Acute Inability To Walk


Consult Page

45M patient with hx metastatic colorectal cancer with inability to walk

Initial Imaging

Fig. 42.1, A. Sagittal thoracolumbar CT without contrast demonstrates lytic lesions of the T12 vertebral body with normal alignment. There is no evidence of vertebral body collapse. There are diffuse intraosseous lesions throughout the spinal column (not pictured). B. Axial view demonstrates extraosseous extension of the T12 lesion into the ventral aspect of the spinal canal with involvement of the posterior elements (right worse than left).

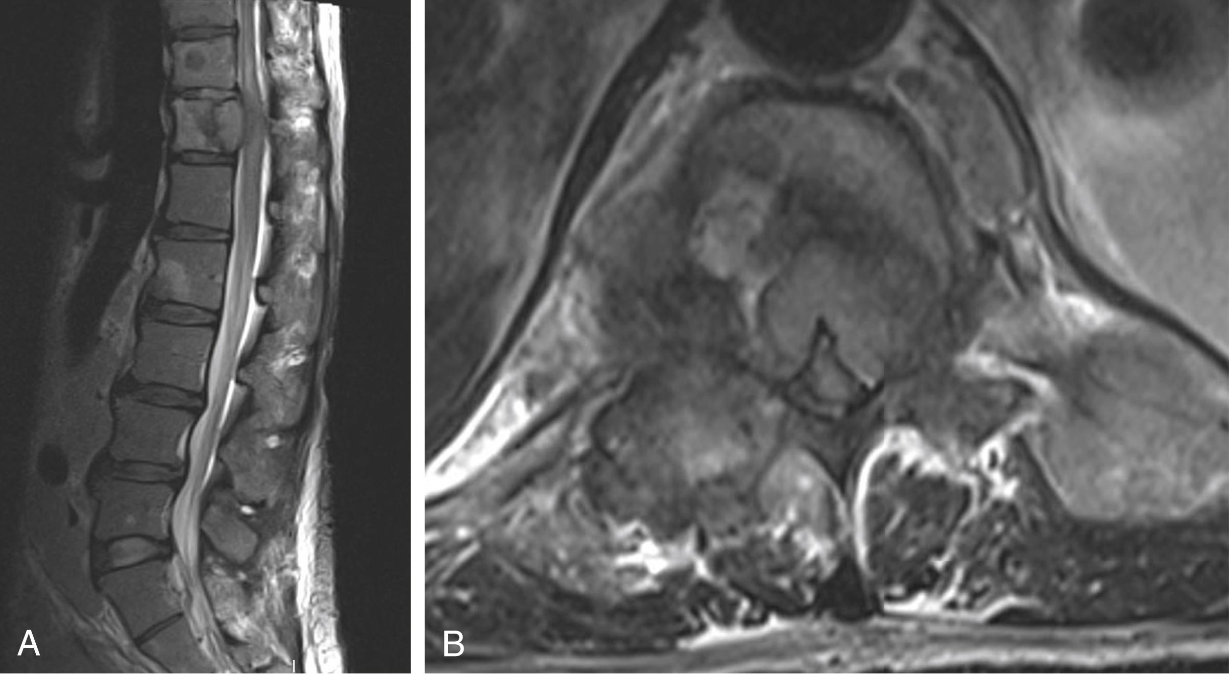
Fig. 42.2, A. Sagittal T2-weighted MRI of the thoracolumbar spine without contrast demonstrates an expansile lesion at T12 with posterior epidural extension. There is cord signal change at T11-T12 and multiple intraosseous lesions throughout the thoracolumbar spine. B. An axial sequence at T11-T12 demonstrates circumferential epidural cord compression with no evidence of CSF surrounding the cord.

Walking Thoughts

  • What is the patient’s neurological exam—what are his deficits?

  • Why is the patient unable to walk? Is it secondary to pain or to weakness?

  • Does he have any bowel or bladder dysfunction?

  • How long has he had symptoms?

  • What is the patient’s oncologic history? Does he have known metastases to the brain or spine?

  • What is his baseline functional status? What is the patient’s prognosis from his colorectal cancer?

  • Does he need surgical intervention urgently or emergently?

  • Is he on any anticoagulant or antiplatelet medications?

You're Reading a Preview

Become a Clinical Tree membership for Full access and enjoy Unlimited articles

Become membership

If you are a member. Log in here