colon
Campylobacter sp. Colon and small bowel
Yersinia sp. Ileocecal region
Clostridia sp. Pancolitis—diffuse thickening
Chlamydia sp. Rectosigmoid—causes lymphogranuloma venereum
Actinomycetes Ileocecal and rectosigmoid
Gonococcus Rectosigmoid
TB Late-onset—right colon and ileocecal region
Parasitic Amebiasis Right colon and ileocecal region
Anisakis Right colon
Schistosoma Left colon and sigmoid
Strongyloides Skip or pancolitis, mimics ulcerative colitis
Trichuriasis Localized thickening at site of whipworm penetration
Fungal Histoplasma Ileocecal region
Mucor Right colon
Solitary rectal ulcer Unknown Anterior rectal wall
Trauma
Iatrogenic Diversion colitis; chemical colitis
CMV , Cytomegalovirus; TB , tuberculosis.

Ulcerative Colitis

Ulcerative colitis (UC), like Crohn disease, is an inflammatory bowel disease (IBD), but unlike Crohn disease, its intestinal manifestations are limited to the colonic mucosa. It can, however, present with widespread additional clinical manifestations in the mouth (aphthous ulcers), eyes (iritis, uveitis, and episcleritis), musculoskeletal system (arthritis, ankylosing spondylitis, and sacroileitis), skin (erythema nodosum and pyoderma gangrenosum), and biliary tree (primary sclerosing cholangitis). It is a disease usually found in young adults (although symptoms may persist for many years), and symptoms may include pain, diarrhea, and rectal bleeding. UC in its milder forms can be confused with irritable bowel syndrome. UC is familial, being more common in first-degree relatives; is thought to be autoimmune in origin; and is treated as such with immunosuppressive therapy.

The colonic mucosal disease always starts in the rectum and extends proximally to a variable degree, sometimes affecting the whole colon (pancolitis) and sometimes even a short segment of ileum, so-called backwash ileitis. The extent of colonic involvement typically directs the symptoms and seriousness of the disease. Some patients have only one short episode confined to the rectum, and others have recurring disease, sometimes with a life-threatening toxic megacolon. This usually necessitates aggressive medical or surgical therapy, often requiring an emergency total colectomy as the diffusely involved colonic mucosa becomes so thickened, friable, and distended that perforation is imminent.

The imaging features depend on the stage of the disease ( Table 5-2 ), and many of these features are shared by Crohn disease ( Table 5-3 ). They can sometimes be identified by plain abdominal radiography as thickened haustra, particularly when caused by a pancolitis ( Fig. 5-5 ). Severe disease can almost certainly be recognized on plain radiography as can toxic megacolon, with marked colonic distention resulting from ileus ( Fig. 5-6 ) and wall and mucosal thickening ( Fig. 5-7 ). The wall thickening is sometimes referred to as “thumb-printing” because of the polypoid soft tissue nature of the mucosal edema and thickening. BE demonstrates typical features but has largely been replaced by optical colonoscopy for diagnosis. When BE is performed, the features depend on the severity and acuity of disease. In acute disease a variable length of colon (starting in the rectum) shows a granular mucosal pattern representing edema and ulcer formation, sometimes of the whole colon ( Fig. 5-8 ), which may also affect the last few centimeters of the terminal ileum (“backwash ileitis”) ( Fig. 5-9 ). “Collar-button ulcer” formation has been described, which represents acute ulceration of the colon with submucosal extension ( Fig. 5-10 ), with further ulceration prevented by the relatively impermeable bowel wall. This sign is three times as common in UC as in Crohn disease. Pseudopolyp formation, which can also be recognized in Crohn disease, can occur with more chronic disease and represents areas of reparative mucosa between areas of ulceration ( Fig. 5-11 ). As the disease progresses, the affected length of colon becomes featureless and shortened, termed “lead piping” ( Fig. 5-12 ).

Table 5-2
Imaging Features of Ulcerative Colitis
Imaging Finding Mechanism
Barium enema
Mucosal granular pattern Edema
Luminal narrowing Spasm and edema in acute phase
Fibrosis in chronic phase
Ulcer formation Mucosal stippling—crypt abscess formation
Collar-button ulcers—mucosal islands and polyps
Inflammatory pseudopolyps Normal mucosa surrounded by deep crypt ulceration
Backwash ileitis Distal ileal involvement
Shortened colon Fibrosis with chronic healing—lead pipe
Haustral loss and strictures Fibrosis with chronic healing
Toxic megacolon Acute severe inflammation
Computed tomography
Mucosal thickening and luminal narrowing—accordion pattern Edema in acute phase (thumb-printing)
Fibrosis in chronic phase
Mucosal enhancement and muscularis enhancement—mural stratification Active inflammation—hyperemia
Mesenteric hypervascular changes Hyperemic changes
Pericolonic inflammation Stranding
Increased submucosal fat—fat halo sign Submucosa surrounded by enhancing mucosa and muscularis (halo or target sign), particularly chronic disease
Widened presacral space (>20 mm) Extramural fat deposition
Toxic megacolon Acute severe inflammation

Table 5-3
Distinguishing Features Between Ulcerative Colitis and Crohn Disease
Feature Ulcerative Colitis Crohn Disease
Small bowel involvement Terminal ileum only Common
Aphthous ulceration No Yes
Anal involvement Rare Common
Colorectal involvement Always Sometimes
Skip lesions No Yes
Stenosis Rare Common
Fistula No Common

Figure 5-6, Plain abdominal radiograph in a 29-year-old man with friable colonic mucosa ( arrow ) and a toxic megacolon.

Figure 5-7, Plain abdominal radiograph in a 33-year-old woman with marked colonic haustral thickening ( arrows ) due to an acute pancolitis from ulcerative colitis.

Figure 5-8, BE in a 23-year-old man with pancolitic granular appearance due to acute ulceration from ulcerative colitis.

Figure 5-9, Single-contrast BE with nodular mucosal irregularity ( small arrow ) due to acute ulcerative colitis. There is associated fold thickening ( arrow ) in the terminal ileum due to backwash ileitis.

Figure 5-10, Single-contrast BE in a 30-year-old woman with ulcerative colitis and multiple “collar button” ulcers ( arrow ).

Figure 5-11, DCBE in 38-year-old man with chronic ulcerative colitis and filiform polyp formation ( arrow ).

Figure 5-12, DCBE in a 41-year-old woman with chronic ulcerative colitis and diffuse colonic lead-piping. There is also a descending colon benign inflammatory stricture ( arrow ).

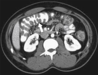
The presence and extent of disease are more readily evaluated by CT than by contrast enema, whose features also mirror the clinical disease. These include bowel wall thickening and luminal narrowing with a variable amount of pericolonic edema and mesenteric vascular hyperemia ( Fig. 5-13 ). The degree of inflammation may be reflected by 18 F-fluorodeoxyglucose (FDG) uptake at PET imaging ( Fig. 5-13 ). Mural stratification or double-halo sign, which is common with an acute presentation, is a nonspecific sign for inflammatory bowel disease representing hyperemic mucosa and serosa with intervening submucosal edema ( Fig. 5-14 ). If the acute disease worsens, the mucosa becomes progressively thickened and inflamed ( Fig. 5-15 ), which can ultimately lead to a toxic megacolon, whose CT features include a distended colon with profusely thickened mucosal tissue, sometimes referred to as an “accordion pattern” (see Fig. 5-52 ).

Figure 5-13, Axial contrast-enhanced CT ( A ) and PET ( B ) in a 36-year-old man with acute ulcerative colitis with sigmoid thickening ( arrow ) and peri-colonic inflammation (stranding) and increased FDG activity ( arrowhead ) indicative of acute inflammation.

Figure 5-14, Axial contrast-enhanced CT in a 45-year-old man with sigmoid mural stratification ( arrow ) due to acute ulcerative colitis.

Figure 5-15, Coronal contrast-enhanced CT in a 61-year-old woman with marked colonic mucosal thickening due to acute ulcerative colitis.

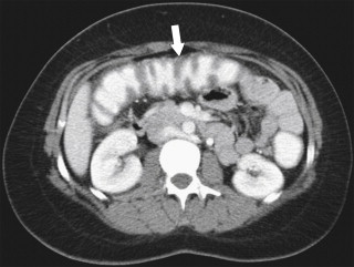
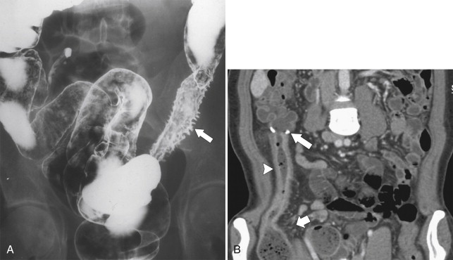
More chronic features of the disease at CT are similar to those observed at BE with colonic shortening and luminal fibrotic narrowing. However, CT may identify widening of the presacral fat space and a characteristic “fat halo” sign consisting of inner mucosal and outer muscularis enhancement with a nonenhancing middle submucosal ring. This ring is composed of increased submucosal fat deposition ( Fig. 5-16 ). There may be mesenteric adenopathy, but this is less common in UC than in Crohn disease. Stricture formation may be seen but is also less common than in Crohn disease ( Figs. 5-12 and 5-17 ).

Figure 5-16, Axial contrast-enhanced CT in a 70-year-old man with a fat halo sign from chronic ulcerative colitis ( arrow ).

Figure 5-17, BE in a 40-year-old woman with a chronic ascending colon stricture ( arrow ) and filiform pseudopolyps ( small arrow ) due to chronic ulcerative colitis.

In addition to perforation from toxic megacolon, the greatest risk to patients with chronic UC is the late development of adenocarcinoma of the colon, for which they have an increased risk of 5% to 30% over the general population ( Fig. 5-18 ). The risk increases by 10% for each decade of disease. Patients with more extensive disease may therefore undergo prophylactic colectomy.

Figure 5-18, Axial ( A ) and coronal ( B ) contrast-enhanced CT in a 61-year-old woman with known ulcerative colitis and now an ascending colon adenocarcinoma ( arrows ) with associated lymphadenopathy ( small arrow ).

Crohn Disease (see Chapter 4 )

Crohn disease is an inflammatory bowel disease that can affect any aspect of the GI tract from the mouth to the anus but most commonly affects the ileocolic region (50%), terminal ileum alone (30%), or colon (20%). It is considered an autoimmune disease, but the etiology is still unknown despite its relatively common presentation, particularly in young adults. Patients usually present with pain; diarrhea, sometimes bloody; weight loss; and accompanying associated systemic symptoms of skin rash, iritis, and arthritis. As with UC, the patient may have only one brief, relatively low-grade presentation; may present with severe, life-threatening disease; or may have repeated bouts for many years, if not for life.

As in the small bowel, transmural inflammation and thickening of the bowel wall occur during the acute phase with pericolonic inflammatory change, which can be almost impossible to distinguish from other forms of acute colitis, especially if a large segment of colon is involved. Repetitive inflammatory disease causes deep ulceration with localized perforation and abscess formation or fistulization with adjacent small bowel. Because these repetitive bouts of acute disease heal, luminal narrowing and stricture formation often occur. Perianal disease with fistula and abscess formation is common in Crohn disease.

The imaging features are similar to those described in the small bowel, although the imaging of colonic Crohn disease can, at times, mimic those of UC. However, there are a number of distinguishing features that help to differentiate the two diseases ( Table 5-3 ). Plain radiography may demonstrate mucosal thickening ( Fig. 5-19 ) or toxic megacolon. Contrast enema studies (usually barium) may demonstrate involvement of the whole colon (which is therefore difficult to distinguish from UC), but this is uncommon. More commonly a variable segment of the colon is affected ( Fig. 5-20 , A ), and the disease may or may not involve the rectum. Acute disease at CT may present with mural stratification similar to that in the small bowel, representing mucosal and serosal hyperemia with submucosal inflammation or simple mural thickening and mesenteric edema ( Fig. 5-20 , B ). Aphthous ulceration is characteristic of Crohn disease ( Fig. 5-21 ). As in the small bowel, the mucosa in active disease enhances avidly after the administration of IV gadolinium. Although CT is easier and faster to perform, many patients with Crohn disease are young and may require repetitive assessment of the extent of their disease, so avoiding the radiation dose from multiple CT images is preferable. Therefore MRI is often advised, and newer MR enterographic techniques, particularly of the small bowel, have proved highly effective for evaluating the extent of disease ( Fig. 5-22 ). Furthermore, the extent of perianal disease is best imaged with MRI, which can outline the relationship of inflammatory disease to the internal and external anal sphincters; this is important to determine whether surgical repair is needed.

Figure 5-19, Plain abdominal radiograph in a 40-year-old man with acute Crohn disease and transmural transverse colonic wall thickening ( arrow ).

Figure 5-20, A, BE in a 33-year-old man with focal left-sided Crohn disease with spiculated mucosal changes from acute disease ( arrow ). B, Coronal contrast-enhanced CT in a 44-year-old woman with prior surgery for Crohn disease ( arrow ) and now acute disease in the ascending colon ( arrowhead ) with wall thickening and mucosal and mesenteric hyperemia ( small arrow ).

Figure 5-21, A, BE in a 36-year-old woman with numerous apthous ulcers ( arrows ) in the left colon from Crohn disease. B, Magnified view of apthous ulcers ( arrow ) in the distal transverse colon.

Figure 5-22, Axial fat-saturated postcontrast T1-weighted images in a 22-year-old woman with focal Crohn disease of the ascending colon ( A, arrows ). B, Coronal view demonstrates mucosal enhancement and mural thickening ( arrow ).

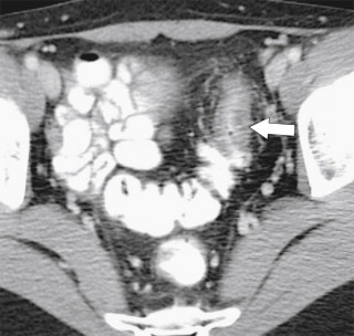
Other differentiating features of UC include a propensity for Crohn disease to fistulize with the small bowel, with adjacent organs, or to the skin. This can be assessed by CT ( Fig. 5-23 ), BE ( Figs. 5-24 and 5-25 ), or MRI ( Fig. 5-26 ). Abscess formation is also recognized in Crohn disease rather than UC ( Fig. 5-27 ). An increased risk of small and large bowel malignancies, predominantly adenocarcinomas, is associated with Crohn disease ( Fig. 5-28 ).

Figure 5-23, Coronal CT in a 38-year-old woman with a coloenteric fistula ( arrow ) due to Crohn disease.

Figure 5-24, A and B, Axial CT and BE in a 49-year-old woman with a rectocutaneous fistula ( arrows ) due to Crohn disease.

Figure 5-25, BE in a 44-year-old woman with a coloenteric fistula ( arrows ) with a segment of jejunum ( arrowhead ) due to Crohn disease.

Figure 5-26, Axial ( A and B ) T2-weighted and coronal ( C ) T1-weighted fat-saturated postcontrast MRI in a 43-year-old man with a perianal fistula with an almost circumferential perianal fistula ( arrows ) tracking to the left medial buttock.

Figure 5-27, Axial contrast-enhanced CT in a 38-year-old man with sigmoid mural thickening ( arrow ) and a 4-cm pericolonic Crohn abscess ( arrowhead ).

Figure 5-28, Axial contrast-enhanced CT in a 28-year-old woman with circumferential sigmoid thickening ( arrow ) due to adenocarcinoma as a complication of Crohn disease.

Eosinophilic Colitis

Eosinophilic colitis is a disease of uncertain etiology. It is associated with marked peripheral eosinophilia in the blood (although not always) and may be mediated via immunoglobulin E (IgE)-related food allergies. Eosinophilic esophagitis, gastritis, and enteritis also occur, but eosinophilic colitis is rather rare. Symptoms are nonspecific and include pain, diarrhea, and melena. Patients respond well to steroid therapy. At imaging, there are nonspecific features of colitis such as wall thickening, mucosal edema, and, if severe, pericolonic edema ( Fig. 5-29 ). The differentiation from other causes of colitis is generally not possible by imaging alone.

Figure 5-29, Axial contrast-enhanced CT in a 66-year-old woman with colonic dilatation ( short arrow ) and mural thickening of the descending colon ( arrow ) due to eosinophilic colitis.

Endometriosis

Ectopic endometrial tissue can reside anywhere within the peritoneum but is most often found in the pelvis and sometimes on the serosal surface of the large bowel, usually in the rectosigmoid region. In general, the patient has crampy abdominal pain that coincides with menses, which should be a key to the diagnosis, although many patients are asymptomatic. The imaging findings, particularly in the correct clinical setting, should ultimately give the diagnosis away. At BE, the bowel wall mucosa is eccentrically spiculated and puckered adjacent to the endometrial tissue.

Behçet Disease

Behçet disease is a multisystem disorder that can affect the colon with severe ulceration mimicking UC. Given that patients with IBD also manifest noncolonic manifestations (e.g., skin, joints, eyes), the correct diagnosis can be delayed.

Diversion Colitis

Diversion colitis is a poorly understood condition in which the extruded distal colon and rectum that remain redundant from a more proximal colostomy or ileostomy develop colitis that is not dissimilar to UC. Diversion colitis can be severe but resolves once the ostomy is reversed and normal fecal flow resumes.

Graft-Versus-Host Disease

Graft-versus-host disease usually develops after allogeneic bone marrow transplantation (and rarely thymic transplantation) and is caused by immunological destruction of host tissue, characterized on histological examination by apoptosis, a form of cell death. This disease particularly affects the GI tract but also the liver and dermis. In the colon there are nonspecific features of colitis with bowel wall and mucosal thickening, often involving the whole colon as a pancolitis ( Fig. 5-30 ).

Figure 5-30, Axial ( A ) and coronal ( B ) noncontrast CT in a 44-year-old man with transverse colonic thickening ( arrows ) due to graft-versus-host disease.

Drug-Induced Colitis

Drugs can cause colitis via various mechanisms, including direct mucosal necrosis, ischemia, lymphocytic colitis, and a particular form, pseudomembranous colitis (see page 174). Direct colitis may be secondary to some sorbitol enema formulations and chemotherapeutic regimens ( Fig. 5-31 ). Ischemic colitis may manifest after the administration of drugs that cause thrombosis (e.g., oral contraceptive pill) or spasm (e.g., cocaine and amphetamines). Lymphocytic colitis is of uncertain etiology and is associated with some H 2 blockers and cholesterol-lowering agents. At imaging, the colitis is nonspecific with a variable length of colonic thickening (which may be in a vascular territorial distribution if caused by ischemia) with or without pericolonic edema, depending on the severity ( Fig. 5-32 ).

Figure 5-31, Axial contrast-enhanced CT in a 58-year-old man with recent right colectomy for colon adenocarcinoma and now with a chemotherapy-induced pancolitis ( arrows ).

Figure 5-32, Axial contrast-enhanced CT in a 56-year-old woman with a pancolitis ( arrows ) secondary to quinones therapy.

Typhlitis

Sometimes known as neutropenic colitis because it is an acute inflammatory condition (mainly of the terminal ileum, cecum, and ascending colon), typhlitis is identified in patients with neutropenia from any cause, but particularly those with hematologic malignancies. It is most commonly seen in younger patients with aplastic anemia, patients with lymphoma, transplant recipients, and those infected with human immunodeficiency virus (HIV). Patients present with right lower quadrant pain, fever, and diarrhea.

Typhlitis is readily identified at CT by circumferential cecal wall thickening, sometimes marked, that is thought to be caused by a combination of infection, hemorrhage, and ischemia. Bowel wall enhancement in common with other colitides is present, and there is often pericolonic inflammatory change (fat-stranding). Typhlitis may affect a variable length of the ascending colon, and the adjacent terminal ileum or appendix may be affected ( Fig. 5-33 ).

Figure 5-33, Plain abdominal radiograph ( A ) and axial contrast-enhanced CT ( B ) in a 17-year-old male adolescent undergoing chemotherapy with cecal mural thickening ( arrows ) due to typhlitis.

Ischemic Colitis

Ischemic colitis is the most common vascular disease of the GI tract, occurring mainly in the elderly, either from occlusive disease (typically the inferior mesenteric artery) or from low-perfusion states caused by atherosclerotic disease. Patients with atherosclerosis are particularly susceptible after any additional insult that may lead to hypoperfusion, such as surgery, trauma, or low–cardiac output states. The colonic mucosa is particularly susceptible to ischemic events and will rapidly become edematous, hyperemic, and markedly thickened (“thumb-printing”), which can occur within 24 hours of the ischemic onset. Patients may be relatively asymptomatic early in the process, but as the severity increases, symptoms similar to other colitides, including diarrhea, pain, and rectal bleeding, develop.

Most disease is segmental in the colonic “watershed” areas, with the splenic flexure (i.e., arterial vascular transition between the superior mesenteric and inferior mesenteric arteries) and rectosigmoid region (i.e., junction between the inferior mesenteric and hypogastric arteries) most at risk. More extensive disease is, however, well recognized, particularly if the superior mesenteric artery is also affected and a pancolitis ensues, which is difficult to differentiate from other colitides.

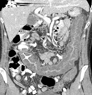
Plain radiography may demonstrate an ileus, sometimes confined to the left colon. As the disease progresses, bowel wall thickening develops ( Fig. 5-34 ) with a toxic megacolon if severe ( Fig. 5-35 ). BE is now rarely performed, but results demonstrate thickened folds and ulceration, either linear or with mucosal sloughing. Healing can lead to stricture formation ( Fig. 5-36 ). The findings are now usually made by CT and are similar to other forms of colitis (inflammatory bowel disease, infectious colitides, and radiation colitis if the radiation field included the colon). The disease is suggested in the appropriate clinical setting and by the left-sided distribution of the colonic changes ( Fig. 5-37 ). Severely affected patients show colonic pneumatosis as the gas permeates the damaged mucosa, which can then enter the mesenteric venous system and be recognized as mesenteric venous gas (particularly at CT) and ultimately intrahepatic portal venous gas. Occasionally, ischemia occurs proximal to an obstructing colonic stricture, such as colonic adenocarcinoma. The obstruction causes marked distention of the proximal colon, compromising its vascular supply or directly invading mesenteric vasculature ( Fig. 5-38 ).

Figure 5-34, Plain abdominal radiograph in a 78-year-old woman with left-sided colonic wall thickening ( arrows ) due to ischemic colitis.

Figure 5-35, A and B, Plain abdominal radiograph ( A ) and magnified view ( B ) in a 56-year-old man with a left-sided toxic megacolon due to ischemic colitis. There is thumb-printing of the colonic mucosa at the splenic flexure ( arrows ).

Figure 5-36, BE in a 71-year-old man with a left mid-descending colon stricture ( arrow ) secondary to fibrosis from prior ischemic colitis.

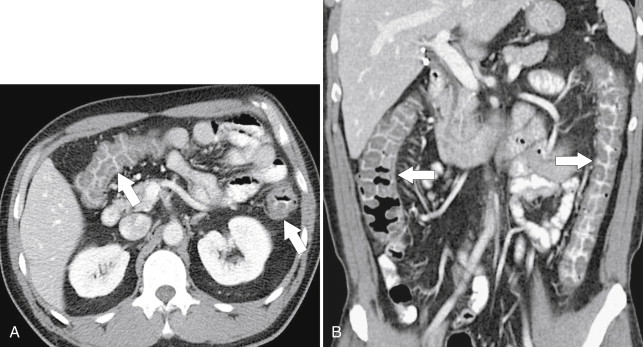
Figure 5-37, Axial ( A and B ) and coronal ( C ) contrast-enhanced CT in a 66-year-old woman with diffuse left colonic mucosal thickening ( arrows ) due to ischemic colitis. Note the normal right colon ( arrowhead ).

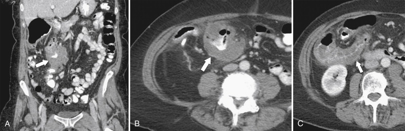
Figure 5-38, A through C, Coronal and axial contrast-enhanced CT in a 62-year-old man with a transverse colon adenocarcinoma ( arrows ) with proximal ascending colon mucosal thickening due to secondary ischemia.

Reversible Ischemic Colitis

Reversible ischemic colitis is sometimes referred to as jogger’s or runner’s colitis because it is observed in otherwise healthy patients in whom colitis develops (with pain and diarrhea, which is rarely bloody) either during or soon after long-distance running and resolves shortly after termination of the exercise. The mechanism of injury is poorly understood but is a nonocclusive ischemia thought to be caused by low mesenteric flow states from arterial shunting to extremity musculature away from the mesentery combined with marked dehydration. Both the superior and inferior mesenteric territories are at risk, so the entire colon may be affected. The disease more commonly occurs in unconditioned athletes, and it seems to improve with training. The diagnosis is made with the relevant history, and if imaging is performed, there will often be no findings because the colitis has resolved or mild colitic changes of bowel wall thickening may be seen ( Fig. 5-39 ). More severe wall thickening suggests an alternative diagnosis.

Figure 5-39, Axial ( A ) and coronal ( B ) contrast-enhanced fat-saturated CT in a 37-year-old female marathon runner with transverse colon mucosal thickening ( arrows ) due to “runner’s” colitis.

Radiation Colitis

Radiation colitis is less commonly seen today because of more sophisticated radiation treatment protocols, which attempt to remove the bowel from the radiation field. This may include the placement of spacers to push bowel and other anatomy away from the radiation field. However, with pelvic radiation for local malignancies (e.g., cervical cancer) the rectosigmoid may unavoidably be in the radiation field. Similar to radiation bowel changes elsewhere, the acute changes include mucosal thickening and edema and ulceration. In the chronic form of radiation colitis there may be stricture formation from endarteritis obliterans and loss of the normal haustral pattern, such that the bowel appears featureless, not dissimilar to UC.

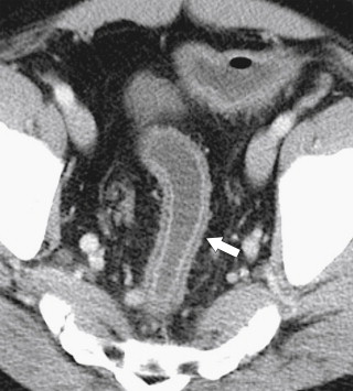
The findings are most often visualized by CT, particularly because patients are often serially imaged to evaluate for any local cancer recurrence or metastatic disease, although MRI often detects more subtle changes ( Fig. 5-40 ). Associated inflammatory changes are often observed in the surrounding mesentery (fat-stranding). This is commonly seen in the presacral region after radiation for rectal cancer preceding attempted surgical removal of the tumor. Radiation changes can sometimes be difficult to differentiate from local recurrence, but awareness that the patient has undergone radiation should alert the radiologist that the changes are benign rather than malignant recurrence. Increasingly, PET imaging is used to differentiate postradiation changes from recurrent disease ( Fig. 5-41 ).

Figure 5-40, Sagittal T2-weighted ( A ) and contrast-enhanced MRI ( B ) in a 47-year-old woman with rectal wall thickening ( arrow ) and mucosal hyper-enhancement due to radiation colitis ( arrows ).

Figure 5-41, Axial CT ( A ) and PET ( B ) in a 73-year-old man with prior colectomy for rectal cancer and question of postoperative pelvic changes versus recurrence. PET imaging confirms tumor recurrence ( arrows ).

Portal Colopathy

Portal colopathy is not strictly an inflammatory disease but is included here for completeness. Chronic liver disease with secondary portal venous hypertension can affect almost the whole GI tract from the esophagus and stomach (varices) to the small bowel (diffuse mucosal thickening) and colon. In the colon there may be variceal formation (similar to the mechanism in the stomach and esophagus) or diffuse vascular ectasia, which has a propensity for hemorrhage. Imaging may demonstrate diffuse colonic thickening secondary to increased venous pressure or hypoproteinemia ( Fig. 5-42 ). Direct evidence of variceal formation ( Fig. 5-43 ) may appear throughout the colon or be limited to the rectum, where it may present as hemorrhoids or rectal bleeding ( Fig. 5-44 ).

Figure 5-42, Axial ( A ) and coronal ( B ) contrast-enhanced CT in a 44-year-old man with cirrhosis and portal colopathy ( arrows ). There is associated ascites and splenomegaly ( small arrow ).

Figure 5-43, DCBE in a 56-year-old woman with colonic varices ( arrow ).

Figure 5-44, Axial contrast-enhanced CT in a 64-year-old man with rectal varices ( arrow ).

Infectious Colitis

Numerous infectious agents ( Table 5-1 ) result in colitis. Acute presentation, usually bacterial or viral, is with profuse watery or bloody diarrhea, abdominal pain and cramping, fever, and arthralgia. Bacterial organisms include Salmonella sp., Shigella sp., Staphylococcus sp., Campylobacter sp., Yersinia sp., Escherichia coli , Chlamydia sp., and actinomycetes, among others. Viruses include herpes, cytomegalovirus (CMV), rotavirus, and Norwalk gastroenteritis virus. Less acute presentations include histoplasmosis (a fungus) and several parasites ( Ascaris , Amoeba , Schistosoma , Strongyloides , Trichuris , and Anisakis species). A prolonged chronic presentation is recognized with tuberculosis.

Most patients with infectious diarrhea are not imaged because the diagnosis is made clinically, sometimes by means of stool specimens or serological analysis. However, severely affected patients, particularly those hospitalized, may have imaging, usually CT, performed to evaluate for evidence of colitis or its complications. Plain radiography often demonstrates an ileus, and mucosal thickening may be recognized and, if severe, may demonstrate thumb-printing and toxic megacolon ( Fig. 5-45 ). The features of colitis are better appreciated with CT ( Fig. 5-46 ), including the ileus and wall thickening, as well as mucosal and serosal enhancement with hyperattenuating submucosa (target sign), pericolonic edema (stranding), and ascites.

Figure 5-45, Plain abdominal radiograph in a 36-year-old woman with nodular mucosal thickening ( arrow ) due to pseudomembranes from pseudomembranous colitis.

Figure 5-46, Axial contrast-enhanced CT in a 73-year-old woman with haustral thickening of the transverse colon caused by pseudomembranous pancolitis ( arrow ).

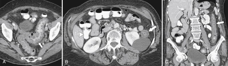
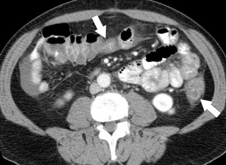
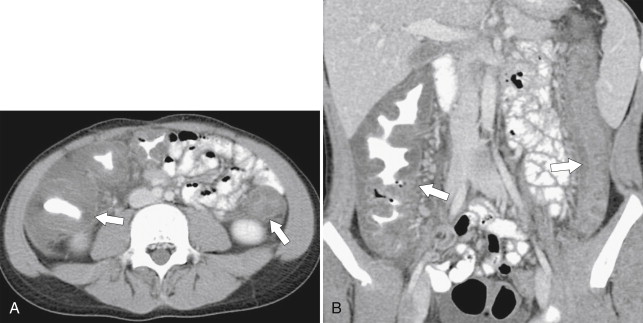
Often the infectious etiology cannot be determined by imaging alone because all the agents cause nonspecific colonic wall thickening and some cause a pancolitis, including Escherichia coli (although this colitis can be severe [ Fig. 5-47 ]) and those involved in traveler’s diarrhea ( Fig. 5-48 ). Other pathogens tend to affect specific colonic areas more than others. Campylobacter sp. is sometimes indistinguishable from UC ( Fig. 5-49 ), but is often confined to the rectum. Other rectal colitides include gonococcal and herpes colitis. Shigella sp. primarily affects the left side of the colon, whereas Salmonella typhi, tuberculosis, Yersinia, and amebiasis are focally confined to the ileocecal region with or without local adenopathy.

Figure 5-47, Axial ( A ) and coronal ( B ) contrast-enhanced CT in a 12-year-old boy with marked colonic thickening ( arrows ), particularly the right colon due to E. coli colitis.

Figure 5-48, Axial ( A ) and coronal ( B ) contrast-enhanced CT in a 64-year-old woman with pancolitic mucosal thickening ( arrows ) due to traveler’s diarrhea.

Figure 5-49, Axial ( A ) and coronal ( B ) contrast-enhanced CT in a 39-year-old man with marked pancolitic mucosal thickening ( arrows ) due to Campylobacter sp. infection. The appearances are similar to most other infectious colitides.

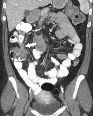
Strongyloides infection can mimic UC in its diffuse form but can also present with focal right colonic disease ( Fig. 5-50 ). Actinomyces infection is usually secondary to pelvic colonization of intrauterine contraceptive devices and may cause a focal, either cecal or rectosigmoid, colitis ( Fig. 5-51 ). Actinomyces may also be associated with right-sided ileocecal infection after secondary infection following appendectomy.

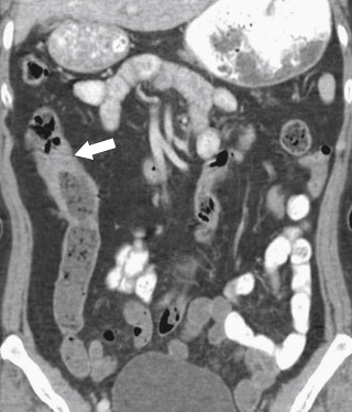
Figure 5-50, Coronal contrast-enhanced CT in a 49-year-old woman with focal mucosal thickening ( arrow ) of the ascending colon due to Strongyloides sp. infection.

Figure 5-51, BE ( A ) and axial contrast-enhanced CT ( B ) in a 39-year-old woman with pelvic actinomycetes infection with sigmoid wall thickening ( arrow ) and narrowing ( small arrows ) and a pelvic abscess ( arrowhead ).

The infectious colitides that are more likely to be recognized at imaging include Clostridium difficile (pseudomembranous) colitis, less commonly CMV colitis, and sometimes tuberculous and amebic colitis. These will be specifically addressed.

Clostridium difficile (Pseudomembranous Colitis)

Pseudomembranous colitis, also known as antibiotic-associated diarrhea, is secondary to Clostridium difficile infection and is relatively common, particularly in the hospital setting, given the widespread use of antibiotics. Use of these drugs predisposes the patient to colonic C. difficile overgrowth after the antibiotics have eliminated normal bacterial flora. Toxin production ensues, leading to an acute inflammatory colitis. Clindamycin is most commonly implicated, but many antibiotics are responsible, including cephalosporins and amoxicillin. The disease may develop with even relatively remote antibiotic usage (up to several months prior). Patients present with the typical features of colitis, including bloody diarrhea, pain, and fever. The disease owes its notoriety to its marked propensity in untreated patients to progress to fulminant colitis and toxic megacolon with marked haustral and mucosal thickening. Pseudomembranes are characteristic of the disease and are best visualized endoscopically as yellow exudates representing the inflammatory detritus in the colon or rectum.

The imaging findings may lag behind the clinical features, and patients may have pronounced clinical disease without obvious imaging findings. When observed, the imaging features are similar to most other colitides. Plain radiography often demonstrates ileus and, as the disease progresses, nodular haustral thickening, often over a long segment because the disease usually presents as a pancolitis. There may be polypoid mucosal thickening representing the pseudomembranes, but this is not often observed ( Fig. 5-45 ). The disease can progress readily to frank toxic megacolon. However, it is optimally evaluated by CT, which demonstrates bowel wall thickening, mucosal enhancement, often with a mural stratification (or target sign representing unenhanced thickened submucosa surrounded by enhancing mucosa and muscularis propria), pericolonic edema, and mild ascites. The bowel wall thickening is often pronounced, more so than in other colitides, with the thickened haustra giving the appearance of an accordion pattern (also found with CMV colitis) over a relatively long segment of bowel ( Fig. 5-52 ), representing oral contrast material trapped between the bulbous-thickened haustra.

Figure 5-52, Axial contrast-enhanced CT in a 46-year-old woman with pancolitic mucosal thickening ( arrow ) due to Clostridium difficile colitis. The haustral thickening in the right colon conforms to the “accordion pattern.”

Cytomegalovirus

Cytomegalovirus is a herpesvirus that has well-recognized somatic complications from congenital fetal infection but is usually asymptomatic in adults. However, CMV is potentially life threatening in an immune-compromised patient, who can develop severe hepatitis and colitis. Its colitic imaging appearances (usually by CT) are almost identical to the much more common C. difficile colitis or IBD, producing a diffuse colitis ( Fig. 5-53 ) and sometimes an accordion-type pattern. The colonic wall thickening can be profound, as in C. difficile colitis, and toxic megacolon is a recognized complication.

Figure 5-53, Axial ( A ) and coronal ( B ) contrast-enhanced CT in a 46-year-old man with marked pancolitic mucosal thickening ( arrows ) with mucosal hyperenhancement ( arrowhead ) due to CMV colitis.

Tuberculosis

The abdomen is the second most common region affected by the Mycobacterium tuberculosis (TB) organism and usually is secondary to pulmonary infection. Mycobacterium bovium can result in direct infection of the alimentary tract, sometimes the small bowel, in preference to the colon. Tuberculosis remains remarkably common worldwide, with up to a third of the world population affected. Most infected persons are relatively asymptomatic. In many countries, therefore, the diagnosis of TB would be at or close to the top of any differential diagnosis for many abnormal imaging findings. In the West, TB is most likely secondary to immunosuppressed states from any cause, including primary disease and iatrogenic causes (immunosuppressive drugs). Abdominal tuberculous infection most commonly produces hypodense mesenteric and retroperitoneal adenopathy, best appreciated after administration of IV contrast material. Healing is by nodal calcification, which is a clue to prior infection. When the infection is florid, diffuse peritoneal and omental thickening can occur, usually with ascites (see Chapter 10 ).

Mycobacterium avium intracellulare (MAI) infection is an atypical mycobacterial infection most commonly seen in patients in the latter stages of acquired immunodeficiency syndrome (AIDS). It can also be a multisystem disease, often producing multiple enlarged hypoattenuating nodes in the abdomen and retroperitoneum. MAI can be difficult to distinguish from the more common forms of TB but should be strongly considered in a patient with AIDS.

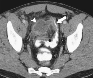
TB most commonly affects the ileocecal region when involving the GI tract. In the acute phase, there is an edematous thick-walled inflammatory mass of the terminal ileum and cecum, which can be identified at BE or CT imaging ( Fig. 5-54 ). Because TB is a chronic disease, there may be fibrotic changes with contraction and distortion of colonic mucosa and wall, producing focal right-sided colonic strictures ( Fig. 5-55 ). The fibrotic process may cause a fixed, distorted, or narrowed cecum, a so-called coned cecum ( Fig. 5-56 ; Table 5-4 ). CT usually demonstrates associated regional adenopathy.

Figure 5-54, Axial ( A ) and coronal ( B ) contrast-enhanced CT in a 31-year-old woman with marked colonic wall thickening and irregularity ( arrows ) and pericolonic inflammation or (stranding) due to acute colitic tuberculosis.

Figure 5-55, BE in a 37-year-old man with an ascending colon stricture ( arrow ) and irregular lumen due to colonic tuberculosis.

Figure 5-56, BE in a 39-year-old man with marked distortion of the cecum (coned cecum) ( small arrow ) and terminal ileum ( arrow ) due to chronic ileocecal TB.

Table 5-4
Causes of Coned Cecum
Type Disease
Infectious Amebiasis
Tuberculosis
Actinomycetes
Inflammation Crohn disease
Adjacent appendiceal disease
Neoplastic Adenocarcinoma
Lymphoma

Actinomyces

Actinomyces is a gram

Hans C. Gram (1850-1938), Danish bacteriologist.

-positive anaerobic bacterium, recognized by characteristic sulfur granules on histological examination. It normally resides in the GI tract but can become invasive in patients debilitated by other disease or surgery. It is more commonly observed in the lungs or the endometrium, particularly in patients using intrauterine contraceptive devices. This predisposes patients to Actinomyces endometritis, which can develop into a more florid tuboovarian abscess.

In the bowel, Actinomyces usually occurs in the appendix or cecum, although any part of the GI tract may be affected. Acute disease leads to ulceration and multiple small and larger abscess formation, which can be recognized by CT ( Fig. 5-51 ). As the disease progresses, numerous small sinus tracts can develop, and the healing process with the granulation tissue can cause stricture formation.

You're Reading a Preview

Become a Clinical Tree membership for Full access and enjoy Unlimited articles

Become membership

If you are a member. Log in here