Advanced Imaging in Orthopaedics


Although routine radiography currently remains the primary imaging modality in orthopaedics, more advanced imaging techniques are now an integral part of the modern orthopaedic practice. Modalities such as magnetic resonance imaging (MRI), computed tomography (CT), and ultrasonography (US) are valuable diagnostic tools and are fundamental components of image-guided interventional procedures. The scope of these advanced imaging techniques across the field of orthopaedics is far too broad to address in a single chapter. Therefore, this chapter provides a brief synopsis of the use of MRI and CT in orthopaedics. Musculoskeletal US is reviewed in various chapters as appropriate.

Magnetic Resonance Imaging

Aside from routine radiography, no imaging modality has as great an impact on the current practice of orthopaedics as MRI. MRI provides unsurpassed soft-tissue contrast and multiplanar capability with spatial resolution that approaches that of CT. Consequently, MRI has superseded older imaging methods such as myelography, arthrography, and even angiography. In the past 40 years, MRI has matured to become a critical component of the modern orthopaedic practice.

Unlike radiography or CT, the MR image is generated without the use of potentially harmful ionizing radiation. MR images are created by placing the patient in a strong magnetic field (tens of thousands of times stronger than the earth’s magnetic field). The magnetic force affects the nuclei within the field, specifically the nuclei of elements with odd numbers of protons or neutrons. The most abundant element satisfying this criterion is hydrogen, which is plentiful in water and fat. These nuclei, which are essentially protons, possess a quantum spin. When the patient’s tissues are subjected to this strong magnetic field, protons align themselves with respect to the field. Because all imaging is performed within this constant magnetic force, this becomes the steady state, or equilibrium. In this steady state, a radiofrequency (RF) pulse is applied, which excites the magnetized protons in the field and perturbs the steady state. After application of this pulse, a receiver coil or antenna listens for an emitted RF signal that is generated as these excited protons relax or return to equilibrium. This emitted signal is then used to create the MR image.

Mri Technology and Technique

A wide variety of MR imaging systems are commercially available. Scanners can be grouped roughly by field strength. High-field scanners possess superconducting magnets considered to have field strengths greater than 1.0 Tesla (T). Low-field scanners operate at field strengths of 0.3 to 0.7 T. Ultra low-field scanners operate below 0.1 T but are generally limited to studying the appendicular anatomy. The strength of the magnetic field directly correlates with the signal available to create the MR image. High-field scanners generate higher signal-to-noise images, allowing shorter scanning times, thinner scan slices, and smaller fields of view. At lower field strengths, scan field of view or slice thickness must be increased or imaging time lengthened to compensate for lower signal. In the past, lower field strength scanners presented the advantage of an “open” bore, which helped minimize claustrophobia and allow for more comfortable patient positioning when imaging off-axis structures such as elbows and wrists. However, current-generation high-field scanners have bores of larger diameter and shorter length, thus eliminating this low-field advantage. Powerful 3 T scanners have become commercially available in the past several years. Although high-quality musculoskeletal imaging can be performed at 1.5 T, these 3.0 T scanners may be valuable when evaluating small body parts and may provide better image quality in larger patients. At present, the clinical applications of 7 T scanners are being studied at many research centers.

Although an image can be acquired in the main coil (the hollow tube in which the patient lies during the study), almost all MR images are acquired with a separate receiving coil. For evaluation of smaller articular structures, such as the menisci of the knee or the rotator cuff, specialized surface coils are mandatory. Several types of surface coils are available, including coils tailored for specific body parts such as the spine, shoulder, wrist, and temporomandibular joints, as well as versatile flexible coils and circumferential extremity coils. These coils serve as antennae placed close to the joint or limb, markedly improving signal and resolution but also limiting the volume of tissue that can be imaged. Thus, larger surface coils have been developed with phased-array technology, providing the improved signal that is seen in smaller coils with an expanded coverage area. These phased-array coils are available for the knee, shoulder, and torso and are now standard on most state-of-the-art scanners. Optimal coil selection is mandatory for high-quality imaging of joints or small parts.

Although all studies involve magnetization and RF signals, the method and timing of excitation and acquisition of the signal can be varied to affect the signal intensity of the various tissues in the volume. Musculoskeletal MRI examinations primarily use spin-echo technique, which produces T1-weighted, proton (spin) density, and T2-weighted images. T1 and T2 are tissue-specific characteristics. These values reflect measurements of the rate of relaxation to the steady state. By varying the timing of the application of RF pulses (TR, or repetition time) and the timing of acquisition of the returning signal (TE, or echo time), an imaging sequence can accentuate T1 or T2 tissue characteristics. In most cases, fat has a high signal (bright) on T1-weighted images and fluid has a high signal on T2-weighted images. Structures with little water or fat, such as cortical bone, tendons, and ligaments, are hypointense (dark) in all types of sequences. Improvements in MR techniques have allowed for much faster imaging. Shorter imaging sequences are better tolerated by patients and allow for less motion artifact. One such improvement, fast spin-echo technique, reduces the length of T2-weighted sequences by two thirds or more. Fat signal in fast spin-echo images remains fairly intense, a problem that can be eliminated by chemical-shift fat-suppression techniques ( Fig. 2.1 ). Fat suppression also can be achieved by using a short-tau inversion recovery (STIR) sequence. These fat-suppression techniques can be useful in the detection of edema in both bone marrow and soft tissue and therefore play an important role in the imaging of trauma and neoplasms. For simplicity, imaging series, whether acquired with chemical shift or inversion recovery fat-suppression techniques, are often referred to as “fluid-sensitive” sequences. Another fast imaging method, gradient-echo technique, is more widely used in nonorthopaedic imaging such as MR angiography. The short echo times available with this technique are helpful in minimizing cerebrospinal fluid flow artifacts in cervical spine studies. Gradient echo imaging can be used to generate isovolumetric images that permit multiplanar image reconstruction. These reconstructed images can be used to more accurately assess glenoid bone loss following shoulder dislocation or to evaluate acetabular or femoral head morphology in patients with dysplasia or impingement. Most musculoskeletal MR studies are composed of a number of imaging sequences or series, tailored to detect and define a certain pathologic process. Because the imaging planes (axial, sagittal, coronal, oblique) and the sequence type (T1, T2, gradient-echo) are chosen at the outset, advanced understanding of the clinical problem is required to perform high-quality imaging.

FIGURE 2.1, Chemical shift fat-suppression technique. A, Axial fast spin-echo, T2-weighted image of large soft-tissue mass in calf. Hyperintense fat blends with anterior and posterior margins of lesion. B, Addition of fat suppression allows for better delineation of tumor margins.

Contraindications

Some patients are not candidates for MRI. Absolute contraindications to MRI include intracerebral aneurysm clips, automatic defibrillators, internal hearing aids, and metallic orbital foreign bodies. Older cardiac pacemakers generally are not approved for MR imaging; however, a new generation of MRI-compatible pacemakers has been developed. Cardiac valve prostheses can be safely scanned. Relative contraindications include first-trimester pregnancy and recently placed intravascular stents. Generally, internal orthopaedic hardware and orthopaedic prostheses are safe to scan, although ferrous metals can create local artifact that can obscure adjacent tissues. Severity of metal artifact depends on hardware bulk, orientation, and material. For example, titanium prostheses generate much less artifact than stainless steel ( Fig. 2.2 ). Certain adjustments to the scan parameters may reduce, but not eliminate, metal artifact. In fact, newly developed imaging sequences are proving useful for detection of periprosthetic bone resorption and soft-tissue masses. Metal prostheses may also become warm during the examination, although this is rarely noticed by the patient and almost never requires termination of the study. Patients with metal external fixation devices should not be scanned. If there is a question regarding the MR compatibility of an implantable device (e.g., pain stimulator, infusion pump), the manufacturer should be consulted.

FIGURE 2.2, Magnetic resonance imaging with orthopaedic hardware in a patient with metastatic lung disease. A, Lateral radiograph of the proximal femur shows a subtle lesion in the posterior cortex adjacent to the femoral component of a titanium total hip prosthesis (arrow). B, Fat-suppressed inversion recovery image displays a metastasis immediately adjacent to the hardware (arrow). Note that minimal artifact is generated by the titanium stem.

Contrast Agents in Mri

As elsewhere in the body, the administration of gadolinium contrast material can be of great value in evaluating certain musculoskeletal conditions. MR contrast agents are composed of gadolinium ions that are tightly bound to complex macromolecules. These agents can be administered intravenously or intraarticularly with high degree of safety. Normally MR contrast is rapidly filtered and excreted by the kidneys. As opposed to iodinated contrast material used in CT, gadolinium contrast agents are not nephrotoxic. In patients with significantly impaired renal function, however, delayed excretion of gadolinium has been associated with a rare connective tissue disease, nephrogenic systemic fibrosis. The incidence of this complication actually varies with the type of gadolinium macromolecule utilized, and these agents should be administered with caution in patients with acute or chronic kidney disease (stage 4 or 5).

Foot and Ankle

One of the more complex anatomic regions in the human body is the foot and ankle. The complexity of midfoot and hindfoot articulations and the variety of pathologic conditions in the tendons and ligaments make evaluation difficult from a clinical and imaging perspective. Most examinations of the foot and ankle are performed to evaluate tendinopathy, articular disorders, and osseous pathologic conditions, often after trauma. MRI can be quite useful when the examination is directed at solving a certain clinical problem, but its value as a screening study for nonspecific pain is more limited. Given the small size of structures to be examined, optimal imaging is achieved on a high field strength magnet, and the use of a surface coil, typically an extremity coil, is mandatory. Ideally, the clinical presentation will allow the examination to be directed at either the forefoot or ankle/hindfoot. This arbitrary division allows for a sufficiently small field of view (10 to 12 cm) to generate high-resolution images. Images can be prescribed in orthogonal or oblique planes, with combinations of T1-weighted, T2-weighted, and fat-suppressed sequences. The examination should be tailored to best define the clinically suspected problem.

Tendon Injuries

MRI excels in the evaluation of pathologic conditions in the numerous tendons about the ankle joint. Most commonly affected are the calcaneal and posterior tibial tendons. In chronic tendinitis, the calcaneal tendon thickens and becomes oval or circular in cross-section. The pathologically enlarged tendon maintains low signal on all sequences. When partially torn, the tendon demonstrates focal or fusiform thickening with interspersed areas of edema or hemorrhage that brighten on T2-weighted series ( Fig. 2.3 ). With complete rupture, there is discontinuity of the tendon fibers. Similarly, abnormalities of the posterior tibial tendon can be confidently diagnosed with MRI. Increased fluid in the sheath of the tendon indicates tenosynovitis. Insufficient or ruptured tendons can appear thickened, attenuated, or even discontinuous ( Fig. 2.4 ). Similar abnormalities are often seen in the flexor tendons or peroneus tendons ( Fig. 2.5 ). Longitudinal splitting of the peroneus tendon is usually quite well displayed on axial MRI images ( Fig. 2.6 ).

FIGURE 2.3, Partial tear of calcaneal tendon. A, Sagittal T1-weighted image demonstrates markedly thickened calcaneal tendon containing areas of intermediate signal (arrow). B, Sagittal fat-suppressed, T2-weighted image exhibits fluid within tendon substance, indicating partial tear (arrow).

FIGURE 2.4, Posterior tibial tendon tear. A, Axial T1-weighted image reveals swollen, ill-defined region of intermediate signal intensity, representing fluid and abnormal tendon (arrow). B, Axial fat-suppressed, T2-weighted image shows thickened tendon (arrow) surrounded by hyperintense fluid.

FIGURE 2.5, Peroneus longus tendon rupture. A, Coronal T1-weighted image through midfoot shows increased diameter of peroneus longus tendon (arrows). B, Coronal fat-suppressed, T2-weighted image reveals fluid signal within ruptured tendon (arrow).

FIGURE 2.6, Longitudinal split tear of the peroneus brevis tendon. T1-weighted axial image at the level of the ankle joint shows a longitudinal split of the peroneus brevis tendon (arrow) between the lateral malleolus anteriorly and the peroneus longus tendon posteriorly.

Ligament Injuries

The medial and lateral stabilizing ligaments of the tibiotalar and talocalcaneal joints and the distal tibiofibular ligaments are well-visualized with proper positioning of the foot. Although ligamentous injuries about the ankle are common, MRI has a limited role in the evaluation of acute injury. In the acute setting, the MRI examination is helpful in detecting associated occult osteochondral injury. In patients with chronic instability, MRI can provide useful information of the integrity of the lateral ligamentous complex, tibiofibular ligaments, and tibiofibular syndesmosis. Additionally, MRI has proven useful in evaluating the lateral recess of the ankle joint in patients with impingement. Regions of fibrosis associated with anterolateral impingement are identified in the lateral gutter, especially when fluid is present in the ankle joint.

Osseous Injuries

As with the rest of the skeleton, MRI is especially well-suited for evaluating occult bone pathology in the foot and ankle. MRI is often used to evaluate patients with heel pain, where the differential diagnosis includes both stress fracture and plantar fasciitis. Stress fractures are depicted as areas of marrow edema well before radiographic changes are apparent ( Fig. 2.7 ). MRI is as sensitive as bone scintigraphy while providing greater anatomic detail and specificity. The multiplanar capability of MRI is useful in assessing the ankle and subtalar joints. With high-quality imaging, excellent characterization of osteochondral lesions of the talus can be useful in surgical planning. Hepple et al. developed a classification of osteochondral lesions of the talus based on the MRI appearance. Lesion stability can be inferred by inspection of the overlying articular cartilage and the underlying osseous interface ( Fig. 2.8 ). CT plays a complementary role to MRI if osseous avulsions or tiny intraarticular calcifications are suspected. Other pathologic marrow processes such as osteonecrosis and tumors can be evaluated as well.

FIGURE 2.7, Calcaneal stress fracture. A, Sagittal fat-suppressed T2-weighted image through the hindfoot shows hyperintense marrow edema in the calcaneal tuberosity. B, Sagittal T1-weighted image at the same location clearly demonstrates a linear hypointense fracture line (arrow) .

FIGURE 2.8, Osteochondritis dissecans of talus in college football player. A, Coronal T1-weighted image shows osteochondral fragment in medial talar dome. Loss of fat signal suggests sclerosis or fibrosis (arrow). B, Coronal fat-suppressed, T2-weighted image demonstrates fluid signal between lesion and host bone (arrowheads), indicating unstable fragment. C, Coronal fat-suppressed, spoiled gradient-echo technique reveals abnormal decreased signal (arrow) in overlying articular cartilage, indicating defect confirmed by arthroscopy.

Other Disorders of Foot and Ankle

MRI has become an increasingly useful tool in the workup of forefoot pathology. Studies can be designed specifically to evaluate the metatarsals and phalanges and adjacent joints. Focused imaging of the metatarsophalangeal joints can detect sesamoid pathology and plantar plate injuries. MRI is a fundamental tool in the workup of a patient with a soft-tissue or bone tumor. The excellent multiplanar anatomic information provided by MRI allows detection and definition of masses in the foot. Interdigital or Morton neuroma is most frequently found in the distal third metatarsal interspace. Unlike most other tumors, this lesion lacks increased signal on T2-weighted sequences. Another common foot mass, plantar fibroma or plantar fibromatosis, usually is quite easily confirmed by the presence of signal-poor mass arising from the plantar fascia. The MRI evaluation of other neoplasms is discussed later in this chapter.

MRI also is a valuable imaging modality in the evaluation of patients with suspected bone or soft-tissue infection. Because of the excellent depiction of bone marrow, osteomyelitis can be detected quite early, certainly well before radiographic abnormalities are visible ( Fig. 2.9 ). The anatomic information provided by MRI can assist in surgical planning by defining the extent of bone involvement . Certain fat-suppressed sequences are so sensitive that reactive marrow edema (osteitis) can be seen even before frank osteomyelitis. Although the sensitivity of MRI for osteomyelitis approaches 100%, the reported specificity is less. Some authors have suggested relying on T1-weighted marrow replacement rather than T2-weighted signal abnormality (edema) to increase specificity. In neuropathic patients, the specificity of MR signal abnormalities is reduced; therefore the current workup of osteomyelitis in the diabetic foot often involves a combination of scintigraphy, MRI, laboratory data, and especially physical examination. In almost all cases of pedal osteomyelitis, osseous involvement is secondary to spread from adjacent soft-tissue infection and ulceration. Conversely, the presence of bone marrow signal abnormalities in the absence of a regional soft-tissue wound strongly favors neuropathic disease rather than osteomyelitis. For the evaluation of surrounding soft-tissue infection, MRI is the modality of choice. The addition of contrast-enhanced sequences is helpful in defining nonenhancing fluid collections/abscesses and devascularized or gangrenous tissue. Although the diabetic foot can be a diagnostic challenge, normal MRI marrow signal confidently excludes osteomyelitis.

FIGURE 2.9, Osteomyelitis of calcaneus. A, Sagittal T1-weighted image shows abnormal hypointense marrow signal throughout the posterior calcaneus (arrow). B, Sagittal fat-suppressed T2-weighted image shows subcortical marrow edema consistent with osteomyelitis. Note the overlying soft-tissue ulcer (arrowhead) .

Knee

The knee is the most frequently studied region of the appendicular skeleton. Standard extremity coils allow high-resolution images of the commonly injured internal structures of the joint. The routine MRI examination of the knee consists of spin-echo sequences obtained in sagittal, coronal, and usually axial planes. Most examiners prefer to evaluate the menisci on sagittal proton (spin) density–weighted images. The sagittal images are prescribed in a plane parallel to the course of the anterior cruciate ligament (ACL), approximately 15 degrees internally rotated to the true sagittal plane. Coronal images are useful in evaluating medial and lateral supporting structures. The patellofemoral joint is best studied in the axial plane.

Pathologic Conditions of Menisci

A large percentage of knee pain or disability is caused by pathologic conditions of the menisci. The menisci are composed of fibrocartilage and appear as low-signal structures on all pulse sequences. The menisci are best studied in the sagittal and coronal planes. On sagittal images, the menisci appear as dark triangles in the central portion of the joint and assume a “bow tie” configuration at the periphery of the joint. Regions of increased signal can often be seen within the normally dark fibrocartilage of the menisci. Areas of abnormal hyperintense signal may or may not communicate with a meniscal articular surface. Noncommunicating signal changes correspond to areas of mucoid degeneration that are not visible arthroscopically. Conversely, abnormalities that extend to the meniscal articular surface represent tears ( Figs. 2.10 to 2.12 ). Although it has been suggested that noncommunicating signal or mucoid changes progress to meniscal tears, follow-up examinations have not confirmed this progression. Generally, communicating signal abnormalities that are seen on only one image should not be considered tears unless there is associated anatomic distortion of the meniscus. Meniscal tears should be defined as to location (anterior horn, body, posterior horn, free edge, or periphery) and orientation (horizontal, vertical/longitudinal, radial, complex). Relatively common and particularly debilitating in elderly patients, radial tears of the posterior horn or posterior root ligament of the medial meniscus are best seen on far posterior coronal images ( Fig. 2.13 ). These root ligament injuries allow for peripheral meniscal displacement and frequently are associated with subchondral stress or insufficiency fractures of the medial compartment. Complications of tears, such as displaced fragments (bucket-handle tears, inferiorly displaced medial fragment), should be suspected when the orthotopic portion of the meniscus is small or truncated. Careful examination of the joint, often in the coronal plane, will reveal the displaced, hypointense meniscal fragment ( Figs. 2.14 and 2.15 ). The sensitivity and specificity of MRI in detecting meniscal tears routinely exceed 90%.

FIGURE 2.10, Meniscal tear. Sagittal fat-suppressed proton density–weighted image demonstrates linear increased signal traversing posterior horn of medial meniscus, indicating horizontal oblique tear (arrow).

FIGURE 2.11, Meniscal tear. Sagittal proton density–weighted image reveals small defect in free edge of body of lateral meniscus, indicating radial tear (arrow).

FIGURE 2.12, Meniscal cyst. Sagittal fat-suppressed, proton density–weighted image of knee shows a hyperintense meniscal cyst (straight arrow) adjacent to medial meniscus. Associated tear is present in inferior articular surface of meniscus (curved arrow).

FIGURE 2.13, Root ligament tear of the posterior horn of the medial meniscus. Coronal fat-suppressed proton density-weighted image demonstrates a fluid-filled defect (arrow) in the posterior horn of the medial meniscus at the root ligament.

FIGURE 2.14, Bucket handle tear of medial meniscus. Coronal (A) and axial (B) fat-suppressed, proton density-weighted images demonstrate centrally displaced portion of medial meniscus (arrows).

FIGURE 2.15, Inferiorly displaced medial meniscal fragment. Fat-suppressed, proton density–weighted image demonstrates portion of medial meniscus displaced inferiorly and deep to medial collateral ligament (arrow).

Studies have shown that many factors affect the accuracy of MRI with respect to meniscal evaluation, including the experience of both the radiologist in interpreting studies as well as the orthopaedist performing the correlating arthroscopy. Many pitfalls in interpretation exist. When studying the central portions of the menisci, the meniscofemoral ligaments and transverse meniscal ligament can create problems. Recognition of the hiatus for the popliteus tendon will prevent the false diagnosis of a tear in the posterior horn of the lateral meniscus. Meniscocapsular separation is often difficult to detect in the absence of a complete detachment and resulting free-floating meniscus. Elderly patients often exhibit a greatly increased intrameniscal signal that can be mistaken for a tear. The specificity of MRI for meniscal tear is reduced in patients who have undergone prior meniscal surgery. Most examiners, however, continue to rely on MRI in such patients, using caution with menisci that have greater degrees of surgical resection. Awareness of any history of prior meniscal debridement or repair may affect the interpretation of the examination, and such history should be provided to the interpreting physician. If possible, correlation of the postoperative examination with preoperative MR images is quite helpful in identifying the presence of a new tear. Rarely, the intraarticular injection of gadolinium (MR arthrography) can help differentiate healed or repaired tears from reinjury.

Other morphologic abnormalities of the menisci and adjacent structures are nicely shown with MRI. The abnormally thick or flat discoid meniscus is seen more commonly on the lateral side. Although visualization of the “bow tie” configuration of the lateral meniscus in the sagittal plane on more than three adjacent images indicates a discoid meniscus, the abnormal cross-section usually is quite apparent on the coronal images ( Fig. 2.16 ). Meniscal cysts, which usually are associated with and adjacent to meniscal tears, frequently can be easily seen as discrete T2-weighted hyperintense fluid collections located medially or laterally (see Fig. 2.12 ).

FIGURE 2.16, Discoid meniscus in 3-year-old boy. A, Sagittal proton density–weighted image reveals abnormally thick lateral meniscus (arrow). B, Coronal fat-suppressed, proton density–weighted image demonstrates extension of discoid meniscus centrally (arrow) into weight-bearing portion of lateral compartment.

Cruciate Ligament Injury

MRI is the only noninvasive means of imaging the cruciate ligaments. As described earlier, the sagittal imaging plane of the knee examination is prescribed to approximate the plane of the ACL. The normal ACL appears as a linear band of hypointense fibers interspersed with areas of intermediate signal. The ACL courses from its femoral attachment on the lateral condyle at the posterior extent of the intercondylar notch to the anterior aspect of the tibial eminence. High-resolution images often will define discreet anteromedial and posterolateral bands. On the sagittal images, the orientation of the normal ACL is parallel to the roof of the intercondylar notch. Reliable signs of ACL rupture include an abnormal horizontal course, a wavy or irregular appearance, or fluid-filled gaps in a discontinuous ligament ( Fig. 2.17 ). Chronic tears can reveal either ligamentous thickening without edema or, more often, complete atrophy. Several secondary signs of ACL rupture exist. In acute injuries, bone contusions are manifested as regions of edema in the subchondral marrow, typically in the lateral compartment. The overlying articular cartilage should be closely inspected for signs of injury. These bone contusions usually resolve within 6 to 12 weeks of injury. Anterior translocation of the tibia with respect to the femur, the MRI equivalent of the drawer sign, is highly specific for acute or chronic tears. Buckling of the posterior cruciate ligament often is present, but this sign is more subjective. Although usually best evaluated in the sagittal plane, the ACL can and should be seen in coronal and axial planes as well. In large series correlated with arthroscopic data, MRI has achieved an accuracy rate of 95% in the assessment of ACL pathologic conditions. Unfortunately, as is frequently the case with the physical examination, the imaging distinction between partial and complete ACL tears is more challenging. Even when the diagnosis of an ACL tear is a clinical certainty, MRI is valuable in assessing associated meniscal and ligament tears and posterolateral corner injuries. MRI can accurately depict the reconstructed ACL within the intercondylar notch and define the position of intraosseous tunnels. A redundant graft or absence of the graft on MRI suggests graft failure. Because the normal revascularization process may result in areas of increased signal within and around the graft, edematous changes in the early postoperative period should be interpreted with caution.

FIGURE 2.17, Acute anterior cruciate ligament tear. A, Fat-suppressed, proton density–weighted sagittal image shows edema throughout abnormally oriented anterior cruciate ligament fibers (arrow) . B, Fat-suppressed proton density–weighted image demonstrates typical associated bone contusion in the lateral femoral condyle (arrow) .

In extension, the posterior cruciate ligament is a gently curving band of fibrous tissue, appearing as a homogeneously hypointense structure of uniform thickness on sagittal MRI series. Discontinuity of the ligament or fluid signal within its substance indicates a tear ( Fig. 2.18 ). In the coronal imaging plane, the medial collateral ligament (MCL) appears as a thin dark band of tissue closely applied to the periphery of the medial meniscus. Mild injuries result in edema about the otherwise normal ligament. Severe strain or rupture causes ligamentous thickening or frank discontinuity ( Fig. 2.19 ). Although mild degrees of MCL injury correlate nicely with MRI appearance, imaging is less accurate in grading more severe injuries. Injuries of the lateral supporting structures, including the lateral collateral ligament, iliotibial band, biceps femoris, and popliteus tendon, also are depicted with MRI.

FIGURE 2.18, Posterior cruciate ligament tear. Sagittal fat-suppressed proton density-weighted image shows abnormal increased signal (arrow) within the disorganized fibers of the distal posterior cruciate ligament.

FIGURE 2.19, Medial collateral ligament tear. Complete disruption of proximal medial collateral ligament (arrow) is demonstrated in coronal fat-suppressed, proton density–weighted image; this appearance suggests grade 3 medial collateral ligament injury.

Other Knee Problems

Severe injuries to the extensor mechanism of the knee are usually clinically obvious, but when partial tears of the patellar or quadriceps tendon are suspected, MRI can confirm the diagnosis. Discontinuity of tendinous fibers and fluid in a gap within the tendon are seen with complete tears. Incomplete tears show thickening of the tendon with interspersed edema. Generally, tendinitis demonstrates tendon thickening, although normal low signal is maintained. Posteriorly, popliteal, or Baker, cysts are noted in the medial aspect of the popliteal fossa. These cysts can rupture distally into the calf, mimicking thrombophlebitis. In this situation, MRI will demonstrate fluid dissecting inferiorly along the medial gastrocnemius muscle belly. Caution should be used when evaluating T2-weighted hyperintense popliteal fossa structures because other lesions, such as popliteal artery aneurysms and tumors, are common in this location. Demonstration of the neck of a popliteal cyst at its communication with the joint between the medial gastrocnemius and the semimembranosus tendon will avoid potential misdiagnosis ( Fig. 2.20 ).

FIGURE 2.20, Popliteal fossa cyst. Axial proton density–weighted image demonstrates hyperintense fluid extending from knee joint into popliteal fossa between semimembranosus tendon (straight arrow), and medial gastrocnemius tendon (curved arrow).

Other potential problems about the knee for which MRI is well-suited include osteonecrosis, synovial pathologic conditions, osseous contusions ( Fig. 2.21 ), and occult fractures ( Fig. 2.22 ). Direct coronal and sagittal MRI is helpful in assessing complications of physeal injuries in children ( Fig. 2.23 ) and in demonstrating osteochondritis dissecans. T2-weighted or gradient-echo sequences can show fluid surrounding an unstable osteochondral fragment. MRI is also helpful in determining the integrity of the overlying cartilage ( Fig. 2.24 ). The fat-suppressed proton density–weighted sequence is most commonly used in the assessment of hyaline cartilage in the routine knee examination. Fat-suppressed, fast spin-echo, proton density–weighted, or gradient-echo sequences obtained with volumetric technique are helpful in the evaluation of articular cartilage in the knee and many other joints ( Figs. 2.8, 2.24, and 2.25 ). Loose bodies are best seen in the presence of joint effusion with conventional radiographs as a reference. Specialized cartilage imaging techniques such as T1rho and T2 mapping, and delayed gadolinium-enhanced magnetic resonance imaging of cartilage (D-GEMRIC) require additional scan time or contrast injection. Presently, these advanced cartilage imaging techniques are used primarily in the research setting or for clinically difficult cases.

FIGURE 2.21, Patellar dislocation. A and B, Axial fat-suppressed, proton density–weighted images through patellofemoral joint show regions of increased signal, representing marrow edema beneath medial facet of patella (long arrow) and in lateral aspect of lateral femoral condyle (thick arrow). This pattern of osseous contusion indicates recent lateral patellar dislocation. Note hematocrit level in joint effusion (arrowheads).

FIGURE 2.22, Occult Salter II fracture of distal femur in 14-year-old boy. A, Coronal T1-weighted image reveals ill-defined reduced signal in medial distal femoral metaphysis. B, Fat-suppressed, T2-weighted image demonstrates irregular hypointense fracture (arrow) surrounded by hyperintense marrow edema. Edema continues along lateral physis, indicating extension of fracture.

FIGURE 2.23, Physeal bar in 12-year-old boy. Gradient-echo sagittal image of knee demonstrates interruption of posterior extent of distal femoral physis (arrow). Osseous bridge has resulted in posterior angulation of articular surface of distal femur. Articular and physeal cartilage exhibits increased signal with most gradient-echo techniques.

FIGURE 2.24, Osteochondritis dissecans. Coronal fat-suppressed proton density-weighted image of the knee demonstrates hyperintense fluid signal (arrow) surrounding an unstable osteochondral fragment.

FIGURE 2.25, Chondral lesion. Fat-suppressed proton density weighted sagittal image of knee reveals a small, well-defined fluid filled full-thickness defect in the articular cartilage of the posteromedial femoral condyle (arrow) .

Hip

MRI is an extremely useful tool in the evaluation of the hip and pelvis. With the unsurpassed ability to image marrow in the proximal femur, MRI can detect a spectrum of pathologic conditions of the hip. When evaluating patients for processes that may be bilateral, such as osteonecrosis, or conditions that might involve the sacrum or sacroiliac joints, the examination should include both hips and the entire pelvis. A surface coil such as a torso or large wrap coil with phased-array design combine s improved signal for high-resolution images coupled with large field-of-view coverage. For patients with suspected unilateral conditions, such as femoral stress fractures , suspected occult trauma, or labral injury, a unilateral study with a smaller field of view is desirable and surface coils are indispensable. Spin-echo sequences are usually performed in axial and coronal planes. Sagittal images are quite useful when investigating osteonecrosis.

Osteonecrosis

One of the most frequent indications for hip imaging is evaluation of osteonecrosis because early diagnosis is desirable whether nonoperative or operative treatment is considered. Although initial radiographs are often normal, either scintigraphy or MRI may confirm the diagnosis. Of the two techniques, MRI is the more sensitive in detecting early osteonecrosis and better delineates the extent of marrow necrosis. The percentage of involvement of the weight-bearing cortex of the femoral head as defined by MRI, as well as the presence of perilesional marrow edema and joint effusion, may be helpful in predicting prognosis and the value of surgical intervention. On T1-weighted images, the classic MRI appearance of osteonecrosis is that of a geographic region of abnormal marrow signal within the normally bright fat of the femoral head ( Fig. 2.26 ). This area of abnormal signal, often circumscribed by a low-signal band, represents ischemic bone. The T2-weighted images reveal a margin of bright signal, and the resulting appearance has been termed the “double line” sign. This sign essentially is diagnostic of osteonecrosis. Initially appearing in the anterosuperior subchondral marrow, the central area of necrotic bone can demonstrate various signal patterns throughout the course of the disease, depending on the degree of hemorrhage, fat, edema, or fibrosis. Subchondral fracture, articular surface collapse, cartilage loss, reactive marrow edema, and effusion are seen in more advanced cases of osteonecrosis.

FIGURE 2.26, Corticosteroid-induced bilateral osteonecrosis of femoral head. A and B, Coronal T1-weighted and inversion recovery images through both hips reveals geographic focus of marrow replacement in weight-bearing aspect of left femoral head, indicating osteonecrosis (solid arrows). More advanced disease is seen in right femoral head with collapse of articular surface, adjacent marrow edema (open arrows), and effusion.

Transient Osteoporosis

A second condition also well depicted with MRI is transient osteoporosis of the hip. This unilateral process, initially described in pregnant women in their third trimester, is most commonly seen in middle-aged men. Transient osteoporosis is a self-limited process of uncertain etiology, although ischemic, hormonal, or stress-related etiologies have been proposed. Many patients have later involvement of nearby joints, such as the opposite hip, hence the association with regional migratory osteoporosis. Initial radiographs may be normal or may reveal diffuse osteopenia of the femoral head, with preservation of the joint space. The MRI appearance is that of diffuse edema in the femoral head, extending into the intertrochanteric region. Focal MRI signal abnormalities, as seen in osteonecrosis, generally are not present in transient osteoporosis. Occasionally, a tiny focal, often linear lesion in the subcortical marrow in the weight-bearing portion of the femoral head indicates an insufficiency fracture in the demineralized bone. T1-weighted sequences depict diffuse edema as relative low signal in contrast to background fatty marrow. The edema becomes hyperintense on T2-weighted series and is accentuated when fat-suppression techniques are used ( Fig. 2.27 ). This marrow appearance has been termed a “bone marrow edema pattern.” Rare case reports have documented this pattern presenting as the earliest phase of osteonecrosis. For this reason, if initial radiographs are normal, repeat films 6 to 8 weeks after the onset of symptoms should demonstrate osteopenia of the femoral head, confirming the diagnosis of transient osteoporosis. Transient osteoporosis of the hip generally resolves without treatment within 6 months, and the radiographs and MRI appearance return to normal.

FIGURE 2.27, Transient osteoporosis of hip in 30-year-old man. A, Coronal T1-weighted image reveals diminished signal intensity within right femoral head and neck. B, Coronal inversion recovery sequence demonstrated hyperintense bone marrow edema in more diffuse pattern than seen in osteonecrosis.

Trauma

Frequently, MRI can be helpful in evaluation of the hip after trauma. Radiographs are often negative or equivocal for fracture of the proximal femur in elderly individuals. Although bone scintigraphy has been used to confirm or exclude fracture, this study can be falsely negative in elderly patients in the first 48 hours after injury. The MRI abnormalities are immediately apparent, with linear areas of low signal easily seen in the fatty marrow on T1-weighted images and surrounding edema seen with T2-weighted images ( Fig. 2.28 ). In addition, the anatomic information provided can assist in determining the type of fixation required. In fact, many radiographically occult fractures subsequently discovered by MRI are confined to the greater trochanter or incompletely traverse the femoral neck and, in certain patients, may be treated conservatively.

FIGURE 2.28, Radiographically occult proximal femoral fracture in elderly woman. A, Questionable cortical disruption is noted on radiograph of left hip obtained after fall. B, Coronal T1-weighted image confirms greater trochanter fracture manifested as vertically oriented band of reduced signal (curved arrow) within normal bright fat signal of femoral neck. C, Coronal inversion recovery sequence shows edema at fracture.

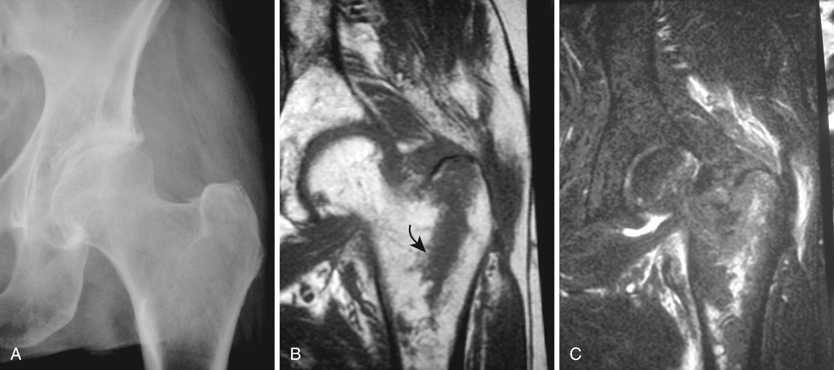
A great deal of effort has been directed at the imaging evaluation of femoroacetabular impingement and the acetabular labrum. Original reviews of the accuracy of conventional MRI in the assessment of labral pathologic conditions were disappointing because of large field of view images that lacked adequate resolution. The advent of MRI arthrography performed with surface coil or phased-array technique has greatly improved visualization of the cartilaginous labrum. Unfortunately, the geometry of the labrum of the hip displays a wide range of normal variation, even in asymptomatic individuals. As the vast majority of labral tears are found in the anterior or anterolateral labrum, these labral segments should be closely evaluated for the presence of deep or irregular intralabral clefts suggestive of a labral tear ( Fig. 2.29 ). Adjacent regions of acetabular cartilage delamination often are present. In patients with mechanical hip symptoms or possible femoroacetabular impingement, the addition of an anesthetic injection at the time of arthrography may be useful in confirming an intraarticular origin of pain. The improved resolution provided by 3 T MRI studies has allowed labral assessment without the need for intraarticular contrast. Nonarthrographic examinations for the workup of hip impingement and labral pathology should be specifically ordered with such history to ensure the necessary sequence selection and small field of view required to appropriately evaluate the labrum.

FIGURE 2.29, Anterior labral tear of the hip. Postarthrogram sagittal fat-suppressed T1-weighted image shows contrast opacifying a tear of the anterior labrum of the hip (arrow) .

Spine

MRI of the spine accounts for a large percentage of examinations at most centers. MRI allows a noninvasive evaluation of the spine and spinal canal, including the spinal cord. The anatomy of the spine, cord, nerve roots, and spinal ligaments is complex. Because the spine is anatomically divided into three sections—cervical, thoracic, and lumbar—each is evaluated with coils specifically designed for spine imaging. Spinal examinations include series obtained in both axial and sagittal planes. Coronal images may be helpful in patients with significant scoliosis. There is no one correct imaging construct, and the makeup of the study depends on many factors, including the type and field strength of the magnet, the availability of hardware (coils) and software, and the preferences of the examiner. However, all studies should produce images that can detect and define pathologic conditions of the cord, thecal sac, vertebral bodies, and intervertebral discs.

Intervertebral Disc Disease

The most common indication for MRI of the spine is evaluation of intervertebral disc disease. After routine radiography, MRI is the procedure of choice for screening patients with low back or sciatic pain. In the lumbar and thoracic spine, MRI has supplanted CT myelography because it is noninvasive and less expensive. The combination of high soft-tissue contrast and high resolution allows ideal evaluation of the intervertebral discs, nerve roots, posterior longitudinal ligament, and intervertebral foramen. Additionally, MRI provides excellent assessment of the spinal cord. Because of bony structures, such as osteophytes and bone fragments, CT myelography is invasive and more costly and is therefore reserved for patients who have contraindications to MRI or who have equivocal MRI examinations. Regardless of the region of the spine being evaluated, sagittal images provide an initial evaluation of the intervertebral discs and posterior longitudinal ligament. Because of its high water content, a normal disc exhibits signal hyperintensity on T2-weighted images. The aging process results in a gradual desiccation of the disc material and therefore loss of this signal. Disc herniations or extrusions appear as convex or polypoid masses extending posteriorly into the ventral epidural space, frequently maintaining a signal intensity similar to that of the disc of origin ( Fig. 2.30 ). Sagittal T2-weighted or gradient-echo images create a “myelographic” effect and are useful in evaluating compromise of the subarachnoid space. However, sagittal T1-weighted images should be closely examined to identify narrowing of the neuroforamina. The normal T1-weighted hyperintense perineural fat in the foramina provides excellent contrast to darker displaced disc material. Far lateral disc herniations are best seen on selected axial images that are localized through disc levels. Free disc fragments appear discontinuous with the intervertebral disc, usually of intermediate T1-weighted signal in contrast to the hypointense cerebrospinal fluid. Of great significance in the cervical and thoracic spine is the ability of MRI to detect significant spinal cord compromise. Edema within the cord is readily demonstrated as hyperintensity with T2 weighting.

FIGURE 2.30, Cervical disc extrusion (herniation). A, T2-weighted sagittal image of the cervical spine reveals extruded C6-C7 disc (arrow). B, Gradient-echo sagittal image demonstrates displaced disc material isointense to nucleus pulposus. Note the absence of cerebrospinal fluid pulsation artifact seen on the T2-weighted image. C, Gradient-echo axial image shows left eccentric extrusion compressing the cervical cord and filling the left neuroforamen (arrow) .

The terminology of pathologic conditions of the intervertebral disc is confusing. In an effort to standardize terminology, Jensen et al. proposed the following terms: a bulge is a circumferential, symmetric extension of the disc beyond the interspace around the endplates; a protrusion is a focal or asymmetric extension of the disc beyond the interspace, with the base against the disc of origin broader than any other dimension of the protrusion; an extrusion is a more extreme extension of the disc beyond the interspace, with the base against the disc of origin narrower than the diameter of the extruding material itself or with no connection between the material and the disc of origin; and, finally, a sequestration specifically refers to a disc fragment that has completely separated from the disc of origin.

You're Reading a Preview

Become a Clinical Tree membership for Full access and enjoy Unlimited articles

Become membership

If you are a member. Log in here