Biphasic Tumors and Tumors With Mixed Patterns


Soft tissue tumors with biphasic histology are uncommon. The “biphasic” designation is often applied to tumors with mixed spindle cell and overtly epithelial (often glandular) components but can also be applied to tumors with mixed spindle cell and epithelioid morphology without epithelial differentiation. The classic example of a soft tissue tumor with such a pattern is biphasic synovial sarcoma, which, when arising at typical anatomic sites, is sufficiently histologically distinctive to allow for straightforward recognition in most cases. However, a small group of other soft tissue tumors may include similar combinations of morphologic cell types and may therefore be confused with biphasic synovial sarcoma ( Box 9.1 ).

Box 9.1
Biphasic Tumors and Tumors With Mixed Patterns

  • Biphasic synovial sarcoma

  • Myoepithelial tumors of soft tissue (including mixed tumor)

  • Malignant peripheral nerve sheath tumor (MPNST) with heterologous differentiation (including glandular MPNST)

  • Gastrointestinal stromal tumor, mixed type

  • Dedifferentiated liposarcoma

  • Melanotic neuroectodermal tumor of infancy

In addition, some soft tissue tumors characteristically show marked intratumoral heterogeneity in terms of both cell types and growth patterns (see Box 9.1 ). Awareness of the tumors that most often show such mixed patterns can facilitate proper diagnosis. A relatively common example is dedifferentiated liposarcoma (DDLPS), which, in addition to the obvious combination of well-differentiated liposarcoma (WDLPS) and a nonlipogenic component (see Chapters 7 and 12 ), often shows striking heterogeneity when sampled thoroughly. Such heterogeneity in a retroperitoneal or intraabdominal tumor, for example, can be a helpful clue to the diagnosis.

Finally, some soft tissue sarcomas contain heterologous elements (especially bone, cartilage, and skeletal muscle) in a subset of cases; when such a tumor is encountered, with an appropriately high index of suspicion, additional sampling and judicious application of immunohistochemistry and molecular genetic techniques can lead to the correct diagnosis. The soft tissue sarcomas that sometimes show heterologous osseous or cartilaginous differentiation are also discussed in Chapter 14 . Occasionally, other (nonmesenchymal) tumor types may also be biphasic or may show mixed histologic patterns ( Box 9.2 ). Depending on the clinical presentation (especially the anatomic site), such tumors may be mistaken for soft tissue sarcomas with mixed patterns.

Box 9.2
Nonmesenchymal Tumors With Biphasic and Mixed Patterns

  • Ectopic hamartomatous thymoma

  • Sarcomatoid carcinoma

  • Biphasic malignant mesothelioma

  • Germ cell tumors

  • Carcinosarcoma (malignant mixed müllerian tumor)

Biphasic Synovial Sarcoma

Although biphasic synovial sarcoma was the first variant recognized, the monophasic variant is more common (see Chapter 3 ). It is now clear that “synovial” sarcoma has no relationship to the synovial lining of joints, although this nomenclature has been retained. Synovial sarcoma is generally classified with soft tissue tumors of uncertain lineage, although epithelial differentiation is observed not only in the glandular elements but also to a more limited extent in the spindle cell component. Synovial sarcoma is also discussed in detail in Chapter 3 (monophasic synovial sarcoma) and Chapter 8 (poorly differentiated synovial sarcoma).

Clinical Features

Synovial sarcoma is most common in adolescents and young adults, with a median age of 35 years, although the age range is broad. Males are slightly more often affected than females.

Characteristically, patients seek medical attention because of a deep-seated mass, with or without pain, present for a variable interval. The most common sites of involvement are the extremities, especially in proximity to the large joints of the lower limbs, with thighs and knees being the most common locations. However, synovial sarcoma may arise in a wide range of anatomic sites, including the lung and pleura, mediastinum, kidney, retroperitoneum and pelvis, stomach, and head and neck, among others.

Synovial sarcoma is usually associated with fascia or tendinous tissue. Only rarely are tumors located within joint spaces. Radiologically, synovial sarcoma usually presents as an extraarticular soft tissue mass, often showing calcification (which can be a helpful diagnostic clue) and no involvement of underlying bone.

Pathologic Features

Grossly, the tumor is usually well circumscribed and sometimes shows a fibrous pseudocapsule. The cut surface is usually soft, tan, and homogeneous and may show foci of cystic degeneration. Calcifications are usually too small to be identified grossly.

Histologically, two major subtypes of synovial sarcoma are recognized, namely, monophasic and biphasic. The former is characterized by a monotonous, fascicular spindle cell proliferation and is discussed in Chapter 3 .

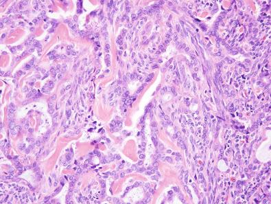
Biphasic synovial sarcoma shows an intimate juxtaposition of a spindle cell component and clusters of epithelial cells, forming nests or glandular structures ( Fig. 9.1 ). Other than the shape, the nuclear features of the epithelial component are usually similar to those of the spindle cells ( Fig. 9.2 ). These epithelial cells are often cuboidal, with round vesicular nuclei, small nucleoli, and pale eosinophilic cytoplasm ( Fig. 9.3 ). Most commonly, the spindle cell component is the predominant histologic pattern, and recognition of the epithelial component may require extensive sampling. On occasion, there is an extensive glandular component, and rarely, the epithelial component may predominate. In such cases the spindle cell component may be subtle; the diagnosis requires a high index of suspicion and identification of the spindle cell component.

Figure 9.1, Biphasic Synovial Sarcoma.

Figure 9.2, Biphasic Synovial Sarcoma.

Figure 9.3, Biphasic Synovial Sarcoma.

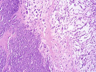
Stromal collagen is often prominent (see Fig. 9.3 ), and foci of dystrophic calcifications may be seen. Frequent mast cells are common, and the vasculature is characterized by thin-walled, branching “hemangiopericytoma-like” vessels. Extensive cystic change in synovial sarcoma may make recognition of the tumor more difficult. Again, a high index of suspicion is needed to identify a spindle cell component within the septa of the cystic cavity. Rarely, synovial sarcomas may show stromal myxoid change. Likewise, diagnosis requires recognition of an area with typical histology.

Poorly differentiated synovial sarcoma is usually dominated by round cells and may be confused with other round cell sarcomas (see Chapter 8 ).

Immunohistochemistry

Although recognition of biphasic synovial sarcoma is usually straightforward, immunohistochemistry can be helpful to confirm the diagnosis. The glandular component shows strong and diffuse staining for keratins ( Fig. 9.4 ) and epithelial membrane antigen (EMA). In most tumors the spindle cell component is also positive for keratins (AE1/AE3 is among the most sensitive) and EMA, although staining is variable and often focal (see Fig. 9.4 ). Even limited expression of epithelial markers in the spindle cell component can be helpful.

Figure 9.4, Biphasic Synovial Sarcoma.

In addition, approximately 30% of synovial sarcomas are positive for S-100 protein. Bcl-2, cytoplasmic CD99, and α-smooth muscle actin (SMA) may also be detected but are not specific. Rarely, neoplastic cells may express CD34.

TLE1, a member of a family of transcriptional corepressors that inhibit Wnt and other cell fate determination signals, is overexpressed in synovial sarcoma. Although this marker may occasionally be expressed in other soft tissue tumors that mimic synovial sarcoma, such as a subset of malignant peripheral nerve sheath tumors (MPNSTs) and solitary fibrous tumors, TLE1 is highly sensitive and moderately specific for synovial sarcoma, being positive in more than 90% of cases, usually with moderate or strong nuclear staining ( Fig. 9.5 ). Synovial sarcomas usually show markedly reduced (but not complete loss of) nuclear staining for SMARCB1 (INI1).

Figure 9.5, Biphasic Synovial Sarcoma.

Molecular Genetics

Synovial sarcoma is characterized in virtually 100% of cases by a recurrent balanced translocation, namely t(X;18)(p11;q11), in which the SS18 gene on chromosome 18 is juxtaposed to an SSX gene on chromosome X. To date, at least six SSX genes have been identified on Xp11, three of which may be rearranged with SS18 , giving rise to three fusion proteins, SS18-SSX1, SS18-SSX2, and SS18-SSX4. The first two are the most common (see Chapter 18 ).

These fusion transcripts are mutually exclusive and are believed by some authors to correlate with morphologic subtypes of synovial sarcoma. Kawai and colleagues found that monophasic tumors harbor translocations involving either the SSX1 or SSX2 gene, whereas biphasic tumors only had translocations involving SSX1 . However, since then, biphasic tumors harboring the SS18-SSX2 fusion transcript have also been reported. The extent of glandular elements in synovial sarcoma may be limited; tumors initially believed to be monophasic may be biphasic if sampled more extensively. This may account for the differences in fusion partners detected.

Differential Diagnosis

The differential diagnosis of synovial sarcoma depends on the histologic subtype. Immunohistochemistry is helpful to support the diagnosis; however, in difficult cases, identification of t(X;18) by fluorescence in situ hybridization (FISH) or reverse transcriptase polymerase chain reaction (RT-PCR) can be used for confirmation.

Monophasic synovial sarcoma should be distinguished from other spindle cell sarcomas, such as MPNST, as well as solitary fibrous tumor (see Chapter 3 ).

The differential diagnosis for biphasic synovial sarcoma is shown in Table 9.1 and includes other spindle cell neoplasms containing admixed glandular elements, such as biphasic malignant mesothelioma, sarcomatoid carcinoma, glandular MPNST, mixed tumor (myoepithelioma), and müllerian carcinosarcoma (malignant mixed müllerian tumor [MMMT]).

Table 9.1
Differential Diagnosis for Biphasic Synovial Sarcoma
Keratin Epithelial Membrane Antigen S-100 Protein Glial Fibrillary Acidic Protein SOX10 Nuclear WT1 Calretinin
Biphasic synovial sarcoma + + 30%
Biphasic malignant mesothelioma + ± + +
Sarcomatoid carcinoma + ±
Glandular malignant peripheral nerve sheath tumor + (glands) + (glands) ± ± ±
Carcinosarcoma (malignant mixed müllerian tumor) + (carcinoma) + (carcinoma) + (carcinoma)

Biphasic malignant mesothelioma usually involves the pleura or peritoneum. In contrast to synovial sarcoma, the sarcomatoid component of malignant mesothelioma usually shows considerable nuclear atypia, and the epithelioid component often shows a tubulopapillary growth pattern with uniform, cuboidal cells. Similar to synovial sarcoma, malignant mesothelioma is positive for keratins and EMA, but it also shows expression of calretinin and nuclear WT1. Immunoreactivity for TLE1 is observed in the majority of mesotheliomas ; therefore TLE1 cannot be used to make this distinction. Loss of BAP1 expression is observed in a significant subset of biphasic mesotheliomas, although somewhat less often than epithelioid mesotheliomas.

Sarcomatoid carcinoma often arises in the lung, breast, or kidney and may contain a minor conventional component in addition to the spindle cell or pleomorphic component. Focal expression of keratin and EMA is also seen in sarcomatoid carcinomas. However, sarcomatoid carcinomas usually show significant pleomorphism and marked nuclear atypia, which are not observed in synovial sarcoma.

Rarely, MPNST contains a glandular component admixed with the fascicles of spindle cells. This variant usually arises in patients with neurofibromatosis type 1 (NF1) and carries a particularly poor prognosis. Diagnostic clues to MPNST include varying cellularity, perivascular accentuation, and tapering nuclei. Unlike biphasic synovial sarcoma, in MPNSTs the glands are sharply demarcated from the spindle cell component and are often bland and intestinal-like in appearance, including columnar cells, goblet cells, and cells with neuroendocrine differentiation. Similar to synovial sarcoma, the epithelial component is positive for keratins and EMA, but unlike synovial sarcoma, the glandular elements often express CK20 and carcinoembryonic antigen (CEA) as well. The conventional spindle cell component in MPNSTs shows focal staining for S-100 protein, glial fibrillary acidic protein (GFAP), and/or SOX10, each in 30% to 50% of cases. S-100 protein may also be positive in synovial sarcoma (in ~30% of cases), although GFAP and SOX10 expression is not observed. TLE1 is positive in a small subset of MPNSTs. Loss of histone H3 with lysine 27 trimethylation (H3K27me3) is highly specific for MPNST in this differential diagnosis.

Only 10% to 15% of myoepitheliomas of soft tissue show ductal differentiation (mixed tumors). Most cases are dominated by epithelioid cells with eosinophilic to clear cytoplasm, growing in nests and cords in a variably myxoid stroma, although a spindle cell component may also be present. The combination of keratin, EMA, S-100 protein, and GFAP is the typical phenotype for myoepithelioma; expression of epithelial markers is usually extensive, unlike in the spindle cell component of synovial sarcoma. Many mixed tumors of soft tissue show nuclear staining for PLAG1 (reflecting the presence of PLAG1 gene rearrangements).

Usually arising in the endometrium, ovary, or fallopian tube, müllerian carcinosarcoma secondarily spreads to the peritoneum and omentum, all extremely rare sites for synovial sarcoma. In contrast to synovial sarcoma, carcinosarcoma usually shows considerable heterogeneity, including epithelioid and round cell morphology, as well as marked nuclear atypia and pleomorphism. Carcinosarcoma often contains a high-grade serous carcinomatous component, in contrast to the relatively bland and uniform cytology of the glandular component in synovial sarcoma. Nuclear WT1 or PAX8 expression supports a müllerian tumor over synovial sarcoma.

The differential diagnosis for the myxoid and poorly differentiated variants of synovial sarcoma includes other myxoid neoplasms and other round cell sarcomas, respectively (see Chapters 5 and 8 for further discussion).

Prognosis and Treatment

The prognosis and treatment of synovial sarcoma are discussed in Chapter 3 .

Practice Points: Biphasic Synovial Sarcoma

  • Spindle cell sarcoma with scattered glands and nests of epithelial cells

  • Highly variable extent of the glandular component

  • Consistently positive for epithelial membrane antigen, keratins, and TLE1

  • Characterized by t(X;18)(p11;q11) translocation

  • Prognosis similar to that of monophasic synovial sarcoma

Mixed Tumor/Myoepithelioma/Myoepithelial Carcinoma

Mixed tumors and myoepitheliomas of soft tissue lie on a morphologic continuum and are composed of variable cell types. Myoepithelial tumors of soft tissue are also discussed in Chapters 5 and 6 .

Clinical Features

Myoepithelial neoplasms occur in both children and adults, with males and females equally affected. These tumors most often arise in the limbs and limb girdles, with approximately 50% of cases occurring in subcutaneous tissue. Myoepithelial carcinomas appear to be more frequent in children.

Pathologic Features

Myoepithelial tumors are a morphologically heterogeneous group of tumors composed of epithelioid or spindled cells arranged in sheets, cords, nests, or clusters, within a variably abundant myxoid or chondromyxoid matrix ( Fig. 9.6 ). Neoplastic cells are most often epithelioid or ovoid, with vesicular chromatin and small or inconspicuous nucleoli and eosinophilic cytoplasm ( Fig. 9.7 ). In occasional examples, neoplastic cells show eccentrically placed nuclei and hyaline cytoplasmic inclusions (“plasmacytoid” cells) ( Fig. 9.8A ). When epithelial (ductal) differentiation is present, the designation mixed tumor may be applied ( Fig. 9.9 ). This finding is uncommon, as is the presence of mesenchymal elements, such as metaplastic cartilage, bone, and adipose tissue, which are seen in at most 10% of cases.

Figure 9.6, Soft Tissue Myoepithelioma.

Figure 9.7, Soft Tissue Myoepithelioma.

Figure 9.8, Soft Tissue Myoepithelioma.

Figure 9.9, Mixed Tumor of Soft Tissue.

Myoepithelial carcinoma is usually characterized by high-grade cytology with prominent nucleoli or coarse chromatin. Infiltrative margins, necrosis, and a high mitotic rate are less reliable predictors of malignant behavior.

Immunohistochemistry

Myoepithelial tumors of soft tissue are characteristically positive for keratins, EMA, and S-100 protein, often with extensive staining. Approximately half of cases also express GFAP; a subset of tumors are positive for SMA and p63. The majority of myoepithelial tumors of soft tissue show nuclear staining for SOX10; myoepithelial carcinomas are less often positive. Some myoepithelial carcinomas show loss of SMARCB1 (INI1) protein expression, most often in pediatric cases. Myoepithelial neoplasms with PLAG1 rearrangements show nuclear staining for PLAG1 (see Fig. 9.8B ).

Molecular Genetics

Myoepithelial tumors of soft tissue (both benign and malignant examples) are characterized by translocations involving the EWSR1 gene in approximately half of cases. Multiple fusion partners have been identified, including PBX1 , POU5F1 , ZNF444 , KLF17 , ATF1 , and PBX3 , but these partners are only found in less than 50% of cases with EWSR1 rearrangement. The EWSR1 fusion partners in other cases have yet to be identified. Of note, EWSR1 rearrangements are uncommon in myoepithelial tumors with ductal differentiation (mixed tumors) and a chondroid or osseous matrix. In contrast, similar to their salivary gland counterparts, mixed tumors of skin and soft tissue often harbor PLAG1 rearrangements; occasional myoepitheliomas without ductal differentiation also have such gene fusions. EWSR1 and PLAG1 rearrangements are mutually exclusive.

Differential Diagnosis

The chief differential diagnostic considerations for myoepithelioma (extraskeletal myxoid chondrosarcoma, ossifying fibromyxoid tumor, and epithelioid schwannoma) and myoepithelial carcinoma (metastatic carcinoma, metastatic melanoma, and proximal-type epithelioid sarcoma) are discussed in Chapters 5 and 6 .

Myoepitheliomas showing ductal differentiation (mixed tumors) should be distinguished in particular from biphasic synovial sarcoma and glandular MPNST. The spindle cell component of biphasic synovial sarcoma is remarkably uniform, composed of intersecting fascicles of spindle cells with scant cytoplasm, in contrast to the intratumoral heterogeneity and plump cells with eosinophilic cytoplasm seen in myoepithelial tumors. Mixed tumors generally show more extensive immunoreactivity for keratins, EMA, and S-100 protein, whereas the spindle cell component of synovial sarcoma usually shows at most limited staining for these markers. Strong TLE1 expression is typical of synovial sarcoma, whereas SOX10 expression is limited to myoepithelial neoplasms in this differential diagnosis. The majority of mixed tumors show nuclear staining for PLAG1.

Glandular MPNST is a rare variant that usually arises in deep soft tissues or central body sites of patients with NF1. Unlike the ducts in mixed tumors, the glandular component in MPNST often shows enteric features (with columnar cells, goblet cells, and neuroendocrine cells), along with immunoreactivity for CK20. In contrast to myoepithelial tumors, the spindle cells in MPNST usually contain slender, tapering nuclei and inconspicuous cytoplasm. Other characteristic features of MPNST include perivascular hypercellularity and alternating cellular and myxoid areas. Diffuse expression of keratins and EMA is not seen in MPNST. Most high-grade MPNSTs show loss of expression of H3K27me3.

Prognosis and Treatment

The prognosis and treatment of myoepithelial tumors is discussed in Chapters 5 and 6 .

Practice Points: Mixed Tumor/Myoepithelial Tumors of Soft Tissue

  • Typically show heterogeneous architecture (solid, reticular, nested), stroma (myxoid, hyalinized), and cell types (epithelioid, spindle cell, clear cell, plasmacytoid)

  • Similar to salivary gland tumors, “mixed tumor” may be applied to myoepitheliomas with ductal differentiation

  • Myoepithelial carcinoma is characterized by high-grade cytology, with cells showing prominent nucleoli or coarse chromatin

  • Myoepithelial carcinoma is overrepresented in the pediatric population

  • Usually express keratins, epithelial membrane antigen, and S-100 protein; often SOX10; 50% glial fibrillary acidic protein

  • EWSR1 gene rearrangement in 50% of myoepitheliomas

  • PLAG1 rearrangement is characteristic of mixed tumor

Malignant Peripheral Nerve Sheath Tumor With Divergent (Heterologous) Differentiation (Including Glandular Type)

MPNST occurs in three distinct settings, namely, sporadically, in patients with NF1, and following radiation therapy. In patients with NF1 the incidence is 4000 to 5000 times higher than in the general population. MPNST is discussed in Chapter 3 .

Heterologous mesenchymal elements are relatively common in MPNST and occur in up to 20% of tumors, with the majority seen in patients with NF1. In contrast, glandular elements are rare but are also more often seen in the setting of NF1.

Clinical Features

Patients with MPNST usually present with a large, deep-seated mass, arising most commonly on the trunk (especially paraspinal) or lower extremities, followed by the upper extremities, head and neck, and retroperitoneum. Glandular MPNST also has a wide anatomic distribution but seems particularly common in the retroperitoneum.

Men and women are equally affected, with a peak incidence in the fourth and fifth decades. Overall, MPNST arises in patients with NF1 approximately a decade earlier than in patients with sporadic tumors. Patients may present with neurologic symptoms related to the involved nerve, or more frequently, a mass effect with impingement on adjacent structures or organs.

Pathologic Features

Grossly, tumors are usually large and may be associated with nerves. The cut surface is typically firm and heterogeneous, with areas of hemorrhage and necrosis.

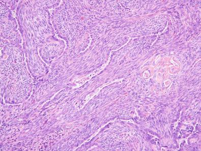
Histologically, conventional MPNST is a spindle cell neoplasm with a fascicular growth pattern, characteristically with alternating hypocellular and hypercellular areas ( Fig. 9.10 ). Tumor cells tend to aggregate around blood vessels. The presence of necrosis and mitotic activity is highly variable; a recent study has suggested that histologic grading of MPNST predicts metastasis and survival. In a subset of cases (depending in part on the extent of sampling), a neurofibromatous precursor can be identified.

Figure 9.10, Malignant Peripheral Nerve Sheath Tumor.

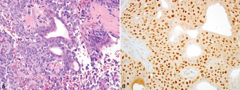
Glandular MPNST is characterized by the presence of scattered glands arranged singly or in small clusters within the spindle cell neoplasm (see Fig. 9.10 ). The glands are usually well defined, appear to be of low grade, and are lined by cuboidal to columnar cells, often with an intestinal-like appearance ( Figs. 9.11 and 9.12 ), sometimes including goblet cells and neuroendocrine cells. Squamous metaplasia, clear cell change, and stromal mucin pools are rare findings.

Figure 9.11, Glandular Malignant Peripheral Nerve Sheath Tumor.

Figure 9.12, Glandular Malignant Peripheral Nerve Sheath Tumor.

More common in patients with NF1, MPNST with other forms of heterologous differentiation account for approximately 20% of cases. These tumors are characterized by the presence of malignant mesenchymal elements, most often rhabdomyosarcoma (malignant Triton tumor; Figs. 9.13 and 9.14A ), chondrosarcoma, and osteosarcoma,and more rarely angiosarcoma. The rhabdomyosarcomatous component is usually composed of relatively well-differentiated rhabdomyoblasts with brightly eosinophilic cytoplasm. The presence of heterologous elements is variable in extent, although these elements are usually only focal.

Figure 9.13, Malignant Peripheral Nerve Sheath Tumor With Heterologous Rhabdomyoblastic Differentiation.

Figure 9.14, Malignant Peripheral Nerve Sheath Tumor With Heterologous Rhabdomyoblastic Differentiation.

You're Reading a Preview

Become a Clinical Tree membership for Full access and enjoy Unlimited articles

Become membership

If you are a member. Log in here