Introduction

Approximately 1 in 10 female cancers diagnosed worldwide are cancers of the cervix; in countries without effective screening programmes, little is changing. Cervical cancer remains the most common cancer among women in many countries without accessible effective screening programmes, with over 450,000 cases each year worldwide. In the United Kingdom, there are 3100 cases of cervical cancer diagnosed each year and 1300 women die from the disease annually.

The discovery of a precursor or premalignant lesion, which can be detected by cytology, has revolutionised the prevention of this cancer. The ‘cervical smear’ fulfils many of the criteria for a suitable screening programme. Both the incidence and mortality associated with cervical cancer have fallen considerably since the introduction of this screening programme, and the introduction of the human papillomavirus (HPV) vaccine aims to reduce this further still.

The Transformation Zone

Understanding the transformation zone is key to understanding cervical cancer screening. The endocervix is lined by columnar epithelium and the ectocervix by squamous epithelium. Under the influence of estrogen, part of the endocervix everts, thereby exposing the columnar epithelium to the chemical environment of the upper vagina ( Fig. 14.1 ). The change in pH, along with other factors, causes the delicate columnar epithelium cells to transform into squamous epithelium through the process of metaplasia. This area is called the ‘transformation zone’ and is relatively unstable. As a consequence, premalignant changes can develop in the transformation zone; it is this area that is sampled by the cervical smear test.

Fig. 14.1, The transformation zone. (A) The cervix everts at puberty, exposing the columnar epithelium of the endocervical canal. (B) This epithelium, referred to as the ‘transformation zone’, gradually undergoes metaplasia to squamous epithelium.

In addition to examining the cervical cells from the transformation zone, cervical smear reports may also identify infections such as candida, trichomoniasis, or wart (HPV) virus. Rarely, they may identify cells from other parts of the genital tract, such as malignant cells from the endometrium.

The Cervical Screening Programme (UK)

The aim of the NHS Cervical Screening Programme (NHSCSP) is to reduce the incidence of and mortality from cervical cancer through a systematic, quality-assured population-based screening programme for women aged 25 to 65 years.

Historically, cytology was assessed microscopically, first for evidence of cellular abnormalities, termed ‘dyskaryosis’, which were graded as negative (normal), borderline, mild, moderate, and severe. Moderate and severe dyskaryosis cases were referred for further assessment by colposcopy. There was debate regarding the value of referral of the low-grade lesions (borderline and mild dyskaryosis), which led to the implementation of HPV triage. With the knowledge that the vast majority of cervical cancer is caused by HPV, these low-grade abnormalities were tested for high-risk HPV. If positive, they were referred for colposcopy; if negative, they were returned to normal screening.

This strategy has evolved into primary HPV screening, which has been demonstrated within randomised controlled trials to be more sensitive than cytology in the detection of premalignant disease of the cervix. Improved sensitivity leads to a reduction in the incidence of both adenocarcinomas and squamous carcinomas of the cervix when compared with screening by cytology alone.

As a result, a national programme of primary HPV screening with triage by cytology is now in operation ( Fig. 14.2 ). The NHSCSP sends the first invitation for cervical screening when a woman reaches 24.5 years of age. Individuals are then recalled every 3 years until they turn 50 years of age, when the recall interval changes to every 5 years. The smear test can diagnose dyskaryosis and/or HPV, whereas colposcopy facilitates assessment of the cervix and biopsy or treatment to be performed. Histology of colposcopically directed biopsies identifies the presence of the premalignant conditions of cervical intraepithelial neoplasia (CIN) or cervical glandular neoplasia (cGIN) or whether there is evidence of cancer. CIN arises from the squamous cells of the ectocervix, whereas cGIN arises from the glandular cells of the endocervical canal and is less common. The degree of dyskaryosis (cytology) tends to correlate with the degree of CIN (histology; Figs. 14.3 14.5 ). Both precancerous lesions tend to be asymptomatic; therefore, screening is the best method of detection. Not every woman with one of these precancerous changes will develop cervical cancer. However, if left untreated, they may evolve into cancer over time. This time can vary significantly but is estimated to be an average of 10 years.

Fig. 14.2, Primary HPV screening pathway (UK).

Fig. 14.3, Slide prepared from a cervical smear. There is moderate dysplasia with hyperchromasia, irregular nuclei, and multinucleation. This slide also shows Trichomonas vaginalis , leucocytosis, and a spermatozoon.

Fig. 14.4, The CIN grading system .

Fig. 14.5, CIN II in a biopsy specimen. There are abnormal cells arising from the basal layer but not extending to the full thickness of the epithelium.

Colposcopy

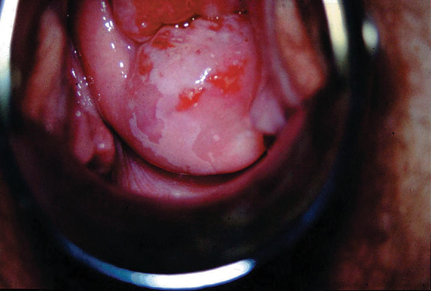
This is a procedure by which the cervix is visualized using a type of binocular microscope referred to as a ‘colposcope’ ( Fig. 14.6 ). The woman lies in the lithotomy position and a bivalve speculum is inserted to allow visualization of the cervix. It is important to identify the squamocolumnar junction. Abnormal epithelium, such as CIN, contains an increased amount of protein and lower levels of glycogen than normal epithelium. If acetic acid is applied to the cervix, the protein coagulates, and the abnormal cells appear white: ‘aceto-white’ ( Fig. 14.7 ). There may also be a ‘mosaic’ pattern with patches of aceto-white separated by areas of red vessels ( Fig. 14.8 ). Some of the vascular patterns may appear ‘punctated’ if the vessels are viewed end on. The inter-vessel distance increases with more severe lesions, and bizarre branching with coarse punctation and atypical vessels suggests invasive disease (cancer). Lugol iodine (Schiller iodine) stains glycogen mahogany brown – the abnormal cells, which have less glycogen and therefore take up less iodine, can be viewed in this way also.

Fig. 14.6, Colposcopy, using a high-powered microscope, allows detailed examination of the cervix .

Fig. 14.7, Acetic acid coagulates protein and the abnormal cells, which have more protein, appear ‘aceto-white’ .

Fig. 14.8, Patches of aceto-white may be separated by areas of blood vessels, creating a mosaic pattern .

These features of dense aceto-white uptake, punctuation, and mosaicism are suggestive of premalignant or malignant change. These alert the colposcopist to what may be a ‘high-grade lesion’. A biopsy should be performed to make a histological diagnosis.

The premalignant stages are classified as:

  • Mild or cervical intraepithelial carcinoma I (CIN I; also called low-grade squamous intraepithelial lesion [LSIL])

  • Moderate or CIN II or high-grade squamous intraepithelial lesion (HSIL)

  • Severe or CIN III (HSIL)

  • cGIN.

Treatment of cervical intraepithelial neoplasia

High-grade CIN (CIN II and CIN III) and cGIN require treatment ( Table 14.1 ). With CIN I, there is more controversy and, generally, a period of cytological surveillance will be employed, as many of these lesions will spontaneously resolve. If high-grade CIN is suspected colposcopically, the options are to treat immediately (termed ‘see-and-treat’) using an excisional method, for example, large loop excision of the transformation zone (LLETZ), or to biopsy to confirm high-grade CIN and treat thereafter. This choice depends on the certainty of the colposcopic findings, the woman’s fertility wishes, and other factors, such as the likelihood that the woman will attend for follow-up.

If undertaking LLETZ, the cervix is infiltrated with local anaesthetic and a loop diathermy excision is performed. The alternative treatment of ablating the area has the disadvantage that the histological assessment is less complete.

Smoking is an aetiological factor in the development of CIN; thus, smoking cessation should be discussed with the woman.

Follow-up

This is defined by the national screening guidelines. Any woman who has had CIN, whether treated or not, continues to be at risk of developing cervical cancer due to either incomplete treatment of her CIN or the development of new disease. Follow-up is usually carried out by repeating cervical smears. Colposcopy can also be used. Protocols vary but, in the UK, a smear with HPV testing (‘test of cure’) is performed 6 months following treatment. If this is negative with no evidence of high-risk HPV type, then the woman is returned to routine screening. If not, the woman is invited to return for further assessment by colposcopy.

Results of the UK cervical screening programme

The aim of screening is to identify women at high risk of cervical cancer to enable intervention at a time that allows treatment to substantially reduce this risk. The NHSCSP in England is believed to save 4500 lives per year. Although successful, it will not be able to prevent all cervical cancers. It is estimated that the NHSCSP, when undertaken in women aged between 25 and 49 years, 3-yearly screening prevents 84 cervical cancers out of every 100 that would otherwise develop without screening.

You're Reading a Preview

Become a Clinical Tree membership for Full access and enjoy Unlimited articles

Become membership

If you are a member. Log in here