Abnormalities of the Male Genital Tract


Overview

Ultrasound (US), including Doppler imaging in all its forms, is the main diagnostic imaging tool for evaluating the scrotum. Computed tomography (CT) is used predominantly to evaluate metastatic spread of testicular or other intrascrotal tumors. Magnetic resonance imaging (MRI) has been used in the search for undescended testes that remain in an intraabdominal position. MRI, like CT, also can be used to analyze metastatic spread of testicular tumor. Its uses in evaluating the male genital tract are evolving.

Ultrasound Technique

Scrotal US is performed using a high-frequency transducer. The superficial position of testes in the normally thin-walled scrotum allows excellent imaging with a transducer of 7.5 MHz or higher. Longitudinal and transverse views are taken of each hemiscrotum. Transverse views, sometimes using a convex array transducer ( e-Fig. 125.1 ), allow the best side-by-side comparison of both testes and their adnexa, especially when checking for differences in size, echogenicity, and vascularity. Spectral Doppler ultrasound can be used to further characterize testicular blood flow and demonstrate both arterial and venous waveforms ( e-Fig. 125.2 ).

e-Figure 125.1, Normal testes.

e-Figure 125.2, Normal Doppler flow in a testis.

Normal Findings

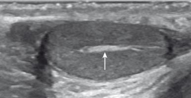
The testes should be ovoid, nearly symmetric, and homogeneously echogenic. There is some discrepancy with regard to normal testicular volumes ( Box 125.1 ). A highly echogenic linear focus (seen posteriorly and superiorly) represents the mediastinum testis ( Fig. 125.3 ), which is the inward extension of the tightly adherent covering of the testis, the tunica albuginea. Fibrous septa extending from the mediastinum testes divide the testes into more than 250 lobules, each drained by one or more seminiferous tubules that merge into the rete testes. The rete testes, draining veins, lymphatics, nerves, and testicular artery course within the mediastinum testis.

Box 125.1
Normal Scrotal Volumes

  • 0–9 months: 0.27–0.44 mL

  • 1 year: 0.31 mL

  • 6–12 years: 2–5 mL

  • 13–15 years: 5–10 mL

  • 16.5–18 years: 6–22 mL

Figure 125.3, Mediastinum testis.

The head of the epididymis ( e-Fig. 125.4 ) sits atop the superior pole of each testis. The head is continuous with the epididymal body and tail, which travel inferiorly along the posterolateral margin of the testis. The echotexture of the epididymis is normally homogeneous. It may be of equal or of slightly greater or lesser echogenicity than that of the testes.

e-Figure 125.4, Normal epididymis.

The scrotal wall should be between 3 and 6 mm thick. Beneath the scrotal wall are the two layers of the tunica vaginalis ( Fig. 125.5 ), the outer (parietal) and the inner (visceral) layers, which are the residua of the processus vaginalis (i.e., peritoneum that descended with the testis from the abdomen). The visceral layer covers the testis on its anterior border and is attached to the tunica albuginea. Between the tunica's two layers is a potential space that normally may contain 1 to 2 mL of fluid. It is here that the fluid of a hydrocele may accumulate.

Figure 125.5, A schematic drawing of the scrotum and its contents as seen in the longitudinal plane through a single testis.

Several small, persistent, vestigial remnants of the mesonephric (wolffian) and Müllerian duct systems may be found within the scrotum. Of these, usually only three may be seen on US examination, usually only if fluid (e.g., from a hydrocele) surrounds one of them. These remnants are the appendix testis ( e-Fig. 125.6 ) (a remnant of the Müllerian duct), which is attached to the upper pole of the testis (and the most common appendix to potentially undergo torsion); the appendix epididymis (a remnant of the mesonephron), which is attached to the head of the epididymis; and the vas aberrans (a remnant of the mesonephron), which is attached to the epididymis at the junction of its body and tail.

e-Figure 125.6, Appendix testis.

Cryptorchidism

Overview.

By 32 weeks' gestational age, the testes have descended into the scrotum via the inguinal canal in 93% of all male fetuses. By 6 weeks of age, only 4% of term infants have a nonpalpable testis. Of these infants, 20% have true cryptorchidism (undescended testis). Cryptorchidism is more common on the right (70%) and is bilateral in 10% to 33% of cases. Beyond the age of 1 year, the prevalence of true cryptorchidism is approximately 1%. The etiology of cryptorchidism is not clear; it may be hormonal or mechanical (e.g., lack of proper fixation of the testis or an abnormal gubernaculum), or a combination of the two.

Imaging.

US is the initial procedure for localization of a testis that is not palpable within the scrotum ( e-Fig. 125.7 ). The undescended testis may be smaller and hypoplastic, although usually is of equal echogenicity to the contralateral normal testis. T2-weighted MRI with fat-suppression generally is more effective than CT for finding an intraabdominal testes. Normal testes have a homogeneous high signal on T2-weighted images. Alternatively, exploratory laparoscopy can be performed to identify a suspected intraabdominal testis that cannot be palpated by a pediatric urologist.

e-Figure 125.7, Analysis of the inguinal region for undescended testis.

Treatment.

Surgical treatment for undescended testes is orchiopexy, fixation of the testes within the scrotum. It is performed, especially in cases of intraabdominal testes, because of the increased risk for the development of testicular neoplasia (a 10–40 times greater risk, with seminoma being the most common neoplasm). Spontaneous descent during the first year of life may occur from an endogenous surge of luteinizing hormone, and thus surgical correction typically is delayed until 18 to 24 months. After orchiopexy, 53% of the originally undescended testes are reported to be abnormal by either position, volume, structure, or perfusion.

Hydrocele

Overview.

Hydrocele, the most common scrotal mass in a child ( Fig. 125.8 ), results from fluid accumulated between the layers of the tunica vaginalis. Several types of hydroceles are identified ( Fig. 125.9 ). The processus vaginalis is closed in 50% to 75% of children at birth and in most of the remainder by the end of the first year of life. Residual fluid from testicular descent is responsible for the noncommunicating hydroceles reported in at least 15% of male fetuses beyond 28 weeks of life. If the processus vaginalis fails to close, a communicating hydrocele can develop.

Figure 125.8, Hydroceles.

Figure 125.9, Hydrocele types.

In a hydrocele of the spermatic cord (a funicular hydrocele), the processus vaginalis is obliterated in its proximal and distal end, and the hydrocele is contained in the patent space between these two points. In an inguinoscrotal hydrocele, the processus vaginalis is obliterated only at the internal inguinal ring, and the hydrocele extends cephalad from the scrotum into the inguinal canal. In an abdominoscrotal hydrocele ( e-Fig. 125.10 ), the funicular process at the internal inguinal ring remains patent, allowing a dumbbell-shaped cystic mass to protrude into the extraperitoneal space above the inguinal area.

e-Figure 125.10, Abdominoscrotal hydrocele.

In most cases, the etiology of a hydrocele found in the child or adolescent is idiopathic. Acquired (commonly reactive) hydroceles can develop after scrotal trauma or as a complication of epididymitis-orchitis, testicular torsion, or in the presence of an intrascrotal neoplasm. A hydrocele that increases in size without an intrascrotal cause suggests the presence of a patent processus vaginalis and the possibility of an associated inguinal hernia.

Imaging.

Scrotal US shows the cystic (fluid) nature of the hydrocele as it appears to surround the normal homogeneously echogenic testis. Septations and debris may be present, particularly if the hydrocele is infected (i.e., a pyocele) or hemorrhagic (i.e., a hematocele) ( e-Fig. 125.11 ). Echogenic debris (e.g., cholesterol crystals) may be seen in the fluid of chronic hydroceles ( e-Fig. 125.12 ), along with occasional calcifications.

e-Figure 125.11, Hematocele.

e-Figure 125.12, Chronic hydrocele.

Treatment.

After the age of 2 years, a hydrocele is unlikely to resolve, and surgery is required. This consists of a high ligation of the patent processus vaginalis and emptying of the distal fluid collection.

Testicular Torsion

Overview.

Torsion may occur at any age but is seen most often in adolescent boys between 11 and 18 years of age, perhaps because of the increase in testicular growth and weight during this time. The normal testis is strongly attached to the epididymis, which in turn is applied to the posterior scrotal wall. If these attachments fail to develop properly (the “clapper-in-a-bell” phenomenon), the testis, suspended within the tunica vaginalis, may rotate and the spermatic cord undergoes torsion. A male with acute testicular torsion experiences sudden acute scrotal pain, often accompanied by nausea and vomiting. An important finding on physical examination is a change in testicular axis from the normal vertical positioning of the testis in the scrotum to a more horizontal positioning ( Fig. 125.13 ). Within hours of torsion, a reddened scrotum develops, with or without enlargement.

Figure 125.13, Testicular torsion and axis change.

Imaging.

Ultrasonography is the only diagnostic tool necessary to make the diagnosis of torsion and suggest surgical exploration. The testis is normal sized to enlarged, with normal to decreased echogenicity (see Fig. 125.13 ). Enlargement and hypoechogenicity are thought to be due to venous congestion. The echotexture pattern is usually homogeneous early with heterogeneity increasing over time. Epididymal enlargement may be an early finding in some cases of torsion. At least 10% of cases of torsion have associated reactive hydroceles. US performed more than 24 to 48 hours after symptomatology may show a heterogeneous or hyperechoic testis from hemorrhage or hemorrhagic necrosis ( Fig. 125.14 ).

Figure 125.14, Delayed diagnosis of testicular torsion in a boy with scrotal pain greater than 24 hours.

State-of-the-art color or power Doppler imaging methods have made US the reference standard for the imaging and preoperative diagnosis of testicular torsion. Venous flow is lost before arterial flow ceases. Color flow comparison to the contralateral testis is helpful and necessary, particularly when torsion is incomplete. Such a partial torsion is suggested not by absence of arterial flow but by blood flow asymmetry. The spermatic cord should always be imaged and, when seen, should be straight. When torsion is present, a spiral twist (whirlpool sign or knot) can be seen. Flow may be normal or increased in a torsed testis that spontaneously detorses.

Treatment.

Torsion must be corrected in a timely manner to preserve testicular viability. Surgery within 24 hours leads to 60% to 70% testicular salvage, but after 24 hours salvage is only 20%. Because abnormal testicular fixation to the scrotum is usually bilateral, preventive orchiopexy often is performed on the contralateral testis.

Testicular Torsion in the Fetus and Newborn

Overview.

Testicular torsion that occurs in the newborn period usually presents as a painless, firm scrotal mass often associated with bluish-red scrotal discoloration. The affected testis is generally nonviable. If the torsion occurred in intrauterine life, one is imaging the neonatal equivalent of delayed torsion. This form of torsion is considered extravaginal and is not associated with the “clapper-in-a-bell” deformity. Such torsions may be bilateral.

You're Reading a Preview

Become a Clinical Tree membership for Full access and enjoy Unlimited articles

Become membership

If you are a member. Log in here