Breast surgery


Anatomy and physiology of the breast

The breast is a modified sweat gland made up of glandular tissue, fibrous supporting tissue and fat. Its purpose is to produce milk, but it also has a significant role in female sexual and personal identity. During puberty in females, development of the adult breast (thelarche) begins under the influence of oestrogen and progesterone. Following initial proliferation of ducts and ductules, lobules form to create the functional unit of the breast, the terminal duct lobular unit. The terminal duct lobular unit and ducts are lined by a single layer of epithelial cells with myoepithelial cells surrounding the lobular units ( Fig. 20.1 ). Ducts drain toward the nipple, with about 12 to 15 openings on the nipple surface. The subareolar ducts are lined by stratified squamous epithelium. During pregnancy, the lobular units proliferate and mature to produce milk due to increased levels of oestrogen, progesterone and oxytocin. Milk is produced on demand in response to prolactin and oxytocin stimulated by suckling. From the mid-30s, the breast undergoes involution with atrophy of the glandular component. The male breast structure is almost identical to that of the female, but it lacks the specialised lobules.

Fig. 20.1, Micrograph of haematoxylin and eosin-stained section of breast tissue showing terminal duct lobular unit leading to the duct. Note the surrounding connective tissue and adjacent fat.

Breast size and shape varies significantly in the female with breasts of under 100 g and well over 2 kg commonly occurring. The breast lies within the superficial fascia of the anterior chest wall. Fascial bands (Cooper ligaments) run from the deep layer of superficial fascia to the skin to support the weight of the breast. The breast lies on the pectoralis major muscle, extending on to the rectus abdominis and serratus anterior, over the second to sixth rib and from the sternal edge medially to the midaxillary line laterally. The breast becomes more ptotic with age, but the extent varies significantly.

The breast receives blood supply from the internal mammary, intercostal and branches of the axillary arteries. The nerve supply is segmental. The skin over the nipple and surrounding areola is pigmented with smooth muscle deep to the skin under the areola. Small skin glands (Montgomery tubercles) are found in the areola.

The primary route of lymphatic drainage from the breast is to the axilla, where about 20 lymph nodes are found ( Fig. 20.2 ). These are described in relation to their position relative to the pectoralis minor muscle, with level 1 nodes lateral to the muscle, level 2 nodes deep to it and level 3 nodes medial to it. A small proportion of the lymphatic drainage of the breast is to the internal mammary nodes and the interpectoral nodes.

Fig. 20.2, Lymph node drainage of the breast and muscles in the axillary area.

Knowledge of the lines of skin tension over the breast is useful for considering incision placement. Transverse incisions generally heal best, but inframammary fold and areolar margin incisions may be more discreet. It is possible to tunnel through breast tissue to leave a more subtle scar, but careful consideration should be given before embarking on this as it does increase difficulty, produce more numbness and complicate identification of the surgical defect if further surgery on the area is required.

Clinical considerations related to development of the breast include accessory nipples (usually in a line between the breast and groin) or accessory breast tissue (most commonly in the axilla), absence of the breast (often associated with absence of pectoralis major [Poland syndrome]) and tuberous breasts where the breast is small with a narrow base and a wide areola. A degree of asymmetry of the breasts is very common. Surgery to correct these issues may be considered. Correction of Poland syndrome and tuberous breasts usually requires multiple operations by an experienced team.

Assessment of the patient with breast symptoms

Patients with breast concerns that cannot be managed adequately in primary care should be referred to a specialist breast clinic. This has traditionally been run by surgeons but is now often multidisciplinary. These clinics can perform a combination of clinical, radiologic and pathologic examinations. Assessment of a breast lump requires triple assessment. It is crucial that clinical assessment is not distracted by radiologic findings. It is insufficient to reassure patients with symptoms that they do not have breast cancer. An explanation of their symptoms is required.

Triple assessment

Triple assessment is the combination of clinical, radiologic and pathologic evaluation of a breast lump. Triple assessment should be used in all patients with a confirmed breast lump or asymmetric localised nodularity and may be relevant in women with other symptoms. Imaging assessment consists of mammography in those aged 40 or over and younger patients with suspicious findings, and ultrasonography for all possible and actual palpable abnormalities and significant radiologic findings requiring further study. Histologic assessment usually involves core biopsy.

This combination of clinical and imaging assessment with core biopsy increases the reliability of determining the cause of an abnormality. It is recommended that all elements of the assessment process are reported on a scale of 1 to 5 with increasing concern of malignancy ( Table 20.1 ). The availability of clinical and radiologic assessment and biopsy at a single clinic visit (‘one-stop’ clinic) is the standard of care for assessing those referred with breast problems.

Table 20.1
Scoring system for triple assessment
The score is preceded by an initial based on the relevant element of the assessment (e.g., E – examination, R – mammography, U – ultrasound, M – MRI, C – cytology, B – biopsy).
1 Normal (or inadequate cytology)
2 Benign (or normal cytology)
3 Suspicious but probably benign
4 Suspicious and probably malignant
5 Malignant

It is important to classify the level of concern independently on clinical examination, imaging and histology. This allows the clinician to determine whether all the components of triple assessment are concordant or not. Results of all patients undergoing biopsy should be discussed in a multidisciplinary meeting to ensure concordance of findings and minimise chances of missing a breast cancer.

Clinical evaluation

A history is taken from the patient of the duration and nature of the presenting symptom. Further specific details can be of value for certain symptoms. The presence and type of past personal or familial breast problems should be noted. General factors such as past medical history, drugs and allergies are important for those in whom surgery is considered. Hormonal risk factors for cancer, such as age of menarche and menopause, parity, age of first birth, breastfeeding, oral contraceptive or hormone replacement therapy use, are traditionally documented and are of epidemiologic interest, but they have no specific value in achieving a diagnosis in an individual case.

Breast examination should be conducted in a good light with the patient stripped to the waist and in the presence of a chaperone. Examination of the male breast is similar with particular attention paid to whether an abnormality is present within the breast tissue or whether the symptomatic area is just normal breast tissue.

Initial examination is by inspection with the patient in the sitting position with hands by their side, paying particular attention to symmetry, nipple inversion, skin changes and any alteration of breast contour. The breast should also be inspected both with arms raised and with the chest wall muscles tensed to show changes in the dynamic setting ( Fig. 20.3 ).

Fig. 20.3, Clinical examination of the breast.

Palpation of the breasts is best performed in the supine position with the head supported and the arms above the head. All the breast tissue is examined. If an abnormality is identified, then it should be assessed for size, contour, texture, skin involvement and any deep fixation. All palpable lesions should be measured, and location and size clearly documented.

If there is a history of nipple discharge, the nipple should be gently squeezed to determine whether discharge is present. Careful note should be taken of whether discharge is emerging from single or multiple ducts, and whether blood is present (either frankly or on dipstick testing).

All women complaining of breast pain or tenderness should be examined for tenderness of the chest wall. With the patient in the sitting position, a hand may be pushed up behind the breast from below with pressure on the chest wall. The patient may also be rolled onto their side, allowing the breast to fall medially, exposing the edge of the pectoral muscle to palpation. With the patient sitting or on their side, pressure can then be placed on the breast tissue alone between the examiner’s two hands to provide a contrast with pressure on the chest wall ( Fig. 20.4 ).

Fig. 20.4, Examination for breast pain.

The axilla is best examined with the patient sitting. The examiner’s ipsilateral arm supports the patient’s arm while the examiner’s contralateral hand is placed high in the axilla on the chest wall and run downward. Normal axillary nodes are palpable in around 25% of the population. The supraclavicular fossa is examined from behind with the patient in a sitting position.

A general examination of the cardiovascular and respiratory systems may be useful in those in whom surgery is being contemplated. If metastatic disease is suspected, then examination for bony tenderness, hepatomegaly and pleural effusion may be valuable. The history and examination findings must be clearly recorded. A standard form is useful for this.

Symptoms

Lump

Concern over a possible breast lump is the commonest reason for referral to a symptomatic breast clinic. More than 90% of all patients who attend such clinics and more than 80% of those referred with a lump will not have breast cancer.

All patients with an apparent abnormality (lump or localised nodularity) require triple assessment. The likely cause of a breast lump varies markedly with age. Fibroadenomas are typically found in the teens and 20s and cysts in the mid to late 40s, with cancer becoming the most common cause of a lump in women over 50 ( Fig. 20.5 ).

Fig. 20.5, Flowchart for the investigation of a breast lump.

Axillary lump

Common causes include lymph nodes, skin cysts and accessory breast tissue. Ultrasound will characterise nodes in most cases. A history of skin problems or recent systemic illness will often explain innocent-looking nodes. If nodes are suspicious, imaging of the breast, survey of the skin in the draining area for lesions, such as melanoma, and examination of other lymph node areas should be performed. Biopsy of concerning nodes is required. A suspicion of lymphoma may require surgical excision to allow full histologic analysis.

Pain

Pain related to the breast is a common cause of referral but an uncommon sign of cancer. If cancer is diagnosed, it is usually an incidental finding and not the cause of the pain. The most common causes of pain in the breast are musculoskeletal chest wall pain and cyclical breast pain. These are usually easily distinguished by history and careful examination. Musculoskeletal pain is by far the most common complaint in the breast clinic. Treatment is often unsatisfactory. Factors provoking the pain should be avoided. A supportive bra, or topical or oral analgesia can be tried, but explanation of the symptoms and reassurance are often helpful. Significant cyclical breast pain is rare and occasionally treated with tamoxifen.

Discharge

Nipple discharge accounts for 5% of all symptomatic breast clinic referrals and is usually innocent ( Figs. 20.6, 20.7 and 20.8 ). Important elements of the history are the nature of the discharge, whether the discharge is spontaneous or provoked, whether it is troublesome and any medications being taken. Examination and appropriate imaging are required. Palpable or radiographic abnormalities must be addressed on their own merits ( Fig. 20.6 ).

Fig. 20.6, Single duct serous blood-stained nipple discharge.

Fig. 20.7, Physiologic multiple duct discharge with a range of colours.

Fig. 20.8, Flowchart for the investigation and management of nipple discharge.

Most patients with multiple duct discharge have so-called physiologic nipple discharge or duct ectasia (a normal aging change). Features of nipple discharge that raise suspicion of an underlying malignancy include discharge that is copious in amount (regularly stains clothes), is persistent, blood-stained or contains moderate or large amounts of blood on dipstick testing and emerges from a single duct. The older the patient, the more the concern, but malignant changes can be seen in all ages of women with discharge. The majority of patients with troublesome, single-duct, blood-stained nipple discharge has benign causes, the most common being intraduct papilloma and duct ectasia.

True galactorrhoea, a copious bilateral milky discharge not associated with pregnancy or breastfeeding, is rare and usually drug-induced. In galactorrhoea with no obvious cause, prolactin levels should be checked, and if pathologically raised, scanning of the pituitary for a prolactin-secreting tumour should be considered.

Duct excision is recommended for definitive diagnosis in all women with significant discharge. This involves a short incision at the areolar margin, division of the ducts just behind the skin at the back of the nipple and excision of the underlying ducts for 2 to 3 cm into the breast. Note should be taken of any serous or blood-stained discharge into the cavity on division of the proximal ducts. Any such concerning discharge from the divided proximal ducts should be pursued by further excision of the affected area to ensure more proximal lesions are not missed. In women wishing to breastfeed further children, excision of the affected duct alone (microdochectomy) can be considered. The affected duct can sometimes be identified by cannulation with a probe prior to the incision. This technique minimises damage to other ducts, but as duct ectasia is a common cause and affects all ducts, recurrence may occur potentially requiring repeat surgery, which has a higher rate of wound problems.

Nipple retraction

Benign nipple retraction is common ( Fig. 20.9 ) and has a characteristic symmetric appearance with a central horizontal slit. In such patients, the nipple can usually be manipulated by tension on the areolar margin to evert it. Malignant nipple inversion is often eccentric rather than central; the nipple cannot be manually everted and is usually seen in association with other signs of malignancy ( Fig. 20.10 ). Patients with benign nipple inversion can be reassured. It is often still possible to breastfeed normally with an inverted nipple. Surgical correction of nipple inversion is discouraged as it often recurs.

Fig. 20.9, Benign nipple retraction with horizontal folded in appearance.

Fig. 20.10, Malignant nipple retraction.

Change in breast shape

A degree of breast asymmetry is normal, but significant asymmetry following breast development may require plastic surgical techniques to correct. Changes in breast contour are uncommon but are not infrequently associated with underlying malignancy due to distortion of the connective tissue framework of the breast by the cancer ( Fig. 20.11 ). Fat necrosis following trauma (including surgical trauma) may give rise to skin dimpling and lumps. Mondor syndrome, due to thrombosis of dermal vessels, can result in linear dimpling and may be palpable ( Fig. 20.12 ). Atrophy of the breast with age can also lead to irregularities of breast contour. Careful clinical assessment and imaging with a high degree of underlying suspicion is recommended.

Fig. 20.11, Malignant skin dimpling due to an underlying breast cancer.

Fig. 20.12, Linear skin dimpling from Mondor disease.

Skin changes

The skin of the breast is susceptible to the full range of dermatologic conditions including eczema, naevi and epidermal inclusion cysts. Subcutaneous lipomas may be seen. Skin cancers may also occur on the breast.

Paget disease of the nipple arises when cells of malignant appearance spread to involve the epithelium of the nipple skin resulting in a red, scaling appearance which can sometimes be difficult to differentiate from eczema ( Fig. 20.13 ). Paget disease always involves the nipple but may also spread beyond the nipple to involve the surrounding areola. Eczema starts on the areola and usually spares the nipple itself. If there is concern that Paget disease is present, a punch biopsy or a core biopsy including nipple skin should be performed under local anaesthetic in the outpatient clinic. If Paget disease is confirmed, further investigation is required to determine whether underlying ductal carcinoma in situ (DCIS) or invasive malignancy is present. Paget disease together with any associated underlying disease requires surgical excision with a margin.

Fig. 20.13, Paget disease of the nipple.

Breast cancer can directly invade the skin of the breast or nipple resulting in a hard pink lump or ulceration. Metastatic tumour nodules within the skin but distant from the primary breast cancer may also be seen. Blockage of skin lymphatics by breast cancer cells results in breast oedema producing a peau d’orange appearance ( Fig. 20.14 ). This can also be seen due to previous breast cancer treatment. Erythema is a feature of so-called inflammatory cancer.

Fig. 20.14, Peau d’orange due to skin oedema and inflammation of the breast with an inflammatory breast cancer.

Gynaecomastia

Gynaecomastia is due to hyperplasia of the glandular tissue of the male breast. It is common, particularly in newborns, teenage boys and old men when it is caused by physiologic hormonal changes. It can be a source of embarrassment. Care should be taken to differentiate it from pseudogynaecomastia due to accumulation of fat in the breast area without glandular development.

Gynaecomastia is caused by a relative imbalance of androgen and oestrogen ( Table 20.2 ) and is thus a manifestation of a systemic issue rather than a specific breast problem. Assessment must therefore address potential systemic causes as well as ensuring that there is no local problem with the breast tissue. Breast lumps must be investigated as such. Lumps not involving the breast tissue, such as lipomas, are also not uncommon in men.

Table 20.2
Pathologic causes of gynaecomastia
Decreased androgens
Chromosomal abnormalities – e.g., Klinefelter syndrome
Testicular failure – cryptorchism, torsion, orchitis, previous orchidectomy
Renal failure
Androgen resistance – testicular feminisation
Increased oestrogens
Increased secretion - testicular tumours, lung cancer
Increased aromatisation – liver disease, obesity, adrenal disease, hyperthyroidism

The aetiology of gynaecomastia can often be determined from the history. Enquiries should focus on factors associated with the condition such as liver disease, testicular problems and drugs ( Table 20.3 ). The impact of the gynaecomastia on the patient is worth exploring. Some men are not concerned and therefore may require no intervention; others become haunted by it and are desperate for treatment.

Table 20.3
Drugs associated with gynaecomastia
Hormones – anabolics, androgens, antiandrogens, oestrogenic agents
Recreational drugs – alcohol, cannabis, heroin, methadone, amphetamines
Cardiovascular drugs – digoxin, spironolactone, ACE inhibitors, amiodarone, calcium channel blockers
Antiulcer drugs – H2 receptor blockers, proton pump inhibitors
Antibiotics – ketoconazole, metronidazole, minocycline, antiretrovirals
Psychoactive agents – tricyclics, diazepam, phenothiazines
Others – domperidone, metoclopramide, penicillamine, phenytoin, theophylline, allopurinol

Examination should include a general examination (for signs of liver/hormonal problems) and examination of breast tissue, axillary lymph nodes and testes. Feeling testicular tumours is rare, but atrophic or even an absent testicle may be noted, limiting the need for further investigation. The extent of gynaecomastia is very variable.

In those aged between 18 and 60 without an obvious cause from the history and examination as well as significant enlargement of breast tissue (not just fat), it may be worth considering blood tests for urea and electrolytes, liver function tests, luteinising hormone, follicle stimulating hormone, testosterone, prolactin, alpha-fetoprotein and beta human chorionic gonadotrophin.

Mammograms are recommended in those aged 40 or over. Ultrasound is recommended if a discrete lesion is present, and imaging may help distinguish fatty swelling from glandular breast tissue. Discrete lesions should undergo core biopsy. Fine-needle aspiration (FNA) cytology is not recommended, as cytologic appearance can be overcalled in gynaecomastia. If issues are identified from the history or examination, further investigation such as testicular ultrasound or chest x-ray may be warranted.

Management is directed at the underlying cause if one is identified ( Fig. 20.15 ). The patient should be reassured of the innocent nature of the condition and the fact that it often resolves spontaneously, although this may take many months. If an endocrine abnormality is identified, the involvement of an endocrinologist may be useful.

Fig. 20.15, Flowchart for the investigation and management of gynaecomastia.

If treatment is justified, danazol, tamoxifen, aromatase inhibitors and clomiphene have been used as medical therapy, although none are specifically licensed for this purpose. For convenience and side effect profile, tamoxifen 10 to 20 mg daily for up to 6 months may be considered as initial treatment.

Surgery is rarely required, and the results of open surgery are often disappointing with a significant risk of a poor cosmetic result. Excision of the breast tissue through an areolar margin incision may be worthwhile if only a small amount of breast tissue is present. Some breast tissue behind the nipple and thick skin flaps should be left to minimise the risk of a dent corresponding with the excised area. If the underlying cause is still present, breast tissue may regrow. A small amount of excess skin will often remodel, but in those with more breast tissue, excision of skin may be required, possibly requiring repositioning of the nipple with a breast reduction-type approach.

Liposuction, sometimes in association with limited surgical excision, is increasingly being used to sculpt the tissue over the chest wall to improve the cosmetic outcome from surgery for gynaecomastia.

Radiologic assessment

Mammography

X-ray mammography requires compression of the breast between two plates and can be uncomfortable. Two views (oblique and craniocaudal) of each breast are taken. Mammography uses ionising radiation and therefore should only be used where there is likely to be clinical benefit. Film-screen mammography has now been replaced by digital mammography ( Fig. 20.16 ). Images are viewed on high-resolution monitors and can be manipulated to aid reporting, stored easily and transferred electronically between units. The sensitivity of mammography for breast cancer is age-dependent. The denser the breast, the less effective this method is for detecting abnormalities. Breast density tends to be higher in younger women, so mammograms are not generally performed in those under 40.

Fig. 20.16, Medial lateral oblique and craniocaudal mammograms showing an irregular dense lesion due to breast cancer. A couple of small, well-defined, normal intramammary lymph nodes are also visible.

Mammography is the basis of stereotactic breast biopsy and localisation, where two images of an area of the breast taken at different angles are used to target impalpable lesions that are not clearly visible on ultrasound such as calcifications.

Breast tomosynthesis is a mammographic technique in which multiple low-dose images are acquired across the breast to help assess the presence, absence and nature of lesions within dense breasts. Contrast-enhanced mammography involving the use of an iodinated contrast and multiple images is also being trialled to improve accuracy of mammography.

Ultrasound

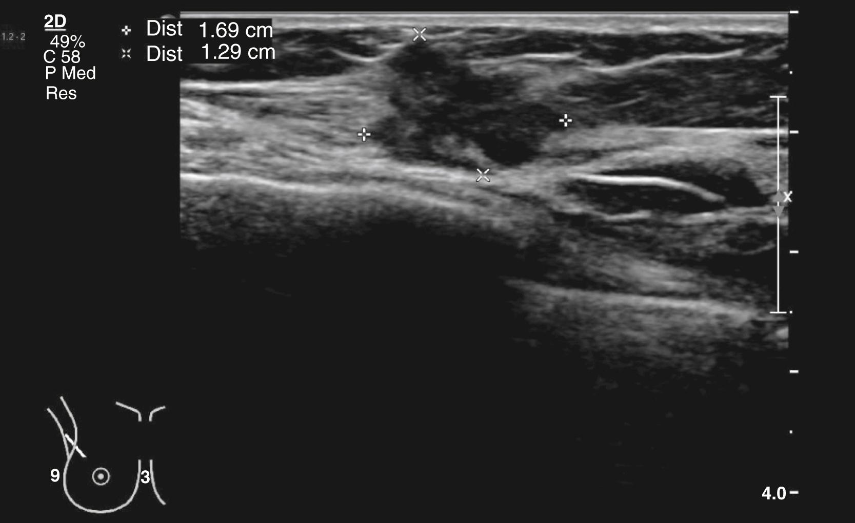
High-frequency (≥10 MHz) ultrasound is the primary technique for the further investigation of focal symptomatic breast problems at all ages but is less useful for assessing the whole breast ( Fig. 20.17 ). It does not involve ionising radiation and is safe, painless and quick to perform but does require specific expertise. Under 40 years of age, it is usually the only imaging technique required. Over 40, it is usually used in conjunction with mammography if an abnormality is suspected. Ultrasound is used for guiding biopsy of both palpable and impalpable breast lesions visible on scanning. Ultrasound is also used routinely to assess the axilla in women with breast cancer. Axillary nodes that show abnormal morphology can be sampled accurately by ultrasound-guided FNA or core biopsy.

Fig. 20.17, Ultrasound scan of a dense irregular lesion due to a breast cancer.

Magnetic Resonance Imaging (MRI)

MRI of the breast is increasingly being used. Its main roles are as a problem-solving tool in those with a known breast issue and as a screening tool for younger women with a significant family history of breast cancer. Patients are scanned prone with the use of intravenous contrast. It is very sensitive for the detection of breast cancer but lacks specificity. Guidelines recommend selective use of MRI for those patients (often with dense breasts or lobular breast cancer) in whom there is doubt regarding the size of the lesion. It is also useful for looking at breast implants and areas of scarring following previous breast surgery that can be difficult to assess ( EBM 20.1 ).

Cho N, et al. JAMA Oncol . 2017;3:1495–1502.
EBM 20.1
Screening for breast cancer by MRI

‘After breast conservation therapy in women 50 years or younger, the addition of MRI to annual mammography screening improves detection of early-stage but biologically aggressive breast cancers at acceptable specificity.’

Diagnostic biopsy

Biopsies are now largely taken with spring-loaded core biopsy needle, usually under image guidance and under local anaesthetic in the clinic ( Fig. 20.18 ). Cylinders of breast tissue of a few millimetres in diameter are obtained and assessed histologically. FNA cytology is now much more rarely used, as it does not provide a histologic context for the lesion but may have a role in assessing suspicious nodes in the presence of a breast cancer if access for core biopsy is difficult. Punch biopsy is used for skin lesions, including where Paget disease of the nipple is suspected. Open biopsy is now reserved for rare lesions where suspicion remains after inconclusive conventional investigation.

Fig. 20.18, Core biopsy being performed.

Image-guided intervention

Mammography and ultrasound are commonly used to guide diagnostic biopsy of impalpable abnormalities. Lesions, such as papillomas and radial scars with a low risk of associated malignancy that previously required open surgery to confirm their nature, are being managed increasingly by large-volume vacuum excision, where multiple samples are taken from the area in a systematic manner under local anaesthetic. Vacuum biopsy is increasingly used to assess areas of calcification.

For impalpable cancers and DCIS, the lesion can be localised by a marker or wire placed in or bracketing the affected area. Wires can be followed to find the area, and a variety of markers that are detectable from the outside are also available to guide excision at surgery.

Benign breast conditions

Benign breast conditions are very common and can cause significant morbidity and anxiety, so it is important that practitioners are able to provide full explanation to patients to reduce anxiety and the risk of rereferral.

Aberrations of normal development and involution

Most benign issues of the breast fit into a pattern related to age and phases of development of the breast. They are also sufficiently common that they are regarded as variations of normality rather than abnormalities ( Table 20.4 ). This provides a framework for their understanding.

Table 20.4
Aberrations of normal development and involution (ANDI)
Age Stage of breast Associated aberration
<25 Development Juvenile hypertrophy, fibroadenoma
25–40 Cyclical activity Cyclical mastalgia, cyclical nodularity
35–55 Involution Cysts, sclerosing lesions, duct ectasia

You're Reading a Preview

Become a Clinical Tree membership for Full access and enjoy Unlimited articles

Become membership

If you are a member. Log in here