Biomechanics of Distal Radius Fractures


Key Points

  • The ideal classification meets three objectives: to describe the lesion, to guide treatment choice, and to predict the functional outcome.

    • An example of such is the Patient Accident Fracture (PAF) classification as it allows an exhaustive analysis that also puts into perspective patient and mechanism of injury characteristics.

  • An altered anatomy of the distal radius leads to biomechanical disorders such as altered load transfer, decreased joint amplitudes, carpal instability, stiffness, or instability of the distal radioulnar joint.

    • An important example of this is the fragmented discontinuity of the volar intermediate column—also referred to as the critical corner—with high risk of biomechanical construct failure when inadequately fixated.

  • The most recent biomechanical works on anterior plate osteosynthesis can be summarized by variable angulation plates with 3 to 4 unicortical epiphyseal locking screws in a single row, with 2 or 3 bicortical diaphyseal screws.

Importance of the Problem

Based on the knowledge of the anatomical “key points” of the distal radius, it is possible to classify the fracture in order to guide the treatment and explain the subsequent functional prognosis to the patient. It is also essential to know the biomechanical factors applied to distal radius fractures (DRF), which influence the decision of the type of treatment envisaged.

Panel 1: Case Scenario 1

A 72-year-old woman who fell directly on her left arm sustained an open DRF with an anterior displacement. How can this DRF best be classified? And based on biomechanical principles of DRFs, which type and configuration of osteosynthesis would be most adequate for this osteopenic fracture? ( Fig. 1 )

Fig. 1, Open comminuted articular DRF.

Panel 1: Case Scenario 2

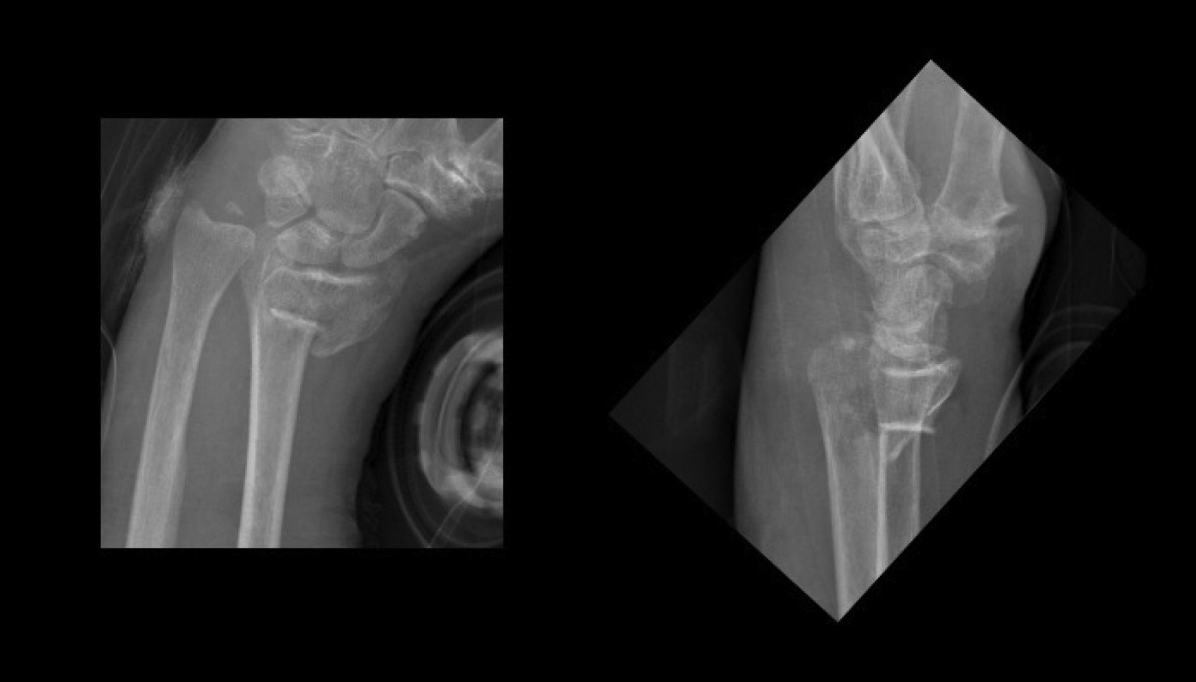
A 51 year-old women was brought the emergency department with multiple fractures after sustaining a motor cycle accident. Her radiographs and reconstructed CT body scan of the left wrist show a displaced volar rim fragment of the distal radius ( Fig. 2 ). From a biomechanical point of view, what type of plate fixation would be most adequate for this type of fracture: a standard distal radius plate or a volar rim plate?

Fig. 2, Radiographs showing a displaced volar rim fragment of the distal radius.

Current Opinion

Advanced knowledge of distal radius biomechanics is mandatory to choose the adequate treatment strategy, whether operative or conservative. Multiple risk factors of fracture instability and fixation construct failure have been identified and should be considered during decision-making.

Finding the Evidence

  • Cochrane search: Distal Radius Fracture biomechanics

  • Pubmed (Medline): distal radius fracture*[tiab] AND biomechanic*[tiab]

  • Bibliography of eligible articles

  • Articles that were not in the English or French language were excluded.

Findings

Biomechanical studies of distal radius fractures are numerous. It is important to take into consideration that some in vitro studies are limited by the use of synthetic bone, or postulate boundary conditions that are different from one team to another, raising the question of the validity of comparing them with each other (strong heterogeneity bias). Finally, some biomechanically validated hypotheses still lack validation or clinical relevance. The emergence of new tools such as finite element models should not make us forget that these numerical models must be validated in vitro before valid conclusions can be drawn.

You're Reading a Preview

Become a Clinical Tree membership for Full access and enjoy Unlimited articles

Become membership

If you are a member. Log in here