Cardiovascular Magnetic Resonance Imaging


Additional content is available online at Elsevier eBooks for Practicing Clinicians

The multicomponent capability of cardiovascular magnetic resonance (CMR) provides morphologic, structural, and physiologic information relevant to a broad array of cardiovascular diseases. CMR offers technical advantages of unrestricted tomographic imaging in arbitrary scan planes, various types of tissue characterization, and a lack of need for ionizing radiation. In this chapter, we will review the current cardiac clinical applications of CMR.

Principles of Magnetic Resonance Imaging

Basic Physics of Magnetic Resonance Imaging

Clinical magnetic resonance imaging (MRI) is based on generating signal from the abundant hydrogen nuclei in the human body. When placed inside the magnetic field (called B 0 ), the 1 H nuclei in a patient’s body align with B 0 , either with or against the direction of the B 0 field (known as the z-axis). The summated magnetic effect from all the 1 H nuclei is referred to as the equilibrium magnetization, which is excitable by a radiofrequency pulse to generate an MRI signal. The 1 H nuclei in different tissue environments (fat, complex protein, simple fluids, etc.) have characteristic frequencies. A radiofrequency pulse is designed so that it has a specific frequency that can activate the 1 H nuclei to generate a measurable MRI signal specific to the tissue. The spatial location of a 1 H nuclei is organized by three-dimensional (3D) magnetic field gradients inside the scanner. After delivery of a radiofrequency pulse, the electromagnetic energy absorbed by the 1 H nuclei will be released back to the environment by two coexisting mechanisms, longitudinal magnetization recovery and transverse magnetization decay. The rates of longitudinal magnetization recovery and transverse magnetization decay are measured by T1 and T2 (or T2∗) values, respectively. They are important because MRI can use different pulse sequence designs to capture patterns of change in these rates to generate signal differences (contrast) on an image to identify tissue types, differentiate normal versus pathologic states, and quantify severity of pathophysiology at the tissue level. The choice of signal contrast weighting of the imaging method is partly dictated by the physiologic characteristics of the tissue being studied. For qualitative interpretation, signal enhancement (from T1 effects) is in general preferred in CMR, thus most pulse sequences used in CMR are T1-weighted techniques. Current common T1-weighted CMR techniques include gradient echo cine, myocardial perfusion, late gadolinium enhancement (LGE), and phase contrast blood flow imaging. T2-weighted and T2∗-weighted CMR are primarily for imaging of myocardial edema and iron content, respectively. Cine steady-state free precession (SSFP), the standard pulse sequence for quantifying cardiac volumes and functions, employs a mixed T2/T1 weighting.

Contrast Agents In CMR

Gadolinium-based contrast agents (GBCAs) are most commonly used in clinical CMR. When injected as an intravenous bolus, a GBCA transits through cardiac chambers and coronary arteries over 15 to 30 seconds ( first-pass phase ) before it diffuses into the extracellular space. At approximately 10 to 15 minutes after injection, a transient equilibrium between contrast washing-in into the extracellular space and washing-out to the blood pool is reached. At present, myocardial perfusion CMR and most magnetic resonance angiograms (MRAs) are performed during the first-pass phase, whereas LGE images are obtained during the equilibrium phase. All GBCAs are chelated to render them nontoxic and to facilitate renal excretion. GCBA use is associated with mild reactions (nausea, mild skin rash) in ∼1% and severe reactions are extremely rare. In patients with severe renal dysfunction, GBCA use may expose the patient to the toxic nonchelated free gadolinium (Gd 3+ ), which can lead to nephrogenic systemic fibrosis (NSF), an interstitial inflammatory reaction that can lead to severe skin induration, contracture of the extremities, fibrosis of internal organs, and death. Risk factors to developing NSF include estimated glomerular filtration rate (eGFR) <30 mL/min/1.73 m 2 , need for hemodialysis, acute renal failure, and presence of concurrent proinflammatory events. With implementation of routine screening of those at risk with creatinine clearance, weight-based dosing, avoidance of GBCA use in patients with eGFR <30 mL/min/1.73 m 2 , and the use of a macrocyclic form (group II) of GBCA, NSF from GBCA had a near-zero incidence globally over the past decade. In April 2020, the American College of Radiology considered the risk of NSF from group II GBCA as sufficiently low or possibly nonexistent such that questionnaire screening and eGFR testing are no longer mandatory.

CMR Imaging Methods

To overcome blurring from cardiac motion, data acquisition is synchronized to the electrocardiogram (ECG) signal (cardiac gating), which is either prospective (ECG triggering follows imaging data acquisition in each cardiac cycle) or retrospective (continuous data acquisition with subsequent reconstruction based on ECG timing). For cine imaging, retrospective gating is preferred because it covers the entire cardiac cycle. Many CMR pulse sequences fractionate the data acquisition of an image to occur within a narrow window of the cardiac cycle over several heartbeats (segmented approach). To overcome blurring from respiratory motion, patient breath-holding, tracking of diaphragmatic position and motion (navigator methods), averaging of respiratory motion, and combinations can be used. In patients who cannot breath-hold or have irregular heart rhythms, static single-shot and real-time cine imaging (both involve rapid acquisition of whole images within a cardiac cycle) can achieve diagnostic studies at reduced temporal and spatial resolutions. Table 19.1 shows a summary of the most common clinical CMR pulse sequence techniques at our center. CMR uses bright-blood cine SSFP imaging or dark-blood fast spin-echo (FSE) imaging to assess cardiac morphology and structure. Cine SSFP can image the heart in motion at a high temporal resolution of 30 to 45 msec during a breath-hold of <10 seconds. For dark-blood techniques, T1-weighted FSE is used for morphology of cardiac chambers, vascular structures, pericardium, and imaging of fat. T2-weighted FSE with fat suppressed can image for myocardial edema. Myocardial tagging has been extensively validated to assess myocardial strain by marking the myocardium with dark lines or a grid to quantify the deformational change across the cardiac cycle. This type of intrinsic myocardial performance can be quantified global and regional in circumferential, longitudinal, and radial directions. However, the detection and tracking of tagged grids requires significant postprocessing effort and time, limiting clinical efficiency. Feature tracking detects and tracks the pattern of a patch of pixel of the myocardium (“feature”) at blood pool-myocardial border across successive time frames. Given the feature tracking can be applied onto routine cine SSFP imaging, this application has gained increasing clinical adaptation. LGE is a T1-weighted imaging that detects accumulation of GBCA in the myocardium due to infarction, infiltration, or fibrosis. LGE is detected 5 to 15 minutes after an intravenous injection of GBCA (0.1 to 0.2 mmol/kg) (hence the term “late”). LGE data can be captured in 2D or 3D. Phase-sensitive inversion recovery (PSIR) reconstruction is routinely used in LGE imaging to enhance myocardial tissue contrast. In patients who cannot perform breath-holding, LGE imaging can be acquired using either the single-shot method or navigator guidance. CMR perfusion imaging examines the first-pass transit of an intravenous bolus of GBCA as it travels through the coronary circulation. Several perfusion techniques are available; fast bright-blood gradient-echo imaging acquires three to five short-axis slices of the heart every cardiac cycle during the injection of a GBCA bolus. Gadolinium provides strong signal enhancement in well-perfused region compared with hypoenhancement (dark regions) in poorly perfused myocardium. At a spatial resolution of approximately 2 mm in-plane, CMR perfusion can provide information of myocardial blood flow at the endocardial/epicardial or at a segmental level. T2-weighted imaging detects myocardial edema from ischemic injury or inflammation, and it has been shown to have high correlation to the area-at-risk after acute myocardial infarction (MI). It also complements LGE in determining the chronicity of an MI and allowing for accurate measurement of salvageable myocardium . The pulse sequence options for T2-weighted imaging include black-blood short T1 inversion recovery (STIR) FSE and the newer SSFP-type methods and their merits are listed in Table 19.1 . T2∗ is a transverse relaxation parameter well-validated method for measuring tissue iron content. A T2∗ of <20 msec (normal myocardium ∼40 to 50 msec) is diagnostic of myocardial iron overload and a T2∗ of <10 msec is evidence of severe iron overload. Despite challenges from small luminal sizes and cardiac and respiratory motions, technical advances in coronary MRA imaging have favored the use of whole-heart 3D acquisition (with or without navigator guidance). Phase contrast imaging allows quantitation of velocities of blood flow and myocardial motion and intravascular flow rates. Data acquisition in MRI is slow as it acquires lines of raw data and takes approximately 200 msec to construct a single image. Parallel imaging are techniques that speed this up, using knowledge of the spatial coverage of the phased-array surface coils, to reduce the number of lines of raw data needed to be acquired by two- to threefold. It is routinely used in all commercial MRI systems to reduce acquisition time and/or improve temporal resolution. Similarly, by taking advantage of the correlation between images at different times (either within or between cardiac cycles), methods that reconstruct images at a higher efficiency using a reduced number of data (known as k-t accelerated imaging) have been in routine clinical use.

TABLE 19.1
Summary of Common Clinical Cardiac Magnetic Resonance (CMR) Pulse Sequence Techniques at Brigham and Women’s Hospital
CMR Techniques Pulse Sequence Options Dark/ Bright Blood Contrast Weighting Typical in-Plane Spatial/Temp. Resolutions and Other Imaging Parameters Breath-Hold Required Gadolinium Contrast Required Relative Merits of The Pulse Sequence Options Image Example
Cine cardiac structure and ventricular function
  • Cine SSFP

  • Cine FGRE

  • Real-time cine SSFP

Bright T2/T1W for cine SSFP and real-time cine SSFP; T1W for FGRE
  • 1.5-2.5 mm/∼45 msec per phase

  • Adjust number of lines of K-space per cardiac cycle (segments) to balance temporal resolution and duration of patient breath-holds

  • 2.3-3.2mm/∼60ms for real-time cine

Yes for ECG-gated cine SSFP and FGRE. Optional for real- time cine No Cine SSFP has higher SNR and CNR (between endomyocardium and blood) than FGRE but is sensitive to field inhomogeneity (especially at 3T), giving rise to banding artifact
FGRE has weaker endocardial definition than cine SSFP, but it is an alternative when severe artifact exists in cine SSFP
Good shimming or frequency scout would be needed at 3T to eliminate banding artifact
Real-time cine SSFP: Use in patients with significant arrhythmia or difficulty breath-holding. It has the lowest spatial and temporal resolutions

Cine SSFP
Quantitative regional myocardial strain Myocardial tagging (newer but less widely available techniques for regional strain exist, see text) Bright T1W
  • Tag spacing 5-10 mm

  • Temporal resolution ∼45 msec

  • Low flip angle, on order of 10˚ to limit tag fading

Yes No Tissue-tracking quantitation of intramyocardial motion
Disadvantages: Tag lines fade near end of cardiac cycle and time-consuming strain analysis (postprocessing)
Structure, morphology, and fat imaging
  • Standard FSE

  • SS FSE (or HASTE)

Dark T1W ± fat suppression
  • 0.8-1.5 mm/every cardiac cycle

Yes for standard fast SE. No for SS FSE No
  • Standard FSE has better image quality but relatively long scan time

  • Fat suppression can be achieved by fat saturation pulse (more specific) or by suppressing tissues with short T1 (a technique known as STIR, which is less specific for fat, in particular post Gd contrast).

  • SS FSE covers the whole heart quickly and is useful in patients with arrhythmia or limited breath-holding

Myocardial scar by LGE imaging
  • Standard 2D segmented FGRE

  • 2D SS SSFP technique

  • 3D whole-heart techniques (breath-hold or navigator-guided)

  • Segmented or SS PSIR (phase sensitive image reconstruction)

Bright or Dark (if “black-blood” LGE is used) T1W (10-30 minutes after 0.1-0.2 mmol/kg GBCA injection)
  • 1.5-2.0 mm/150-200 msec (for standard 2D)

  • Adjust inversion time and time delay after ECG detection to null “normal” myocardium and to image in diastole, respectively

Yes for standard 2D technique. No for SS technique Yes
  • Standard 2D technique has higher spatial and temporal resolutions than the SS technique

  • 2D SS technique covers the whole heart quickly and is useful in patients with arrhythmia or difficulty breath-holding

  • PSIR is less inversion time– sensitive and gives improved contrast when normal myocardium is not perfectly nulled

  • New 3D application using navigator-guidance yields higher SNR than 2D and can achieve spatial resolution of <1 mm without the need for breath-holding

  • Black-blood LGE imaging helps better identify small subendocardial scar


2D segmented LGE
Myocardial perfusion imaging Saturation prepared gradient-echo based 2D techniques:
- FGRE
- Hybrid GE-echoplanar (EPI)
- SSFP
Bright T1W
  • 2.0-3.0 mm

  • 130-180 msec per slice

  • 3-4 locations every cardiac cycle or 6-8 locations every two cardiac cycles during vasodilator stress and rest

  • 0.05-0.1 mmol/kg IV GBCA injected at 4 or 5 mL/sec (qualitative assessment only)

No, but breath-hold is preferable Yes
  • Breath-holding useful to track contrast-enhancement in specific segments

  • Parallel-imaging acceleration and sparse sampling to reduce acquisition time per slice and extend slice coverage of the heart, but carries signal-to-noise penalty

Myocardial edema imaging
  • T2W FSE

  • STIR FSE

  • T1W EGE r

  • T2 prep SSFP

  • T2 map

Dark (FSE-based), Bright (SSFP-based)
  • T2W + fat suppression (for T2W techniques)

  • T1W (for EGE technique)

  • In-plane spatial and temporal resolutions similar to standard FSE

  • Slice thickness 7-10 mm to improve SNR

  • For qualitative assessment, algorithm needed to correct for the distance of the heart from the receiver surface coils is required

  • T2 map for quantification (insensitive to signal non-uniformity)

Yes No/Yes for early gadolinium enhancement (EGE) r
  • Myocardial edema appears as a transmural area of high SI on T2W images

  • In FSE techniques, beware of artifacts from slow flow especially adjacent to regional wall motion abnormality or the LV apex, which may mimic edema

  • Regional myocardial signal variation from phase array coils may mimic edema

  • In absence of LGE, T2W edema reflects reversible myocardial injury

  • Using T2W FSE techniques, an SI ratio of myocardium over skeletal muscle >1.9 has been reported to be abnormal in myocarditis

  • An EGE r between myocardium and skeletal muscle of ≥4 or an absolute myocardial SI increase of 45% after contrast are considered abnormal in myocarditis

  • The bright-blood SSFP-based technique has improved CNR and is less susceptible to slow flow artifact

  • T2 map is insensitive to surface coil related signal inhomogeneity and slow flowing blood-related artifact

Myocardial iron content imaging T2 W multiple echo times FGRE Bright T2 W
  • 2.0-3.0 mm/ ∼100-150 msec

  • One short-axis mid-ventricular location

  • A series of images with 6-8 echoes that goes from ∼2 to 35 msec

  • Axial ungated acquisition of the liver for comparison

Yes No
  • Measurement is most accurate and reproducible in the mid septum

  • T2 value describes the exponential decay of myocardial SI as the echo time increases

  • At 1.5T, T2 value of <20 msec with LV dysfunction (without other obvious cause) indicates iron-overload cardiomyopathy

Cardiac thrombus
  • LGE with long inversion time

  • EGE imaging

Bright T1W
  • In-plane spatial and temporal resolutions similar to LGE imaging

  • EGE is acquired within the first 5 min after gadolinium injection

Yes Yes
  • LGE imaging with inversion time set at 600 msec or longer or EGE imaging can detect thrombus indicated by an intense “black” regions

  • Look for thrombus in locations of stagnant flows

Cardiac blood flow Phase contrast imaging cine GE Bright Velocity-related signal phase shift
  • 1.5-2.5 mm/50 msec per phase

  • Keep number of lines of K space per cardiac cycle (segments) low to improve temporal resolution during free breathing studies

No (multiple signal averages used) No
  • Multiple averages can reduce ghosting artifacts from respiratory motion during free breathing

  • Should keep velocity encoding strength slightly > the highest expected flow velocity to avoid velocity aliasing while maximizing accuracy

  • Background phase correction may be needed for accurate results

Coronary MRA
  • 3D whole heart volume using SSFP or FGRE

  • Target-vessel approach

Bright T2 prepared 3D SSFP or FGRE technique
  • ∼0.6-1.0 mm in-plane

  • Free-breathing navigator-guided 3D technique is currently most widely used

No, but yes for target-vessel approach Yes at 3T or optional at 1.5T (no need for contrast with SSFP-based technique)
  • Compared with the target-vessel approach, 3D coronary MRA has higher SNR and provides volumetric whole-heart coverage

  • T2-prepared SSFP sequence with suppression of the adjacent epicardial fat provides the strong blood vessel contrast

  • Contrast-enhanced FGRE-based technique is used in 3T

Anatomy for electrophysiologic mapping of the pulmonary vein
  • 3D FGRE MRA of the left atrial volume and pulmonary veins

Bright T1W FGRE
  • 1.5-2.5 mm isotropic volume

  • Timing bolus is required to achieve proper timing of imaging during first-pass transit of the contrast bolus

  • Gating is optional but may improve border definition at the expense of prolonging breath-hold

  • Free-breathing navigator-guided 3D technique is being increasingly used

Yes Yes
  • Subtraction mask scan is necessary to enhance the MRA images

  • Coronal (more common) or axial 3D MRA of the entire left atrium and the pulmonary vein is generated for electrophysiologic mapping

  • Use same parameters as in the subtraction mask scan

T1 mapping for assessment of extracellular volume expansion and diffuse fibrosis
  • Look-Locker (LL), or modified LL 2D gradient echo

Varying (depending on T1) GRE LL or SS SSFP (MOLLI)
  • 1.5-2.0 mm in-plane resolution

  • LL requires complete relaxation between repetitions

  • MOLLI has lower TI resolution

Yes Yes (measurements pre- and postcontrast required)
  • MOLLI acquires all images during single cardiac phase to allow calculation of T1 maps

  • MOLLI requires SSFP read-outs

  • LL can provide high T1 resolution for short T1s

Note: Dark-blood techniques and myocardial iron content by T2∗ imaging should be performed before administration of gadolinium contrast. CNR, Contrast-to-noise ratio; EGE, early gadolinium enhancement ratio; FGRE, fast gradient-recalled echo; FSE, fast spin-echo; LGE, late gadolinium enhancement; SI, signal intensity; SNR, signal-to-noise ratio; SS, single-shot; SSFP, steady-state free precession; T1W, T1-weighted.

More commonly used option.

T1 and T2 Mapping

T1 mapping estimate in quantitative terms the expansion of the extracellular space in the myocardium where GBCA distribute. This method has demonstrated good correlation with collagen content of the interstitial space in conditions where diffuse fibrosis or infiltration occurs and can serve as a noninvasive method in monitoring disease progression or treatment response. Using both pre- and postcontrast T1 measurements, one determines the change of R1 (=1/T1) between pre- and postcontrast states in myocardium relative to the change of R1 in blood. This ratio estimates the tissue volume fraction filled by extracellular GBCA. Compare to T1-weighted imaging such as LGE, T1 mapping provides quantitation of the spectrum of extracellular volume (ECV) expansion from fibrosis or infiltration. T1 mapping techniques characterized myocardial pathology not visible by LGE imaging. Myocardial T2 mapping, which involves acquisition of a series of images with different T2 weighting, provides a quantitative measurement of regional fraction of free water in the myocardium. Compared to T2-weighted imaging, T2 mapping renders the detection of myocardial edema more reliable and is less prone to artifacts due to either motion or arrhythmia.

Patient Safety in CMR

U.S. Food and Drug Administration (FDA)-approved MRI-conditional pacemakers and implantable cardioverter defibrillators (ICDs), that allow patients to safely undergo a MRI under specific imaging settings, are now widely available. With a standard procedure of device interrogation before and after the MRI scanning established, patients with pacemakers and ICDs that are not MRI-conditional (“legacy” devices) are now routinely undergoing CMR in many experienced centers. In a series of 1509 patients with a legacy device who underwent 2103 MRI studies, device reset was noted in 0.4%, with only one case of post-MRI device dysfunction needing replacement. Sternal wires, mechanical heart valves, annuloplasty rings, coronary stents, non-metallic catheters, and orthopedic or dental implants are also safe under usual clinical CMR scanning. Common hazardous implants include cochlear implants, neurostimulators, hydrocephalus shunts, metal-containing ocular implants, most breast tissue expanders, or metallic cerebral aneurysm clips. Claustrophobia has become uncommon with the use of wide-bore scanners (∼2% of patients) and most can be managed with oral sedation administered before scanning.

Clinical Applications of Cmr

Coronary Artery Disease

Assessing Stable Chest Pain Syndromes

Collective evidence from the past decade demonstrated that vasodilating stress CMR perfusion imaging is accurate in diagnosing and risk stratifying for CAD in patients with stable chest pain syndromes. Stress CMR perfusion has fewer artifacts, is free from ionizing radiation, and has threefold higher spatial resolution than single-photon emission computed tomography (SPECT) (see Chapter 18 ). Several studies had reported that stress CMR perfusion has excellent accuracy in detecting single or multivessel coronary disease, which is higher than SPECT ( Fig. 19.1 and ). The physiologic significance of stress CMR complements sensitive assessment of coronary atherosclerosis by calcium scoring (see Chapter 20 ). Annualized cardiac event rates in patients with stable chest pain syndromes who had a negative stress CMR are consistently low across numerous single and multicenter studies. In a recent multicenter registry study of 2349 patients, patients with a negative stress CMR experienced cardiac events in 0.6% annually during 5 years of follow-up ( Fig. 19.2 ). The use of stress CMR in this setting had been found to be cost-effective. Quantitative stress CMR perfusion using automated algorithms is becoming the standard of care in some experienced CMR centers, with its potential advantages over qualitative methods in minimizing reader’s bias, assessing microvascular coronary disease ( Fig. 19.3 ), and improving diagnostic accuracy especially in cases of possible multivessel coronary artery disease (CAD) ( Fig. 19.4 and ) and prognosticating of adverse cardiac events. Multiple clinical studies and a meta-analysis had demonstrated excellent correlation of stress CMR perfusion against invasive measurement of fractional flow reserve (FFR), showcasing its high accuracy in determining the physiologic significance of coronary stenosis. In a recent randomized trial of patients with stable angina, a stress CMR strategy led to a lower incidence of coronary revascularization than invasive FFR but was noninferior in cardiac outcomes. Dobutamine stress CMR captures change in both regional cine function and perfusion. It is less often used than vasodilating stress CMR perfusion imaging as it is often reserved for patients who have a contraindication to receiving vasodilating stress infusion but nonetheless demonstrated excellent sensitivity and specificity in detecting CAD regardless of the presence of underlying resting wall motion abnormality. Multiple clinical studies have shown that dobutamine cine CMR provides strong prognostic value in risk assessment of patients. In a few specialized centers, stress CMR with exercise treadmill stress has shown promising results.

FIGURE 19.1, Stress CMR assessment of myocardial ischemia. A, Stress CMR perfusion ( left ) in a patient with intermittent chest pain shows severe hypoperfusion in the basal to mid septum (yellow arrows) and the inferolateral wall (white arrow). These defects appear reversible as no significant perfusion defect is seen at rest ( middle ), and the myocardium appears viable without LGE ( right ). B, Coronary angiography demonstrates severe proximal left anterior descending stenosis and moderate left circumflex stenosis. Video 19.1 displays the full imaging datasets.

FIGURE 19.2, Stress CMR and cardiac outcome. Cumulative incidence function for the primary outcome of cardiac death or nonfatal MI in a multicenter cohort of 2349 patients presenting with stable chest pain syndromes. Patients with no ischemia (by qualitative CMR perfusion analysis) and no LGE evidence of infarction had very low incidence of primary outcome during study follow-up.

FIGURE 19.3, Microvascular coronary disease. Adenosine CMR perfusion exam in a woman with diabetes mellitus, hypertension, exertional chest discomfort, and normal coronary arteriogram reveals a diffuse subendocardial defect, prominent at the basal and mid-levels, best seen on quantitative perfusion maps. Myocardial blood flow quantification demonstrates a gradient across the myocardial wall with flow values lower in the subendocardium than the epicardium, consistent with small vessel ischemia.

FIGURE 19.4, Quantitative CMR perfusion mapping in multivessel CAD. A, First-pass adenosine stress perfusion image (left) and corresponding quantitative myocardial perfusion map (right) in a patient with angiographically confirmed unbalanced three-vessel CAD (B). Visual analysis suggested discrete stress perfusion defects whereas perfusion maps show more extensive global ischemia consistent with three vessel disease (C). See Video 19.2 .

CMR Assessment of Myocardial Viability and Benefit from Coronary Revascularization

CMR offers multicomponent assessment of structure and physiology to inform about myocardial viability (see Chapter 36 ). A combined criteria of end-diastolic wall thickness of >5.5 mm and cine systolic wall thickening of >2 mm has sensitivity and specificity between 85% and 90% in the prediction of segmental contractile recovery after revascularization. In addition, the transmural extent of myocardial scar detected by LGE imaging accurately depicts a progressive stepwise decrease in functional recovery despite successful coronary revascularization, especially robust in myocardial regions of akinesia or dyskinesia. LGE is easy to perform and interpret, and a 50% transmurality cutoff is sensitive in detecting segmental contractile recovery. On the other hand, low-dose dobutamine cine imaging can provide a physiologic assessment of the mid-myocardial and subepicardial contractile reserve and may be useful when tissue edema is prominent (e.g., early after an acute coronary syndrome), making infarct transmurality assessment challenging.

Assessing Acute Coronary Syndromes

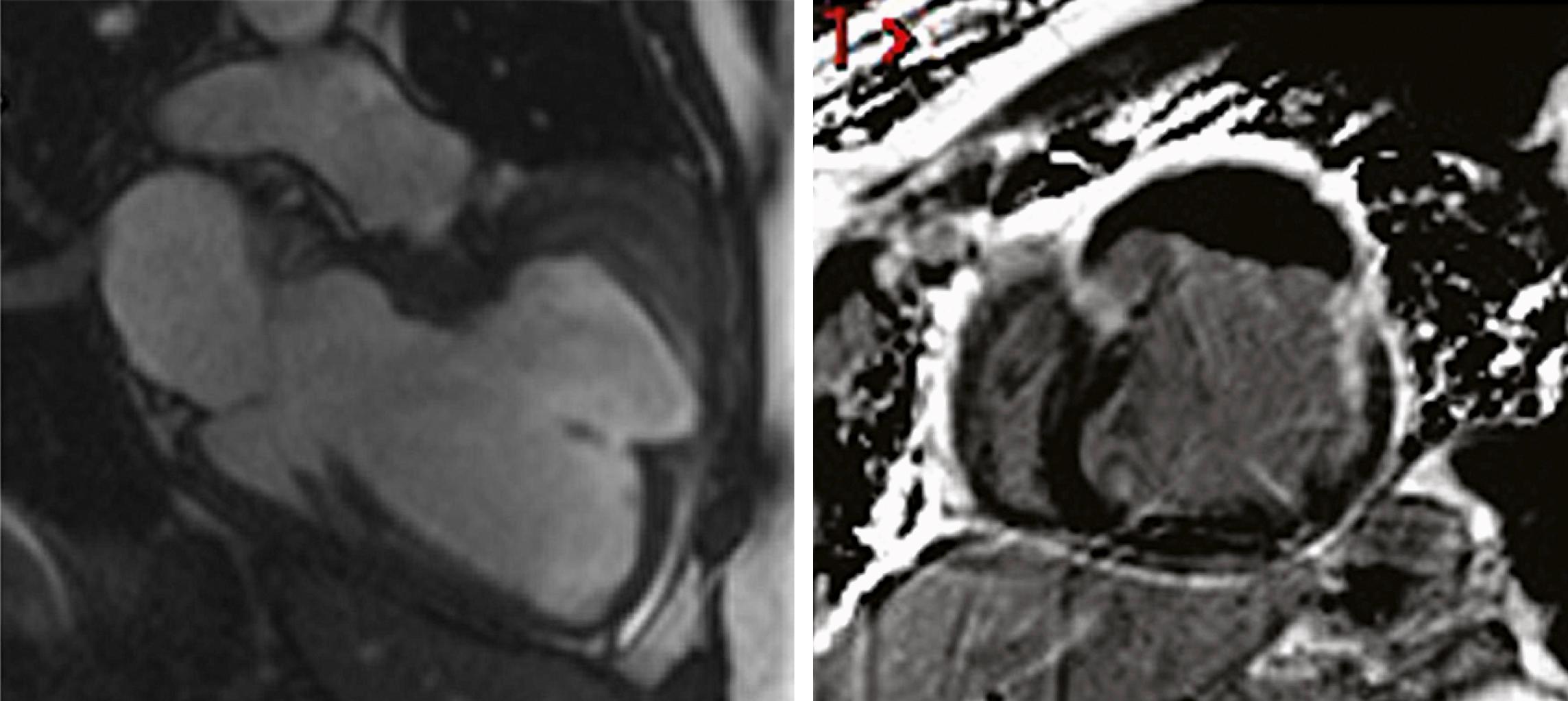
In a single session, MR assesses the spectrum of myocardial changes from an acute coronary syndrome using cine cardiac structure and function, myocardial perfusion, LGE imaging of infarction, and T1- or T2-weighted or mapping of myocardial edema or other tissue characteristics. At a spatial resolution of 1.5 to 2 mm and a high contrast-to-noise ratio, CMR LGE imaging is at present the most sensitive and accurate imaging method in detecting subendocardial infarction and quantifying infarct size, respectively. CMR is not indicated as a routine first-line imaging after an acute MI, but it is useful in assessing the most common issues after an acute MI, including addressing the perfusion status of MI or the extent of noninfarct salvageable myocardium, or complications such as formation of aneurysm, intracavitary thrombus, microvascular obstruction ( Fig. 19.5 ), pericarditis, or ventricular septal defect ( Fig. 19.6 ). In patients with an acute reperfused MI, regions of ischemic area-at-risk, microvascular obstruction (no-reflow), and intramyocardial hemorrhage can be quantified by T1 or T2 mapping, LGE, and T2∗ mapping, respectively. Dark-blood LGE imaging improves the detection of subendocardial infarction by enhanced discrimination of the infarct-blood border ( Fig. 19.7 ). In a small randomized clinical trial of patients with acute non-ST elevation MI, CMR in conjunction with coronary computed tomographic angiography (CTA) as a combined first-line approach reduced the utilization of invasive angiography without adversely affecting outcome when compared with routine care. CMR is the noninvasive gold standard for infarct size and microvascular obstruction. Not only do these CMR measurements contribute to long-term prognosis after MI, but they allow identification of potential benefits associated with new cardioprotective strategies both in experimental and clinical trials. In patients presenting with a ST-segment elevation myocardial infarction (STEMI) after a primary percutaneous coronary intervention (PCI), CMR has also shown moderate-good agreement with invasive FFR assessment of the significance of nonculprit coronary lesions.

FIGURE 19.5, Microvascular obstruction. Left, Short-axis T2∗-weighted image from a porcine model of reperfused MI demonstrating intramyocardial hemorrhage in the anteroseptum. Right, Short-axis phase-sensitive inversion recovery LGE image in the same animal demonstrating transmural LGE with a mid-wall region of intramyocardial hemorrhage.

FIGURE 19.6, Ventricular pseudoaneurysm. Left, A two-chamber long-axis SSFP cine image at end-diastole in a patient 5 years after anterior MI demonstrating a chronic anterior pseudoaneurysm. Note the narrowed neck of the pseudoaneurysm. Right, Short-axis phase-sensitive inversion recovery LGE image from the same patient demonstrating enhancement of the fibrous outer layer of the pseudoaneurysm, which is lined with thrombus, which appears black.

FIGURE 19.7, Dark-blood LGE. Dark-blood LGE imaging increases the contrast between endocardial infarction and blood pool, which allows better delineation of the subendocardial infarct border and increased sensitivity in infarct detection.

CMR is effective in diagnosing and guiding the management of acute chest pain syndromes. In a randomized study of acute chest pain patients with elevated troponins, a combined CMR and coronary CTA strategy imaging for infarction, myocardial salvage, and coronary stenosis resulted in more efficient utilization of invasive coronary angiography. In a cohort of 388 patients with acute elevation of serum troponins but with nonobstructive coronary arteries, CMR identified the causes for abnormal troponins in approximately three-fourths of patients as myocarditis, acute MI, or other cardiomyopathies. The remaining one-fourth with no abnormality on CMR had a favorable prognosis. In a recent study of 229 patients with elevated troponins and nonobstructed coronary arteries, the use of a new 3D free-breathing (navigator-prepped) LGE imaging method enabled an in-plane resolution of 1.3 mm in infarct detection and reduced inconclusive diagnosis by 29% ( Fig. 19.8 and ).

FIGURE 19.8, High resolution 3D late gadolinium enhancement. A free-breathing 3D CMR dataset that captures both coronary anatomy (arrow) and an anteroseptal and apical myocardial infarction. Compressed sensing data acquisition and reconstruction were used to shorten the scan time. See Video 19.3 .

Cardiomyopathies

Overall Approach to Undiagnosed Cardiomyopathy

CMR is an invaluable tool for assessing various cardiomyopathies given its multifaceted interrogation of ventricular structure and myocardial physiology in matching arbitrary scan planes. CMR assessment of rest and stress myocardial perfusion, regional function, LGE, and T2-weighted imaging is useful in differentiating causes of cardiomyopathies and providing guidance for management. In the past few years, T1, ECV fraction, and other tissue mapping methods have provided novel diagnostic insights and validated noninvasive estimates of severity of fibrosis or infiltration from various causes of cardiomyopathy. Inclusion of a stress CMR component is complementary to LGE imaging of infarction in ruling out ischemia as a factor in cardiomyopathy. Multiple multinational registries now exist with CMR incorporated to advance the understanding of the interacting roles of genotypes and risks in patients in various forms of genetic cardiomyopathies. The presence, pattern, and extent of LGE continue to demonstrate strong prognostic association with serious ventricular arrhythmias and sudden cardiac death in various types of cardiomyopathies, although specific guidance of ICD therapies is a matter of ongoing research.

You're Reading a Preview

Become a Clinical Tree membership for Full access and enjoy Unlimited articles

Become membership

If you are a member. Log in here