Impaction Bone Grafting

Leo A. Whiteside, MD

Chapter Preview

Chapter Synopsis

Repair and reconstruction of a failed total knee arthroplasty (TKA) should begin with a plan that includes conservative treatment of the bone and soft tissues, restoration of bone stock with autologous bone reamings and morselized allograft, and selection of uncemented implants that will stabilize the knee and support bone reconstitution and soft tissue healing. Failed TKA almost always is accompanied by bone loss and pathologic changes to the ligaments and quadriceps mechanism, but this degeneration need not condemn a functional joint. This chapter presents the surgical technique for joint reconstruction, from exposure to closure, and offers a detailed rationale for each step of bone preparation, implant selection and fixation, and bone grafting technique. A clinical series also is presented.

Important Points

  • The most conservative method of managing bone defects in revision TKA is to conserve bone stock and soft tissue attachments, to fix the implants rigidly to bone using a diaphyseal-engaging stem and rim contact with the articular implant, and to fill the resulting defects with cancellous bone.

  • Exposure can damage soft tissue attachments, so tibial tubercle osteotomy often is the most conservative method to achieve effective exposure of the knee and adjacent structures.

  • Minimal resection of bone at the ends of the femur and tibia allows the implants to “close the gap” between the bone surfaces and allows moderately sized implants to achieve stability.

  • Stem fixation with a coarsely grit-blasted or porous-coated stem fixed rigidly in the medullary canal of the metaphyseal-diaphyseal junction imparts rigidity of fixation to the articular implant that has been abutted to the bone rim.

  • Local bone (resected fragments and medullary reamings) is used to fill metaphyseal defects and is important for healing and ossification of cancellous allograft.

Clinical/Surgical Pearls

  • Expose with a long incision but with minimal soft tissue stripping. Use a tibial tubercle osteotomy for exposure if necessary, so that the metaphyseal bone that supports the implants and sustains the morselized graft will remain strong and viable.

  • Clean the surfaces of the defects down to fresh, bleeding bone, but do not remove any bone from the floor of the defects.

  • Use the hard bone of the metaphyseal rim for axial support, not the central medullary bone of the defect. This is easier and conserves bone more effectively.

  • Pack the cancellous graft material loosely so that it will vascularize and ossify quickly.

Clinical/Surgical Pitfalls

  • Cement is the main pitfall in revision TKA, just as in revision total hip surgery. Do not cement either the stem or the metaphyseal components.

  • Avoid using major structural allograft. When major structure is needed, use porous-coated metal augments rather than the more expensive and fragile allograft material.

  • Do not pack the cancellous graft to use as a primary weight-bearing structure. Instead, rest the implant on the metaphyseal rim and stabilize it with the stem. Pack graft loosely into the resulting defects.

Introduction

Failure of total knee arthroplasty (TKA) almost always is accompanied by bone loss and pathologic changes in the ligaments and quadriceps mechanism. Revision TKA should be designed to reverse this deterioration by reconstructing lost bone stock and managing the bone structures such that the ligament attachments remain intact and the bone structures remain viable to assist with healing and regeneration of bone stock. Even after multiple revision TKA procedures and use of constrained hinges, sufficient bone and soft tissue structures remain to allow stable reconstruction. Techniques that preserve and utilize these intact structures offer the potential to reverse deterioration; even if failure occurs, they improve rather than destroy bone stock and soft tissue structures about the knee and thus avoid destabilizing the knee and compromising the next procedure that may be necessary.

This concept of conserving and reconstructing bone support contrasts with many traditional revision techniques in which the prosthesis is cemented into remaining bone stock—a technique that has failure rates of 10% to 15% after 5 years. Fixing the prosthesis to remaining bone stock with the use of osteointegration techniques, bone graft material, and augments, along with tensioning and adjusting the soft tissue structures, establishes a stable and durable knee while creating an environment that encourages bone regeneration. These principles can replace high-risk and potentially destructive procedures such as use of massive allografts, cemented stems with pressure-injected cement, and fixed hinges that cause additional bone loss and damage to the remaining soft tissue support of the knee.

Surgical Technique

Rationale

Reconstruction of bone stock depends on secure fixation of the prosthesis in the depleted metaphyseal bone stock and remaining intact diaphyseal cortical bone. Several techniques have been described to achieve secure fixation of the implants. Highly porous metal cones currently are popular but require sacrifice of metaphyseal bone to achieve fixation of the cone-shaped structure into the existing metaphyseal architecture. They also rely on cement fixation past the metaphyseal cone and therefore risk all of the bone of the metaphysis and some of the remaining diaphyseal bone stock as well.

A technique that allows the porous augment to seat directly against the existing metaphyseal rim and controls tilting and micromotion offers a technically easy alternative that conserves bone. This “rim and stem” technique does not require contouring and sculpting of the metaphyseal bone stock and compresses the bone stock rather than requiring resection and reaming of the metaphysis. It has the added advantage of preserving the intraosseous blood supply that is so important for metaphyseal bone stock viability and regeneration. Various porous-coated augments are available to position the joint surface and correctly balance the knee in flexion and extension ( Fig. 22A.1 ). Whereas these buildups can provide excellent support for the component, toggle control of the entire implant is gained by the use of a noncemented stem with sharp flutes or a roughened surface to engage the diaphyseal isthmus. This simple but effective rim and stem technique offers a mechanism for anchoring the prosthesis even to severely damaged cancellous and cortical bone about the knee.

FIGURE 22A.1, Lateral view of a revision femoral component with a posterior-offset module for the femoral stem. The anterior femoral flange lies in line with the anterior femoral cortex, and the diaphyseal stem engages the femoral isthmus. The component size has been chosen to restore posterior offset and to cover the medial-to-lateral extent of the distal femoral surfaces. The distal and posterior surfaces are placed approximately equidistant from the epicondylar ligament attachments ( arrows A and B). The posterior offset ( arrow C) has been reestablished to ensure maximum flexion without impingement.

Reports of reconstruction of major bone deficiencies using morselized allograft combined with rim and stem fixation of the prosthesis have been encouraging. Durability of this construct has been excellent, and repeat revision as a result of failed fixation is rare. Use of a nonporous stem in the diaphyseal bone stock depends on reliable bone stock contact medially, laterally, and posteriorly on the femoral component and at least medially and laterally on the tibial component. This rim and stem method of fixation has been shown in biomechanical testing to be highly effective in dealing with major bone deficiency. A stem that engages the diaphysis and a metaphyseal component that rests on a portion of the metaphyseal rim provide excellent resistance to migration. Although this type of fixation usually can be achieved with effective use of metaphyseal augments, occasionally adequate contact of porous metal surface against viable bone cannot be achieved. In these cases, a porous-coated stem is needed to achieve long-term fixation of the implant into reliable bone stock. Whereas fully porous-coated stems are commonplace in revision total hip arthroplasty, their use is not yet extensively reported in revision TKA.

Soft tissue balancing and reconstruction are closely related to the problems of prosthesis fixation and bone reconstruction. Maintaining the soft tissue attachments to the remaining damaged bone structure is a crucial feature for successful revision TKA. When unconstrained implants are used, correct alignment is the first step and is the basis for achieving a balanced, stable knee after TKA. It also is a key factor in minimal resection and fixation of the implants to existing bone stock. Finding reliable landmarks for positioning and alignment of the implants is challenging in revision arthroplasty. In most cases, the medullary canal requires reaming, and as the reamer becomes fixed firmly in the medullary canal of the femur and tibia, it is the most reliable instrument for aligning the femoral and tibial components ( Figs. 22A.2 and 22A.3 ). With basic alignment established and bone remnants (along with their soft tissue attachments) meticulously preserved, the knee is ready to be reconstructed and balanced.

FIGURE 22A.2, Intramedullary alignment of the distal femoral and proximal tibial surface resections. The reamer is aligned with the isthmus of the femoral medullary canal, and a small amount of bone is resected from the distal metaphyseal rim at a 5-degree valgus angle. When one side is severely deficient, the intact rim provides sufficient distal fixation if tight fit in the medullary canal is achieved.

FIGURE 22A.3, The reamer is aligned with the isthmus of the tibial medullary canal, and a small amount of bone is resected from the proximal metaphyseal rim perpendicular to the long axis of the tibia.

Rationale for Morselized Allograft in Bone Defects

Cancellous and cortical bone loss after failure of TKA may be restored and the bone stock improved by block allograft, but the morselized grafting technique obviates the more expensive, prolonged, and complicated preparation of a solid allograft. When compacted, morselized allograft can have considerable structural integrity, but it is most readily vascularized and ossified if it is pushed loosely into the defective area and allowed early protected load bearing. Use of morselized allograft or demineralized bone material was developed in conjunction with diaphyseal stems and metaphyseal augments that allow rigid fixation and adjustment of joint surface position and also allow the graft material to be loaded safely soon after surgery.

The ready availability and clinical success of morselized allograft has led to its increasing use for reconstruction of bone defects. Over the years, a considerable body of knowledge has been produced to define how this material functions. Granulated allograft bone comprising pieces smaller than 0.5 cm often is resorbed and removed by the inflammatory process. Bone pieces that are between 0.5 and 1 cm in diameter are the most effective because they resist resorption and allow rapid vascularization. Larger segments are much more difficult to construct and fit to the defect, and they are slower to ossify and incorporate. Rapid healing and ossification occurs routinely when morselized bone grafting is done with appropriate technique, provided that the implants are stable and the allograft is surrounded by viable bone ( Figs. 22A.4 to 22A.7 ). Although morselized cancellous allograft is osteoconductive rather than osteoinductive, it serves as an effective scaffolding for new bone formation. Demineralized bone added to the morselized allograft provides the osteoinductive stimulus and probably augments healing of failed massive implants in which large defects are encountered. The technique used with morselized allograft is important to the rate and completeness of healing in large defects. Loose (rather than tight) packing improves vascularization and hastens bone formation. Addition of osteoinductive proteins encourages bone formation deep in the graft. Implantation that encourages early load bearing improves bone formation and maturation.

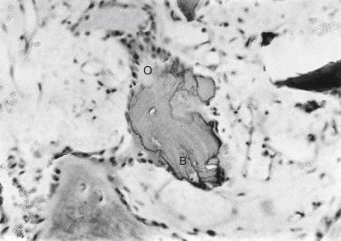
FIGURE 22A.4, Photograph of a histologic section from a 3-week postoperative biopsy specimen. Granules of demineralized bone (B) are visible and are surrounded by plump osteoblasts (O) and new osteoid. Vascular stroma is present throughout the allografted area. No histologic evidence of bone resorption is seen (hematoxylin-eosin stain; original magnification ×160).

FIGURE 22A.5, Photograph of a histologic section from a 3-month postoperative biopsy specimen. Dead trabeculae (T) are still abundant. Osteoclasts (OC) and new osteoid with osteoblasts (OB) are evident adjacent to the allograft. The allografted area contains multiple sites of bone resorption. New osteoid often is found on one surface of a trabecula with osteoclastic resorption on the opposite surface. Osteoblasts at this interval are flatter and less numerous than in the 3-week biopsy specimen (hematoxylin-eosin stain; original magnification ×160).

FIGURE 22A.6, Photograph of a histologic section from a 21-month postoperative biopsy specimen. Mature lamellar bone (LB) and disorganized woven bone (WB) surround the allograft. The bone remodeling rate in the allografted area has decreased significantly. Trabeculae are now completely entombed by LB or WB. Bone remodeling has decreased, and osteoblastic or osteoclastic activity is directed toward new bone, not toward the allograft (hematoxylin-eosin stain; original magnification ×100).

FIGURE 22A.7, Photograph of a histologic section from a 37-month postoperative biopsy specimen. Entombed trabeculae (T) are present throughout the allograft. The visible allograft is completely encased by mature lamellar bone (LB). Bone remodeling continues at normal levels. Few osteoclasts are found, and minimal evidence of osteoblastic activity is seen (hematoxylin-eosin stain; original magnification ×100).

Bone formation appears to begin early, and it progresses slowly through the first 18 to 24 months. Findings from biopsy specimens taken from patients undergoing this treatment program suggest that the graft is fully mature by 3 years after surgery. Most of the bone in the mature grafted areas is a combination of entombed allograft trabeculae and new lamellar bone. This suggests that bone graft healing is similar to the mechanism of fracture callus formation and maturation. When carefully planned and executed, this technique of stabilizing the implants and grafting the defects produces reliable bone to support the implant and to be available in the event that another revision operation is required.

Exposure

Exposure of the knee plays an important role in maintaining soft tissue attachments to the deficient bone of the femur and tibia and avoiding damage of the blood supply to the remaining bone. This is accomplished by avoiding exposure procedures that damage ligamentous attachments to the femoral and tibial metaphysis. If exposure is difficult, the surgeon should not do epicondylar osteotomy, soft tissue stripping from the tibial metaphysis, or transection of the quadriceps mechanism. Instead, patients whose knees cannot be exposed with minimal soft tissue elevation should have tibial tubercle osteotomy combined with splitting of the quadriceps between the vastus intermedius and vastus medialis to achieve the broadest exposure with the least damage to the muscular and ligamentous structures of the knee. This procedure is necessary in 10% to 25% of revisions. In the process of exposing the knee, soft tissue stripping should be minimal. The broad attachment of the medial quadriceps retinaculum and capsular ligaments of the medial tibial flare are left intact, and the epicondylar areas of the femur are left undisturbed so that the soft tissue sleeve around the knee can be tensioned adequately with the spacer effect of the implants. This leaves the bone structures viable and provides the support for regrowth of bone stock and ultimate support of the implants.

Bone Preparation

Once the knee is completely exposed, the failed prostheses are removed using techniques that minimize stripping of soft tissues. The cement and soft tissue membranes are removed down to viable cortical bone. In most patients with repeatedly failed TKA, no cancellous bone remains in the distal femur and upper tibia; however, the cortical rim of the femur at the epicondylar level almost always is present (except in cases of revision of tumor prostheses), and there often is dense cortical-cancellous bone in the central portion of the remaining metaphysis. This bone can serve as a reliable and durable support for the femoral component if the revision system is designed to achieve rigid toggle control with the stem in the medullary canal and augmentation modules on the metaphyseal bone surface to provide rim support distally and posteriorly. The tibial rim often is deficient except for a small remnant, but this remaining rim and the remains of the fibular head can provide adequate axial support of the tibial tray. Careful preservation of metaphyseal bone stock and its blood supply is the key to successful bone reconstruction and the use of morselized allografting technique in revision TKA. It not only will improve bone stock but also will allow reconstruction of the knee without resorting to constrained hinges, because it leaves most ligament attachments intact.

The first step in preparing the bone for fixation is to ream the medullary canals of the femur and tibia. As the reaming is performed, each reamer is cleaned carefully; the bone shavings are removed and preserved and will be used to add osteoinductive stimulus to the morselized cancellous allograft filling the cavitary defects in the bone. Each canal should be reamed carefully with reamers of increasing size until a tight fit is achieved in the diaphysis of each bone. Reaming to a depth of 200 mm usually is necessary to achieve correct alignment. A convenient method to align the sawcuts for the tibial tray is to use the reamer itself as the alignment instrument. Once it is firmly fixed in the medullary canal, the cutting guide is applied over the shaft of the reamer, and the bone surfaces are trimmed, removing minimal amounts of the rim of the femur and tibia (see Figs. 22A.2 and 22A.3 ). This technique of maintaining as much metaphyseal rim as possible ensures maximum preservation of bone stock and soft tissue attachments. Once alignment has been achieved with deep reaming into the isthmus, this channel can be used to accommodate a shorter stem by reaming to greater diameter in a stepwise fashion, following the same track that was made by the deeper reaming process but reaming less deeply.

As the femur is reamed, care is taken to avoid penetration of the anterior cortex. Often the bone is soft, and holding the reamer posteriorly to position the final component relative to the posterior femoral condyles and the anterior femoral cortex can damage the anterior femoral cortex. Therefore, the reamer should be allowed to follow the track of the femur to a depth of 200 mm. This depth can then be used to allow the cutting guide to be applied and the surface of the femur resected at approximately a 5-degree valgus angle. The track in the distal femur can be enlarged at 1-mm increments to prepare for a shorter stem and avoid anterior perforation. In some cases, a small reamer (e.g., size 12 mm or 14 mm) fits correctly in the diaphyseal cortex of the femur but would cause perforation of the anterior cortex if the reamer were tilted posteriorly enough to place the femoral component in its correct anterior-posterior position. In these cases, the femur can be prepared with a larger reamer to accommodate a 100- or 150-mm stem placed at an angle that positions the femoral component correctly with the distal femoral condylar structures; use of the shorter stem avoids penetration of the anterior cortex of the femur. Curved stems are available to avoid anterior femoral penetration, but their curvature dictates the rotational position of the final component and may lead to internal or external rotational malposition of the femoral component, resulting in ligament balancing and patellar tracking problems. A module that displaces the femoral component posteriorly allows the surgeon to use a straight stem to take advantage of its universal rotational alignment characteristics while placing the femoral component posteriorly into its correct anterior-posterior position (see Fig. 22A.1 ).

You're Reading a Preview

Become a Clinical Tree membership for Full access and enjoy Unlimited articles

Become membership

If you are a member. Log in here