Breast Cancer Screening


The aim of screening is to improve survival by early detection of disease. Detection of early-stage disease in asymptomatic patients has the potential to improve outcomes by providing more effective treatment. Screening tests are not considered diagnostic, but rather identify a subset of the population that should undergo additional diagnostic tests to determine the presence or absence of disease.

For a screening program to be effective, it needs to be directed to a target population at risk of developing the disease, the screening test needs to be affordable and applicable to the majority of the target population, and the test should have high sensitivity and specificity. Criteria for screening were established by the World Health Organization and are summarized in Box 12.1 .

Box 12.1
Synthesis of Emerging Screening Criteria Proposed Over the Past 40 Years
From Andermann A, Blancquaert I, Beauchamp S, Déry V. Revisiting Wilson and Jungner in the genomic age: a review of screening criteria over the past 40 years. Bull World Health Organ . 2008;86(4):317–319.

  • The screening program should respond to a recognized need.

  • The objectives of screening should be defined at the outset.

  • There should be a defined target population.

  • There should be scientific evidence of screening program effectiveness.

  • The program should integrate education, testing, clinical services, and program management.

  • There should be quality assurance, with mechanisms to minimize potential risks of screening.

  • The program should ensure informed choice, confidentiality, and respect for autonomy.

  • The program should promote equity and access to screening for the entire target population.

  • Program evaluation should be planned from the outset.

  • The overall benefits of screening should outweigh the harm.

Screening mammography for early detection of breast cancer fulfills these criteria, with breast cancer being the most prevalent noncutaneous cancer to affect women throughout the Western world and a defined target population that includes women (although the age range for inclusion in the screening program is debatable, as discussed later). Screening mammography has been found by numerous randomized clinical trials to be effective in reducing breast cancer mortality, and it is implemented widely in many countries throughout the world.

In addition to improving overall survival, early diagnosis of breast cancer through screening has the potential to lower treatment-related costs, as determined by cost-effectiveness analyses.

The main disadvantages of breast cancer screening are overdiagnosis and overtreatment, false-positive findings, which result in additional workup, and false-negative results, which provide a false sense of security.

Overdiagnosis and, as a result, overtreatment of lesions of unknown effect on future morbidity and survival, such as low or intermediate grade ductal carcinoma in situ (DCIS), or even small invasive cancers, are a well-recognized effect of screening for breast cancer. Kalager and colleagues reported in 2012, based on the Norwegian screening program, that an estimated 15% to 25% of newly diagnosed breast cancer patients had disease that would have never become apparent during their lifetime or posed any health risk. Obviously these are calculated estimations, as there is no way of ascertaining such data short of withholding treatment. Overdiagnosis leads to overtreatment, which implies delivering treatments such as surgery, adjuvant chemotherapy, radiation, and/or hormonal therapy to patients whose cancer would never have posed any risk or become clinically apparent.

Modern research in breast cancer screening is aimed at improving the performance of the screening tests and minimizing the less desirable consequences. This can be achieved by improving the sensitivity and specificity of available modalities by technical means (e.g., tomosynthesis), utilizing artificial intelligence (AI) and deep learning techniques to improve overall performance, and adjusting the screening regimen according to individual risk level, as in personalized screening.

History of Breast Cancer Screening

Dr. Albert Salomon, a surgeon, was the first to publish on the use of x-rays to image breast tissue at the beginning of the 20th century. He used x-ray technology to image mastectomy specimens. In the 1930s radiologists (Warren, Gershon-Cohen) first published on the use of x-ray to image the intact breast. Subsequently, Gershon-Cohen introduced the concept of mammography for screening asymptomatic women. The technology was further improved by Egan, and a multicenter study examining the reproducibility of this new technology in women planned for a biopsy (diagnostic mammography) was published by Clark in 1965. In this study the limited accuracy of mammography when the tissue was dense was noted.

The advances in breast imaging coincided with disappointment from the results of surgery and radiation therapy for treating breast cancer and increased the interest in early diagnosis of the disease. New initiatives included breast cancer awareness, breast self-examination, clinical breast examination (CBE), and screening mammography. These initiatives paved the way for several randomized controlled trials examining the efficacy of screening mammography. These are discussed in the section on mammography screening trials.

Principles of Mammography

Mammography is a dedicated imaging modality that uses low-energy x-rays to obtain two standardized views of each breast for the purpose of breast cancer screening: mediolateral oblique (MLO) and cranio-caudal (CC). The breast is positioned and stabilized between compression parallel plate paddles in order to prevent motion blurring, to minimize radiation dose, and spread overlapping tissues ( Fig. 12.1 ).

Fig. 12.1, (A) Acquisition of cranio-caudal, and (B) mediolateral oblique views of the right breast.

Screening mammography is performed as a routine test for asymptomatic patients. Diagnostic mammography is tailored to a specific indication, such as a recall from screening mammography or evaluation of a clinical abnormality.

Screen Film Mammography (SFM)

SFM is a mammography study where the images are displayed on films. SFM was the technology that was used in the fundamental randomized control trials, establishing the scientific ground for mammography screening.

Digital Mammography (DM)

DM, or full field digital mammography (FFDM), is based on x-rays from a stationary tube that are converted by a digital detector into electrical signals used to produce digital images of the breasts. DM was introduced in the early 2000s and is currently the most widely used technique throughout the world. DM has replaced SFM in most Western breast cancer screening programs and was found to be more accurate than SFM, especially in women younger than 50 years and in women with dense breast tissue, in addition to the technical advantages of digitalization.

Computed Aided Detection (CAD)

CAD uses software to analyze digital images for abnormal densities, masses, or calcifications that may indicate the presence of cancer. AI and machine learning are used in the newest detection aid software.

Digital Breast Tomosynthesis (DBT) and Synthetic Mammography (SM)

DBT combines a moving x-ray source with a digital detector system that acquires the image data. Low-dose mammography of multiple sections at various angles while the breasts are positioned and compressed in standard planes is completed (the number of images and angles vary in different vendors). Mathematical algorithms, similar to computerized tomography, reconstruct three-dimensional volumetric images of the breasts (3D mammography), which are then sliced into 1-mm sections ( Figs. 12.2 and 12.3 ).

Fig. 12.2, Digital breast tomosynthesis: the x-ray source rotates around the compressed breast, and projection images are formed on the detector. The projection images are then reconstructed into slices.

Fig. 12.3, (A) Digital mammography and (B) tomosynthesis images of an ill-defined mass in the lower part of the right breast. Separating the slices reduces overlapping and improves morphological analysis, due to better contrast of the findings on the background fibroglandular tissue shadow.

SM consists of two-dimensional standard mammographic images reconstructed from DBT data ( Fig. 12.4 ). When DBT and SM are used, the radiation dose is almost equivalent to that of FFDM.

Fig. 12.4, (A) Screen film mammography, (B) digital mammography, (C) C-view, and (D) tomosynthesis images of the right breast, cranio-caudal view.

The main advantage of DBT is that it can reduce the masking effect of the surrounding fibroglandular tissue and summation shadows. Multiple studies have shown that DBT with FFDM or SM increases cancer detection rate and improves sensitivity, with a relative improvement in specificity, as pioneered by Skaane and colleagues in the Oslo Tomosynthesis Screening Trial (OTST) and Houssami and colleagues in the Screening With Tomosynthesis or Standard Mammography trial (STORM).

Breast Imaging Reporting and Data System (BI-RADS)

BI-RADS is a widely accepted risk assessment and quality assurance score developed by the American College of Radiology (ACR) for standardized breast imaging reporting. It applies to all breast imaging modalities: mammography, ultrasound (US), and magnetic resonance imaging (MRI). There are seven assessment categories, each associated with a management recommendation ( Table 12.1 ). BI-RADS category 0 (incomplete) is given when additional imaging evaluation is needed before final assessment can be rendered. Once additional imaging or comparison to prior imaging is accomplished, such cases are assigned a final assessment category. Screening mammograms are mostly assigned either BI-RADS 1 or 2, for normal or benign findings, or 0 to indicate a callback for diagnostic evaluation. Diagnostic mammograms are assigned BI-RADS categories 1 through 6.

Table 12.1
BI-RADS Assessment Categories
Category Management Likelihood of Cancer
0 Need additional imaging or prior studies Need further evaluation—recall for additional imaging or obtain prior studies n/a
1 Negative Routine screening 0%
2 Benign Routine screening 0%
3 Probably benign Short interval follow-up (6 months) ≤2%
4 Suspicious A biopsy should be performed
  • 4a (low) 2%–10%

  • 4b (moderate) 10%–50%

  • 4c (high) 50%–95%

5 Highly suggestive of malignancy A biopsy should be performed ≥95%
6 Known biopsy proven malignancy Surgical excision when clinically appropriate n/a
BI-RADS , Breast Imaging Reporting and Data System.

Screening Mammography Report

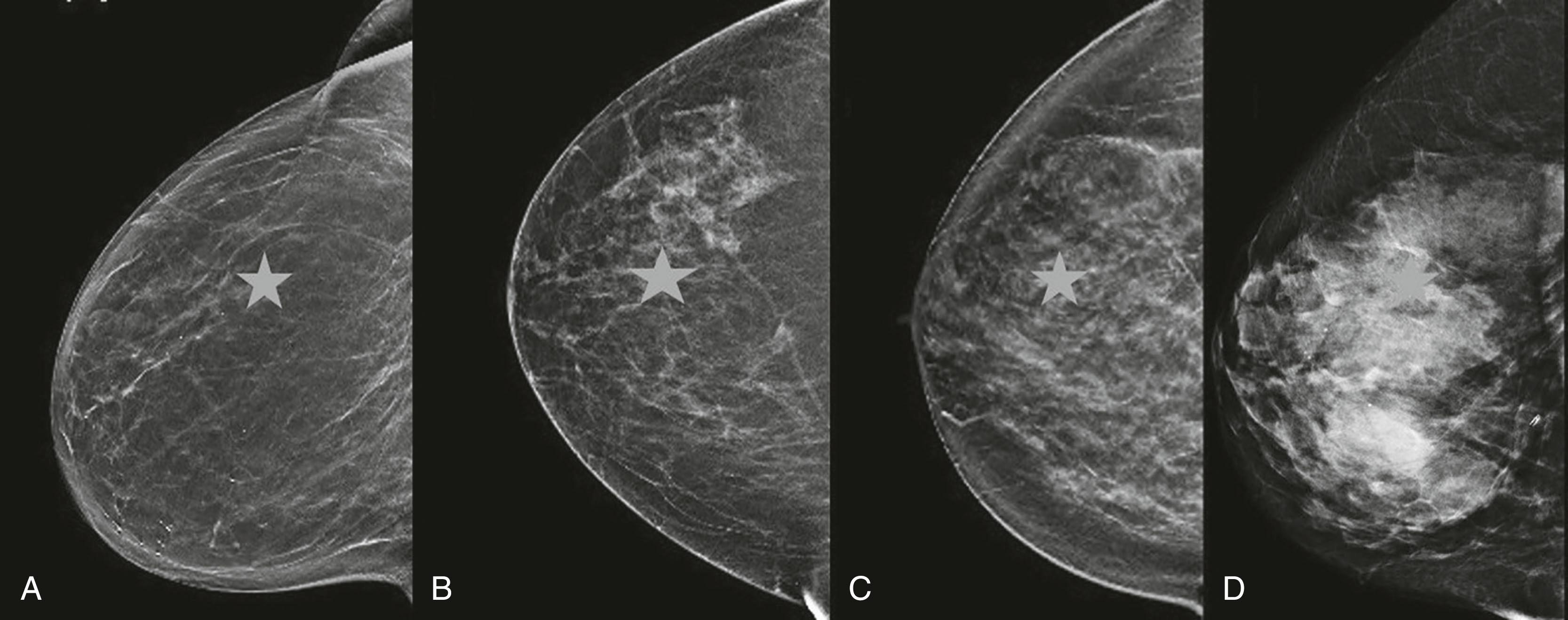
The report starts with an overall assessment of breast density that refers to the amount of fibroglandular tissue as compared to the amount of fatty tissue within the breast. High mammographic density both reduces diagnostic accuracy of screening mammography due to tumors masked by overlaying breast tissue and is an independent risk factor for breast cancer. Young age, pregnancy, lactation, and hormonal treatment are associated with increased breast density. There are four descriptors for breast density in the BI-RADS lexicon, with progressively decreased mammographic sensitivity for cancer detection: (1) fatty, (2) scattered areas of fibroglandular density, (3) heterogeneously dense, which may obscure small masses, and (4) extremely dense, which lowers the sensitivity of mammography ( Fig. 12.5 ).

Fig. 12.5, Fibroglandular tissue density categories: (A) fatty, (B) scattered areas of fibroglandular density, (C) heterogeneously dense, and (D) extremely dense. A star shape simulating a suspicious lesion is almost entirely obscured in dense breast.

Abnormal Mammographic Findings

Masses, calcifications, architectural distortions, and asymmetries that are found on screening should be recalled for further evaluation.

Masses

A breast mass is a 3D, space-occupying lesion seen on two mammographic projections. BI-RADS descriptors are used for categorizing masses according to the likelihood of malignancy. Benign characteristics include round and oval shapes, circumscribed margins, and low-density or fat-containing masses.

Benign masses

Cysts are typically oval or round, with a distinct border and low density. US will confirm the presence of a fluid-filled simple cyst ( Fig. 12.6 ).

Fig. 12.6, (A) Tomosynthesis mediolateral oblique view demonstrating multiple round masses, most likely benign. (B) Ultrasound image of the same patient demonstrating simple cysts.

Fibroadenomas are also round or oval, with sharp borders. Unlike cysts, fibroadenomas are solid benign tumors, and sometimes a core biopsy is necessary to establish the diagnosis. Coarse, “popcorn-like” calcifications on mammography are typical of mature fibroademonas ( Fig. 12.7 ).

Fig. 12.7, Coarse, “popcorn-like” calcifications typical of a mature fibroademona.

Intramammary lymph nodes have a typical reniform shape and central radiolucency representing the fatty hilum ( Fig. 12.8 ).

Fig. 12.8, Intramammaric lymph node as seen on mammography, the mediolateral oblique view of the left breast. Notice the fatty central hilum.

Additional common benign masses seen on mammograms include oil cysts, lipomas, galactoceles, and hamartomas. Multiple bilateral well-circumscribed masses detected on screening mammography most likely represent simple cysts or fibroadenomas, and therefore are almost invariably benign, BI-RADS 2.

Suspicious findings

Suspicious findings on mammography include an irregular shape, microlobulated contour, indistinct and spiculated margins, and high-density masses. Microcalcifications, skin thickening, and retraction or nipple retraction are additional suspicious findings.

Carcinomas

You're Reading a Preview

Become a Clinical Tree membership for Full access and enjoy Unlimited articles

Become membership

If you are a member. Log in here