Charcot Ankle Fractures


Indications

  • Open reduction internal fixation is indicated for unstable neuropathic ankle fractures in patients with a suitable soft tissue envelope. Closed, neuropathic ankle fractures commonly present in three ways:

    • Acutely after a traumatic incident, these are often missed since the patient may be weight bearing on the fractured limb.

    • Subacutely, with a history of a minor injury and a longer period of sustained swelling, erythema, and possibly a history of treatment for cellulitis.

    • Chronically with progressive deformity and loss of ankle function.

  • Charcot ankle fractures may also present as open fractures, in which case the ankle is first thoroughly irrigated, débrided, and stabilized with external fixation to allow the soft tissues to heal prior to reconstruction.

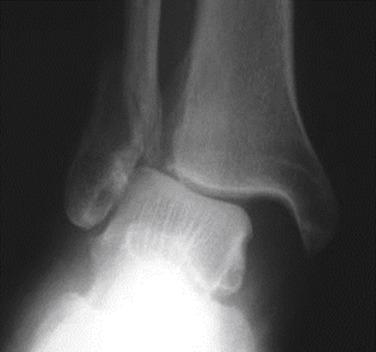
  • It is important to understand that Charcot ankle fractures are uniquely different in that treatment requires more robust fixation and longer protected weight bearing than is typically required. The bone is softer due to increased resorption relative to new bone formation, and patients lack protective sensation allowing weight bearing on the fractured ankle ( Fig. 62.1 ). Failure to recognize these principles ( Fig. 62.2 ) risks failure due to loss of fixation ( Fig. 62.3 ), with subsequent revision ( Fig. 62.4 ), malunion and/or nonunion, and possibly amputation.

    FIG. 62.1, (Courtesy Arthur Manoli)

    FIG. 62.2, (Courtesy Arthur Manoli)

    FIG. 62.3, (Courtesy Arthur Manoli)

    FIG. 62.4, (Courtesy Arthur Manoli)

Treatment Options

  • Cast immobilization

  • External fixation as the definitive treatment

  • Temporary external fixation to allow for adequate soft tissue healing and resolution of swelling prior to open fixation

  • Open fixation, internal reduction

  • Primary ankle or tibiotalocalcaneal fusion

Examination/Imaging

Physical Examination

  • Pain often present, but much less than would be expected given the underlying fracture and swelling

  • Swelling

  • Erythema that decreases with elevation

  • Deformity

  • Decreased sensation with a Semmes–Weinstein 5.07 monofilament (DePuy Synthes Companies, Zuchwil, Switzerland)

  • It is not uncommon for patients to be weight bearing on their fractured ankles

You're Reading a Preview

Become a Clinical Tree membership for Full access and enjoy Unlimited articles

Become membership

If you are a member. Log in here